Suppr超能文献

一名2个月大婴儿的肺内囊性淋巴管瘤。

Intrapulmonary cystic lymphangioma in a 2-month-old infant.

作者信息

Lee Chang Hun, Kim Young Dae, Kim Kyun Il, Lim Young Tak, Lee Kyung Min, Choi Kyung Un, Lee Jin Suk, Sol Mee Young

机构信息

Department of Pathology, College of Medicine, Pusan National University, Busan, Korea.

出版信息

J Korean Med Sci. 2004 Jun;19(3):458-61. doi: 10.3346/jkms.2004.19.3.458.

Abstract

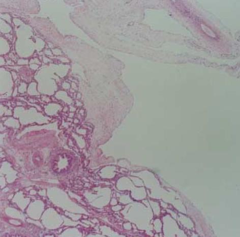
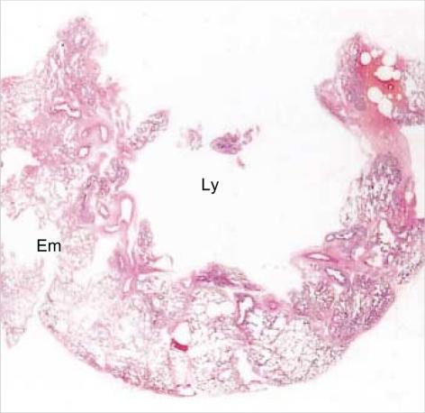
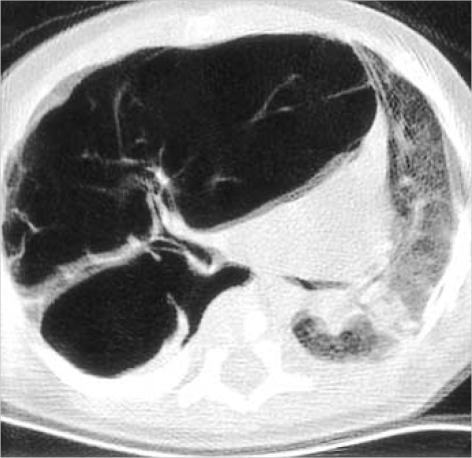
Lymphangioma is an abnormal collection of lymphatics that are developmentally isolated from the normal lymphatic system. Lymphangioma rarely presents as a solitary pulmonary lesion. We report a rare case of intrapulmonary cystic lymphangioma involving the upper lobe of the right lung, which presented with dyspnea in a 2-month-old infant. High-resolution computed tomography (HRCT) of the chest demonstrated a well-circumscribed, multiseptate, cystic lesion in the upper lobe of the right lung, mimicking the feature of type I congenital cystic adenomatoid mal-formation. The tumor was removed by bilobectomy of the upper and middle lobes of the right lung, and its pathologic examination confirmed the diagnosis of an intra-pulmonary cystic lymphangioma.

摘要

淋巴管瘤是淋巴管的异常聚集,在发育上与正常淋巴系统隔离。淋巴管瘤很少表现为孤立的肺部病变。我们报告一例罕见的右肺上叶肺内囊性淋巴管瘤病例,该病例发生在一名2个月大的婴儿身上,表现为呼吸困难。胸部高分辨率计算机断层扫描(HRCT)显示右肺上叶有一个边界清晰、多分隔的囊性病变,类似I型先天性囊性腺瘤样畸形的特征。通过右肺上叶和中叶双叶切除术切除肿瘤,病理检查确诊为肺内囊性淋巴管瘤。

https://cdn.ncbi.nlm.nih.gov/pmc/blobs/063c/2816851/3674bf173cb3/jkms-19-458-g001.jpg

文献AI研究员

20分钟写一篇综述,助力文献阅读效率提升50倍。

立即体验

用中文搜PubMed

大模型驱动的PubMed中文搜索引擎

马上搜索

文档翻译

学术文献翻译模型,支持多种主流文档格式。

立即体验