• 文献检索
  • 文档翻译
  • 深度研究
  • 学术资讯
  • Suppr Zotero 插件Zotero 插件
  • 邀请有礼
  • 套餐&价格
  • 历史记录
应用&插件
Suppr Zotero 插件Zotero 插件浏览器插件Mac 客户端Windows 客户端微信小程序
定价
高级版会员购买积分包购买API积分包
服务
文献检索文档翻译深度研究API 文档MCP 服务
关于我们
关于 Suppr公司介绍联系我们用户协议隐私条款
关注我们

Suppr 超能文献

核心技术专利:CN118964589B侵权必究
粤ICP备2023148730 号-1Suppr @ 2026

文献检索

告别复杂PubMed语法,用中文像聊天一样搜索,搜遍4000万医学文献。AI智能推荐,让科研检索更轻松。

立即免费搜索

文件翻译

保留排版,准确专业,支持PDF/Word/PPT等文件格式,支持 12+语言互译。

免费翻译文档

深度研究

AI帮你快速写综述,25分钟生成高质量综述,智能提取关键信息,辅助科研写作。

立即免费体验

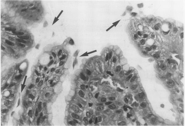
慢性胃贾第虫病

Chronic giardiasis of the stomach.

作者信息

Quincey C, James P D, Steele R J

机构信息

Department of Histopathology, University Hospital, Queen's Medical Centre, Nottingham.

出版信息

J Clin Pathol. 1992 Nov;45(11):1039-41. doi: 10.1136/jcp.45.11.1039.

DOI:10.1136/jcp.45.11.1039
PMID:1452783
原文链接:https://pmc.ncbi.nlm.nih.gov/articles/PMC495046/
Abstract

Two cases of chronic giardiasis of the stomach diagnosed from gastric mucosal biopsy specimens are reported. The first case was associated with an acute-on-chronic gastritis and Helicobacter-like organisms, and the second with an adenocarcinoma of the stomach. In both cases the trophozoites had been missed in earlier biopsy specimens. As far as is known this is the first report of giardiasis of the stomach.

摘要

报告了两例经胃黏膜活检标本诊断为慢性胃贾第虫病的病例。第一例与慢性活动性胃炎及类幽门螺杆菌有关,第二例与胃癌有关。在这两例中,早期活检标本均未发现滋养体。据所知,这是胃贾第虫病的首例报告。

https://cdn.ncbi.nlm.nih.gov/pmc/blobs/d917/495046/32fde0934e45/jclinpath00425-0102-a.jpg
https://cdn.ncbi.nlm.nih.gov/pmc/blobs/d917/495046/32fde0934e45/jclinpath00425-0102-a.jpg
https://cdn.ncbi.nlm.nih.gov/pmc/blobs/d917/495046/32fde0934e45/jclinpath00425-0102-a.jpg

相似文献

1
Chronic giardiasis of the stomach.慢性胃贾第虫病
J Clin Pathol. 1992 Nov;45(11):1039-41. doi: 10.1136/jcp.45.11.1039.
2
Giardia lamblia and chronic gastritis.蓝氏贾第鞭毛虫与慢性胃炎
J Egypt Soc Parasitol. 1996 Aug;26(2):481-95.
3
Gastric giardiasis.胃贾第虫病
J Clin Pathol. 1992 Nov;45(11):964-7. doi: 10.1136/jcp.45.11.964.
4
A study on the relation between proton pump inhibitor and gastric giardiasis.一项关于质子泵抑制剂与胃贾第虫病关系的研究。
J Egypt Soc Parasitol. 1998 Apr;28(1):149-57.
5
Giardiasis of the stomach.胃贾第虫病
Postgrad Med J. 1994 Mar;70(821):237-8. doi: 10.1136/pgmj.70.821.237.
6
Giardia lamblia trophozoites in gastric biopsies.胃活检中的蓝氏贾第鞭毛虫滋养体。
Indian J Pathol Microbiol. 2006 Oct;49(4):519-23.
7
Giardiasis: a histologic analysis of 567 cases.
Scand J Gastroenterol. 1997 Jan;32(1):48-51. doi: 10.3109/00365529709025062.
8
[Gastrointestinal giardiasis associated with Helicobacter pylori].[与幽门螺杆菌相关的胃肠道贾第虫病]
Eksp Klin Gastroenterol. 2010(6):30-4.
9
[Lambliasis of the stomach].
Dtsch Med Wochenschr. 1993 Jul 23;118(29-30):1096.
10
Giardia duodenalis associated with intestinal metaplasia of the stomach.十二指肠贾第虫与胃的肠化生有关。
J Gastrointestin Liver Dis. 2017 Sep;26(3):221. doi: 10.15403/jgld.2014.1121.263.gia.

