Patel Seema, George Roger, Autore Flavia, Fraternali Franca, Ladbury John E, Nikolova Penka V
Department of Biochemistry and Pharmaceutical Science Division, School of Biomedical and Health Sciences, King's College London, Franklin-Wilkins Building, 150 Stamford St., London SE1 9NH, UK.
Nucleic Acids Res. 2008 Sep;36(16):5139-51. doi: 10.1093/nar/gkn490. Epub 2008 Aug 2.
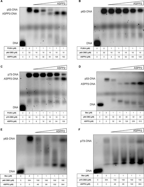
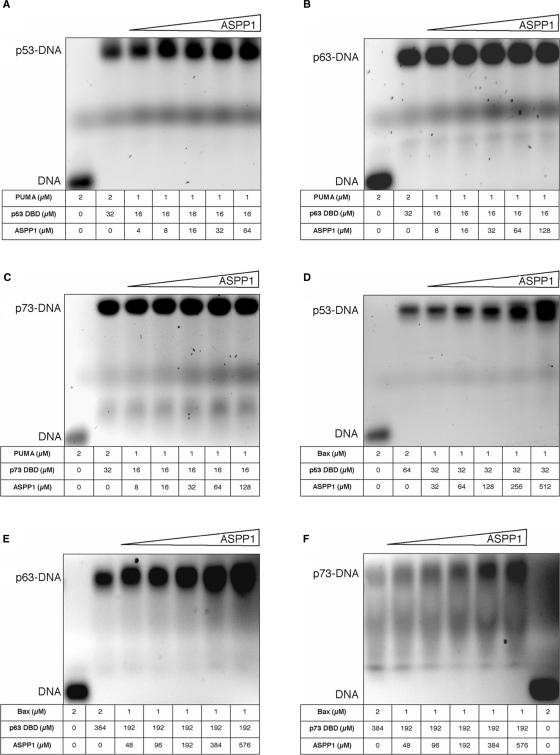
The apoptosis stimulating p53 proteins, ASPP1 and ASPP2, are the first two common activators of the p53 protein family that selectively enable the latter to regulate specific apoptotic target genes, which facilitates yes yet unknown mechanisms for discrimination between cell cycle arrest and apoptosis. To better understand the interplay between ASPP- and p53-family of proteins we investigated the molecular interactions between them using biochemical methods and structure-based homology modelling. The data demonstrate that: (i) the binding of ASPP1 and ASPP2 to p53, p63 and p73 is direct; (ii) the C-termini of ASPP1 and ASPP2 interact with the DNA-binding domains of p53 protein family with dissociation constants, K(d), in the lower micro-molar range; (iii) the stoichiometry of binding is 1:1; (iv) the DNA-binding domains of p53 family members are sufficient for these protein-protein interactions; (v) EMSA titrations revealed that while tri-complex formation between ASPPs, p53 family of proteins and PUMA/Bax is mutually exclusive, ASPP2 (but not ASPP1) formed a complex with PUMA (but not Bax) and displaced p53 and p73. The structure-based homology modelling revealed subtle differences between ASPP2 and ASPP1 and together with the experimental data provide novel mechanistic insights.
凋亡刺激蛋白p53(ASPP1和ASPP2)是p53蛋白家族最早发现的两种常见激活因子,它们能够选择性地使p53蛋白家族调控特定的凋亡靶基因,这一过程通过尚不明确的机制来区分细胞周期停滞和凋亡。为了更好地理解ASPP蛋白家族与p53蛋白家族之间的相互作用,我们运用生化方法和基于结构的同源建模技术研究了它们之间的分子相互作用。数据表明:(i)ASPP1和ASPP2与p53、p63和p73的结合是直接的;(ii)ASPP1和ASPP2的C末端与p53蛋白家族的DNA结合结构域相互作用,解离常数K(d)处于低微摩尔范围;(iii)结合的化学计量比为1:1;(iv)p53家族成员的DNA结合结构域足以介导这些蛋白质-蛋白质相互作用;(v)电泳迁移率变动分析滴定显示,虽然ASPPs、p53蛋白家族与PUMA/Bax之间的三聚体形成是相互排斥的,但ASPP2(而非ASPP1)与PUMA(而非Bax)形成复合物,并取代了p53和p73。基于结构的同源建模揭示了ASPP2和ASPP1之间的细微差异,结合实验数据为我们提供了新的作用机制见解。