Suppr超能文献

阴茎静脉漏的发病机制:白膜的作用。

On the pathogenesis of penile venous leakage: role of the tunica albuginea.

作者信息

Shafik Ahmed, Shafik Ismail, El Sibai Olfat, Shafik Ali A

机构信息

Department of Surgery and Experimental Research, Faculty of Medicine, Cairo University, Cairo, Egypt.

出版信息

BMC Urol. 2007 Sep 5;7:14. doi: 10.1186/1471-2490-7-14.

Abstract

BACKGROUND

Etiology of venogenic erectile dysfunction is not exactly known. Various pathologic processes were accused but none proved entirely satisfactory. These include presence of large venous channels draining corpora cavernosa, Peyronie's disease, diabetes and structural alterations in fibroblastic components of trabeculae and cavernous smooth muscles. We investigated hypothesis that tunica albuginea atrophy with a resulting subluxation and redundancy effects venous leakage during erection.

METHODS

18 patients (mean age 33.6 +/- 2.8 SD years) with venogenic erectile dysfunction and 17 volunteers for control (mean age 31.7 +/- 2.2 SD years) were studied. Intracorporal pressure was recorded in all subjects; tunica albuginea biopsies were taken from 18 patients and 9 controls and stained with hematoxylin and eosin and Masson's trichrome stains.

RESULTS

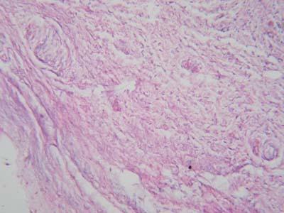
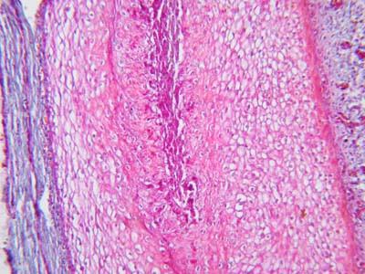
In flaccid phase intracorporal pressure recorded a mean of 11.8 +/- 0.8 cm H2O for control subjects and for patients of 5.2 +/- 0.6 cm, while during induced erection recorded 98.4 +/- 6.2 and 5.9 +/- 0.7 cmH2O, respectively. Microscopically, tunica albuginea of controls consisted of circularly-oriented collagen impregnated with elastic fibers. Tunica albuginea of patients showed degenerative and atrophic changes of collagen fibers; elastic fibers were scarce or absent.

CONCLUSION

Study has shown that during erection intracorporal pressure of patients with venogenic erectile dysfunction was significantly lower than that of controls. Tunica albuginea collagen fibers exhibited degenerative and atrophic changes which presumably lead to tunica albuginea subluxation and floppiness. These tunica albuginea changes seem to explain cause of lowered intracorporal pressure which apparently results from loss of tunica albuginea veno-occlusive mechanism. Causes of tunica albuginea atrophic changes and subluxation need to be studied.

摘要

背景

静脉性勃起功能障碍的病因尚不完全清楚。多种病理过程被认为与之相关,但均未得到完全令人满意的证实。这些病理过程包括引流海绵体的大静脉通道的存在、佩罗尼氏病、糖尿病以及小梁和成纤维细胞成分及海绵体平滑肌的结构改变。我们研究了一种假说,即白膜萎缩导致半脱位和冗余,从而在勃起过程中影响静脉漏。

方法

对18例静脉性勃起功能障碍患者(平均年龄33.6±2.8标准差岁)和17名对照志愿者(平均年龄31.7±2.2标准差岁)进行研究。记录所有受试者的海绵体内压;从18例患者和9名对照者中获取白膜活检组织,并用苏木精-伊红染色和马松三色染色。

结果

在疲软期,对照受试者的海绵体内压平均为11.8±0.8厘米水柱,患者为5.2±0.6厘米水柱;而在诱发勃起时,分别为98.4±6.2和5.9±0.7厘米水柱。显微镜下,对照者的白膜由含有弹性纤维的环形排列胶原组成。患者的白膜显示胶原纤维有退行性和萎缩性改变;弹性纤维稀少或缺失。

结论

研究表明,静脉性勃起功能障碍患者在勃起时的海绵体内压显著低于对照者。白膜胶原纤维呈现退行性和萎缩性改变,这可能导致白膜半脱位和松弛。这些白膜改变似乎解释了海绵体内压降低的原因,这显然是由于白膜静脉闭塞机制丧失所致。白膜萎缩性改变和半脱位的原因有待研究。

https://cdn.ncbi.nlm.nih.gov/pmc/blobs/9bc8/1995196/a410a7c08897/1471-2490-7-14-1.jpg

文献AI研究员

20分钟写一篇综述,助力文献阅读效率提升50倍。

立即体验

用中文搜PubMed

大模型驱动的PubMed中文搜索引擎

马上搜索

文档翻译

学术文献翻译模型,支持多种主流文档格式。

立即体验