Suppr超能文献

用于促肾上腺皮质激素依赖性库欣综合征的同期双侧肾上腺切除术。

Synchronous bilateral adrenalectomy for adrenocorticotropic-dependent Cushing's syndrome.

作者信息

Malley Dev, Boris Ronald, Kaul Sanjeev, Eun Daniel, Muhletaler Fred, Rogers Craig, Narra Vinod, Menon Mani

机构信息

Vattikuti Urology Institute, Henry Ford Health System, Detroit, Michigan, USA.

出版信息

JSLS. 2008 Apr-Jun;12(2):198-201.

Abstract

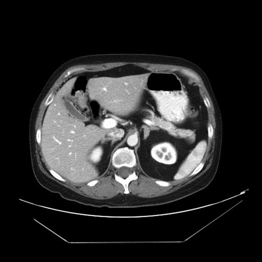
Select patients with ACTH-dependent Cushing's syndrome, such as patients with persistent Cushing's disease after failed hypophysectomy or patients with ectopic ACTH production, may require bilateral adrenalectomy. Laparoscopic bilateral adrenalectomy has been described, offering definitive treatment with reduced morbidity compared with open techniques. We report on the performance of synchronous bilateral adrenalectomy treated using the da Vinci robot (Intuitive Surgical, Sunnyvale, CA). To our knowledge, the usage of this minimally invasive approach for this operation has yet to be reported in literature. The details of the case and a brief review of the literature are described herein.

摘要

选择患有促肾上腺皮质激素(ACTH)依赖性库欣综合征的患者,如垂体切除术后仍患有库欣病的患者或产生异位ACTH的患者,可能需要进行双侧肾上腺切除术。腹腔镜双侧肾上腺切除术已被描述,与开放手术相比,它能提供确定性治疗且发病率更低。我们报告了使用达芬奇机器人(直观外科公司,加利福尼亚州森尼韦尔市)进行同步双侧肾上腺切除术的情况。据我们所知,这种微创手术方法在该手术中的应用尚未见文献报道。本文描述了该病例的详细情况并对文献进行了简要回顾。

https://cdn.ncbi.nlm.nih.gov/pmc/blobs/46f0/3016181/f4fea3697cc2/jsls-12-2-198-g01.jpg

文献检索

告别复杂PubMed语法,用中文像聊天一样搜索,搜遍4000万医学文献。AI智能推荐,让科研检索更轻松。

立即免费搜索

文件翻译

保留排版,准确专业,支持PDF/Word/PPT等文件格式,支持 12+语言互译。

免费翻译文档

深度研究

AI帮你快速写综述,25分钟生成高质量综述,智能提取关键信息,辅助科研写作。

立即免费体验