• 文献检索
  • 文档翻译
  • 深度研究
  • 学术资讯
  • Suppr Zotero 插件Zotero 插件
  • 邀请有礼
  • 套餐&价格
  • 历史记录
应用&插件
Suppr Zotero 插件Zotero 插件浏览器插件Mac 客户端Windows 客户端微信小程序
定价
高级版会员购买积分包购买API积分包
服务
文献检索文档翻译深度研究API 文档MCP 服务
关于我们
关于 Suppr公司介绍联系我们用户协议隐私条款
关注我们

Suppr 超能文献

核心技术专利:CN118964589B侵权必究
粤ICP备2023148730 号-1Suppr @ 2026

文献检索

告别复杂PubMed语法,用中文像聊天一样搜索,搜遍4000万医学文献。AI智能推荐,让科研检索更轻松。

立即免费搜索

文件翻译

保留排版,准确专业,支持PDF/Word/PPT等文件格式,支持 12+语言互译。

免费翻译文档

深度研究

AI帮你快速写综述,25分钟生成高质量综述,智能提取关键信息,辅助科研写作。

立即免费体验

H9N2 病毒诱导的小鼠急性呼吸窘迫综合征。

Acute respiratory distress syndrome induced by H9N2 virus in mice.

机构信息

Department of Pathophysiology, College of Veterinary Medicine, China Agricultural University, 100193, Beijing, People's Republic of China.

出版信息

Arch Virol. 2010 Feb;155(2):187-95. doi: 10.1007/s00705-009-0560-0. Epub 2009 Nov 28.

DOI:10.1007/s00705-009-0560-0
PMID:19946715
原文链接:https://pmc.ncbi.nlm.nih.gov/articles/PMC7101852/
Abstract

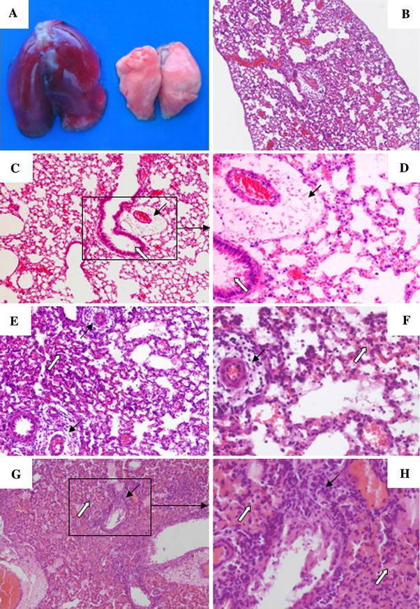
H9N2 avian influenza viruses have repeatedly caused infections in swine and humans in some countries. The purpose of the present study was to evaluate the pulmonary pathology caused by H9N2 viral infection in mice. Six- to eight-week-old BALB/c mice were infected intranasally with 1 x 10(4) MID(50) of A/Chicken/Hebei/4/2008(H9N2) virus. Clinical signs, pathological changes and viral replication in lungs, arterial blood gas, and cytokines in bronchoalveolar lavage fluid (BALF) were observed at different time points after infection. A control group was infected intranasally with noninfectious allantoic fluid. H9N2-infected mice exhibited severe respiratory syndrome, with a mortality rate of 60%. Gross observations showed that infected lungs were highly edematous. Major histopathological changes in infected lungs included diffuse pneumonia and alveolar damage, with neutrophil-dominant inflammatory cellular infiltration, interstitial and alveolar edema, hemorrhage, and severe bronchiolitis/peribronchiolitis. In addition, H9N2 viral infection resulted in severe progressive hypoxemia, lymphopenia, and a significant increase in neutrophils, tumor necrosis factor-alpha and interleukin-6 in BALF. The features described above satisfy the criteria for acute respiratory distress syndrome (ARDS). Our data show that H9N2 viral infection resulted in ARDS in mice, and this may facilitate studies of the pathogenesis of future potential H9N2 disease in humans.

