• 文献检索
  • 文档翻译
  • 深度研究
  • 学术资讯
  • Suppr Zotero 插件Zotero 插件
  • 邀请有礼
  • 套餐&价格
  • 历史记录
应用&插件
Suppr Zotero 插件Zotero 插件浏览器插件Mac 客户端Windows 客户端微信小程序
定价
高级版会员购买积分包购买API积分包
服务
文献检索文档翻译深度研究API 文档MCP 服务
关于我们
关于 Suppr公司介绍联系我们用户协议隐私条款
关注我们

Suppr 超能文献

核心技术专利:CN118964589B侵权必究
粤ICP备2023148730 号-1Suppr @ 2026

文献检索

告别复杂PubMed语法,用中文像聊天一样搜索,搜遍4000万医学文献。AI智能推荐,让科研检索更轻松。

立即免费搜索

文件翻译

保留排版,准确专业,支持PDF/Word/PPT等文件格式,支持 12+语言互译。

免费翻译文档

深度研究

AI帮你快速写综述,25分钟生成高质量综述,智能提取关键信息,辅助科研写作。

立即免费体验

一种BBP-Mud2p异源二聚体介导分支点识别并影响芽殖酵母中剪接底物的丰度。

A BBP-Mud2p heterodimer mediates branchpoint recognition and influences splicing substrate abundance in budding yeast.

作者信息

Wang Qiang, Zhang Li, Lynn Bert, Rymond Brian C

机构信息

Department of Biology and Department of Chemistry, University of Kentucky, Lexington, KY 40506-0225, USA.

出版信息

Nucleic Acids Res. 2008 May;36(8):2787-98. doi: 10.1093/nar/gkn144. Epub 2008 Mar 29.

DOI:10.1093/nar/gkn144
PMID:18375978
原文链接:https://pmc.ncbi.nlm.nih.gov/articles/PMC2377449/
Abstract

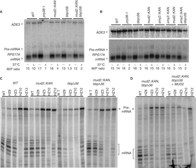
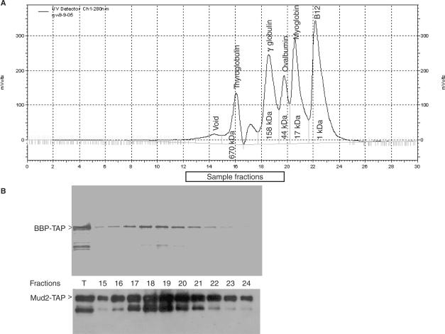
The 3' end of mammalian introns is marked by the branchpoint binding protein, SF1, and the U2AF65-U2AF35 heterodimer bound at an adjacent sequence. Baker's yeast has equivalent proteins, branchpoint binding protein (BBP) (SF1) and Mud2p (U2AF65), but lacks an obvious U2AF35 homolog, leaving open the question of whether another protein substitutes during spliceosome assembly. Gel filtration, affinity selection and mass spectrometry were used to show that rather than a U2AF65/U2AF35-like heterodimer, Mud2p forms a complex with BBP without a third (U2AF35-like) factor. Using mutants of MUD2 and BBP, we show that the BBP-Mud2p complex bridges partner-specific Prp39p, Mer1p, Clf1p and Smy2p two-hybrid interactions. In addition to inhibiting Mud2p association, the bbpDelta56 mutation impairs splicing, enhances pre-mRNA release from the nucleus, and similar to a mud2::KAN knockout, suppresses a lethal sub2::KAN mutation. Unexpectedly, rather than exacerbating bbpDelta56, the mud2::KAN mutation partially suppresses a pre-mRNA accumulation defect observed with bbpDelta56. We propose that a BBP-Mud2p heterodimer binds as a unit to the branchpoint in vivo and serves as a target for the Sub2p-DExD/H-box ATPase and for other splicing factors during spliceosome assembly. In addition, our results suggest the possibility that the Mud2p may enhance the turnover of pre-mRNA with impaired BBP-branchpoint association.

