• 文献检索
  • 文档翻译
  • 深度研究
  • 学术资讯
  • Suppr Zotero 插件Zotero 插件
  • 邀请有礼
  • 套餐&价格
  • 历史记录
应用&插件
Suppr Zotero 插件Zotero 插件浏览器插件Mac 客户端Windows 客户端微信小程序
定价
高级版会员购买积分包购买API积分包
服务
文献检索文档翻译深度研究API 文档MCP 服务
关于我们
关于 Suppr公司介绍联系我们用户协议隐私条款
关注我们

Suppr 超能文献

核心技术专利:CN118964589B侵权必究
粤ICP备2023148730 号-1Suppr @ 2026

文献检索

告别复杂PubMed语法,用中文像聊天一样搜索,搜遍4000万医学文献。AI智能推荐,让科研检索更轻松。

立即免费搜索

文件翻译

保留排版,准确专业,支持PDF/Word/PPT等文件格式,支持 12+语言互译。

免费翻译文档

深度研究

AI帮你快速写综述,25分钟生成高质量综述,智能提取关键信息,辅助科研写作。

立即免费体验

EBV 与 DNA 拓扑异构酶 IIα 在正常口腔黏膜、口腔上皮异型增生和口腔鳞状细胞癌中的意义。

The significance of Epstein Barr virus (EBV) & DNA topoisomerase II alpha (DNA-Topo II alpha) immunoreactivity in normal oral mucosa, oral epithelial dysplasia (OED) and oral squamous cell carcinoma (OSCC).

机构信息

Oral Biology Department, Faculty of Dentistry, Minia University, Minia, Egypt.

出版信息

Diagn Pathol. 2008 Nov 20;3:45. doi: 10.1186/1746-1596-3-45.

DOI:10.1186/1746-1596-3-45
PMID:19021895
原文链接:https://pmc.ncbi.nlm.nih.gov/articles/PMC2611966/
Abstract

BACKGROUND

Head and neck cancer including oral cancer is considered to develop by accumulated genetic alterations and the major pathway is cancerization from lesions such as intraepithelial dysplasia in oral leukoplakia and erythroplakia. The relationship of proliferation markers with the grading of dysplasia is uncertain. The involvement of EBV in oral carcinogenesis is not fully understood.

AIM

The present study was designed to investigate the role of EBV and DNA Topoisomerase II proportional (DNA-Topo II proportional) during oral carcinogenesis and to examine the prognostic significance of these protein expressions in OSCCs.

METHODS

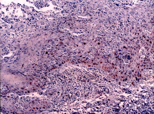
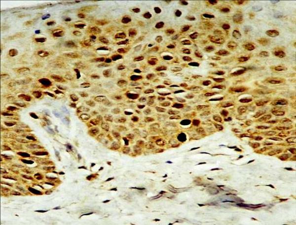
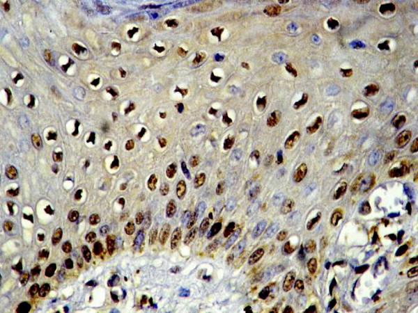
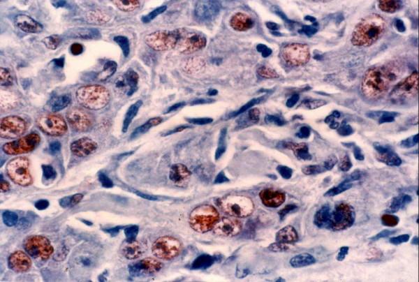
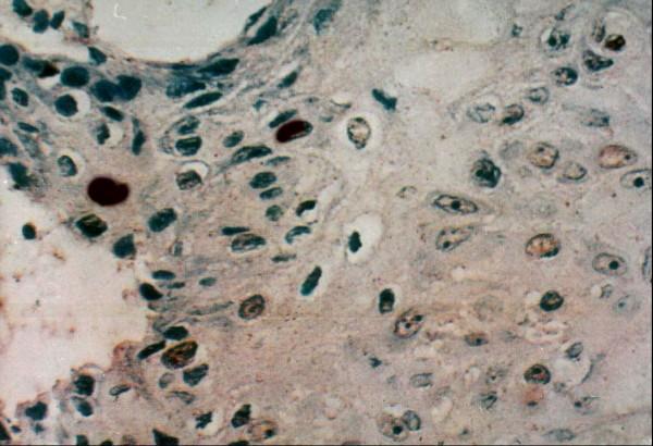
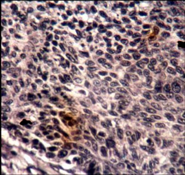
Using specific antibodies for EBV and DNA-Topo II proportional, we examined protein expressions in archival lesion tissues from 16 patients with oral epithelial dysplasia, 22 oral squamous cell carcinoma and 20 normal oral mucosa by immunohistochemistry. Clinical information was obtained through the computerized retrospective database from the tumor registry.