摘要

H9N2 禽流感病毒已在一些国家多次导致猪和人类感染。本研究旨在评估 H9N2 病毒感染小鼠引起的肺部病理学变化。6 至 8 周龄 BALB/c 小鼠经鼻腔感染 1×10(4) MID(50)的 A/鸡/河北/4/2008(H9N2)病毒。感染后不同时间点观察临床症状、肺部病理变化和病毒复制、动脉血气、支气管肺泡灌洗液(BALF)中的细胞因子。对照组经鼻腔感染非感染性鸡胚尿囊液。H9N2 感染小鼠出现严重呼吸综合征,死亡率为 60%。大体观察可见感染肺高度水肿。感染肺的主要组织病理学变化包括弥漫性肺炎和肺泡损伤,以中性粒细胞为主的炎症细胞浸润、间质和肺泡水肿、出血和严重细支气管炎/细支气管周围炎。此外,H9N2 病毒感染导致严重进行性低氧血症、淋巴细胞减少和 BALF 中肿瘤坏死因子-α和白细胞介素-6 显著增加。上述特征符合急性呼吸窘迫综合征(ARDS)的标准。我们的数据表明,H9N2 病毒感染导致小鼠发生 ARDS,这可能有助于研究未来人类潜在 H9N2 疾病的发病机制。

https://cdn.ncbi.nlm.nih.gov/pmc/blobs/7e5b/7101852/c2790cf1b282/705_2009_560_Fig6_HTML.jpg
https://cdn.ncbi.nlm.nih.gov/pmc/blobs/7e5b/7101852/b6bf2597d238/705_2009_560_Fig1_HTML.jpg
https://cdn.ncbi.nlm.nih.gov/pmc/blobs/7e5b/7101852/c54d0d751edf/705_2009_560_Fig2_HTML.jpg
https://cdn.ncbi.nlm.nih.gov/pmc/blobs/7e5b/7101852/0e3e483c9ca6/705_2009_560_Fig3_HTML.jpg
https://cdn.ncbi.nlm.nih.gov/pmc/blobs/7e5b/7101852/a980cf08851d/705_2009_560_Fig4_HTML.jpg
https://cdn.ncbi.nlm.nih.gov/pmc/blobs/7e5b/7101852/d1155f47d2c5/705_2009_560_Fig5_HTML.jpg
https://cdn.ncbi.nlm.nih.gov/pmc/blobs/7e5b/7101852/c2790cf1b282/705_2009_560_Fig6_HTML.jpg
https://cdn.ncbi.nlm.nih.gov/pmc/blobs/7e5b/7101852/b6bf2597d238/705_2009_560_Fig1_HTML.jpg
https://cdn.ncbi.nlm.nih.gov/pmc/blobs/7e5b/7101852/c54d0d751edf/705_2009_560_Fig2_HTML.jpg
https://cdn.ncbi.nlm.nih.gov/pmc/blobs/7e5b/7101852/0e3e483c9ca6/705_2009_560_Fig3_HTML.jpg
https://cdn.ncbi.nlm.nih.gov/pmc/blobs/7e5b/7101852/a980cf08851d/705_2009_560_Fig4_HTML.jpg
https://cdn.ncbi.nlm.nih.gov/pmc/blobs/7e5b/7101852/d1155f47d2c5/705_2009_560_Fig5_HTML.jpg
https://cdn.ncbi.nlm.nih.gov/pmc/blobs/7e5b/7101852/c2790cf1b282/705_2009_560_Fig6_HTML.jpg

