• 文献检索
  • 文档翻译
  • 深度研究
  • 学术资讯
  • Suppr Zotero 插件Zotero 插件
  • 邀请有礼
  • 套餐&价格
  • 历史记录
应用&插件
Suppr Zotero 插件Zotero 插件浏览器插件Mac 客户端Windows 客户端微信小程序
定价
高级版会员购买积分包购买API积分包
服务
文献检索文档翻译深度研究API 文档MCP 服务
关于我们
关于 Suppr公司介绍联系我们用户协议隐私条款
关注我们

Suppr 超能文献

核心技术专利:CN118964589B侵权必究
粤ICP备2023148730 号-1Suppr @ 2026

文献检索

告别复杂PubMed语法,用中文像聊天一样搜索,搜遍4000万医学文献。AI智能推荐,让科研检索更轻松。

立即免费搜索

文件翻译

保留排版,准确专业,支持PDF/Word/PPT等文件格式,支持 12+语言互译。

免费翻译文档

深度研究

AI帮你快速写综述,25分钟生成高质量综述,智能提取关键信息,辅助科研写作。

立即免费体验

小鼠佐剂性关节炎的诱导

Induction of adjuvant arthritis in mice.

作者信息

Knight B, Katz D R, Isenberg D A, Ibrahim M A, Le Page S, Hutchings P, Schwartz R S, Cooke A

机构信息

Department of Rheumatology Research, University College and Middlesex School of Medicine, London, UK.

出版信息

Clin Exp Immunol. 1992 Dec;90(3):459-65. doi: 10.1111/j.1365-2249.1992.tb05868.x.

DOI:10.1111/j.1365-2249.1992.tb05868.x
PMID:1458683
原文链接:https://pmc.ncbi.nlm.nih.gov/articles/PMC1554568/
Abstract

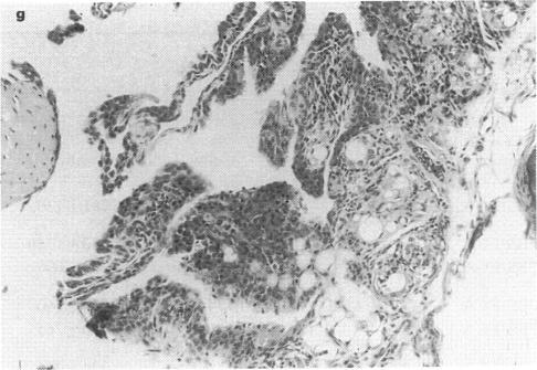
Adjuvant arthritis, induced by injections of Freund's complete adjuvant into the footpads of some rat strains, has been recognized as a useful animal model for many years. There has, however, been notable lack of success in reproducing this model in other species. We now describe the development of adjuvant arthritis in healthy strain mice approximately 2 months after injection of Freund's complete adjuvant. Although the clinical appearance of the mice and the joint histopathology closely resemble the adjuvant arthritis reported in the rat, we were unable to detect rheumatoid factor in sera from the affected animals. In parallel studies of T cell proliferation, affected animals responded to some mycobacterial antigens but not to the 65-kD heat shock protein of Mycobacterium tuberculosis, suggesting that some other epitope is important in the development of the disease.

摘要

多年来,通过向某些大鼠品系的足垫注射弗氏完全佐剂诱导的佐剂性关节炎,一直被认为是一种有用的动物模型。然而,在其他物种中复制该模型一直未取得显著成功。我们现在描述在健康品系小鼠中注射弗氏完全佐剂约2个月后佐剂性关节炎的发展情况。尽管小鼠的临床表现和关节组织病理学与大鼠中报道的佐剂性关节炎非常相似,但我们无法在患病动物的血清中检测到类风湿因子。在T细胞增殖的平行研究中,患病动物对一些分枝杆菌抗原有反应,但对结核分枝杆菌的65-kD热休克蛋白无反应,这表明其他一些表位在该疾病的发展中很重要。

https://cdn.ncbi.nlm.nih.gov/pmc/blobs/f382/1554568/2cc51e657774/clinexpimmunol00044-0111-a.jpg
https://cdn.ncbi.nlm.nih.gov/pmc/blobs/f382/1554568/872c411ed90b/clinexpimmunol00044-0109-a.jpg
https://cdn.ncbi.nlm.nih.gov/pmc/blobs/f382/1554568/83e6a2274359/clinexpimmunol00044-0110-a.jpg
https://cdn.ncbi.nlm.nih.gov/pmc/blobs/f382/1554568/2cc51e657774/clinexpimmunol00044-0111-a.jpg
https://cdn.ncbi.nlm.nih.gov/pmc/blobs/f382/1554568/872c411ed90b/clinexpimmunol00044-0109-a.jpg
https://cdn.ncbi.nlm.nih.gov/pmc/blobs/f382/1554568/83e6a2274359/clinexpimmunol00044-0110-a.jpg
https://cdn.ncbi.nlm.nih.gov/pmc/blobs/f382/1554568/2cc51e657774/clinexpimmunol00044-0111-a.jpg

