Suppr超能文献

Vascular basis of mucosal color.

作者信息

Kleinheinz Johannes, Büchter André, Fillies Thomas, Joos Ulrich

机构信息

Department of Cranio-Maxillofacial Surgery, University of Muenster, Waldeyerstr, 30, D-48149 Muenster, Germany.

出版信息

Head Face Med. 2005 Aug 24;1:4. doi: 10.1186/1746-160X-1-4.

Abstract

BACKGROUND

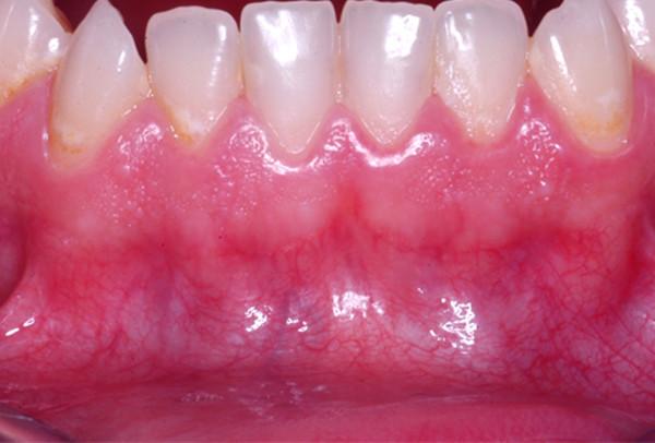
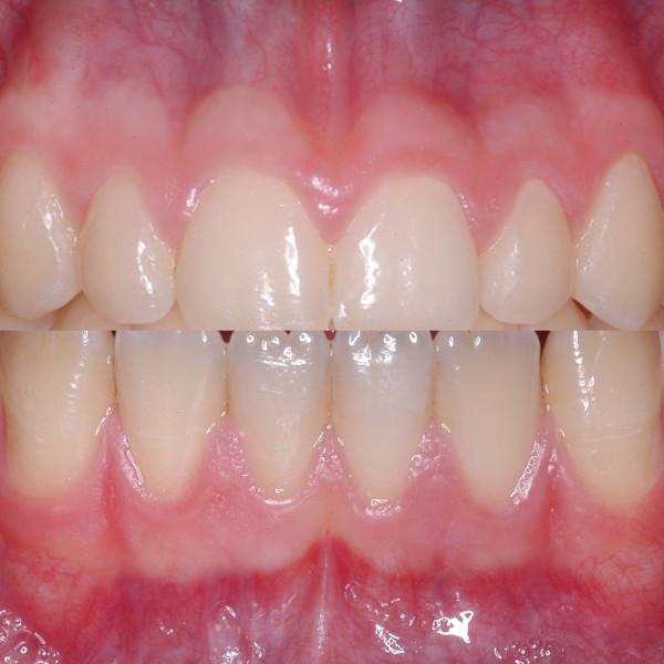
Besides the color of the teeth the color of the alveolar gingiva plays a crucial role in esthetic rehabilitation in dento-alveolar treatment. Whereas nowadays the color of the teeth can be determined exactly and individually, the specific influence of the red color of the gingiva on treatment has not been assessed yet. The aim of this study was to evaluate the vascularization as the basis for gingival esthetics.

METHODS

Standardized photographs of defined areas of the alveolar gingiva in operated and non-operated patients were taken and assigned to groups with same characteristics after color comparisons. In addition, histologic and immunohistologic analyses of gingival specimens were performed for qualitative and quantitative assessment of vessels and vascularization. Finally, colors and number of vessels were correlated.

RESULTS

Our results demonstrated three different constellations of colors of the alveolar gingiva in healthy patients. The operated patients could not be grouped because of disparate depiction. There was a clear correlation between color and vessel number in the alveolar gingiva.

CONCLUSION

Our investigations revealed the connections between vascularization and gingival color. Recommendations for specific change or even selection of colors based on the results cannot be given, but the importance of vascularly based incision lines was demonstrated.

摘要
https://cdn.ncbi.nlm.nih.gov/pmc/blobs/c0e9/1277012/682457010936/1746-160X-1-4-1.jpg

文献AI研究员

20分钟写一篇综述,助力文献阅读效率提升50倍。

立即体验

用中文搜PubMed

大模型驱动的PubMed中文搜索引擎

马上搜索

文档翻译

学术文献翻译模型,支持多种主流文档格式。

立即体验