• 文献检索
  • 文档翻译
  • 深度研究
  • 学术资讯
  • Suppr Zotero 插件Zotero 插件
  • 邀请有礼
  • 套餐&价格
  • 历史记录
应用&插件
Suppr Zotero 插件Zotero 插件浏览器插件Mac 客户端Windows 客户端微信小程序
定价
高级版会员购买积分包购买API积分包
服务
文献检索文档翻译深度研究API 文档MCP 服务
关于我们
关于 Suppr公司介绍联系我们用户协议隐私条款
关注我们

Suppr 超能文献

核心技术专利:CN118964589B侵权必究
粤ICP备2023148730 号-1Suppr @ 2026

文献检索

告别复杂PubMed语法,用中文像聊天一样搜索,搜遍4000万医学文献。AI智能推荐,让科研检索更轻松。

立即免费搜索

文件翻译

保留排版,准确专业,支持PDF/Word/PPT等文件格式,支持 12+语言互译。

免费翻译文档

深度研究

AI帮你快速写综述,25分钟生成高质量综述,智能提取关键信息,辅助科研写作。

立即免费体验

大鼠移植胰岛的命运

The fate of transplanted pancreatic islets in the rat.

作者信息

Franklin W A, Schulak J A, Reckard C R

出版信息

Am J Pathol. 1979 Jan;94(1):85-95.

PMID:104625
原文链接:https://pmc.ncbi.nlm.nih.gov/articles/PMC2042233/
Abstract

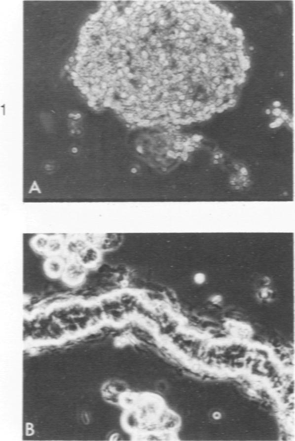
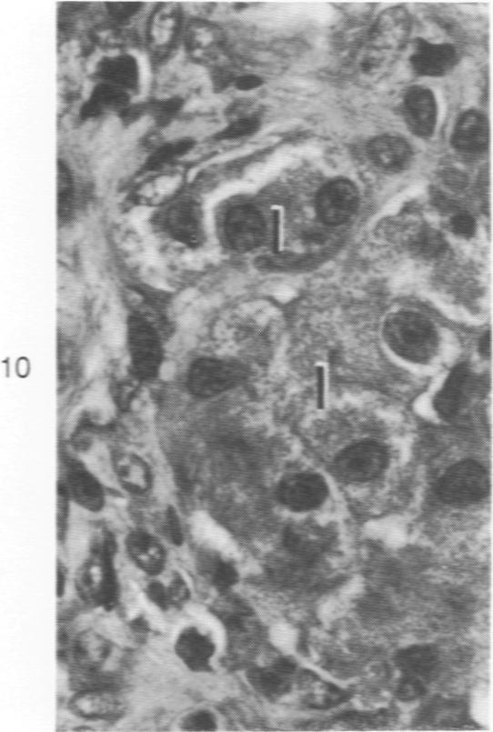
Syngeneic pancreatic islets transplanted into the liver or the spleen reverse streptozotocin-induced diabetes in the rat, but allogeneic islets function only briefly and are rejected. Shortly after transplantation, thrombi often form around transplanted tissue, particularly around nonislet tissue that contaminates islet preparations. These thrombi are a source of transient liver injury in recipients of intrahepatic grafts. A few days after transplantation, syngeneic islets injected into the portal vein are found at the periphery of portal tracts in direct contact with periportal hepatocytes, some of which become hypertrophied. Isografts remain situated in the portal tracts for prolonged periods without adverse effect on the surrounding liver. In contrast, allogeneic islets injected into the portal vein are infiltrated by small lymphocytes within 2 days of transplantation and are rapidly destroyed by the host. Syngeneic islets injected into the splenic pulp localize in the sinusoids and, 1 month or more after transplantation, are often surrounded by connective tissue or local collections of hemosiderin-laden macrophages. Allogeneic islets injected into the spleen are rejected with the same intensity and at approximately the same rate as allogeneic islets injected into the portal vein. Transplant rejection leaves no significant lasting morphologic effect on the host liver or spleen.

