• 文献检索
  • 文档翻译
  • 深度研究
  • 学术资讯
  • Suppr Zotero 插件Zotero 插件
  • 邀请有礼
  • 套餐&价格
  • 历史记录
应用&插件
Suppr Zotero 插件Zotero 插件浏览器插件Mac 客户端Windows 客户端微信小程序
定价
高级版会员购买积分包购买API积分包
服务
文献检索文档翻译深度研究API 文档MCP 服务
关于我们
关于 Suppr公司介绍联系我们用户协议隐私条款
关注我们

Suppr 超能文献

核心技术专利:CN118964589B侵权必究
粤ICP备2023148730 号-1Suppr @ 2026

文献检索

告别复杂PubMed语法,用中文像聊天一样搜索,搜遍4000万医学文献。AI智能推荐,让科研检索更轻松。

立即免费搜索

文件翻译

保留排版,准确专业,支持PDF/Word/PPT等文件格式,支持 12+语言互译。

免费翻译文档

深度研究

AI帮你快速写综述,25分钟生成高质量综述,智能提取关键信息,辅助科研写作。

立即免费体验

实验性诱导角膜上皮黑色素沉着的超微结构观察

Ultrastructural observations on experimentally produced melanin pigmentation of the corneal epithelium.

作者信息

McCracken J S, Klintworth G K

出版信息

Am J Pathol. 1976 Oct;85(1):167-82.

PMID:970438
原文链接:https://pmc.ncbi.nlm.nih.gov/articles/PMC2032553/
Abstract

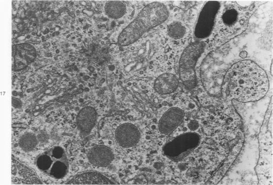
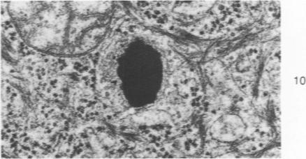
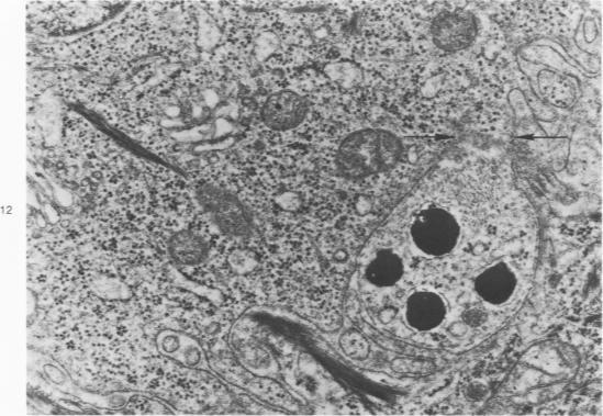
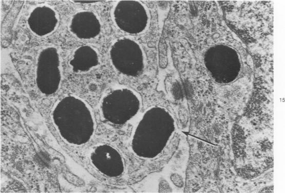
Melanin pigmentation of the corneal epithelium was induced in pigmented guinea pigs by the topical application of colchicine to their eyes or by corneal cauterization with silver nitrate. With colchicine the pigmentation was preceded by the development of an abnormal corneal epithelium in which numerous cells became arrested in cell division. The corneal melanosis resulted largely from the migration of melanocytes into the corneal epithelium from the normally pigmented contiguous conjunctiva and to a lesser extent from the presence of melanin granules within corneal epithelial cells. In both models a leukocytic and vascular invasion of the cornea proceded and accompanied the migration of melanocytes into the corneal epithelium. Electron microscopy disclosed cells with the same morphology as conjunctival melanocytes between the epithelial cells of the cornea. Mature melanin granules were also present within some squamous epithelial cells as individual granules or as clusters. The ultrastructural findings are viewed in relation to how melanin granules are transferred from melanocytes to epithelial cells. Evidence is presented which suggests that malanin granule transfer may follow the fusion of the membranes of the melanocytes and epithelial cells.

摘要

通过向有色豚鼠的眼睛局部应用秋水仙碱或用硝酸银进行角膜烧灼,可诱导角膜上皮的黑色素沉着。使用秋水仙碱时,色素沉着之前会出现异常的角膜上皮,其中许多细胞在细胞分裂中停滞。角膜黑变病主要是由于黑素细胞从正常色素沉着的相邻结膜迁移到角膜上皮,在较小程度上是由于角膜上皮细胞内存在黑色素颗粒。在这两种模型中,角膜均出现白细胞和血管浸润,并伴随黑素细胞迁移到角膜上皮。电子显微镜检查发现角膜上皮细胞之间存在与结膜黑素细胞形态相同的细胞。成熟的黑色素颗粒也以单个颗粒或簇的形式存在于一些鳞状上皮细胞内。结合黑色素颗粒如何从黑素细胞转移到上皮细胞来观察超微结构的发现。有证据表明,黑色素颗粒转移可能发生在黑素细胞和上皮细胞膜融合之后。