相似文献

1
Induction of adjuvant arthritis in mice.小鼠佐剂性关节炎的诱导
Clin Exp Immunol. 1992 Dec;90(3):459-65. doi: 10.1111/j.1365-2249.1992.tb05868.x.
2
Recombinant mycobacterial HSP65 in combination with incomplete Freund's adjuvant induced rat arthritis comparable with that induced by complete Freund's adjuvant.重组分枝杆菌 HSP65 联合不完全弗氏佐剂诱导大鼠关节炎与完全弗氏佐剂诱导的关节炎相当。
J Immunol Methods. 2012 Dec 14;386(1-2):78-84. doi: 10.1016/j.jim.2012.09.002. Epub 2012 Sep 12.
3
Induction of experimental arthritis in BALB/c mice by inclusion of a foreign protein in the collagen inoculum.通过在胶原蛋白接种物中加入外源蛋白诱导BALB/c小鼠发生实验性关节炎。
Scand J Immunol. 2008 Apr;67(4):322-8. doi: 10.1111/j.1365-3083.2007.02069.x. Epub 2008 Jan 22.
4
Lactoferrin triggers in vitro proliferation of T cells of Lewis rats submitted to mycobacteria-induced adjuvant arthritis.乳铁蛋白可触发因分枝杆菌诱导佐剂性关节炎而患关节炎的Lewis大鼠T细胞的体外增殖。
Scand J Immunol. 1993 Aug;38(2):147-52. doi: 10.1111/j.1365-3083.1993.tb01706.x.
5
Activation of T cells recognizing an epitope of heat-shock protein 70 can protect against rat adjuvant arthritis.识别热休克蛋白70表位的T细胞激活可预防大鼠佐剂性关节炎。
J Immunol. 1999 Nov 15;163(10):5560-5.
6
Complete Freund's adjuvant induces an earlier and more severe arthritis in MRL-lpr mice.完全弗氏佐剂可在MRL-lpr小鼠中诱发更早且更严重的关节炎。
J Immunol. 1993 Nov 1;151(9):5081-7.
7
Collagen-induced arthritis.胶原诱导性关节炎
Nat Protoc. 2007;2(5):1269-75. doi: 10.1038/nprot.2007.173.
8
Strain differences and the role for HSP47 and HSP70 in adjuvant arthritis in rats.
Scand J Immunol. 2006 Dec;64(6):623-32. doi: 10.1111/j.1365-3083.2006.01852.x.
9
Inflammation activates self hsp60-specific T cells.炎症激活自身热休克蛋白60特异性T细胞。
Eur J Immunol. 1993 Jan;23(1):33-8. doi: 10.1002/eji.1830230107.
10
Presence and role of anti-citrullinated protein antibodies in experimental arthritis models.抗瓜氨酸化蛋白抗体在实验性关节炎模型中的存在及作用
Arthritis Rheum. 2013 Apr;65(4):939-48. doi: 10.1002/art.37839.

引用本文的文献

1
Effects of buprenorphine on acute pain and inflammation in the adjuvant-induced monoarthritis rat model.丁丙诺啡对佐剂诱导的单关节炎大鼠模型急性疼痛和炎症的影响。
Heliyon. 2022 Nov 14;8(11):e11554. doi: 10.1016/j.heliyon.2022.e11554. eCollection 2022 Nov.
2
Gut Mucosal Microbiome Is Perturbed in Rheumatoid Arthritis Mice and Partly Restored after TDAG8 Deficiency or Suppression by Salicylanilide Derivative.肠道黏膜微生物组在类风湿关节炎小鼠中受到干扰,并在 TDAG8 缺乏或水杨酰苯胺衍生物抑制后部分得到恢复。
Int J Mol Sci. 2022 Mar 24;23(7):3527. doi: 10.3390/ijms23073527.
3
Experimental Arthritis Inhibits Adult Hippocampal Neurogenesis in Mice.

