Suppr超能文献

系统性红斑狼疮中的自身免疫性视网膜病变:组织病理学特征

Autoimmune retinopathy in systemic lupus erythematosus: histopathologic features.

作者信息

Cao Xiaoguang, Bishop Rachel J, Forooghian Farzin, Cho Youngeun, Fariss Robert N, Chan Chi-Chao

机构信息

Immunopathology Section, Laboratory of Immunology.

出版信息

Open Ophthalmol J. 2009 Apr 28;3:20-5. doi: 10.2174/1874364100903010020.

Abstract

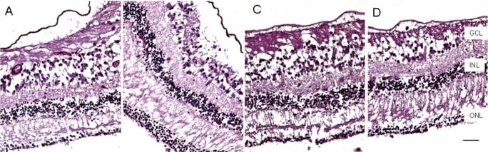
The ocular pathology of autoimmune retinopathy is demonstrated in a 62-year-old female patient with systemic lupus erythematosus (SLE) who presented with typical clinical autoimmune retinopathy. Macroscopically, there were multiple depigmented lesions in the peripheral retina and choroid and scattered pigmentary bone-spickling at the equator and periphery. Microscopically, there were generalized loss of photoreceptors and thinning of the outer plexiform layer. Many peripheral retinal vessels were sclerotic and occluded, some surrounded by pigment granules and RPE cells. Cobblestone degeneration was prominent in the periphery. Macrophages were seen in the retina, particularly in areas of photoreceptor degeneration. Rare, scattered T- lymphocytes were present in the retina and choroid, while B-cells were notably absent. The optic nerve showed loss of axons and thickened septae. Serum autoantibodies against normal retinal nuclei were detected. These pathological changes represent both known SLE-associated ocular complications as well as possible features of autoimmune retinopathy secondary to SLE.

摘要

一名62岁患有系统性红斑狼疮(SLE)的女性患者出现典型的临床自身免疫性视网膜病变,其眼部病理学表现得以证实。宏观上,周边视网膜和脉络膜有多个色素脱失病变,赤道部和周边有散在的色素性骨针样沉着。微观上,光感受器普遍缺失,外丛状层变薄。许多周边视网膜血管硬化并闭塞,一些血管被色素颗粒和视网膜色素上皮(RPE)细胞包围。周边部鹅卵石样变性明显。视网膜中可见巨噬细胞,尤其是在光感受器变性区域。视网膜和脉络膜中存在罕见的散在T淋巴细胞,而B细胞明显缺失。视神经显示轴突丢失和中隔增厚。检测到针对正常视网膜细胞核的血清自身抗体。这些病理变化既代表了已知的SLE相关眼部并发症,也代表了继发于SLE的自身免疫性视网膜病变的可能特征。

https://cdn.ncbi.nlm.nih.gov/pmc/blobs/708a/2701269/ecf6a9b08b89/TOOPHTJ-3-20_F1.jpg

文献AI研究员

20分钟写一篇综述,助力文献阅读效率提升50倍。

立即体验

用中文搜PubMed

大模型驱动的PubMed中文搜索引擎

马上搜索

文档翻译

学术文献翻译模型,支持多种主流文档格式。

立即体验