摘要

哺乳动物内含子的3'端由分支点结合蛋白SF1以及结合在相邻序列上的U2AF65 - U2AF35异二聚体标记。酿酒酵母有等效的蛋白质,即分支点结合蛋白(BBP)(SF1)和Mud2p(U2AF65),但缺乏明显的U2AF35同源物,这使得在剪接体组装过程中是否有其他蛋白质替代成为一个悬而未决的问题。凝胶过滤、亲和选择和质谱分析表明,Mud2p不是形成类似U2AF65/U2AF35的异二聚体,而是与BBP形成一个没有第三个(类似U2AF35)因子的复合物。利用MUD2和BBP的突变体,我们表明BBP - Mud2p复合物桥接了伴侣特异性的Prp39p、Mer1p、Clf1p和Smy2p双杂交相互作用。除了抑制Mud2p的结合外,bbpDelta56突变还损害剪接,增强前体mRNA从细胞核的释放,并且与mud2::KAN敲除类似,抑制致死性的sub2::KAN突变。出乎意料的是,mud2::KAN突变不是加剧bbpDelta56,而是部分抑制了bbpDelta56观察到的前体mRNA积累缺陷。我们提出,BBP - Mud2p异二聚体在体内作为一个整体结合到分支点,并在剪接体组装过程中作为Sub2p - DExD/H盒ATP酶和其他剪接因子的靶点。此外,我们的结果表明,Mud2p可能增强与BBP - 分支点结合受损的前体mRNA的周转。

https://cdn.ncbi.nlm.nih.gov/pmc/blobs/94d2/2377449/74f43013cee1/gkn144f6.jpg
https://cdn.ncbi.nlm.nih.gov/pmc/blobs/94d2/2377449/c381f6e4a4a9/gkn144f1.jpg
https://cdn.ncbi.nlm.nih.gov/pmc/blobs/94d2/2377449/77449523225e/gkn144f2.jpg
https://cdn.ncbi.nlm.nih.gov/pmc/blobs/94d2/2377449/f70403971db2/gkn144f3.jpg
https://cdn.ncbi.nlm.nih.gov/pmc/blobs/94d2/2377449/9060378d24b5/gkn144f4.jpg
https://cdn.ncbi.nlm.nih.gov/pmc/blobs/94d2/2377449/6979a86518ff/gkn144f5.jpg
https://cdn.ncbi.nlm.nih.gov/pmc/blobs/94d2/2377449/74f43013cee1/gkn144f6.jpg
https://cdn.ncbi.nlm.nih.gov/pmc/blobs/94d2/2377449/c381f6e4a4a9/gkn144f1.jpg
https://cdn.ncbi.nlm.nih.gov/pmc/blobs/94d2/2377449/77449523225e/gkn144f2.jpg
https://cdn.ncbi.nlm.nih.gov/pmc/blobs/94d2/2377449/f70403971db2/gkn144f3.jpg
https://cdn.ncbi.nlm.nih.gov/pmc/blobs/94d2/2377449/9060378d24b5/gkn144f4.jpg
https://cdn.ncbi.nlm.nih.gov/pmc/blobs/94d2/2377449/6979a86518ff/gkn144f5.jpg
https://cdn.ncbi.nlm.nih.gov/pmc/blobs/94d2/2377449/74f43013cee1/gkn144f6.jpg