本文引用的文献

1
Development of arthritis, periarthritis and periostitis in rats given adjuvants.给予佐剂的大鼠关节炎、关节周围炎和骨膜炎的发展。
Proc Soc Exp Biol Med. 1956 Jan;91(1):95-101. doi: 10.3181/00379727-91-22179.
2
Strain difference in delayed-type hypersensitivity to BCG in mice: role of splenic adherent cells in the primary immune response.小鼠对卡介苗迟发型超敏反应的品系差异:脾黏附细胞在初次免疫应答中的作用
Immunology. 1982 Dec;47(4):729-31.
3
[Comparative histology of adjuvant arthritis in rats, mice and hamsters].[大鼠、小鼠和仓鼠佐剂性关节炎的比较组织学]
实验性关节炎抑制小鼠成年海马神经发生。
Cells. 2022 Feb 24;11(5):791. doi: 10.3390/cells11050791.
4
Effects of different doses of complete Freund's adjuvant on nociceptive behaviour and inflammatory parameters in polyarthritic rat model mimicking rheumatoid arthritis.不同剂量完全弗氏佐剂对模拟类风湿关节炎的多关节炎大鼠模型痛觉行为和炎症参数的影响。
PLoS One. 2021 Dec 8;16(12):e0260423. doi: 10.1371/journal.pone.0260423. eCollection 2021.
5
Mannan-Binding Lectin Attenuates Inflammatory Arthritis Through the Suppression of Osteoclastogenesis.甘露聚糖结合凝集素通过抑制破骨细胞生成来减轻炎症性关节炎。
Front Immunol. 2019 Jun 4;10:1239. doi: 10.3389/fimmu.2019.01239. eCollection 2019.
6
Periploca forrestii saponin ameliorates CIA via suppressing proinflammatory cytokines and nuclear factor kappa-B pathways.黑骨藤皂苷通过抑制促炎细胞因子和核因子κB通路改善胶原诱导性关节炎。
PLoS One. 2017 May 2;12(5):e0176672. doi: 10.1371/journal.pone.0176672. eCollection 2017.
7
Preclinical Assessment of Inflammatory Pain.炎性疼痛的临床前评估
CNS Neurosci Ther. 2016 Feb;22(2):88-101. doi: 10.1111/cns.12486. Epub 2015 Dec 10.
8
Strain-specific induction of experimental autoimmune prostatitis (EAP) in mice.小鼠实验性自身免疫性前列腺炎(EAP)的菌株特异性诱导。
Prostate. 2013 May;73(6):651-6. doi: 10.1002/pros.22606. Epub 2012 Nov 5.
9
Characterization of the acute and persistent pain state present in K/BxN serum transfer arthritis.K/BxN 血清转移关节炎中存在的急性和持续性疼痛状态的特征。
Pain. 2010 Nov;151(2):394-403. doi: 10.1016/j.pain.2010.07.030. Epub 2010 Aug 23.
10
Prednisolone-loaded PLGA microspheres. in vitro characterization and in vivo application in adjuvant-induced arthritis in mice.载泼尼松龙的 PLGA 微球。体外特性和在佐剂诱导关节炎小鼠模型中的体内应用。
AAPS PharmSciTech. 2010 Jun;11(2):859-69. doi: 10.1208/s12249-010-9445-5. Epub 2010 May 19.
Allerg Immunol (Leipz). 1974;20-21(2):251-2.
4
Human monoclonal antibodies to phenolic glycolipid-I derived from patients with leprosy, and production of specific anti-idiotypes.来自麻风病患者的针对酚糖脂-I的人单克隆抗体及特异性抗独特型抗体的产生。
Immunology. 1988 Jun;64(2):245-51.
5
Induction of a systemic lupus erythematosus-like disease in mice by a common human anti-DNA idiotype.一种常见的人类抗DNA独特型在小鼠中诱导出系统性红斑狼疮样疾病。
Proc Natl Acad Sci U S A. 1988 Apr;85(7):2260-4. doi: 10.1073/pnas.85.7.2260.
6
Stress proteins are immune targets in leprosy and tuberculosis.应激蛋白是麻风病和结核病的免疫靶点。
Proc Natl Acad Sci U S A. 1988 Jun;85(12):4267-70. doi: 10.1073/pnas.85.12.4267.
7
Collagen-induced arthritis in rodents: a review of immunity to type II collagen with emphasis on the importance of molecular conformation and structure.啮齿动物胶原诱导性关节炎:对II型胶原免疫的综述,重点强调分子构象和结构的重要性。
Int Rev Immunol. 1988 Sep;4(1):65-81. doi: 10.3109/08830188809044771.
8
What can we learn about rheumatoid arthritis from animal models?从动物模型中我们能了解到关于类风湿性关节炎的哪些信息?
Springer Semin Immunopathol. 1989;11(3):315-33. doi: 10.1007/BF00197310.
9
Heterogeneity of accessory cells interacting with T-helper clones.与辅助性T细胞克隆相互作用的辅助细胞的异质性。
Immunology. 1986 Jun;58(2):167-72.
10
A human fetal monoclonal DNA-binding antibody shares idiotypes with fetal and adult murine monoclonal DNA-binding antibodies.一种人类胎儿单克隆DNA结合抗体与胎儿及成年鼠单克隆DNA结合抗体具有独特型相同的特点。
Immunology. 1990 Mar;69(3):348-54.