Suppr超能文献

Expression of rheumatoid factor associated cross-reactive idiotopes by glandular B cells in Sjögren's syndrome.

作者信息

Deacon E M, Matthews J B, Potts A J, Hamburger J, Mageed R A, Jefferis R

机构信息

Department of Oral Surgery, University of Birmingham, England.

出版信息

Clin Exp Immunol. 1991 Feb;83(2):280-5. doi: 10.1111/j.1365-2249.1991.tb05628.x.

Abstract

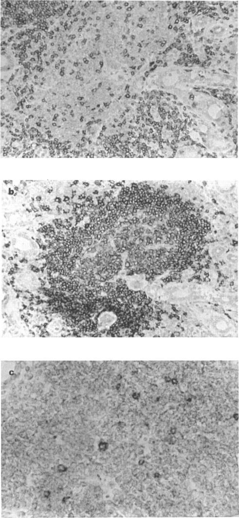
B cell expression of the germline gene-encoded, kappa IIIb-associated, rheumatoid factor (RF) cross-reactive idiotope (CRI) 17-109 and three VHI associated RF CRIs (G6, G8, H1) was investigated immunocytochemically in labial salivary glands from nine patients with primary and six with secondary Sjögren's syndrome, and in inflamed submandibular salivary glands from 10 patients with no history of connective tissue disease. Expression of CRIs by B cell infiltrates in labial glands from patients with primary and secondary Sjögren's syndrome were similar. Lymphoid infiltrates of labial glands from Sjögren's syndrome patients contained a higher proportion of kappa III+ cells reactive for the kappa IIIb-associated 17-109 idiotope (P less than 0.01) and larger G6 (P less than 0.02) and H1 (P less than 0.01) positive B cell populations than those within inflamed submandibular salivary glands. Furthermore, in labial glands there was a significant correlation between numbers of 17-109 and G6 idiotope reactive cells (r = 0.61; P less than 0.02), reflecting the known association between these H and L chain CRIs in RF IgM paraproteins. These results indicate that B cells bearing both VKIII and VHI-associated CRI are increased in the glandular infiltrates in Sjögren's syndrome and support the idea that this condition is associated with proliferation of immature B cell clones retaining germ-line V genes.

摘要
https://cdn.ncbi.nlm.nih.gov/pmc/blobs/5aba/1535268/e1c2f5758da1/clinexpimmunol00065-0098-a.jpg

文献AI研究员

20分钟写一篇综述,助力文献阅读效率提升50倍。

立即体验

用中文搜PubMed

大模型驱动的PubMed中文搜索引擎

马上搜索

文档翻译

学术文献翻译模型,支持多种主流文档格式。

立即体验