https://cdn.ncbi.nlm.nih.gov/pmc/blobs/744b/2032553/d86e340821fa/amjpathol00443-0193-b.jpg
https://cdn.ncbi.nlm.nih.gov/pmc/blobs/744b/2032553/09a0949e2726/amjpathol00443-0188-a.jpg
https://cdn.ncbi.nlm.nih.gov/pmc/blobs/744b/2032553/0e0beb6171d8/amjpathol00443-0188-b.jpg
https://cdn.ncbi.nlm.nih.gov/pmc/blobs/744b/2032553/fd8d80188a4f/amjpathol00443-0188-c.jpg
https://cdn.ncbi.nlm.nih.gov/pmc/blobs/744b/2032553/8b90495d35a5/amjpathol00443-0188-d.jpg
https://cdn.ncbi.nlm.nih.gov/pmc/blobs/744b/2032553/55707cbfd215/amjpathol00443-0188-e.jpg
https://cdn.ncbi.nlm.nih.gov/pmc/blobs/744b/2032553/a637988b48e7/amjpathol00443-0189-a.jpg
https://cdn.ncbi.nlm.nih.gov/pmc/blobs/744b/2032553/7bd88403eba5/amjpathol00443-0189-b.jpg
https://cdn.ncbi.nlm.nih.gov/pmc/blobs/744b/2032553/9706e58d44b8/amjpathol00443-0190-a.jpg
https://cdn.ncbi.nlm.nih.gov/pmc/blobs/744b/2032553/c8e8f56a1596/amjpathol00443-0190-b.jpg
https://cdn.ncbi.nlm.nih.gov/pmc/blobs/744b/2032553/2bc2edf6ae6d/amjpathol00443-0190-c.jpg
https://cdn.ncbi.nlm.nih.gov/pmc/blobs/744b/2032553/8f4d564cd4f5/amjpathol00443-0190-d.jpg
https://cdn.ncbi.nlm.nih.gov/pmc/blobs/744b/2032553/d74de9344ff1/amjpathol00443-0191-a.jpg
https://cdn.ncbi.nlm.nih.gov/pmc/blobs/744b/2032553/24ac78df01dd/amjpathol00443-0191-b.jpg
https://cdn.ncbi.nlm.nih.gov/pmc/blobs/744b/2032553/6a1fdc7915e4/amjpathol00443-0192-a.jpg
https://cdn.ncbi.nlm.nih.gov/pmc/blobs/744b/2032553/58d063feeead/amjpathol00443-0192-b.jpg
https://cdn.ncbi.nlm.nih.gov/pmc/blobs/744b/2032553/9a7d30cc06a1/amjpathol00443-0193-a.jpg
https://cdn.ncbi.nlm.nih.gov/pmc/blobs/744b/2032553/d86e340821fa/amjpathol00443-0193-b.jpg
https://cdn.ncbi.nlm.nih.gov/pmc/blobs/744b/2032553/09a0949e2726/amjpathol00443-0188-a.jpg
https://cdn.ncbi.nlm.nih.gov/pmc/blobs/744b/2032553/0e0beb6171d8/amjpathol00443-0188-b.jpg
https://cdn.ncbi.nlm.nih.gov/pmc/blobs/744b/2032553/fd8d80188a4f/amjpathol00443-0188-c.jpg
https://cdn.ncbi.nlm.nih.gov/pmc/blobs/744b/2032553/8b90495d35a5/amjpathol00443-0188-d.jpg
https://cdn.ncbi.nlm.nih.gov/pmc/blobs/744b/2032553/55707cbfd215/amjpathol00443-0188-e.jpg
https://cdn.ncbi.nlm.nih.gov/pmc/blobs/744b/2032553/a637988b48e7/amjpathol00443-0189-a.jpg
https://cdn.ncbi.nlm.nih.gov/pmc/blobs/744b/2032553/7bd88403eba5/amjpathol00443-0189-b.jpg
https://cdn.ncbi.nlm.nih.gov/pmc/blobs/744b/2032553/9706e58d44b8/amjpathol00443-0190-a.jpg
https://cdn.ncbi.nlm.nih.gov/pmc/blobs/744b/2032553/c8e8f56a1596/amjpathol00443-0190-b.jpg
https://cdn.ncbi.nlm.nih.gov/pmc/blobs/744b/2032553/2bc2edf6ae6d/amjpathol00443-0190-c.jpg
https://cdn.ncbi.nlm.nih.gov/pmc/blobs/744b/2032553/8f4d564cd4f5/amjpathol00443-0190-d.jpg
https://cdn.ncbi.nlm.nih.gov/pmc/blobs/744b/2032553/d74de9344ff1/amjpathol00443-0191-a.jpg
https://cdn.ncbi.nlm.nih.gov/pmc/blobs/744b/2032553/24ac78df01dd/amjpathol00443-0191-b.jpg
https://cdn.ncbi.nlm.nih.gov/pmc/blobs/744b/2032553/6a1fdc7915e4/amjpathol00443-0192-a.jpg
https://cdn.ncbi.nlm.nih.gov/pmc/blobs/744b/2032553/58d063feeead/amjpathol00443-0192-b.jpg
https://cdn.ncbi.nlm.nih.gov/pmc/blobs/744b/2032553/9a7d30cc06a1/amjpathol00443-0193-a.jpg
https://cdn.ncbi.nlm.nih.gov/pmc/blobs/744b/2032553/d86e340821fa/amjpathol00443-0193-b.jpg

