• 文献检索
  • 文档翻译
  • 深度研究
  • 学术资讯
  • Suppr Zotero 插件Zotero 插件
  • 邀请有礼
  • 套餐&价格
  • 历史记录
应用&插件
Suppr Zotero 插件Zotero 插件浏览器插件Mac 客户端Windows 客户端微信小程序
定价
高级版会员购买积分包购买API积分包
服务
文献检索文档翻译深度研究API 文档MCP 服务
关于我们
关于 Suppr公司介绍联系我们用户协议隐私条款
关注我们

Suppr 超能文献

核心技术专利:CN118964589B侵权必究
粤ICP备2023148730 号-1Suppr @ 2026

文献检索

告别复杂PubMed语法,用中文像聊天一样搜索,搜遍4000万医学文献。AI智能推荐,让科研检索更轻松。

立即免费搜索

文件翻译

保留排版,准确专业,支持PDF/Word/PPT等文件格式,支持 12+语言互译。

免费翻译文档

深度研究

AI帮你快速写综述,25分钟生成高质量综述,智能提取关键信息,辅助科研写作。

立即免费体验

人肠道移植物抗宿主病中黏附分子的表达

Expression of adhesion molecules in human intestinal graft-versus-host disease.

作者信息

Norton J, Sloane J P, al-Saffar N, Haskard D O

机构信息

Department of Histopathology, Royal Marsden Hospital, Sutton, Surrey, UK.

出版信息

Clin Exp Immunol. 1992 Feb;87(2):231-6. doi: 10.1111/j.1365-2249.1992.tb02980.x.

DOI:10.1111/j.1365-2249.1992.tb02980.x
PMID:1370927
原文链接:https://pmc.ncbi.nlm.nih.gov/articles/PMC1554265/
Abstract

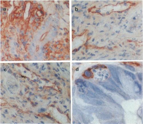
The distribution of three cellular adhesion molecules, ICAM-1, ELAM-1 and VCAM-1, was studied in normal rectal mucosa and in graft-versus-host disease (GvHD) using immunohistological and morphometric techniques. In normal controls, ICAM-1 was demonstrable on endothelial cells and leucocytes within the lamina propria, ELAM-1 on endothelial cells only and VCAM-1 on lamina propria leucocytes, many of which exhibited long dendritic processes surrounding the glands. In GvHD, the enterocytes became positive for ICAM-1 and this was often associated with the presence of intra-epithelial LFA-1+ lymphocytes and macrophages, the latter containing debris of apoptotic cells. The staining was, however, restricted to the luminal membrane of the epithelial cells, raising doubts about the role of ICAM-1 as a ligand for LFA-1 on mucosal leucocytes in rectal GvHD. ELAM-1 expression was increased in GvHD both in terms of the length of positive endothelium and staining intensity. VACM-1 was increased on endothelial cells but not leucocytes in the lamina propria in contrast to our previous findings in cutaneous GvHD where VCAM-1+ dendritic cells were increased and endothelial cells remained negative. Normal patterns of adhesion molecule staining were seen in two biopsies exhibiting no morphological evidence of GvHD, from patients who had strong clinical evidence of the disease, indicating that immunostaining for these molecules is unlikely to be of help in improving the sensitivity of histological diagnosis. However, the possibility that adhesion molecule staining may be useful in improving diagnostic specificity by helping to distinguish GvHD from identical histological changes produced by irradiation and cytotoxic drugs is worthy of further investigation.

摘要

采用免疫组织学和形态计量学技术,研究了三种细胞黏附分子ICAM-1、ELAM-1和VCAM-1在正常直肠黏膜和移植物抗宿主病(GvHD)中的分布。在正常对照组中,ICAM-1在固有层内的内皮细胞和白细胞上可检测到,ELAM-1仅在内皮细胞上,VCAM-1在固有层白细胞上,其中许多白细胞表现出围绕腺体的长树突状突起。在GvHD中,肠上皮细胞对ICAM-1呈阳性,这通常与上皮内LFA-1+淋巴细胞和巨噬细胞的存在有关,后者含有凋亡细胞的碎片。然而,染色仅限于上皮细胞的腔面膜,这使人对ICAM-1作为直肠GvHD中黏膜白细胞上LFA-1的配体的作用产生怀疑。在GvHD中,ELAM-1的表达在阳性内皮长度和染色强度方面均增加。与我们之前在皮肤GvHD中的发现相反,在GvHD中,固有层内皮细胞上的VACM-1增加,而白细胞上没有增加,在皮肤GvHD中,VCAM-1+树突状细胞增加,内皮细胞保持阴性。在两名活检中未见GvHD形态学证据的患者中,观察到黏附分子染色的正常模式,这些患者有该疾病的强烈临床证据,表明对这些分子进行免疫染色不太可能有助于提高组织学诊断的敏感性。然而,黏附分子染色可能有助于将GvHD与放疗和细胞毒性药物产生的相同组织学变化区分开来,从而提高诊断特异性,这一可能性值得进一步研究。

https://cdn.ncbi.nlm.nih.gov/pmc/blobs/2d4b/1554265/85a35a7e5d23/clinexpimmunol00052-0067-a.jpg
https://cdn.ncbi.nlm.nih.gov/pmc/blobs/2d4b/1554265/85a35a7e5d23/clinexpimmunol00052-0067-a.jpg
https://cdn.ncbi.nlm.nih.gov/pmc/blobs/2d4b/1554265/85a35a7e5d23/clinexpimmunol00052-0067-a.jpg

