• 文献检索
  • 文档翻译
  • 深度研究
  • 学术资讯
  • Suppr Zotero 插件Zotero 插件
  • 邀请有礼
  • 套餐&价格
  • 历史记录
应用&插件
Suppr Zotero 插件Zotero 插件浏览器插件Mac 客户端Windows 客户端微信小程序
定价
高级版会员购买积分包购买API积分包
服务
文献检索文档翻译深度研究API 文档MCP 服务
关于我们
关于 Suppr公司介绍联系我们用户协议隐私条款
关注我们

Suppr 超能文献

核心技术专利:CN118964589B侵权必究
粤ICP备2023148730 号-1Suppr @ 2026

文献检索

告别复杂PubMed语法,用中文像聊天一样搜索,搜遍4000万医学文献。AI智能推荐,让科研检索更轻松。

立即免费搜索

文件翻译

保留排版,准确专业,支持PDF/Word/PPT等文件格式,支持 12+语言互译。

免费翻译文档

深度研究

AI帮你快速写综述,25分钟生成高质量综述,智能提取关键信息,辅助科研写作。

立即免费体验

腺病毒E1A、猿猴病毒40肿瘤抗原和人乳头瘤病毒E7蛋白都具有破坏转录因子E2F与视网膜母细胞瘤基因产物之间相互作用的能力。

Adenovirus E1A, simian virus 40 tumor antigen, and human papillomavirus E7 protein share the capacity to disrupt the interaction between transcription factor E2F and the retinoblastoma gene product.

作者信息

Chellappan S, Kraus V B, Kroger B, Munger K, Howley P M, Phelps W C, Nevins J R

机构信息

Howard Hughes Medical Institute, Department of Microbiology and Immunology, Duke University Medical Center, Durham, NC 27710.

出版信息

Proc Natl Acad Sci U S A. 1992 May 15;89(10):4549-53. doi: 10.1073/pnas.89.10.4549.

DOI:10.1073/pnas.89.10.4549
PMID:1316611
原文链接:https://pmc.ncbi.nlm.nih.gov/articles/PMC49120/
Abstract

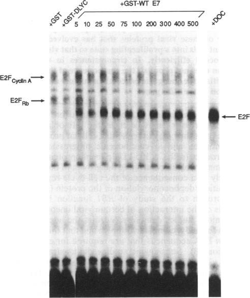
The adenovirus E1A gene product, the simian virus 40 large tumor antigen, and the human papillomavirus E7 protein share a short amino acid sequence that constitutes a domain required for the transforming activity of these proteins. These sequences are also required for these proteins to bind to the retinoblastoma gene product (pRb). Recent experiments have shown that E1A can dissociate complexes containing the transcription factor E2F bound to pRb, dependent on this conserved sequence element. We now show that the E7 protein and the simian virus 40 large tumor antigen can dissociate the E2F-pRb complex, dependent on this conserved sequence element. We also find that the E2F-pRb complex is absent in various human cervical carcinoma cell lines that either express the E7 protein or harbor an RB1 mutation, suggesting that the loss of the E2F-pRb interaction may be an important aspect in human cervical carcinogenesis. We suggest that the ability of E1A, the simian virus 40 large tumor antigen, and E7 to dissociate the E2F-pRb complex may be a common activity of these viral proteins that has evolved to stimulate quiescent cells into a proliferating state so that viral replication can proceed efficiently. In circumstances in which a lytic infection does not proceed, the consequence of this action may be to initiate the oncogenic process in a manner analogous to the mutation of the RB1 gene.

