• 文献检索
  • 文档翻译
  • 深度研究
  • 学术资讯
  • Suppr Zotero 插件Zotero 插件
  • 邀请有礼
  • 套餐&价格
  • 历史记录
应用&插件
Suppr Zotero 插件Zotero 插件浏览器插件Mac 客户端Windows 客户端微信小程序
定价
高级版会员购买积分包购买API积分包
服务
文献检索文档翻译深度研究API 文档MCP 服务
关于我们
关于 Suppr公司介绍联系我们用户协议隐私条款
关注我们

Suppr 超能文献

核心技术专利:CN118964589B侵权必究
粤ICP备2023148730 号-1Suppr @ 2026

文献检索

告别复杂PubMed语法,用中文像聊天一样搜索,搜遍4000万医学文献。AI智能推荐,让科研检索更轻松。

立即免费搜索

文件翻译

保留排版,准确专业,支持PDF/Word/PPT等文件格式,支持 12+语言互译。

免费翻译文档

深度研究

AI帮你快速写综述,25分钟生成高质量综述,智能提取关键信息,辅助科研写作。

立即免费体验

复发性腹膜后囊性淋巴管瘤

Recurrent retroperitoneal cystic lymphangioma.

作者信息

Ozdemir Huseyin, Kocakoc Ercan, Bozgeyik Zulkif, Cobanoglu Bengu

机构信息

Department of Radiology, Firat University, Faculty of Medicine, 23119, Elazig, Turkey.

出版信息

Yonsei Med J. 2005 Oct 31;46(5):715-8. doi: 10.3349/ymj.2005.46.5.715.

DOI:10.3349/ymj.2005.46.5.715
PMID:16259073
原文链接:https://pmc.ncbi.nlm.nih.gov/articles/PMC2810581/
Abstract

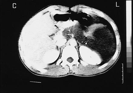
Retroperitoneal cystic lymphangioma is a rare congenital malformation. The majority of lymphangiomas are present at birth and nearly all present before the age of two years. We report a case of giant cystic retroperitoneal lymphangioma in a patient who first presented with symptoms at the age of 7, underwent surgery, and who then suffered a recurrent mass 11 years later.

摘要

腹膜后囊性淋巴管瘤是一种罕见的先天性畸形。大多数淋巴管瘤在出生时就存在,几乎所有病例在两岁前出现。我们报告一例巨大腹膜后囊性淋巴管瘤病例,该患者首次出现症状是在7岁,接受了手术,11年后出现复发性肿块。

https://cdn.ncbi.nlm.nih.gov/pmc/blobs/2c9c/2810581/2fea8b97fcc0/ymj-46-715-g004.jpg
https://cdn.ncbi.nlm.nih.gov/pmc/blobs/2c9c/2810581/4fe945138096/ymj-46-715-g001.jpg
https://cdn.ncbi.nlm.nih.gov/pmc/blobs/2c9c/2810581/7f84c7a1eccc/ymj-46-715-g002.jpg
https://cdn.ncbi.nlm.nih.gov/pmc/blobs/2c9c/2810581/3629f04f2ec4/ymj-46-715-g003.jpg
https://cdn.ncbi.nlm.nih.gov/pmc/blobs/2c9c/2810581/2fea8b97fcc0/ymj-46-715-g004.jpg
https://cdn.ncbi.nlm.nih.gov/pmc/blobs/2c9c/2810581/4fe945138096/ymj-46-715-g001.jpg
https://cdn.ncbi.nlm.nih.gov/pmc/blobs/2c9c/2810581/7f84c7a1eccc/ymj-46-715-g002.jpg
https://cdn.ncbi.nlm.nih.gov/pmc/blobs/2c9c/2810581/3629f04f2ec4/ymj-46-715-g003.jpg
https://cdn.ncbi.nlm.nih.gov/pmc/blobs/2c9c/2810581/2fea8b97fcc0/ymj-46-715-g004.jpg