摘要

将同基因胰岛移植到肝脏或脾脏中可逆转链脲佐菌素诱导的大鼠糖尿病,但异基因胰岛仅能短暂发挥功能并被排斥。移植后不久,血栓常围绕移植组织形成,尤其是在污染胰岛制剂的非胰岛组织周围。这些血栓是肝内移植受体短暂性肝损伤的一个来源。移植几天后,注入门静脉的同基因胰岛位于门管区周边,与门周肝细胞直接接触,其中一些肝细胞会肥大。同基因移植胰岛可长时间位于门管区,而对周围肝脏无不良影响。相比之下,注入门静脉的异基因胰岛在移植后2天内就会被小淋巴细胞浸润,并迅速被宿主破坏。注入脾髓的同基因胰岛定位于血窦,移植1个月或更长时间后,常被结缔组织或含铁血黄素巨噬细胞局部聚集所包围。注入脾脏的异基因胰岛与注入门静脉的异基因胰岛以相同强度、大致相同速率被排斥。移植排斥对宿主肝脏或脾脏没有显著的持久形态学影响。

https://cdn.ncbi.nlm.nih.gov/pmc/blobs/cc3e/2042233/68ba7aec2d0f/amjpathol00245-0103-d.jpg
https://cdn.ncbi.nlm.nih.gov/pmc/blobs/cc3e/2042233/e2ebc6571e67/amjpathol00245-0104-a.jpg
https://cdn.ncbi.nlm.nih.gov/pmc/blobs/cc3e/2042233/27b490f363a6/amjpathol00245-0104-b.jpg
https://cdn.ncbi.nlm.nih.gov/pmc/blobs/cc3e/2042233/3fa1427cb35f/amjpathol00245-0104-c.jpg
https://cdn.ncbi.nlm.nih.gov/pmc/blobs/cc3e/2042233/6cd13c16c916/amjpathol00245-0104-d.jpg
https://cdn.ncbi.nlm.nih.gov/pmc/blobs/cc3e/2042233/320782096ce7/amjpathol00245-0102-a.jpg
https://cdn.ncbi.nlm.nih.gov/pmc/blobs/cc3e/2042233/d9f949339a28/amjpathol00245-0102-b.jpg
https://cdn.ncbi.nlm.nih.gov/pmc/blobs/cc3e/2042233/1242c1f0073d/amjpathol00245-0102-d.jpg
https://cdn.ncbi.nlm.nih.gov/pmc/blobs/cc3e/2042233/e997371599b5/amjpathol00245-0103-a.jpg
https://cdn.ncbi.nlm.nih.gov/pmc/blobs/cc3e/2042233/419681b75244/amjpathol00245-0103-b.jpg
https://cdn.ncbi.nlm.nih.gov/pmc/blobs/cc3e/2042233/501e1e74b237/amjpathol00245-0103-c.jpg
https://cdn.ncbi.nlm.nih.gov/pmc/blobs/cc3e/2042233/68ba7aec2d0f/amjpathol00245-0103-d.jpg
https://cdn.ncbi.nlm.nih.gov/pmc/blobs/cc3e/2042233/e2ebc6571e67/amjpathol00245-0104-a.jpg
https://cdn.ncbi.nlm.nih.gov/pmc/blobs/cc3e/2042233/27b490f363a6/amjpathol00245-0104-b.jpg
https://cdn.ncbi.nlm.nih.gov/pmc/blobs/cc3e/2042233/3fa1427cb35f/amjpathol00245-0104-c.jpg
https://cdn.ncbi.nlm.nih.gov/pmc/blobs/cc3e/2042233/6cd13c16c916/amjpathol00245-0104-d.jpg
https://cdn.ncbi.nlm.nih.gov/pmc/blobs/cc3e/2042233/320782096ce7/amjpathol00245-0102-a.jpg
https://cdn.ncbi.nlm.nih.gov/pmc/blobs/cc3e/2042233/d9f949339a28/amjpathol00245-0102-b.jpg
https://cdn.ncbi.nlm.nih.gov/pmc/blobs/cc3e/2042233/1242c1f0073d/amjpathol00245-0102-d.jpg
https://cdn.ncbi.nlm.nih.gov/pmc/blobs/cc3e/2042233/e997371599b5/amjpathol00245-0103-a.jpg
https://cdn.ncbi.nlm.nih.gov/pmc/blobs/cc3e/2042233/419681b75244/amjpathol00245-0103-b.jpg
https://cdn.ncbi.nlm.nih.gov/pmc/blobs/cc3e/2042233/501e1e74b237/amjpathol00245-0103-c.jpg
https://cdn.ncbi.nlm.nih.gov/pmc/blobs/cc3e/2042233/68ba7aec2d0f/amjpathol00245-0103-d.jpg

