• 文献检索
  • 文档翻译
  • 深度研究
  • 学术资讯
  • Suppr Zotero 插件Zotero 插件
  • 邀请有礼
  • 套餐&价格
  • 历史记录
应用&插件
Suppr Zotero 插件Zotero 插件浏览器插件Mac 客户端Windows 客户端微信小程序
定价
高级版会员购买积分包购买API积分包
服务
文献检索文档翻译深度研究API 文档MCP 服务
关于我们
关于 Suppr公司介绍联系我们用户协议隐私条款
关注我们

Suppr 超能文献

核心技术专利:CN118964589B侵权必究
粤ICP备2023148730 号-1Suppr @ 2026

文献检索

告别复杂PubMed语法,用中文像聊天一样搜索,搜遍4000万医学文献。AI智能推荐,让科研检索更轻松。

立即免费搜索

文件翻译

保留排版,准确专业,支持PDF/Word/PPT等文件格式,支持 12+语言互译。

免费翻译文档

深度研究

AI帮你快速写综述,25分钟生成高质量综述,智能提取关键信息,辅助科研写作。

立即免费体验

与主动脉夹层动脉瘤相关的弥散性血管内凝血

Disseminated intravascular coagulation associated with aortic dissecting aneurysm.

作者信息

Yoon Sung Ho, Cho Young Sin, Park Chi Young, Chung Choon Hae

机构信息

Department of Internal Medicine, College of Medicine, Chosun University, Gwangju, Korea.

出版信息

Korean J Intern Med. 2004 Jun;19(2):134-6. doi: 10.3904/kjim.2004.19.2.134.

DOI:10.3904/kjim.2004.19.2.134
PMID:15366648
原文链接:https://pmc.ncbi.nlm.nih.gov/articles/PMC4531585/
Abstract

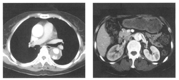
Disseminated intravascular coagulation (DIC) is an acquired coagulation disorder that occurs when the normal hemostatic balance is disturbed, primarily by excessive thrombin formation. Moreover, while DIC is a rare complication of aortic dissecting aneurysm, it is also a well-recognized one. We reported a case of DIC associated with aortic dissecting aneurysm in a 55-year-old woman who was transferred from another hospital because of chest pain radiating to her back and thrombocytopenia. Laboratory findings showed DIC with severe thrombocytopenia, and she was diagnosed as having an acute aortic dissection and DIC. After medical treatment on the aortic dissecting aneurysm, her DIC profile recovered.

摘要

弥散性血管内凝血(DIC)是一种获得性凝血障碍,当正常止血平衡受到干扰时发生,主要是由于凝血酶过度生成。此外,虽然DIC是主动脉夹层动脉瘤的一种罕见并发症,但也是一种广为人知的并发症。我们报告了一例55岁女性患者,她因胸痛放射至背部和血小板减少症从另一家医院转诊而来,被诊断为患有与主动脉夹层动脉瘤相关的DIC。实验室检查结果显示为伴有严重血小板减少症的DIC,她被诊断为患有急性主动脉夹层和DIC。在对主动脉夹层动脉瘤进行药物治疗后,她的DIC指标恢复正常。

https://cdn.ncbi.nlm.nih.gov/pmc/blobs/add6/4531585/343607861ca2/kjim-19-2-134-13f1.jpg
https://cdn.ncbi.nlm.nih.gov/pmc/blobs/add6/4531585/343607861ca2/kjim-19-2-134-13f1.jpg
https://cdn.ncbi.nlm.nih.gov/pmc/blobs/add6/4531585/343607861ca2/kjim-19-2-134-13f1.jpg