相似文献

1
Recurrent retroperitoneal cystic lymphangioma.复发性腹膜后囊性淋巴管瘤
Yonsei Med J. 2005 Oct 31;46(5):715-8. doi: 10.3349/ymj.2005.46.5.715.
2
[Retroperitoneal cystic lymphangiomas in adults: four case reports and review of the literature].[成人腹膜后囊性淋巴管瘤:4例报告并文献复习]
J Med Liban. 2008 Jan-Mar;56(1):42-5.
3
Laparoscopic excision of a retroperitoneal cystic lymphangioma: report of a case.腹腔镜下切除腹膜后囊性淋巴管瘤:病例报告
Surg Today. 2003;33(2):142-4. doi: 10.1007/s005950300032.
4
Giant retroperitoneal lymphangioma in a 70-year-old male: a case report.70 岁男性巨大腹膜后淋巴管瘤 1 例报告
Pan Afr Med J. 2022 Jun 24;42:153. doi: 10.11604/pamj.2022.42.153.34175. eCollection 2022.
5
Retroperitoneal cystic lymphangioma: report of one case.腹膜后囊性淋巴管瘤:一例报告。
Zhonghua Min Guo Xiao Er Ke Yi Xue Hui Za Zhi. 1997 Jul-Aug;38(4):306-8.
6
Retroperitoneal cystic lymphangioma: a rare presentation in childhood, treated laparoscopically.腹膜后囊性淋巴管瘤:儿童期罕见的表现,采用腹腔镜治疗。
J Laparoendosc Adv Surg Tech A. 2009 Apr;19(2):249-50. doi: 10.1089/lap.2008.0234.
7
[Cystic lymphangioma of the retroperitoneum. A case report].[腹膜后囊性淋巴管瘤。病例报告]
G Chir. 1993 Oct;14(8):421-4.
8
[Retroperitoneal cystic lymphangioma in a child].[儿童腹膜后囊性淋巴管瘤]
Ann Urol (Paris). 1997;31(2):77-9.
9
Retroperitoneal cystic lymphangioma in adults.成人腹膜后囊性淋巴管瘤
Int Surg. 1993 Jul-Sep;78(3):243-6.
10
Laparoscopic excision of a retroperitoneal cystic lymphangioma in an elderly patient.老年患者腹腔镜下切除腹膜后囊性淋巴管瘤
Minerva Chir. 2007 Apr;62(2):145-7.

引用本文的文献

1
Characteristics of adult retroperitoneal lymphangioma: a single center Chinese cohort study of 15 cases.成人腹膜后淋巴管瘤的特征:一项针对15例患者的单中心中国队列研究
Discov Oncol. 2024 Jul 4;15(1):262. doi: 10.1007/s12672-024-01143-5.
2
Cystic lymphangioma causing intussusception of the right colon: a case report and review of current literature.引起右半结肠套叠的囊性淋巴管瘤:一例报告并复习当前文献
J Surg Case Rep. 2023 Nov 20;2023(11):rjad628. doi: 10.1093/jscr/rjad628. eCollection 2023 Nov.
3
A rare occurrence of an incidental primary intra-abdominal Cystic Lymphangioma in a Middle Eastern adult female: A case report.