RESULTS

DNA-Topo II proportional was expressed in all examined specimens. Analysis of Variance ANOVA revealed highly significant difference (P < 0.01) in young aged labial tissues and significant (P < or = 0.05) in gingival and not significant (P > 0.05) in inferior surface of tongue and in hard palatal tissues. Significant differences were observed between OEDs and NSE (P < 0.001) and SCCs and controls (P < 0.001), also, significant differences could be observed between SCCs and OEDs. DNA-Topo II proportional expression was significantly higher in tumors of low differentiation versus tumors of moderate and high differentiation (P < 0.001), DNA-Topo II proportional expression was correlated with age, tumor size, tumor stage, node metastasis and tumor differentiation, but not with gender and tumor site. None of normal squamous epithelium (NSE) expressed EBV. Heterogeneous reactivity for EBV was observed through the series of dysplasia and squamous cell carcinoma. Its expression increased progressively with lymph node metastasis and low tumor differentiation, but no significant association could be observed with other clinicopathological parameters. EBV protein expression was increased with elevated Topo II-proportional LI in OEDs and OSCCs. A tendency to positive correlation between EBV and Topo II proportional, variant expression was observed in OEDs but not in OSCCs.

CONCLUSION

EBV and DNA Topo II-alphaLI expression are possible indicators in oral carcinogenesis and may be valuable diagnostic and prognostic indices in oral carcinoma.

摘要

背景

头颈部癌症包括口腔癌被认为是由遗传改变的积累而发展的,主要途径是从口腔白斑和红斑病的上皮内异型增生等病变进行癌变。增殖标志物与异型增生分级的关系尚不确定。EBV 在口腔癌变中的作用尚未完全了解。

目的

本研究旨在探讨 EBV 和 DNA 拓扑异构酶 II 比例(DNA-Topo II 比例)在口腔癌变过程中的作用,并研究这些蛋白表达在口腔鳞状细胞癌中的预后意义。

方法

使用针对 EBV 和 DNA-Topo II 比例的特异性抗体,我们通过免疫组织化学法检测了 16 例口腔上皮异型增生、22 例口腔鳞状细胞癌和 20 例正常口腔黏膜存档病变组织中的蛋白表达。临床信息通过肿瘤登记处的计算机化回顾性数据库获得。

结果

DNA-Topo II 比例在所有检查标本中均有表达。方差分析(ANOVA)显示,唇黏膜年轻组织有显著差异(P < 0.01),牙龈组织有显著差异(P < 0.05),舌下部和硬腭组织无显著差异(P > 0.05)。OED 与 NSE 之间(P < 0.001)和 SCC 与对照组之间(P < 0.001)有显著差异,SCC 与 OED 之间也有显著差异。低分化肿瘤的 DNA-Topo II 比例表达显著高于中高分化肿瘤(P < 0.001),DNA-Topo II 比例表达与年龄、肿瘤大小、肿瘤分期、淋巴结转移和肿瘤分化相关,但与性别和肿瘤部位无关。正常鳞状上皮(NSE)均不表达 EBV。在异型增生和鳞状细胞癌的系列中观察到 EBV 的异质性反应。其表达随淋巴结转移和低肿瘤分化而逐渐增加,但与其他临床病理参数无显著相关性。在 OED 和 OSCC 中,EBV 蛋白表达随 Topo II 比例的升高而升高。在 OED 中观察到 EBV 与 Topo II 比例之间存在正相关的趋势,但在 OSCC 中则没有。