相似文献

1
Ultrastructural observations on experimentally produced melanin pigmentation of the corneal epithelium.实验性诱导角膜上皮黑色素沉着的超微结构观察
Am J Pathol. 1976 Oct;85(1):167-82.
2
ELECTRON MICROSCOPY OF DENDRITIC CELLS IN THE HUMAN CORNEAL EPITHELIUM: A MODIFIED MASSON'S AMMONIATED SILVER NITRATE STAIN.人角膜上皮中树突状细胞的电子显微镜观察:改良的马森氨化硝酸银染色法
Invest Ophthalmol. 1965 Jun;4:264-9.
3
MIGRATION OF LIMBAL MELANOCYTES INTO THE CORNEAL EPITHELIUM OF GUINEA-PIGS.豚鼠角膜缘黑色素细胞向角膜上皮的迁移
Exp Eye Res. 1965 Mar;4:42-7. doi: 10.1016/s0014-4835(65)80008-2.
4
Posterior corneal pigmentation and fibrous proliferation by iris melanocytes.虹膜黑素细胞导致的角膜后色素沉着和纤维增生。
Arch Ophthalmol. 1981 Jul;99(7):1232-8. doi: 10.1001/archopht.1981.03930020106010.
5
Pigmented viral warts: a clinical and histopathological study including human papillomavirus typing.色素性病毒疣:一项包括人乳头瘤病毒分型的临床与组织病理学研究。
Br J Dermatol. 1998 Mar;138(3):381-9. doi: 10.1046/j.1365-2133.1998.02112.x.
6
Morphometric effects of long-term exposure to latanoprost.长期使用拉坦前列素的形态学效应
Ophthalmology. 2007 May;114(5):938-48. doi: 10.1016/j.ophtha.2006.10.025. Epub 2007 Feb 8.
7
Electron microscopical observations of melanin in the endolymphatic sac.内淋巴囊黑色素的电子显微镜观察。
Acta Otolaryngol Suppl. 1993;501:72-5. doi: 10.3109/00016489309126219.
8
Pigmented squamous cell carcinoma of cornea and conjunctiva: A light microscopic, histochemical, and ultrastructural study.
Cancer. 1976 Aug;38(2):778-88. doi: 10.1002/1097-0142(197608)38:2<778::aid-cncr2820380221>3.0.co;2-a.
9
Retrocorneal pigmentation secondary to iris stromal melanocytic proliferation.虹膜基质黑素细胞增生继发的角膜后色素沉着。
Ophthalmology. 1981 Dec;88(12):1274-80. doi: 10.1016/s0161-6420(81)34878-7.
10
Pigmented mucoepidermoid carcinoma of the oral cavity: a case report.口腔色素沉着型黏液表皮样癌:一例报告
Int J Surg Pathol. 2005 Jul;13(3):295-7. doi: 10.1177/106689690501300313.

引用本文的文献

1
International Harmonization of Nomenclature and Diagnostic Criteria (INHAND): Nonproliferative and Proliferative Lesions of Nonrodent Ocular Tissues.国际命名与诊断标准协调组织(INHAND):非啮齿类动物眼组织的非增殖性和增殖性病变
Toxicol Pathol. 2024 Oct;52(7):368-455. doi: 10.1177/01926233241283708.
2
Ocular Surface Characteristics in Pugs with Pigmentary Keratitis in the Canary Islands, Spain.西班牙加那利群岛患有色素性角膜炎的哈巴狗的眼表特征
Animals (Basel). 2024 Feb 9;14(4):580. doi: 10.3390/ani14040580.
3
Pigmented dermatofibrosarcoma (Bednar tumour) of scalp.