相似文献

1
The fate of transplanted pancreatic islets in the rat.大鼠移植胰岛的命运
Am J Pathol. 1979 Jan;94(1):85-95.
2
Influence of the numbers of islets on the models of rat syngeneic-islet and allogeneic-islet transplantations.胰岛数量对大鼠同基因胰岛和异基因胰岛移植模型的影响。
Transplant Proc. 2006 Oct;38(8):2726-8. doi: 10.1016/j.transproceed.2006.08.002.
3
The rejection of islets of Langerhans following intrahepatic transplantation in the rat.大鼠肝内移植后胰岛的排斥反应。
Acta Endocrinol Suppl (Copenh). 1976;205:295-302.
4
Influence of hepatocyte-rich liver cell mixture and liver fibroblasts on prolonging graft islet survival in rats without immunosuppressive drugs.富含肝细胞的肝细胞混合物和肝成纤维细胞对无免疫抑制药物情况下大鼠移植胰岛存活时间延长的影响。
Exp Clin Endocrinol Diabetes. 2004 Nov;112(10):580-6. doi: 10.1055/s-2004-830403.
5
Heterotopic liver transplantation in rats: effect of intrahepatic islet isografts and split portal blood flow on liver integrity after auxiliary liver isotransplantation.大鼠异位肝移植:肝内胰岛同基因移植及门静脉分流对辅助性肝同基因移植后肝脏完整性的影响
Surgery. 1994 Jan;115(1):108-17.
6
Transplantation of islet tissue in the rat.大鼠胰岛组织移植
Acta Endocrinol Suppl (Copenh). 1976;205:257-81.
7
Expression of intrahepatic inducible nitric oxide synthetase mRNA correlates with production of nitric oxide during intraportal isogeneic and allogeneic rat islet transplantation.肝内诱导型一氧化氮合酶mRNA的表达与同种同基因和同种异体大鼠门静脉胰岛移植过程中一氧化氮的产生相关。
Transplant Proc. 1995 Feb;27(1):615-6.
8
The fate of intraportally transplanted islets in diabetic rats. A morphologic and immunohistochemical study.糖尿病大鼠门静脉内移植胰岛的命运:一项形态学和免疫组织化学研究
Am J Pathol. 1978 Sep;92(3):653-70.
9
Different islet protein expression profiles during spontaneous diabetes development vs. allograft rejection in BB-DP rats.BB-DP大鼠自发糖尿病发展过程与同种异体移植排斥反应期间不同的胰岛蛋白表达谱。
Autoimmunity. 2006 Jun;39(4):315-21. doi: 10.1080/08916930600648269.
10
Transplantation of cultured pancreatic islets to BB rats.将培养的胰岛移植到BB大鼠体内。
Surgery. 1986 Aug;100(2):334-41.