结论

EBV 和 DNA 拓扑异构酶 IIαLI 的表达可能是口腔癌变中的指标,并可能成为口腔癌有价值的诊断和预后指标。

https://cdn.ncbi.nlm.nih.gov/pmc/blobs/a876/2611966/021586d8df02/1746-1596-3-45-9.jpg
https://cdn.ncbi.nlm.nih.gov/pmc/blobs/a876/2611966/1c2a74f4a44e/1746-1596-3-45-1.jpg
https://cdn.ncbi.nlm.nih.gov/pmc/blobs/a876/2611966/7d73f546dac5/1746-1596-3-45-2.jpg
https://cdn.ncbi.nlm.nih.gov/pmc/blobs/a876/2611966/4287c649f243/1746-1596-3-45-3.jpg
https://cdn.ncbi.nlm.nih.gov/pmc/blobs/a876/2611966/9f254dd1c1b4/1746-1596-3-45-4.jpg
https://cdn.ncbi.nlm.nih.gov/pmc/blobs/a876/2611966/07dc7d65ff3e/1746-1596-3-45-5.jpg
https://cdn.ncbi.nlm.nih.gov/pmc/blobs/a876/2611966/ef0baecadfa4/1746-1596-3-45-6.jpg
https://cdn.ncbi.nlm.nih.gov/pmc/blobs/a876/2611966/7a94422af0c8/1746-1596-3-45-7.jpg
https://cdn.ncbi.nlm.nih.gov/pmc/blobs/a876/2611966/e048f9deff78/1746-1596-3-45-8.jpg
https://cdn.ncbi.nlm.nih.gov/pmc/blobs/a876/2611966/021586d8df02/1746-1596-3-45-9.jpg
https://cdn.ncbi.nlm.nih.gov/pmc/blobs/a876/2611966/1c2a74f4a44e/1746-1596-3-45-1.jpg
https://cdn.ncbi.nlm.nih.gov/pmc/blobs/a876/2611966/7d73f546dac5/1746-1596-3-45-2.jpg
https://cdn.ncbi.nlm.nih.gov/pmc/blobs/a876/2611966/4287c649f243/1746-1596-3-45-3.jpg
https://cdn.ncbi.nlm.nih.gov/pmc/blobs/a876/2611966/9f254dd1c1b4/1746-1596-3-45-4.jpg
https://cdn.ncbi.nlm.nih.gov/pmc/blobs/a876/2611966/07dc7d65ff3e/1746-1596-3-45-5.jpg
https://cdn.ncbi.nlm.nih.gov/pmc/blobs/a876/2611966/ef0baecadfa4/1746-1596-3-45-6.jpg
https://cdn.ncbi.nlm.nih.gov/pmc/blobs/a876/2611966/7a94422af0c8/1746-1596-3-45-7.jpg
https://cdn.ncbi.nlm.nih.gov/pmc/blobs/a876/2611966/e048f9deff78/1746-1596-3-45-8.jpg
https://cdn.ncbi.nlm.nih.gov/pmc/blobs/a876/2611966/021586d8df02/1746-1596-3-45-9.jpg

相似文献

1
The significance of Epstein Barr virus (EBV) & DNA topoisomerase II alpha (DNA-Topo II alpha) immunoreactivity in normal oral mucosa, oral epithelial dysplasia (OED) and oral squamous cell carcinoma (OSCC).EBV 与 DNA 拓扑异构酶 IIα 在正常口腔黏膜、口腔上皮异型增生和口腔鳞状细胞癌中的意义。
Diagn Pathol. 2008 Nov 20;3:45. doi: 10.1186/1746-1596-3-45.
2
Topoisomerase II alpha expression in esophageal squamous cell carcinoma.拓扑异构酶IIα在食管鳞状细胞癌中的表达
Anticancer Res. 1999 May-Jun;19(3A):1873-80.
3