摘要

腺病毒E1A基因产物、猿猴病毒40大T抗原和人乳头瘤病毒E7蛋白共享一段短氨基酸序列,该序列构成了这些蛋白质转化活性所需的结构域。这些序列也是这些蛋白质与视网膜母细胞瘤基因产物(pRb)结合所必需的。最近的实验表明,E1A可以依赖于这个保守序列元件,解离包含与pRb结合的转录因子E2F的复合物。我们现在表明,E7蛋白和猿猴病毒40大T抗原可以依赖于这个保守序列元件,解离E2F-pRb复合物。我们还发现,在表达E7蛋白或携带RB1突变的各种人宫颈癌细胞系中,E2F-pRb复合物不存在,这表明E2F-pRb相互作用的丧失可能是人类宫颈癌发生的一个重要方面。我们认为,E1A、猿猴病毒40大T抗原和E7解离E2F-pRb复合物的能力可能是这些病毒蛋白的一种共同活性,其进化目的是将静止细胞刺激进入增殖状态,以便病毒复制能够有效进行。在溶细胞感染不发生的情况下,这种作用的后果可能是以类似于RB1基因突变的方式启动致癌过程。

https://cdn.ncbi.nlm.nih.gov/pmc/blobs/2397/49120/25f2b1bd54fb/pnas01084-0342-a.jpg
https://cdn.ncbi.nlm.nih.gov/pmc/blobs/2397/49120/c485a08b96ba/pnas01084-0340-a.jpg
https://cdn.ncbi.nlm.nih.gov/pmc/blobs/2397/49120/997e82c0362d/pnas01084-0340-b.jpg
https://cdn.ncbi.nlm.nih.gov/pmc/blobs/2397/49120/21a0abe737c2/pnas01084-0341-a.jpg
https://cdn.ncbi.nlm.nih.gov/pmc/blobs/2397/49120/25f2b1bd54fb/pnas01084-0342-a.jpg
https://cdn.ncbi.nlm.nih.gov/pmc/blobs/2397/49120/c485a08b96ba/pnas01084-0340-a.jpg
https://cdn.ncbi.nlm.nih.gov/pmc/blobs/2397/49120/997e82c0362d/pnas01084-0340-b.jpg
https://cdn.ncbi.nlm.nih.gov/pmc/blobs/2397/49120/21a0abe737c2/pnas01084-0341-a.jpg
https://cdn.ncbi.nlm.nih.gov/pmc/blobs/2397/49120/25f2b1bd54fb/pnas01084-0342-a.jpg

相似文献

1
Adenovirus E1A, simian virus 40 tumor antigen, and human papillomavirus E7 protein share the capacity to disrupt the interaction between transcription factor E2F and the retinoblastoma gene product.腺病毒E1A、猿猴病毒40肿瘤抗原和人乳头瘤病毒E7蛋白都具有破坏转录因子E2F与视网膜母细胞瘤基因产物之间相互作用的能力。
Proc Natl Acad Sci U S A. 1992 May 15;89(10):4549-53. doi: 10.1073/pnas.89.10.4549.
2
Binding of the human E2F transcription factor to the retinoblastoma protein but not to cyclin A is abolished in HPV-16-immortalized cells.在人乳头瘤病毒16型(HPV - 16)永生化细胞中,人E2F转录因子与视网膜母细胞瘤蛋白的结合被消除,但与细胞周期蛋白A的结合未被消除。
Oncogene. 1992 Sep;7(9):1681-6.
3
Association of the human papillomavirus type 16 E7 protein with the S-phase-specific E2F-cyclin A complex.人乳头瘤病毒16型E7蛋白与S期特异性E2F-细胞周期蛋白A复合物的关联。
Mol Cell Biol. 1993 Oct;13(10):6537-46. doi: 10.1128/mcb.13.10.6537-6546.1993.
4
Protein domains governing interactions between E2F, the retinoblastoma gene product, and human papillomavirus type 16 E7 protein.调控E2F、视网膜母细胞瘤基因产物与人乳头瘤病毒16型E7蛋白之间相互作用的蛋白质结构域。
Mol Cell Biol. 1993 Feb;13(2):953-60. doi: 10.1128/mcb.13.2.953-960.1993.
5
Mutagenesis of the pRB pocket reveals that cell cycle arrest functions are separable from binding to viral oncoproteins.pRB口袋区域的诱变表明,细胞周期阻滞功能与结合病毒癌蛋白的功能是可分离的。
Mol Cell Biol. 2000 May;20(10):3715-27. doi: 10.1128/MCB.20.10.3715-3727.2000.
6
The interaction of RB with E2F coincides with an inhibition of the transcriptional activity of E2F.RB与E2F的相互作用与E2F转录活性的抑制同时发生。
Genes Dev. 1992 Feb;6(2):177-85. doi: 10.1101/gad.6.2.177.
7
Novel mechanisms of E2F induction by BK virus large-T antigen: requirement of both the pRb-binding and the J domains.BK病毒大T抗原诱导E2F的新机制:pRb结合域和J结构域均需存在
Mol Cell Biol. 1998 Mar;18(3):1746-56. doi: 10.1128/MCB.18.3.1746.
8
Cell cycle-dependent disruption of E2F-p107 complexes by human papillomavirus type 16 E7.人乳头瘤病毒16型E7蛋白对E2F-p107复合物的细胞周期依赖性破坏
J Gen Virol. 1995 Jul;76 ( Pt 7):1815-20. doi: 10.1099/0022-1317-76-7-1815.
9
Independent regions of adenovirus E1A are required for binding to and dissociation of E2F-protein complexes.腺病毒E1A的独立区域是与E2F蛋白复合物结合和解离所必需的。
Mol Cell Biol. 1993 Dec;13(12):7267-77. doi: 10.1128/mcb.13.12.7267-7277.1993.
10
The human papillomavirus E7 oncoprotein and the cellular transcription factor E2F bind to separate sites on the retinoblastoma tumor suppressor protein.人乳头瘤病毒E7癌蛋白与细胞转录因子E2F分别结合于视网膜母细胞瘤肿瘤抑制蛋白的不同位点。
J Virol. 1993 Apr;67(4):2402-7. doi: 10.1128/JVI.67.4.2402-2407.1993.

