Suppr超能文献

注射矛头蝮蛇毒液后小鼠骨骼肌的退行性和再生性变化:一项组织化学和免疫细胞化学研究

Degenerative and regenerative changes in murine skeletal muscle after injection of venom from the snake Bothrops asper: a histochemical and immunocytochemical study.

作者信息

Arce V, Brenes F, Gutiérrez J M

机构信息

Centro de Investigación en Biología Celular y Molecular, Universidad de Costa Rica, San José.

出版信息

Int J Exp Pathol. 1991 Apr;72(2):211-26.

Abstract

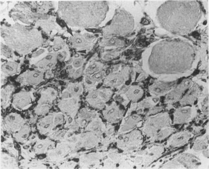
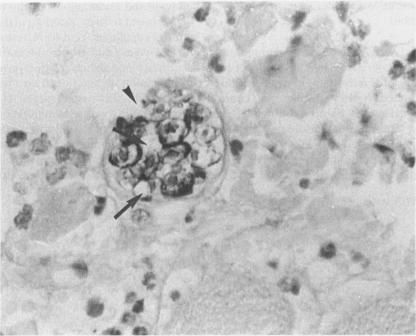
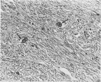
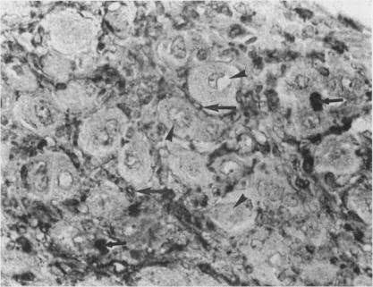
The degenerative and regenerative changes in murine skeletal muscle after injection of Bothrops asper venom were studied by histological, lectin histochemical and immunocytochemical techniques. According to our observations, the process was divided into four main stages: (a) During the first 3 days prominent degenerative events took place in skeletal muscle fibres, capillaries, arteries, veins and intramuscular nerves. An inflammatory infiltrate was abundant after the first day and removal of necrotic material was well advanced by the third day. (b) Muscle regeneration was evident by the fourth day. From 4 to 6 days there were two populations of regenerating muscle fibres, one of apparently normal fibres located in areas where capillary vessels were abundant, and another population of groups of regenerative fibres showing signs of degeneration. This second type of fibre was predominant in areas where the number of capillaries was greatly reduced. (c) One and 2 weeks after envenomation areas of small regenerative fibres of normal morphology and areas of degenerating regenerative fibres were observed. The latter were abundant in regions of dense fibrotic tissue and scarce capillaries. (d) Finally, at 4 and 8 weeks after envenomation there were both areas of fibrosis and areas where regenerating muscle fibres predominated. However, the diameter of these fibres was abnormally small, an indication that they may have been atrophic fibres. It is suggested that muscle regeneration is partially impaired after myonecrosis induced by Bothrops asper venom, probably due to the damage induced by this venom on muscle microvasculature and nerves.

摘要

通过组织学、凝集素组织化学和免疫细胞化学技术研究了注射矛头蝮蛇毒后小鼠骨骼肌的退行性和再生性变化。根据我们的观察,该过程分为四个主要阶段:(a) 在最初3天,骨骼肌纤维、毛细血管、动脉、静脉和肌内神经发生明显的退行性变化。第一天后炎症浸润丰富,到第三天坏死物质的清除进展良好。(b) 到第四天肌肉再生明显。在4至6天,有两类再生肌纤维,一类是明显正常的纤维,位于毛细血管丰富的区域,另一类是显示退变迹象的再生纤维群。后一种类型的纤维在毛细血管数量大大减少的区域占主导。(c) 注毒后1周和2周,观察到形态正常的小再生纤维区域和退变的再生纤维区域。后者在致密纤维化组织和毛细血管稀少的区域丰富。(d) 最后,在注毒后4周和8周,既有纤维化区域,也有再生肌纤维占主导的区域。然而,这些纤维的直径异常小,表明它们可能是萎缩纤维。有人提出,矛头蝮蛇毒诱导的肌坏死后肌肉再生部分受损,可能是由于这种毒液对肌肉微血管和神经造成的损害。

https://cdn.ncbi.nlm.nih.gov/pmc/blobs/37d7/2002311/6ec0ef4a7849/ijexpath00026-0109-a.jpg

文献检索

告别复杂PubMed语法,用中文像聊天一样搜索,搜遍4000万医学文献。AI智能推荐,让科研检索更轻松。

立即免费搜索

文件翻译

保留排版,准确专业,支持PDF/Word/PPT等文件格式,支持 12+语言互译。

免费翻译文档

深度研究

AI帮你快速写综述,25分钟生成高质量综述,智能提取关键信息,辅助科研写作。

立即免费体验