引用本文的文献

1
Proton-pump inhibition and gastric giardiasis: a causal or casual association?质子泵抑制与胃贾第虫病:是因果关联还是偶然关联?
J Gastroenterol. 1995 Dec;30(6):775-8. doi: 10.1007/BF02349646.
2
Giardiasis of the stomach.胃贾第虫病
Postgrad Med J. 1994 Mar;70(821):237-8. doi: 10.1136/pgmj.70.821.237.

本文引用的文献

1
The pH of the alimentary tract in normal and Giardia-infected culture mice.
Parasitology. 1954 Nov;44(3-4):387-91. doi: 10.1017/s0031182000019041.
2
Effects of bile and bile salts on growth and membrane lipid uptake by Giardia lamblia. Possible implications for pathogenesis of intestinal disease.胆汁和胆盐对蓝氏贾第鞭毛虫生长及膜脂摄取的影响。对肠道疾病发病机制的潜在意义。
J Clin Invest. 1985 Nov;76(5):1727-32. doi: 10.1172/JCI112162.
3
Reflux gastritis: distinct histopathological entity?反流性胃炎:一种独特的组织病理学实体?
J Clin Pathol. 1986 May;39(5):524-30. doi: 10.1136/jcp.39.5.524.
4
Giardia-bile salt interactions in vitro and in vivo.贾第虫与胆盐在体外和体内的相互作用。
Trans R Soc Trop Med Hyg. 1988;82(3):428-32. doi: 10.1016/0035-9203(88)90153-8.
5
Host-parasite interactions in human giardiasis.人体贾第虫病中的宿主-寄生虫相互作用。
Q J Med. 1989 Mar;70(263):191-204.
6
Lymphoid follicles in antral mucosa: immune response to Campylobacter pylori?胃窦黏膜中的淋巴滤泡:对幽门螺杆菌的免疫反应?
J Clin Pathol. 1989 Dec;42(12):1269-71. doi: 10.1136/jcp.42.12.1269.
7
Giardiasis: analysis of histological changes in biopsy specimens of 80 patients.贾第虫病:80例患者活检标本的组织学变化分析
J Clin Pathol. 1990 Aug;43(8):641-3. doi: 10.1136/jcp.43.8.641.
8
Helicobacter pylori (formerly Campylobacter pyloridis/pylori) 1986-1989: a review.幽门螺杆菌(原幽门弯曲菌/幽门螺杆菌)1986 - 1989年综述
J Clin Pathol. 1990 May;43(5):353-6. doi: 10.1136/jcp.43.5.353.
9
Giardiasis.
JAMA. 1975 Sep 29;233(13):1362-5.
10
Ultrastructural observations on giardiasis in a murine model. I. Intestinal distribution, attachment, and relationship to the immune system of Giardia muris.鼠类贾第虫病的超微结构观察。I. 微小贾第虫在肠道的分布、附着及其与免疫系统的关系
Gastroenterology. 1979 Apr;76(4):757-69.