引用本文的文献

1
Human papilloma virus (HPV) mediated cancers: an insightful update.人乳头瘤病毒(HPV)介导的癌症:深入的最新进展
J Transl Med. 2025 Apr 29;23(1):483. doi: 10.1186/s12967-025-06470-x.
2
The retinoblastoma protein contributes to maintaining the stability of HPV E7 in cervical cancer cells.视网膜母细胞瘤蛋白有助于维持子宫颈癌细胞中HPV E7的稳定性。
J Virol. 2025 Apr 15;99(4):e0220324. doi: 10.1128/jvi.02203-24. Epub 2025 Mar 25.
3
De-regulation of aurora kinases by oncogenic HPV; implications in cancer development and treatment.

本文引用的文献

1
Expression of recessive alleles by chromosomal mechanisms in retinoblastoma.视网膜母细胞瘤中隐性等位基因通过染色体机制的表达。
Nature. 1983;305(5937):779-84. doi: 10.1038/305779a0.
2
Retinoblastoma: clues to human oncogenesis.视网膜母细胞瘤:人类肿瘤发生的线索
Science. 1984 Mar 9;223(4640):1028-33. doi: 10.1126/science.6320372.
3
SV40 transformation of human diploid cells. A parallel study of viral and karyologic parameters.人二倍体细胞的SV40转化。病毒学和染色体参数的平行研究。
致癌性人乳头瘤病毒对极光激酶的失调;对癌症发展和治疗的影响。
Tumour Virus Res. 2025 Feb 7;19:200314. doi: 10.1016/j.tvr.2025.200314.
4
The HPV101 E7 protein shares host cellular targets and biological activities with high-risk HPV16 E7.人乳头瘤病毒101型E7蛋白与人乳头瘤病毒16型高危E7蛋白具有共同的宿主细胞靶点和生物学活性。
Tumour Virus Res. 2024 Dec 5;19:200300. doi: 10.1016/j.tvr.2024.200300.
5
Exploring the Multifactorial Landscape of Penile Cancer: A Comprehensive Analysis of Risk Factors.探索阴茎癌的多因素格局:危险因素的综合分析
Diagnostics (Basel). 2024 Aug 16;14(16):1790. doi: 10.3390/diagnostics14161790.
6
Oncoproteins E6 and E7 upregulate topoisomerase I to activate the cGAS-PD-L1 pathway in cervical cancer development.癌蛋白E6和E7上调拓扑异构酶I以激活宫颈癌发生过程中的cGAS-PD-L1通路。
Front Pharmacol. 2024 Aug 2;15:1450875. doi: 10.3389/fphar.2024.1450875. eCollection 2024.
7
Bioinformatics Analysis Reveals E6 and E7 of HPV 16 Regulate Metabolic Reprogramming in Cervical Cancer, Head and Neck Cancer, and Colorectal Cancer through the PHD2-VHL-CUL2-ELOC-HIF-1α Axis.生物信息学分析揭示人乳头瘤病毒16型的E6和E7通过PHD2-VHL-CUL2-ELOC-HIF-1α轴调控宫颈癌、头颈癌和结直肠癌中的代谢重编程。
Curr Issues Mol Biol. 2024 Jun 19;46(6):6199-6222. doi: 10.3390/cimb46060370.
8
