Suppr超能文献

人体起搏器及其病理学

The human pacemaker and its pathology.

作者信息

HUDSON R E

出版信息

Br Heart J. 1960 Apr;22(2):153-67. doi: 10.1136/hrt.22.2.153.

Abstract

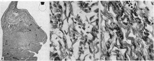
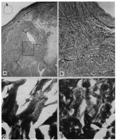
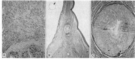
There is a remarkable remnant of primitive fibres persisting at the sino-auricular junction in all mammalian hearts. These fibres are in close connection with the vagus and sympathetic nerves, and have a special arterial supply; in them the dominating rhythm of the heart is believed to normally arise. Keith and Flack, 1907.

摘要

在所有哺乳动物的心脏中,原始纤维的显著残余部分持续存在于窦房交界处。这些纤维与迷走神经和交感神经紧密相连,并有特殊的动脉供应;人们认为心脏的主导节律通常起源于此。基思和弗莱克,1907年。

https://cdn.ncbi.nlm.nih.gov/pmc/blobs/aa6c/1017641/cc0aaeffc7d4/brheartj00367-0003-a.jpg

文献检索

告别复杂PubMed语法,用中文像聊天一样搜索,搜遍4000万医学文献。AI智能推荐,让科研检索更轻松。

立即免费搜索

文件翻译

保留排版,准确专业,支持PDF/Word/PPT等文件格式,支持 12+语言互译。

免费翻译文档

深度研究

AI帮你快速写综述,25分钟生成高质量综述,智能提取关键信息,辅助科研写作。

立即免费体验