Suppr超能文献

Azithromycin-induced block of elementary body formation in Chlamydia trachomatis.

作者信息

Engel J N

机构信息

Department of Medicine, University of California, San Francisco 94143.

出版信息

Antimicrob Agents Chemother. 1992 Oct;36(10):2304-9. doi: 10.1128/AAC.36.10.2304.

Abstract

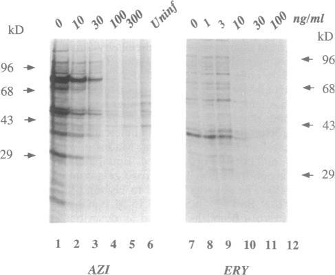
The mechanism of action of azithromycin on the murine strain of Chlamydia trachomatis grown in tissue culture epithelial cells is addressed. Azithromycin at a concentration of 100 ng/ml inhibits chlamydial growth in tissue culture, a value that agrees well with prior in vitro data from human strains of C. trachomatis grown in tissue culture. By morphological criteria, the block to chlamydial growth appears to occur early in its life cycle. Azithromycin is not directly toxic to chlamydial elementary bodies but does inhibit chlamydial protein synthesis in chlamydia-infected cells. This inhibition appears quite general in nature and is rapid. It is further shown that azithromycin does not directly inhibit mRNA synthesis. Azithromycin blocks chlamydial protein synthesis in host cell-free chlamydial reticulate bodies in a manner similar to its inhibition in infected cells, albeit at slightly higher concentrations. The inhibition of chlamydial protein synthesis following a brief exposure to azithromycin is more long lasting than that following a brief exposure to erythromycin.

摘要
https://cdn.ncbi.nlm.nih.gov/pmc/blobs/8b0a/245493/0ea7f9bdc0a0/aac00044-0262-a.jpg

文献AI研究员

20分钟写一篇综述,助力文献阅读效率提升50倍。

立即体验

用中文搜PubMed

大模型驱动的PubMed中文搜索引擎

马上搜索

文档翻译

学术文献翻译模型,支持多种主流文档格式。

立即体验