相似文献

1
A BBP-Mud2p heterodimer mediates branchpoint recognition and influences splicing substrate abundance in budding yeast.一种BBP-Mud2p异源二聚体介导分支点识别并影响芽殖酵母中剪接底物的丰度。
Nucleic Acids Res. 2008 May;36(8):2787-98. doi: 10.1093/nar/gkn144. Epub 2008 Mar 29.
2
Transient interaction of BBP/ScSF1 and Mud2 with the splicing machinery affects the kinetics of spliceosome assembly.BBP/ScSF1与Mud2和剪接机制的瞬时相互作用会影响剪接体组装的动力学。
RNA. 1999 Jun;5(6):819-31. doi: 10.1017/s1355838299982286.
3
The yeast MUD2 protein: an interaction with PRP11 defines a bridge between commitment complexes and U2 snRNP addition.酵母MUD2蛋白:与PRP11的相互作用定义了前体复合物与U2 snRNP添加之间的桥梁。
Genes Dev. 1994 Apr 1;8(7):843-54. doi: 10.1101/gad.8.7.843.
4
Yeast ortholog of the Drosophila crooked neck protein promotes spliceosome assembly through stable U4/U6.U5 snRNP addition.果蝇弯颈蛋白的酵母直系同源物通过稳定添加U4/U6.U5核小核糖核蛋白促进剪接体组装。
RNA. 1999 Aug;5(8):1042-54. doi: 10.1017/s1355838299990635.
5
A cooperative interaction between U2AF65 and mBBP/SF1 facilitates branchpoint region recognition.U2AF65与mBBP/SF1之间的协同相互作用有助于分支点区域识别。
Genes Dev. 1998 Mar 15;12(6):858-67. doi: 10.1101/gad.12.6.858.
6
The branchpoint binding protein: in and out of the spliceosome cycle.分支点结合蛋白:在剪接体循环内外。
Adv Exp Med Biol. 2010;693:123-41.
7
Conservation of functional domains involved in RNA binding and protein-protein interactions in human and Saccharomyces cerevisiae pre-mRNA splicing factor SF1.人类和酿酒酵母前体mRNA剪接因子SF1中参与RNA结合和蛋白质-蛋白质相互作用的功能域的保守性。
RNA. 1998 May;4(5):551-65. doi: 10.1017/s1355838298980335.
8
Cross-intron bridging interactions in the yeast commitment complex are conserved in mammals.酵母前体信使核糖核蛋白体复合物中的交叉内含子桥接相互作用在哺乳动物中保守存在。
Cell. 1997 May 2;89(3):403-12. doi: 10.1016/s0092-8674(00)80221-4.
9
Genetic interactions of hypomorphic mutations in the m7G cap-binding pocket of yeast nuclear cap binding complex: an essential role for Cbc2 in meiosis via splicing of MER3 pre-mRNA.酵母核帽结合复合物 m7G 帽结合口袋中功能减弱突变的遗传相互作用:Cbc2 通过 MER3 前体 mRNA 的剪接在减数分裂中的重要作用。
RNA. 2012 Nov;18(11):1996-2011. doi: 10.1261/rna.033746.112. Epub 2012 Sep 21.
10
Deletion of MUD2, the yeast homolog of U2AF65, can bypass the requirement for sub2, an essential spliceosomal ATPase.删除酵母中与U2AF65同源的MUD2,可以绕过对sub2(一种必需的剪接体ATP酶)的需求。
Genes Dev. 2001 Jan 1;15(1):42-9. doi: 10.1101/gad.851301.

引用本文的文献

1
The splicing auxiliary factor OsU2AF35a enhances thermotolerance via protein separation and promoting proper splicing of OsHSA32 pre-mRNA in rice.剪接辅助因子OsU2AF35a通过蛋白质分离和促进水稻中OsHSA32前体mRNA的正确剪接来增强耐热性。
Plant Biotechnol J. 2025 Apr;23(4):1308-1328. doi: 10.1111/pbi.14587. Epub 2025 Jan 22.
2
Attacking a DEAD problem: The role of DEAD-box ATPases in ribosome assembly and beyond.攻击一个“已死”的问题:DEAD -box ATPases 在核糖体组装及其他方面的作用。
Methods Enzymol. 2022;673:19-38. doi: 10.1016/bs.mie.2022.03.033. Epub 2022 Apr 9.
3
Evidence for complex dynamics during U2 snRNP selection of the intron branchpoint.

