Suppr超能文献

槲皮素对成骨前体细胞和骨缺损的影响。

Effect of quercetin on preosteoblasts and bone defects.

作者信息

Wong R W K, Rabie A B M

机构信息

Biomedical and Tissue Engineering, University of Hong Kong, Prince Philip Dental Hospital, 34 Hospital Road, Sai Ying Pun, Hong Kong.

出版信息

Open Orthop J. 2008 Mar 10;2:27-32. doi: 10.2174/1874325000802010027.

Abstract

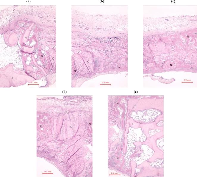
Quercetin is a flavonol, also a phytoestrogen, available commonly in onion and apple. Our laboratory investigated its effect on MC3T3-E1 cells' alkaline phosphatase activity in vitro and compared the amount of new bone produced by quercetin in collagen matrix to that produced by bone grafts and collagen matrix in vivo. Four bone defects, 5mm by 10mm were created in the parietal bone of 2 New Zealand White rabbits. In the experimental animal, 2 defects were grafted with quercetin solution mixed with collagen matrix. In the control animal, 2 defects were grafted with collagen matrix alone. Animals were killed on day 14 and the defects were dissected and prepared for histological qualitative assessment. Results showed that 10muM of quercetin increased alkaline phosphatase activity of MC3T3-E1 cells at 72 hours in vitro by 32%. In the experimental animal, there was new bone growing inside the bone defects. In conclusion, specific concentration of quercetin increased alkaline phosphatase activity of MC3T3-E1 cells in vitro and quercetin in collagen matrix has the effect of forming new bone across bone defects in vivo.

摘要

槲皮素是一种黄酮醇,也是一种植物雌激素,常见于洋葱和苹果中。我们实验室研究了其对体外培养的MC3T3-E1细胞碱性磷酸酶活性的影响,并比较了槲皮素在胶原基质中产生的新骨量与体内骨移植和胶原基质产生的新骨量。在2只新西兰白兔的顶骨上制造了4个5mm×10mm的骨缺损。在实验动物中,2个缺损用与胶原基质混合的槲皮素溶液移植。在对照动物中,2个缺损仅用胶原基质移植。在第14天处死动物,解剖缺损并准备进行组织学定性评估。结果显示,10μM槲皮素在体外72小时时使MC3T3-E1细胞的碱性磷酸酶活性增加了32%。在实验动物中,骨缺损内部有新骨生长。总之,特定浓度的槲皮素在体外增加了MC3T3-E1细胞的碱性磷酸酶活性,并且胶原基质中的槲皮素在体内具有跨越骨缺损形成新骨的作用。

https://cdn.ncbi.nlm.nih.gov/pmc/blobs/4ecf/2685048/1cff8e10a151/TOORTHJ-2-27_F1.jpg

文献AI研究员

20分钟写一篇综述,助力文献阅读效率提升50倍。

立即体验

用中文搜PubMed

大模型驱动的PubMed中文搜索引擎

马上搜索

文档翻译

学术文献翻译模型,支持多种主流文档格式。

立即体验