本文引用的文献

1
A UNIFIED CONCEPT OF LYMPHANGIOMA AND CYSTIC HYGROMA.淋巴管瘤和囊状水瘤的统一概念
Surg Gynecol Obstet. 1965 Jan;120:79-86.
2
Cystic lymphangioma of the retroperitoneum.腹膜后囊性淋巴管瘤
Clin Radiol. 2001 Feb;56(2):156-8. doi: 10.1053/crad.2000.0162.
3
Intra-abdominal lymphangioma in a newborn.新生儿腹腔内淋巴管瘤
一名中东成年女性罕见地偶然发生原发性腹腔内囊性淋巴管瘤:病例报告。
Ann Med Surg (Lond). 2023 Jan 18;85(2):231-235. doi: 10.1097/MS9.0000000000000200. eCollection 2023 Feb.
4
A rare incidence of retroperitoneal Cystic Lymphangioma in a 45-year-old female - A Case Report.一名45岁女性罕见的腹膜后囊性淋巴管瘤病例报告
Int J Surg Case Rep. 2022 Sep;98:107606. doi: 10.1016/j.ijscr.2022.107606. Epub 2022 Sep 7.
5
A unique case of recurrent fetal cystic hygroma: first fetus with an inherited heteromorphism of chromosome 1 (1qh+) and the second fetus with 69XXX triploidy.一个独特的复发性胎儿囊状水瘤病例:第一胎胎儿具有染色体 1(1qh+)的遗传性异态性,第二胎胎儿具有 69XXX 三倍体性。
Rom J Morphol Embryol. 2020 Jul-Sep;61(3):935-940. doi: 10.47162/RJME.61.3.34.
6
A rare case of retroperitoneal lymphangioma in a 74-year-old Chinese male.一名74岁中国男性的腹膜后淋巴管瘤罕见病例。
J Surg Case Rep. 2021 Feb 28;2021(2):rjaa610. doi: 10.1093/jscr/rjaa610. eCollection 2021 Feb.
7
Pediatric cystic lymphangioma of the retroperitoneum: A case report and review of the literature.小儿腹膜后囊性淋巴管瘤:一例报告并文献复习
Medicine (Baltimore). 2020 Jul 10;99(28):e20827. doi: 10.1097/MD.0000000000020827.
8
A Huge Cystic Retroperitoneal Lymphangioma Presenting with Back Pain.一例以背痛为表现的巨大囊性腹膜后淋巴管瘤
Case Rep Med. 2016;2016:1618393. doi: 10.1155/2016/1618393. Epub 2016 Oct 23.
9
Laparoscopic resection of a huge retroperitoneal cystic lymphangioma after successful reduction of tumor size with a double balloon catheter.使用双气囊导管成功缩小肿瘤大小后,腹腔镜切除巨大腹膜后囊性淋巴管瘤。
Int J Surg Case Rep. 2015;11:8-10. doi: 10.1016/j.ijscr.2015.04.016. Epub 2015 Apr 11.
10
Retroperitoneal lymphangioma in an adult: a case report of a rare clinical entity.成人腹膜后淋巴管瘤:1例罕见临床病例报告
Case Rep Surg. 2015;2015:732531. doi: 10.1155/2015/732531. Epub 2015 Mar 17.
J Clin Ultrasound. 1998 Jul-Aug;26(6):320-2. doi: 10.1002/(sici)1097-0096(199807/08)26:6<320::aid-jcu8>3.0.co;2-k.
4
Prenatal ultrasonographic findings of intra-abdominal cystic lymphangioma: a case report.产前超声检查发现腹腔内囊状淋巴管瘤:1例报告
J Clin Ultrasound. 1997 Jul-Aug;25(6):330-2. doi: 10.1002/(sici)1097-0096(199707)25:6<330::aid-jcu7>3.0.co;2-d.
5
Congenital malformations of the lymphatic system.淋巴系统先天性畸形
Semin Pediatr Surg. 1994 May;3(2):62-9.
6
Follow-up of complex unresectable lymphangiomas.复杂不可切除性淋巴管瘤的随访
Am Surg. 1994 Nov;60(11):840-1.
7
Laparoscopic resection of a retroperitoneal cystic lymphangioma.腹腔镜下切除腹膜后囊性淋巴管瘤。
Surg Endosc. 1994 Dec;8(12):1425-6. doi: 10.1007/BF00187350.
8
Abdominal cystic lymphangiomatosis: report of a case and review of the literature.腹部囊性淋巴管瘤病:1例报告并文献复习
Br J Radiol. 1985 May;58(689):467-9. doi: 10.1259/0007-1285-58-689-467.
9
Mesenteric cysts and intra-abdominal cystic lymphangiomas.肠系膜囊肿和腹腔内囊性淋巴管瘤。
Arch Surg. 1985 Nov;120(11):1266-9. doi: 10.1001/archsurg.1985.01390350048010.
10
Computed tomography of retroperitoneal cystic lymphangiomas.腹膜后囊性淋巴管瘤的计算机断层扫描
J Comput Assist Tomogr. 1987 Jan-Feb;11(1):116-9. doi: 10.1097/00004728-198701000-00023.