相似文献

1
Expression of adhesion molecules in human intestinal graft-versus-host disease.人肠道移植物抗宿主病中黏附分子的表达
Clin Exp Immunol. 1992 Feb;87(2):231-6. doi: 10.1111/j.1365-2249.1992.tb02980.x.
2
Adhesion molecule expression in human hepatic graft-versus-host disease.
Bone Marrow Transplant. 1992 Aug;10(2):153-6.
3
Expression of adhesion molecules in endothelial cells during allogeneic bone marrow transplantation.异基因骨髓移植过程中内皮细胞黏附分子的表达
Eur J Haematol. 1994 May;52(5):296-301. doi: 10.1111/j.1600-0609.1994.tb00099.x.
4
The immunopathology of upper gastrointestinal acute graft-versus-host disease. Lymphoid cells and endothelial adhesion molecules.
Transplantation. 1993 Mar;55(3):572-8. doi: 10.1097/00007890-199303000-00022.
5
Adhesion molecules in vernal keratoconjunctivitis.春季角结膜炎中的黏附分子
Br J Ophthalmol. 1997 Dec;81(12):1099-106. doi: 10.1136/bjo.81.12.1099.
6
A prospective study of cellular and immunologic changes in skin of allogeneic bone marrow recipients. Relationship to clinical and histologic features of acute graft-versus-host disease.
Am J Clin Pathol. 1994 May;101(5):597-602. doi: 10.1093/ajcp/101.5.597.
7
In-situ endothelial cell adhesion molecule expression in ulcerative colitis. E-selectin in-situ expression correlates with clinical, endoscopic and histological activity and outcome.溃疡性结肠炎中内皮细胞黏附分子的原位表达。E-选择素原位表达与临床、内镜及组织学活动度和预后相关。
Eur J Gastroenterol Hepatol. 1997 Dec;9(12):1197-203.
8
Vessel associated adhesion molecules in normal skin and acute graft-versus-host disease.正常皮肤和急性移植物抗宿主病中的血管相关黏附分子
J Clin Pathol. 1991 Jul;44(7):586-91. doi: 10.1136/jcp.44.7.586.
9
ICAM-1 expression on epidermal keratinocytes in cutaneous graft-versus-host disease.皮肤移植物抗宿主病中表皮角质形成细胞上细胞间黏附分子-1的表达
Transplantation. 1991 Jun;51(6):1203-6. doi: 10.1097/00007890-199106000-00011.
10
Reciprocal expression of CD34 and cell adhesion molecule ELAM-1 on vascular endothelium in acute cutaneous graft-versus-host disease.
J Pathol. 1993 Jun;170(2):173-7. doi: 10.1002/path.1711700213.

引用本文的文献

1
E-Selectin Ligands in the Human Mononuclear Phagocyte System: Implications for Infection, Inflammation, and Immunotherapy.人类单核吞噬细胞系统中的E选择素配体:对感染、炎症和免疫治疗的意义。
Front Immunol. 2018 Jan 19;8:1878. doi: 10.3389/fimmu.2017.01878. eCollection 2017.
2
Novel expression of vascular cell adhesion molecule-1 (CD106) by squamous epithelium in experimental acute graft-versus-host disease.实验性急性移植物抗宿主病中鳞状上皮细胞对血管细胞黏附分子-1(CD106)的新表达
Am J Pathol. 2002 Sep;161(3):763-70. doi: 10.1016/S0002-9440(10)64235-6.
3
Expression and polarization of intercellular adhesion molecule-1 on human intestinal epithelia: consequences for CD11b/CD18-mediated interactions with neutrophils.