本文引用的文献

1
PRIMARY MALIGNANT MELANOMA OF THE CORNEA.原发性角膜恶性黑色素瘤
Br J Ophthalmol. 1962 Jan;46(1):40-4. doi: 10.1136/bjo.46.1.40.
2
A STUDY OF EPITHELIAL REGENERATION IN THE LIVING EYE.活体眼中上皮再生的研究
Br J Ophthalmol. 1944 Jan;28(1):26-40. doi: 10.1136/bjo.28.1.26.
3
ELECTRON MICROSCOPY OF DENDRITIC CELLS IN THE HUMAN CORNEAL EPITHELIUM: A MODIFIED MASSON'S AMMONIATED SILVER NITRATE STAIN.人角膜上皮中树突状细胞的电子显微镜观察:改良的马森氨化硝酸银染色法
头皮色素性隆突性皮肤纤维肉瘤(Bednar 瘤)。
BMJ Case Rep. 2023 Sep 27;16(9):e254473. doi: 10.1136/bcr-2022-254473.
4
Primary melanoma of the cornea.角膜原发性黑色素瘤。
GMS Ophthalmol Cases. 2020 Mar 18;10:Doc12. doi: 10.3205/oc000139. eCollection 2020.
5
Pigmentary keratitis in pugs in the United Kingdom: prevalence and associated features.英国哈巴狗的色素性角膜炎:患病率及相关特征。
BMC Vet Res. 2019 Oct 30;15(1):384. doi: 10.1186/s12917-019-2127-y.
6
Nonproliferative and Proliferative Lesions of the Ratand Mouse Special Sense Organs(Ocular [eye and glands], Olfactory and Otic).大鼠和小鼠特殊感觉器官(眼[眼睛和腺体]、嗅觉和听觉)的非增殖性和增殖性病变
J Toxicol Pathol. 2018;31(3 Suppl):97S-214S. doi: 10.1293/tox.31.97S. Epub 2018 Jul 28.
7
The ultrastructure of conjunctival melanocytic tumors.结膜黑素细胞肿瘤的超微结构
Trans Am Ophthalmol Soc. 1984;82:599-752.
8
Intermediate filaments in malignant melanomas. Identification and use as marker in surgical pathology.恶性黑色素瘤中的中间丝。在外科病理学中的鉴定及用作标志物
J Clin Invest. 1983 Mar;71(3):635-43. doi: 10.1172/jci110810.
9
Recurrent malignant melanoma of the corneal stroma: a case of 'black cornea'.角膜基质复发性恶性黑色素瘤:一例“黑角膜”病例。
Br J Ophthalmol. 1992 Jul;76(7):444-6. doi: 10.1136/bjo.76.7.444.
10
Laser photocoagulation for corneal stromal vascularization.用于角膜基质血管化的激光光凝术。
Trans Am Ophthalmol Soc. 1992;90:595-669.
Invest Ophthalmol. 1965 Jun;4:264-9.
4
MEASLES VIRUS GIANT CELL INDUCING FACTOR (FUSION FACTOR).麻疹病毒巨细胞诱导因子(融合因子)。
Virology. 1965 Jun;26:311-25. doi: 10.1016/0042-6822(65)90279-5.
5
AN ELECTRON MICROSCOPIC STUDY OF THE DENDRITIC CELLS IN THE BASAL LAYER OF GUINEA-PIG EPIDERMIS.豚鼠表皮基底层中树突状细胞的电子显微镜研究。
Z Zellforsch Mikrosk Anat. 1965 May 6;66(3):457-70. doi: 10.1007/BF00334726.
6
MIGRATION OF LIMBAL MELANOCYTES INTO THE CORNEAL EPITHELIUM OF GUINEA-PIGS.豚鼠角膜缘黑色素细胞向角膜上皮的迁移
Exp Eye Res. 1965 Mar;4:42-7. doi: 10.1016/s0014-4835(65)80008-2.
7
ELECTRON MICROSCOPIC STUDIES ON THE HUMAN CORNEAL EPITHELIUM: DENDRITIC CELLS.人角膜上皮的电子显微镜研究:树突状细胞
Arch Ophthalmol. 1964 Nov;72:650-9. doi: 10.1001/archopht.1964.00970020650014.
8
STRIATE MELANOKERATOSIS IN NEGROES.黑人的纹状黑色素角化病
Am J Ophthalmol. 1964 Mar;57:443-9. doi: 10.1016/0002-9394(64)92661-3.
9
MALIGNANT MELANOMA OF THE CORNEA.角膜恶性黑色素瘤
Ophthalmologica. 1963;146:353-4. doi: 10.1159/000304542.
10
[PRIMARY MELANOMA OF THE POSTERIOR CORNEAL SURFACE].[角膜后表面原发性黑色素瘤]
Klin Monbl Augenheilkd. 1963 Nov;143:529-34.