本文引用的文献

1
Binding specificities of the GYF domains from two Saccharomyces cerevisiae paralogs.
Protein Eng Des Sel. 2007 Sep;20(9):443-52. doi: 10.1093/protein/gzm041. Epub 2007 Sep 4.
2
SR proteins function in coupling RNAP II transcription to pre-mRNA splicing.SR蛋白在将RNA聚合酶II转录与前体mRNA剪接相偶联的过程中发挥作用。
Mol Cell. 2007 Jun 22;26(6):867-81. doi: 10.1016/j.molcel.2007.05.036.
3
Control of pre-mRNA splicing by the general splicing factors PUF60 and U2AF(65).一般剪接因子 PUF60 和 U2AF(65)对前体 mRNA 剪接的控制。
U2 snRNP 选择内含子分支点过程中复杂动力学的证据。
Nucleic Acids Res. 2021 Sep 27;49(17):9965-9977. doi: 10.1093/nar/gkab695.
4
Structural insights into how Prp5 proofreads the pre-mRNA branch site.结构洞察 Prp5 如何校对前 mRNA 分支位点。
Nature. 2021 Aug;596(7871):296-300. doi: 10.1038/s41586-021-03789-5. Epub 2021 Aug 4.
5
Systematic characterization of the branch point binding protein, splicing factor 1, gene family in plant development and stress responses.系统表征分支点结合蛋白、剪接因子 1 基因家族在植物发育和应激反应中的作用。
BMC Plant Biol. 2020 Aug 18;20(1):379. doi: 10.1186/s12870-020-02570-6.
6
RNA Splicing of Modulates the Transition to Flowering.RNA剪接对开花转变进行调控。
Front Plant Sci. 2019 Dec 17;10:1625. doi: 10.3389/fpls.2019.01625. eCollection 2019.
7
Cus2 enforces the first ATP-dependent step of splicing by binding to yeast SF3b1 through a UHM-ULM interaction.Cus2 通过与酵母 SF3b1 结合,通过 UHM-ULM 相互作用来强制剪接的第一个 ATP 依赖性步骤。
RNA. 2019 Aug;25(8):1020-1037. doi: 10.1261/rna.070649.119. Epub 2019 May 20.
8
Mud2 functions in transcription by recruiting the Prp19 and TREX complexes to transcribed genes.Mud2 通过招募 Prp19 和 TREX 复合物到转录基因上来发挥转录功能。
Nucleic Acids Res. 2018 Oct 12;46(18):9749-9763. doi: 10.1093/nar/gky640.
9
SF1 Phosphorylation Enhances Specific Binding to U2AF and Reduces Binding to 3'-Splice-Site RNA.SF1磷酸化增强与U2AF的特异性结合并减少与3'-剪接位点RNA的结合。
Biophys J. 2016 Dec 20;111(12):2570-2586. doi: 10.1016/j.bpj.2016.11.007.
10
The Evolutionarily-conserved Polyadenosine RNA Binding Protein, Nab2, Cooperates with Splicing Machinery to Regulate the Fate of pre-mRNA.进化保守的聚腺苷酸RNA结合蛋白Nab2与剪接机制协同作用,调控前体mRNA的命运。
Mol Cell Biol. 2016 Nov;36(21):2697-2714. doi: 10.1128/MCB.00402-16. Epub 2016 Aug 15.
PLoS One. 2007 Jun 20;2(6):e538. doi: 10.1371/journal.pone.0000538.
4
RNA regulons: coordination of post-transcriptional events.RNA调节子:转录后事件的协调
Nat Rev Genet. 2007 Jul;8(7):533-43. doi: 10.1038/nrg2111.
5
Dissecting mechanisms of nuclear mRNA surveillance in THO/sub2 complex mutants.剖析THO/亚2复合物突变体中核mRNA监测机制
EMBO J. 2007 May 2;26(9):2317-26. doi: 10.1038/sj.emboj.7601669. Epub 2007 Apr 5.
6
Genome-wide identification of functionally distinct subsets of cellular mRNAs associated with two nucleocytoplasmic-shuttling mammalian splicing factors.与两种穿梭于核质的哺乳动物剪接因子相关的细胞mRNA功能不同亚群的全基因组鉴定。
Genome Biol. 2006;7(11):R113. doi: 10.1186/gb-2006-7-11-r113.
7
In vivo commitment to yeast cotranscriptional splicing is sensitive to transcription elongation mutants.体内对酵母共转录剪接的定向分化对转录延伸突变体敏感。
Genes Dev. 2006 Aug 1;20(15):2055-66. doi: 10.1101/gad.1434706.
8
RNA-quality control by the exosome.外泌体介导的RNA质量控制
Nat Rev Mol Cell Biol. 2006 Jul;7(7):529-39. doi: 10.1038/nrm1964.
9
Intron removal requires proofreading of U2AF/3' splice site recognition by DEK.内含子去除需要DEK对U2AF/3'剪接位点识别进行校对。
Science. 2006 Jun 30;312(5782):1961-5. doi: 10.1126/science.1128659.
10
A subset of Mer1p-dependent introns requires Bud13p for splicing activation and nuclear retention.一部分依赖Mer1p的内含子需要Bud13p来激活剪接和核保留。
RNA. 2006 Jul;12(7):1361-72. doi: 10.1261/rna.2276806. Epub 2006 May 31.