本文引用的文献

1
The diagnostic accuracy of the rectal biopsy in acute graft-versus-host disease: a prospective study of thirteen patients.直肠活检在急性移植物抗宿主病中的诊断准确性:一项对13例患者的前瞻性研究。
Gastroenterology. 1980 Apr;78(4):764-71.
2
Histopathology of graft-vs.-host reaction (GvHR) in human recipients of marrow from HL-A-matched sibling donors.HL-A 配型相合的同胞供者骨髓人类受者移植物抗宿主反应(GvHR)的组织病理学
Transplant Proc. 1974 Dec;6(4):367-71.
3
Induction and detection of a human endothelial activation antigen in vivo.体内人类内皮细胞活化抗原的诱导与检测。
细胞间黏附分子-1在人肠上皮细胞中的表达与极化:对CD11b/CD18介导的与中性粒细胞相互作用的影响
Mol Med. 1996 Jul;2(4):489-505.
4
Infection of human intestinal epithelial cells with invasive bacteria upregulates apical intercellular adhesion molecule-1 (ICAM)-1) expression and neutrophil adhesion.侵袭性细菌感染人肠道上皮细胞会上调顶端细胞间黏附分子-1(ICAM-1)的表达并增强中性粒细胞黏附。
J Clin Invest. 1996 Jul 15;98(2):572-83. doi: 10.1172/JCI118825.
5
E-cadherin expression in intestinal epithelium.E-钙黏蛋白在肠上皮中的表达。
J Clin Pathol. 1995 Feb;48(2):143-6. doi: 10.1136/jcp.48.2.143.
6
Bovine gamma/delta T cells bind E-selectin via a novel glycoprotein receptor: first characterization of a lymphocyte/E-selectin interaction in an animal model.牛γ/δ T细胞通过一种新型糖蛋白受体结合E-选择素:动物模型中淋巴细胞/E-选择素相互作用的首次表征。
J Exp Med. 1993 Sep 1;178(3):853-63. doi: 10.1084/jem.178.3.853.
7
Time-course of adhesion molecule expression in rectal mucosa of gluten-sensitive subjects after gluten challenge.麸质激发后麸质敏感受试者直肠黏膜中黏附分子表达的时间进程。
Clin Exp Immunol. 1993 May;92(2):303-7. doi: 10.1111/j.1365-2249.1993.tb03396.x.
8
Ontogeny and induction of adhesion molecule expression in human fetal intestine.人胎儿肠道中黏附分子表达的个体发生与诱导
Clin Exp Immunol. 1993 Mar;91(3):532-7. doi: 10.1111/j.1365-2249.1993.tb05937.x.
9
Pathophysiological aspects of VLA-4 interactions and possibilities for therapeutical interventions.VLA - 4相互作用的病理生理学方面及治疗干预的可能性。
Springer Semin Immunopathol. 1995;16(4):379-89. doi: 10.1007/BF00196094.
10
Adhesion molecules intercellular adhesion molecule-1 (ICAM-1), ICAM-3 and B7 are not expressed by epithelium in normal or inflamed colon.黏附分子细胞间黏附分子-1(ICAM-1)、ICAM-3和B7在正常或炎症性结肠的上皮细胞中均不表达。
Clin Exp Immunol. 1995 Jul;101(1):157-63. doi: 10.1111/j.1365-2249.1995.tb02292.x.
J Exp Med. 1986 Aug 1;164(2):661-6. doi: 10.1084/jem.164.2.661.
4
Purified intercellular adhesion molecule-1 (ICAM-1) is a ligand for lymphocyte function-associated antigen 1 (LFA-1).纯化的细胞间黏附分子-1(ICAM-1)是淋巴细胞功能相关抗原1(LFA-1)的配体。
Cell. 1987 Dec 4;51(5):813-9. doi: 10.1016/0092-8674(87)90104-8.
5
Changes in rectal leucocytes after allogeneic bone marrow transplantation.异基因骨髓移植后直肠白细胞的变化。
Clin Exp Immunol. 1987 Jan;67(1):151-8.
6
Induction by IL 1 and interferon-gamma: tissue distribution, biochemistry, and function of a natural adherence molecule (ICAM-1).白细胞介素-1和γ干扰素诱导:一种天然黏附分子(细胞间黏附分子-1)的组织分布、生物化学及功能
J Immunol. 1986 Jul 1;137(1):245-54.
7
Mucosal damage simulating acute graft-versus-host reaction in cytomegalovirus colitis.巨细胞病毒性结肠炎中模拟急性移植物抗宿主反应的黏膜损伤
Transplantation. 1985 Jun;39(6):669-70.
8
Biopsy interpretation in bone marrow transplantation.骨髓移植中的活检解读
Pathol Annu. 1989;24 Pt 2:63-101.
9
Characterization of intercellular adhesion molecule-1 and HLA-DR expression in normal and inflamed skin: modulation by recombinant gamma interferon and tumor necrosis factor.正常皮肤和炎症皮肤中细胞间黏附分子-1及人类白细胞抗原-DR表达的特征:重组γ干扰素和肿瘤坏死因子的调节作用
J Am Acad Dermatol. 1989 Apr;20(4):617-29. doi: 10.1016/s0190-9622(89)70073-6.
10
Class II antigen expression by keratinocytes and enterocytes--an early feature of graft-versus-host-disease.角质形成细胞和肠上皮细胞的II类抗原表达——移植物抗宿主病的早期特征。
Transplantation. 1988 Sep;46(3):402-6. doi: 10.1097/00007890-198809000-00014.