引用本文的文献

1
Non-invasive detection of transplanted pancreatic islets.移植胰岛的非侵入性检测
Diabetes Obes Metab. 2008 Nov;10 Suppl 4(0 4):88-97. doi: 10.1111/j.1463-1326.2008.00942.x.
2
A histological study of intrasplenic transplanted neonatal rat pancreas and of adjacent adipose tissue proliferation.新生大鼠脾脏内移植胰腺及相邻脂肪组织增殖的组织学研究。
Diabetologia. 1982 Feb;22(2):128-33. doi: 10.1007/BF00254842.
3
Prolongation of intrasplenic islet xenograft survival.延长脾内胰岛异种移植的存活时间。

本文引用的文献

1
Transplantation of intact pancreatic islets in rats.大鼠完整胰岛移植
Surgery. 1972 Aug;72(2):175-86.
2
The use of ficoll in the preparation of viable islets of langerhans from the rat pancreas.
Transplantation. 1973 Dec;16(6):686-9. doi: 10.1097/00007890-197312000-00028.
3
Transplantation of isolated pancreatic islets into the portal vein of diabetic rats.将分离的胰岛移植到糖尿病大鼠的门静脉中。
Nature. 1973 Aug 17;244(5416):447. doi: 10.1038/244447a0.
Am J Pathol. 1982 Apr;107(1):1-5.
4
Pancreas and islet transplantation. I. Experimental studies.胰腺和胰岛移植。I. 实验研究。
Diabetologia. 1981 Mar;20(3):161-85. doi: 10.1007/BF00252624.
5
The grafted fetal rat pancreas: features of development and rejection.移植的胎鼠胰腺:发育与排斥的特征
Am J Pathol. 1980 Jul;100(1):209-24.
6
Natural history of intrahepatic canine islet cell autografts.犬肝内胰岛细胞自体移植的自然病史。
J Clin Invest. 1986 Nov;78(5):1339-48. doi: 10.1172/JCI112720.
7
Prospects for pancreatic islet transplantation.胰岛移植的前景。
World J Surg. 1986 Jun;10(3):410-21. doi: 10.1007/BF01655301.
8
The effect of hyperglycaemia on pancreatic islets transplanted into rats beneath the kidney capsule.高血糖对移植到大鼠肾被膜下的胰岛的影响。
Diabetologia. 1989 Sep;32(9):663-7. doi: 10.1007/BF00274254.
4
Physiological and immunological consequences of transplanting isolated pancreatic islets.
Surgery. 1973 Jul;74(1):91-9.
5
Transplantation of pancreatic islets into the spleen of diabetic rats and subsequent splenectomy.将胰岛移植到糖尿病大鼠的脾脏中,随后进行脾切除术。
Transplantation. 1976 May;21(5):427-9.
6
Acute hepatocellular damage following intraportal transplantation of pancreatic islets in rats.大鼠门静脉内移植胰岛后急性肝细胞损伤
J Surg Res. 1978 Mar;24(3):182-7. doi: 10.1016/0022-4804(78)90172-5.
7
A morphologic study of intrahepatic portal-vein islet isografts.肝内门静脉胰岛同种异体移植的形态学研究。
Diabetes. 1977 Mar;26(3):201-14. doi: 10.2337/diab.26.3.201.
8
Intrasplenic islet isografts.
Surgery. 1977 Sep;82(3):386-94.
9
Effect of intrahepatically implanted islets of Langerhans on hepatic function in the rat.肝内植入胰岛对大鼠肝功能的影响。
Mayo Clin Proc. 1975 Jul;50(7):416-9.
10
Intrasplenic versus intraportal pancreatic islet transplants: quantitative, qualitative and immunological aspects.脾内与门静脉内胰岛移植:定量、定性及免疫学方面
Trans Am Soc Artif Intern Organs. 1978;24:232-4.