Expression of cyclooxygenase-2 and DNA topoisomerase II alpha in precancerous and cancerous lesions of the oral mucosa.环氧化酶-2和DNA拓扑异构酶IIα在口腔黏膜癌前病变和癌性病变中的表达
Oral Oncol. 2008 Jul;44(7):664-71. doi: 10.1016/j.oraloncology.2007.08.014. Epub 2007 Nov 9.
4
Detection of Epstein-Barr virus genome and latent infection gene expression in normal epithelia, epithelial dysplasia, and squamous cell carcinoma of the oral cavity.口腔正常上皮、上皮发育异常及鳞状细胞癌中爱泼斯坦-巴尔病毒基因组的检测及潜伏感染基因表达
Tumour Biol. 2016 Mar;37(3):3389-404. doi: 10.1007/s13277-015-4167-7. Epub 2015 Oct 8.
5
Immunohistochemical study of DNA topoisomerase I, DNA topoisomerase II alpha, p53, and Ki-67 in oral preneoplastic lesions and oral squamous cell carcinomas.口腔癌前病变和口腔鳞状细胞癌中DNA拓扑异构酶I、DNA拓扑异构酶IIα、p53和Ki-67的免疫组织化学研究
Hum Pathol. 2004 Jun;35(6):745-51. doi: 10.1016/j.humpath.2004.02.004.
6
Ki-67 Expression as a Prognostic Marker: A Comparative Immunohistochemical Analysis of Oral Epithelial Dysplasia and Oral Squamous Cell Carcinoma.Ki-67表达作为一种预后标志物:口腔上皮发育异常和口腔鳞状细胞癌的免疫组织化学比较分析
Cureus. 2023 May 12;15(5):e38941. doi: 10.7759/cureus.38941. eCollection 2023 May.
7
Overexpression of Epstein-Barr virus-encoded latent membrane protein-1 (LMP-1) in oral squamous cell carcinoma.口腔鳞状细胞癌中 Epstein-Barr 病毒编码的潜伏膜蛋白 1(LMP-1)的过表达。
BMC Oral Health. 2019 Jul 10;19(1):142. doi: 10.1186/s12903-019-0832-3.
8
Expression of hepatocyte growth factor and c-met protein is significantly associated with the progression of oral squamous cell carcinoma in Taiwan.肝细胞生长因子和c-met蛋白的表达与台湾口腔鳞状细胞癌的进展显著相关。
J Oral Pathol Med. 2004 Apr;33(4):209-17. doi: 10.1111/j.0904-2512.2004.00118.x.
9
Expression of hypoxia-inducible factor-1 alpha is significantly associated with the progression and prognosis of oral squamous cell carcinomas in Taiwan.缺氧诱导因子-1α的表达与台湾口腔鳞状细胞癌的进展及预后显著相关。
J Oral Pathol Med. 2008 Jan;37(1):18-25. doi: 10.1111/j.1600-0714.2007.00571.x.
10
Decreased expression of Ep-CAM protein is significantly associated with the progression and prognosis of oral squamous cell carcinomas in Taiwan.上皮细胞黏附分子(Ep-CAM)蛋白表达降低与台湾口腔鳞状细胞癌的进展及预后显著相关。
J Oral Pathol Med. 2009 Jan;38(1):87-93. doi: 10.1111/j.1600-0714.2008.00664.x. Epub 2008 Mar 18.