Management for persistent HPV infection and cervical lesions among women infected with HIV: a retrospective observational cohort study.HIV 感染者中持续性 HPV 感染和宫颈病变的管理:一项回顾性观察性队列研究。
Virol J. 2024 Jun 6;21(1):133. doi: 10.1186/s12985-024-02405-y.
9
9-oxo-ODAs suppresses the proliferation of human cervical cancer cells through the inhibition of CDKs and HPV oncoproteins.9-氧代-ODAs 通过抑制 CDK 和 HPV 癌蛋白来抑制人宫颈癌细胞的增殖。
Sci Rep. 2023 Nov 6;13(1):19208. doi: 10.1038/s41598-023-44365-3.
10
MmuPV1 E7's interaction with PTPN14 delays Epithelial differentiation and contributes to virus-induced skin disease.MmuPV1 E7 与 PTPN14 的相互作用会延迟上皮细胞分化,并导致病毒引起的皮肤疾病。
PLoS Pathog. 2023 Apr 10;19(4):e1011215. doi: 10.1371/journal.ppat.1011215. eCollection 2023 Apr.
Ann Med Exp Biol Fenn. 1966;44(2):242-54.
4
E1a regions of the human adenoviruses and of the highly oncogenic simian adenovirus 7 are closely related.人类腺病毒和高度致癌的猿猴腺病毒7的E1a区域密切相关。
J Virol. 1985 Feb;53(2):399-409. doi: 10.1128/JVI.53.2.399-409.1985.
5
Deletions of a DNA sequence in retinoblastomas and mesenchymal tumors: organization of the sequence and its encoded protein.视网膜母细胞瘤和间充质肿瘤中DNA序列的缺失:序列及其编码蛋白的结构
Proc Natl Acad Sci U S A. 1987 Dec;84(24):9059-63. doi: 10.1073/pnas.84.24.9059.
6
Inactivation of the retinoblastoma susceptibility gene in human breast cancers.人类乳腺癌中视网膜母细胞瘤易感基因的失活。
Science. 1988 Jul 8;241(4862):218-21. doi: 10.1126/science.3388033.
7
Suppression of the neoplastic phenotype by replacement of the RB gene in human cancer cells.通过在人类癌细胞中替换RB基因来抑制肿瘤表型。
Science. 1988 Dec 16;242(4885):1563-6. doi: 10.1126/science.3201247.
8
Structural rearrangement of the retinoblastoma gene in human breast carcinoma.人类乳腺癌中视网膜母细胞瘤基因的结构重排。
Science. 1988 Oct 14;242(4876):263-6. doi: 10.1126/science.3175651.
9
Some retinoblastomas, osteosarcomas, and soft tissue sarcomas may share a common etiology.一些视网膜母细胞瘤、骨肉瘤和软组织肉瘤可能有共同的病因。
Proc Natl Acad Sci U S A. 1988 Apr;85(7):2106-9. doi: 10.1073/pnas.85.7.2106.
10
Identification of separate domains in the adenovirus E1A gene for immortalization activity and the activation of virus early genes.鉴定腺病毒E1A基因中用于永生化活性和病毒早期基因激活的不同结构域。
Mol Cell Biol. 1986 Oct;6(10):3470-80. doi: 10.1128/mcb.6.10.3470-3480.1986.