相似文献

1
Acute respiratory distress syndrome induced by H9N2 virus in mice.H9N2 病毒诱导的小鼠急性呼吸窘迫综合征。
Arch Virol. 2010 Feb;155(2):187-95. doi: 10.1007/s00705-009-0560-0. Epub 2009 Nov 28.
2
Acute lung injury induced by H9N2 virus in mice.H9N2病毒诱导小鼠发生急性肺损伤。
Chin Med J (Engl). 2014;127(20):3576-80.
3
Excessive neutrophils and neutrophil extracellular traps contribute to acute lung injury of influenza pneumonitis.中性粒细胞和中性粒细胞胞外诱捕网过度生成导致流感肺炎性急性肺损伤。
Am J Pathol. 2011 Jul;179(1):199-210. doi: 10.1016/j.ajpath.2011.03.013. Epub 2011 May 7.
4
Acute respiratory distress syndrome induced by avian influenza A (H5N1) virus in mice.甲型禽流感(H5N1)病毒诱导小鼠发生急性呼吸窘迫综合征。
Am J Respir Crit Care Med. 2006 Nov 1;174(9):1011-7. doi: 10.1164/rccm.200511-1751OC. Epub 2006 Aug 17.
5
Mesenchymal stromal cell treatment prevents H9N2 avian influenza virus-induced acute lung injury in mice.间充质基质细胞治疗可预防H9N2禽流感病毒诱导的小鼠急性肺损伤。
Stem Cell Res Ther. 2016 Oct 28;7(1):159. doi: 10.1186/s13287-016-0395-z.
6
A nonpathogenic duck-origin H9N2 influenza A virus adapts to high pathogenicity in mice.一种非致病性鸭源 H9N2 流感 A 病毒在小鼠中适应了高致病性。
Arch Virol. 2014 Sep;159(9):2243-52. doi: 10.1007/s00705-014-2062-y. Epub 2014 Apr 3.
7
A mouse model of swine influenza virus H9N2 infection with acute lung injury.一种伴有急性肺损伤的H9N2型猪流感病毒感染小鼠模型。
Acta Virol. 2012;56(3):227-33. doi: 10.4149/av_2012_03_227.
8
Acute respiratory distress syndrome induced by a swine 2009 H1N1 variant in mice.小鼠感染猪 2009H1N1 变异株引起的急性呼吸窘迫综合征。
PLoS One. 2012;7(1):e29347. doi: 10.1371/journal.pone.0029347. Epub 2012 Jan 3.
9
Carnosine markedly ameliorates H9N2 swine influenza virus-induced acute lung injury.肌肽显著改善H9N2猪流感病毒诱导的急性肺损伤。
J Gen Virol. 2015 Oct;96(10):2939-2950. doi: 10.1099/jgv.0.000238. Epub 2015 Jul 31.
10
Serial histopathological examination of the lungs of mice infected with influenza A virus PR8 strain.连续对感染甲型流感病毒 PR8 株的小鼠肺部进行组织病理学检查。
PLoS One. 2011;6(6):e21207. doi: 10.1371/journal.pone.0021207. Epub 2011 Jun 20.

引用本文的文献

1
Exploring the alternative virulence determinants PB2 S155N and PA S49Y/D347G that promote mammalian adaptation of the H9N2 avian influenza virus in mice.探索促进 H9N2 禽流感病毒在小鼠中适应哺乳动物的替代毒力决定因素 PB2 S155N 和 PA S49Y/D347G。
Vet Res. 2023 Oct 19;54(1):97. doi: 10.1186/s13567-023-01221-6.
2
Tumor Progression Locus 2 Protects against Acute Respiratory Distress Syndrome in Influenza A Virus-Infected Mice.肿瘤进展基因座 2 可预防甲型流感病毒感染小鼠的急性呼吸窘迫综合征。
Microbiol Spectr. 2022 Oct 26;10(5):e0113622. doi: 10.1128/spectrum.01136-22. Epub 2022 Aug 18.
3
All-trans retinoic acid increases the pathogenicity of the H9N2 influenza virus in mice.

