Suppr超能文献

钝性创伤中的腹腔镜脾切除术

Laparoscopic splenectomy in blunt trauma.

作者信息

Dissanaike Sharmila, Frezza Eldo E

机构信息

Division of General Surgery, Department of Surgery, Texas Tech University Health Sciences Center, Lubbock, Texas, USA.

出版信息

JSLS. 2006 Oct-Dec;10(4):499-503.

Abstract

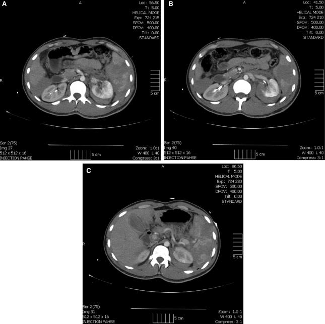
We describe the first reported use of laparoscopic splenectomy as initial treatment in high-grade blunt splenic trauma. A 21-year-old man sustained a blow to the left flank from a large construction pipe and was transferred to our hospital with a grade V splenic laceration and a grade II left peri-renal hematoma with hematuria. He was hemodynamically stable. He underwent a laparoscopic splenectomy shortly after arrival. The patient's renal injury was managed nonoperatively, and he was discharged home with no complications and has remained well.

摘要

我们报道了首例将腹腔镜脾切除术作为高级别钝性脾外伤初始治疗方法的应用。一名21岁男性被一根大型建筑管道击中左腹,被转送至我院,诊断为Ⅴ级脾裂伤和Ⅱ级左肾周血肿伴血尿。他血流动力学稳定。入院后不久,他接受了腹腔镜脾切除术。患者的肾损伤采用非手术治疗,出院时无并发症,恢复良好。

https://cdn.ncbi.nlm.nih.gov/pmc/blobs/a60c/3015742/fb5d4390539a/jsls-10-4-499-g01.jpg

文献检索

告别复杂PubMed语法,用中文像聊天一样搜索,搜遍4000万医学文献。AI智能推荐,让科研检索更轻松。

立即免费搜索

文件翻译

保留排版,准确专业,支持PDF/Word/PPT等文件格式,支持 12+语言互译。

免费翻译文档

深度研究

AI帮你快速写综述,25分钟生成高质量综述,智能提取关键信息,辅助科研写作。

立即免费体验