引用本文的文献

1
Topoisomerase IIalpha (TopoIIa) A New Promising Marker for Early Detection of Laryngeal Squamous Cell Carcinoma: An Immunohistochemical Study.拓扑异构酶 IIα(TopoIIa):用于早期检测喉鳞状细胞癌的新的有前途的标志物:免疫组织化学研究。
Asian Pac J Cancer Prev. 2023 Jun 1;24(6):2135-2139. doi: 10.31557/APJCP.2023.24.6.2135.
2
Evaluation of Epstein-Barr virus expression in oral squamous cell carcinomas.口腔鳞状细胞癌中爱泼斯坦-巴尔病毒表达的评估
Dent Res J (Isfahan). 2022 Jul 18;19:58. eCollection 2022.
3
GINS1 promotes the proliferation and migration of glioma cells through USP15-mediated deubiquitination of TOP2A.

本文引用的文献

1
DNA Topoisomerase II-alpha as a marker of cell proliferation in endocrine and other neoplasms.DNA拓扑异构酶II-α作为内分泌及其他肿瘤中细胞增殖的标志物。
Endocr Pathol. 1999 Jun;10(2):97-102. doi: 10.1007/BF02739821.
2
Detection of Epstein Barr virus by chromogenic in situ hybridization in cases of extra-hepatic biliary atresia.检测 Epstein Barr 病毒通过显色原位杂交在肝外胆道闭锁病例中。
Diagn Pathol. 2008 Apr 28;3:19. doi: 10.1186/1746-1596-3-19.
3
Expression of cyclooxygenase-2 and DNA topoisomerase II alpha in precancerous and cancerous lesions of the oral mucosa.
GINS1通过USP15介导的TOP2A去泛素化促进胶质瘤细胞的增殖和迁移。
iScience. 2022 Aug 17;25(9):104952. doi: 10.1016/j.isci.2022.104952. eCollection 2022 Sep 16.
4
PCR Detection of Epstein-Barr Virus (EBV) DNA in Patients with Head and Neck Squamous Cell Carcinoma, in Patients with Chronic Tonsillitis, and in Healthy Individuals.PCR 检测头颈部鳞状细胞癌患者、慢性扁桃体炎患者和健康个体中的 Epstein-Barr 病毒(EBV)DNA。
Biomed Res Int. 2022 Aug 8;2022:8506242. doi: 10.1155/2022/8506242. eCollection 2022.
5
Potential Role of Epstein-Barr Virus in Oral Potentially Malignant Disorders and Oral Squamous Cell Carcinoma: A Scoping Review.EB 病毒在口腔潜在恶性疾病和口腔鳞状细胞癌中的潜在作用:范围综述。
Viruses. 2022 Apr 13;14(4):801. doi: 10.3390/v14040801.
6
Detection of Epstein-Barr virus encoded small RNA genes in oral squamous cell carcinoma and non-cancerous oral cavity samples.检测口腔鳞状细胞癌和非癌性口腔样本中的 Epstein-Barr 病毒编码的小 RNA 基因。
BMC Oral Health. 2021 Oct 7;21(1):502. doi: 10.1186/s12903-021-01867-8.
7
Epithelial cell infection by Epstein-Barr virus.上皮细胞感染 Epstein-Barr 病毒。
FEMS Microbiol Rev. 2019 Nov 1;43(6):674-683. doi: 10.1093/femsre/fuz023.
8
Overexpression of Epstein-Barr virus-encoded latent membrane protein-1 (LMP-1) in oral squamous cell carcinoma.口腔鳞状细胞癌中 Epstein-Barr 病毒编码的潜伏膜蛋白 1(LMP-1)的过表达。
BMC Oral Health. 2019 Jul 10;19(1):142. doi: 10.1186/s12903-019-0832-3.
9
Epstein-Barr virus infection and oral squamous cell carcinoma risk: A meta-analysis.爱泼斯坦-巴尔病毒感染与口腔鳞状细胞癌风险:一项荟萃分析。
PLoS One. 2017 Oct 24;12(10):e0186860. doi: 10.1371/journal.pone.0186860. eCollection 2017.
10
No evidence for the presence of Epstein-Barr virus in squamous cell carcinoma of the mobile tongue.无证据表明活动期舌鳞状细胞癌中存在爱泼斯坦-巴尔病毒。
PLoS One. 2017 Sep 19;12(9):e0184201. doi: 10.1371/journal.pone.0184201. eCollection 2017.
环氧化酶-2和DNA拓扑异构酶IIα在口腔黏膜癌前病变和癌性病变中的表达
Oral Oncol. 2008 Jul;44(7):664-71. doi: 10.1016/j.oraloncology.2007.08.014. Epub 2007 Nov 9.
4
Immunohistochemical study on topoisomerase IIalpha, Ki-67 and cytokeratin-19 in oral lichen planus lesions.口腔扁平苔藓病变中拓扑异构酶IIα、Ki-67和细胞角蛋白-19的免疫组织化学研究
Arch Dermatol Res. 2007 Jan;298(8):381-8. doi: 10.1007/s00403-006-0711-z. Epub 2006 Oct 28.
5
Aging and death in an organism that reproduces by morphologically symmetric division.通过形态对称分裂进行繁殖的生物体中的衰老与死亡。
PLoS Biol. 2005 Feb;3(2):e45. doi: 10.1371/journal.pbio.0030045. Epub 2005 Feb 1.
6
Immunohistochemical study of DNA topoisomerase I, DNA topoisomerase II alpha, p53, and Ki-67 in oral preneoplastic lesions and oral squamous cell carcinomas.口腔癌前病变和口腔鳞状细胞癌中DNA拓扑异构酶I、DNA拓扑异构酶IIα、p53和Ki-67的免疫组织化学研究
Hum Pathol. 2004 Jun;35(6):745-51. doi: 10.1016/j.humpath.2004.02.004.
7
Hindering the strand passage reaction of human topoisomerase IIalpha without disturbing DNA cleavage, ATP hydrolysis, or the operation of the N-terminal clamp.在不干扰DNA切割、ATP水解或N端夹子运作的情况下,阻碍人类拓扑异构酶IIα的链通过反应。
J Biol Chem. 2004 Jul 2;279(27):28093-9. doi: 10.1074/jbc.M402120200. Epub 2004 Apr 28.
8
Apoptosis induction in HL-60 cells and inhibition of topoisomerase II by triterpene celastrol.
Biosci Biotechnol Biochem. 2003 Sep;67(9):1883-7. doi: 10.1271/bbb.67.1883.
9
VIRUS PARTICLES IN CULTURED LYMPHOBLASTS FROM BURKITT'S LYMPHOMA.来自伯基特淋巴瘤的培养淋巴细胞中的病毒颗粒
Lancet. 1964 Mar 28;1(7335):702-3. doi: 10.1016/s0140-6736(64)91524-7.
10
Association of Epstein-Barr virus with oral cancers.爱泼斯坦-巴尔病毒与口腔癌的关联。
Hum Pathol. 2002 Jun;33(6):608-14. doi: 10.1053/hupa.2002.129786.