本文引用的文献

1
Replication and transmission of H9N2 influenza viruses in ferrets: evaluation of pandemic potential.H9N2流感病毒在雪貂体内的复制与传播:大流行潜力评估
PLoS One. 2008 Aug 13;3(8):e2923. doi: 10.1371/journal.pone.0002923.
2
Characterization of a pathogenic H9N2 influenza A virus isolated from central China in 2007.2007年从中国中部分离出的一株致病性H9N2甲型流感病毒的特性分析。
Arch Virol. 2008;153(8):1549-55. doi: 10.1007/s00705-008-0139-1. Epub 2008 Jun 24.
3
Swine infection with H9N2 influenza viruses in China in 2004.2004年中国猪感染H9N2流感病毒。
全反式视黄酸增加了 H9N2 流感病毒在小鼠中的致病性。
Virol J. 2022 Jun 28;19(1):113. doi: 10.1186/s12985-022-01809-y.
4
Arctiin suppresses H9N2 avian influenza virus-mediated inflammation via activation of Nrf2/HO-1 signaling.柴胡乙素通过激活 Nrf2/HO-1 信号通路抑制 H9N2 禽流感病毒介导的炎症反应。
BMC Complement Med Ther. 2021 Nov 26;21(1):289. doi: 10.1186/s12906-021-03462-4.
5
Pathogen change of avian influenza virus in the live poultry market before and after vaccination of poultry in southern China.中国南方家禽接种疫苗前后活禽市场流感病毒的病原体变化。
Virol J. 2021 Oct 29;18(1):213. doi: 10.1186/s12985-021-01683-0.
6
Novel reassortant of H9N2 avian influenza viruses isolated from chickens and quails in Egypt.从埃及鸡和鹌鹑中分离出的新型H9N2禽流感病毒重配株。
Vet World. 2021 Aug;14(8):2142-2149. doi: 10.14202/vetworld.2021.2142-2149. Epub 2021 Aug 20.
7
Neutrophils and Influenza: A Thin Line between Helpful and Harmful.中性粒细胞与流感:有益与有害之间的微妙界限
Vaccines (Basel). 2021 Jun 4;9(6):597. doi: 10.3390/vaccines9060597.
8
Increased Pulmonary Pneumococcal Clearance after Resolution of H9N2 Avian Influenza Virus Infection in Mice.小鼠感染H9N2禽流感病毒康复后肺部肺炎球菌清除能力增强。
Infect Immun. 2021 May 17;89(6). doi: 10.1128/IAI.00062-21.
9
Effect of Baicalin on Bacterial Secondary Infection and Inflammation Caused by H9N2 AIV Infection in Chickens.黄芩苷对 H9N2 AIV 感染鸡细菌继发感染和炎症的影响。
Biomed Res Int. 2020 Nov 18;2020:2524314. doi: 10.1155/2020/2524314. eCollection 2020.
10
The Pathogenic Involvement of Neutrophils in Acute Respiratory Distress Syndrome and Transfusion-Related Acute Lung Injury.中性粒细胞在急性呼吸窘迫综合征及输血相关性急性肺损伤中的致病作用
Transfus Med Hemother. 2018 Oct;45(5):290-298. doi: 10.1159/000492950. Epub 2018 Sep 21.
Virus Genes. 2008 Jun;36(3):461-9. doi: 10.1007/s11262-008-0227-z. Epub 2008 Apr 10.
4
Genetic analysis of four porcine avian influenza viruses isolated from Shandong, China.对从中国山东分离出的四种猪源禽流感病毒的基因分析。
Arch Virol. 2008;153(1):211-7. doi: 10.1007/s00705-007-1083-1. Epub 2007 Nov 15.
5
Antigenic and genetic characterization of H9N2 swine influenza viruses in China.中国H9N2型猪流感病毒的抗原性和基因特征
J Gen Virol. 2007 Jul;88(Pt 7):2035-2041. doi: 10.1099/vir.0.82783-0.
6
Acute lung injury and the acute respiratory distress syndrome: a clinical review.急性肺损伤与急性呼吸窘迫综合征:临床综述
Lancet. 2007 May 5;369(9572):1553-1564. doi: 10.1016/S0140-6736(07)60604-7.
7
Acute respiratory distress syndrome induced by avian influenza A (H5N1) virus in mice.甲型禽流感(H5N1)病毒诱导小鼠发生急性呼吸窘迫综合征。
Am J Respir Crit Care Med. 2006 Nov 1;174(9):1011-7. doi: 10.1164/rccm.200511-1751OC. Epub 2006 Aug 17.
8
The comparative pathology of severe acute respiratory syndrome and avian influenza A subtype H5N1--a review.严重急性呼吸综合征与甲型H5N1禽流感的比较病理学——综述
Hum Pathol. 2006 Apr;37(4):381-90. doi: 10.1016/j.humpath.2006.01.015.
9
Human infection with an avian H9N2 influenza A virus in Hong Kong in 2003.2003年香港出现人类感染甲型H9N2禽流感病毒的情况。
J Clin Microbiol. 2005 Nov;43(11):5760-7. doi: 10.1128/JCM.43.11.5760-5767.2005.
10
Evolution of H9N2 influenza viruses from domestic poultry in Mainland China.中国大陆家鸡源H9N2流感病毒的进化
Virology. 2005 Sep 15;340(1):70-83. doi: 10.1016/j.virol.2005.06.025.