相似文献

1
Disseminated intravascular coagulation associated with aortic dissecting aneurysm.与主动脉夹层动脉瘤相关的弥散性血管内凝血
Korean J Intern Med. 2004 Jun;19(2):134-6. doi: 10.3904/kjim.2004.19.2.134.
2
Successful long-term management of aneurysm-associated chronic disseminated intravascular coagulation with low molecular weight heparin.低分子量肝素成功长期管理动脉瘤相关的慢性弥散性血管内凝血。
J Card Surg. 2012 Nov;27(6):730-5. doi: 10.1111/jocs.12010.
3
Dissecting aortic aneurysm complicated with acute disseminated intravascular coagulation: case report.
Changgeng Yi Xue Za Zhi. 1999 Mar;22(1):138-42.
4
Intermittent administration of recombinant human soluble thrombomodulin successfully controlled chronic disseminated intravascular coagulation in a patient with dissecting aortic aneurysm on an outpatient basis.间歇性给予重组人可溶性血栓调节蛋白成功在门诊基础上控制了一名主动脉夹层动脉瘤患者的慢性弥散性血管内凝血。
Blood Coagul Fibrinolysis. 2012 Sep;23(6):548-50. doi: 10.1097/MBC.0b013e32835510d6.
5
Management of disseminated intravascular coagulation after thoracic endovascular aortic repair of type B aortic dissection: a case report.胸主动脉腔内修复术治疗 B 型主动脉夹层后弥漫性血管内凝血的管理:1 例报告。
BMC Cardiovasc Disord. 2022 Jul 18;22(1):323. doi: 10.1186/s12872-022-02768-6.
6
Thoracic endovascular repair for disseminated intravascular coagulation associated with chronic type B aortic dissection.经胸腔内血管修复术治疗与慢性B型主动脉夹层相关的弥散性血管内凝血
Vascular. 2020 Dec;28(6):705-707. doi: 10.1177/1708538120934575. Epub 2020 Jun 17.
7
Disseminated intravascular coagulation in aortic aneurysms: assessment of consumption site using labeled-platelet scintigraphy.
Thorac Cardiovasc Surg. 1999 Jun;47(3):162-5. doi: 10.1055/s-2007-1013133.
8
[A case of dissecting aneurysm of the aorta with DIC (disseminated intravascular coagulation)].
G Clin Med. 1982 Sep;63(9):595-9.
9
Preoperative disseminated intravascular coagulation complicated by thoracic aortic aneurysm treated using recombinant human soluble thrombomodulin: A case report.术前弥漫性血管内凝血并发胸主动脉瘤应用重组人可溶性血栓调节蛋白治疗:病例报告。
Medicine (Baltimore). 2021 Mar 5;100(9):e25044. doi: 10.1097/MD.0000000000025044.
10
Successful Treatment with Edoxaban for Disseminated Intravascular Coagulation in a Case of Aortic Dissection Complicated with Immune Thrombocytopenic Purpura.艾多沙班成功治疗主动脉夹层合并免疫性血小板减少性紫癜并发弥散性血管内凝血一例
Intern Med. 2020 Aug 15;59(16):2035-2039. doi: 10.2169/internalmedicine.4255-19. Epub 2020 May 8.

引用本文的文献

1
Predictive value of admission CO combining power combined with serum sodium for the prognosis in acute Stanford type A aortic dissection patients.入院时动脉血二氧化碳结合力与血清钠联合预测急性 Stanford 型 A 型主动脉夹层患者预后的价值。
Sci Rep. 2023 Jan 19;13(1):1048. doi: 10.1038/s41598-022-27099-6.

本文引用的文献

1
Coagulation: consultative hemostasis.
Hematology Am Soc Hematol Educ Program. 2002:335-52. doi: 10.1182/asheducation-2002.1.335.
2
Coagulation and fibrinolysis after open infrarenal abdominal aortic aneurysm repair in a long-term perspective.从长期角度看开放性肾下腹主动脉瘤修复术后的凝血与纤溶
Thromb Res. 1999 Oct 15;96(2):99-105. doi: 10.1016/s0049-3848(99)00072-9.
3
Disseminated intravascular coagulation.弥散性血管内凝血
N Engl J Med. 1999 Aug 19;341(8):586-92. doi: 10.1056/NEJM199908193410807.
4
Disseminated intravascular coagulation: clinical and laboratory aspects.弥散性血管内凝血:临床与实验室方面
Am J Hematol. 1998 Sep;59(1):65-73. doi: 10.1002/(sici)1096-8652(199809)59:1<65::aid-ajh13>3.0.co;2-0.
5
Aortic aneurysm-induced disseminated intravascular coagulation.主动脉瘤诱发的弥散性血管内凝血。
Ann Vasc Surg. 1996 Jul;10(4):396-405. doi: 10.1007/BF02286787.
6
Preoperative disseminated intravascular coagulation (DIC) associated with aortic aneurysm--does it need to be corrected before surgery?与主动脉瘤相关的术前弥散性血管内凝血(DIC)——手术前需要纠正吗?
Surg Today. 1995;25(12):1011-4. doi: 10.1007/BF00311684.
7
Preoperative disseminated intravascular coagulation associated with aortic aneurysms. A prospective study of 76 cases.术前与主动脉瘤相关的弥散性血管内凝血。76例前瞻性研究。
Arch Surg. 1983 Nov;118(11):1252-5. doi: 10.1001/archsurg.1983.01390110010002.
8
Disseminated intravascular coagulation caused by abdominal aortic aneurysm.腹主动脉瘤引起的弥散性血管内凝血
J Cardiovasc Surg (Torino). 1988 Jul-Aug;29(4):494-7.