• 文献检索
  • 文档翻译
  • 深度研究
  • 学术资讯
  • Suppr Zotero 插件Zotero 插件
  • 邀请有礼
  • 套餐&价格
  • 历史记录
应用&插件
Suppr Zotero 插件Zotero 插件浏览器插件Mac 客户端Windows 客户端微信小程序
定价
高级版会员购买积分包购买API积分包
服务
文献检索文档翻译深度研究API 文档MCP 服务
关于我们
关于 Suppr公司介绍联系我们用户协议隐私条款
关注我们

Suppr 超能文献

核心技术专利:CN118964589B侵权必究
粤ICP备2023148730 号-1Suppr @ 2026

文献检索

告别复杂PubMed语法,用中文像聊天一样搜索,搜遍4000万医学文献。AI智能推荐,让科研检索更轻松。

立即免费搜索

文件翻译

保留排版,准确专业,支持PDF/Word/PPT等文件格式,支持 12+语言互译。

免费翻译文档

深度研究

AI帮你快速写综述,25分钟生成高质量综述,智能提取关键信息,辅助科研写作。

立即免费体验

以病理性脾破裂为首发表现的急性髓系白血病 M2 一例。

A case of pathologic splenic rupture as the initial manifestation of acute myeloid leukemia M2.

机构信息

Department of Internal Medicine, Dong-A University College of Medicine, Seo-gu, Busan, Korea.

出版信息

Yonsei Med J. 2010 Jan;51(1):138-40. doi: 10.3349/ymj.2010.51.1.138. Epub 2009 Dec 29.

DOI:10.3349/ymj.2010.51.1.138
PMID:20046528
原文链接:https://pmc.ncbi.nlm.nih.gov/articles/PMC2799964/
Abstract

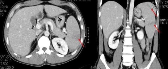
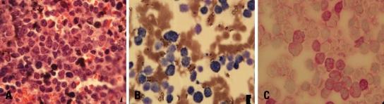
A pathologic splenic rupture refers to a rupture without trauma. A splenic rupture as the initial manifestation of acute myeloid leukemia is extremely rare. In this study, we described a rare case of acute myeloid leukemia presenting principally as an acute abdomen due to a pathologic splenic rupture in a 35-year old male patient. We can assert that a pathologic splenic rupture in hematologic diseases is a potentially life-threatening complication, which necessitates immediate operative intervention. Any such patient complaining about left upper abdominal tenderness should be closely observed, and further diagnostic investigations (ultrasonograph of the abdomen, abdominal CT scan) should be initiated in order to rule out a splenic rupture. The oncologist should be aware of this rare initial presentation of acute myeloid leukemia (AML) M2, as the condition generally necessitates a prompt splenectomy.

摘要

病理性脾破裂是指无外伤的脾破裂。以脾破裂为首发表现的急性髓系白血病极为罕见。本研究描述了 1 例罕见的 35 岁男性病例,主要表现为急性腹痛,其原因为病理性脾破裂。我们可以断言,血液系统疾病中的病理性脾破裂是一种潜在的危及生命的并发症,需要立即进行手术干预。任何有左上腹压痛的此类患者都应密切观察,并进一步进行诊断性检查(腹部超声、腹部 CT 扫描)以排除脾破裂。肿瘤学家应该意识到这种急性髓系白血病(AML)M2 的罕见首发表现,因为这种情况通常需要迅速进行脾切除术。

https://cdn.ncbi.nlm.nih.gov/pmc/blobs/dbed/2799964/8ecb929e72ad/ymj-51-138-g003.jpg
https://cdn.ncbi.nlm.nih.gov/pmc/blobs/dbed/2799964/0328478b2a3a/ymj-51-138-g001.jpg
https://cdn.ncbi.nlm.nih.gov/pmc/blobs/dbed/2799964/d34f477c52db/ymj-51-138-g002.jpg
https://cdn.ncbi.nlm.nih.gov/pmc/blobs/dbed/2799964/8ecb929e72ad/ymj-51-138-g003.jpg
https://cdn.ncbi.nlm.nih.gov/pmc/blobs/dbed/2799964/0328478b2a3a/ymj-51-138-g001.jpg
https://cdn.ncbi.nlm.nih.gov/pmc/blobs/dbed/2799964/d34f477c52db/ymj-51-138-g002.jpg
https://cdn.ncbi.nlm.nih.gov/pmc/blobs/dbed/2799964/8ecb929e72ad/ymj-51-138-g003.jpg

相似文献

1
A case of pathologic splenic rupture as the initial manifestation of acute myeloid leukemia M2.以病理性脾破裂为首发表现的急性髓系白血病 M2 一例。
Yonsei Med J. 2010 Jan;51(1):138-40. doi: 10.3349/ymj.2010.51.1.138. Epub 2009 Dec 29.
2
Pathologic Rupture of the Spleen as the Presenting Symptom of Primary Splenic Non-Hodgkin Lymphoma.脾脏病理性破裂作为原发性脾脏非霍奇金淋巴瘤的首发症状
J Gastrointest Cancer. 2012 Sep;43 Suppl 1:S9-12. doi: 10.1007/s12029-011-9280-2.
3
Acute myeloid leukemia presenting as splenic rupture.以脾破裂为表现的急性髓系白血病
J Assoc Physicians India. 2002 Nov;50:1435-7.
4
Nontraumatic splenic rupture as the initial manifestation of acute myeloid leukemia in emergency department.非创伤性脾破裂作为急性髓系白血病在急诊科的初始表现。
Am J Emerg Med. 2016 Aug;34(8):1731.e1-3. doi: 10.1016/j.ajem.2015.12.044. Epub 2015 Dec 21.
5
Atraumatic splenic rupture in acute myeloid leukemia.急性髓系白血病中的非创伤性脾破裂
Cleve Clin J Med. 2019 Nov;86(11):715-716. doi: 10.3949/ccjm.86a.19042.
6
Spontaneous splenic rupture: A rare complication of acute myeloid leukemia. Report of a case.自发性脾破裂:急性髓系白血病的一种罕见并发症。病例报告。
Ann Med Surg (Lond). 2021 May 5;65:102286. doi: 10.1016/j.amsu.2021.102286. eCollection 2021 May.
7
[Spontaneous, atraumatic rupture of the spleen in a young man].[一名年轻男性自发性、非创伤性脾破裂]
Ned Tijdschr Geneeskd. 2015;159:A8392.
8
Spontaneous splenic rupture in dengue fever with non-fatal outcome in an adult.成人登革热伴自发性脾破裂,结局非致命
J Infect Dev Ctries. 2012 Apr 13;6(4):369-72. doi: 10.3855/jidc.2384.
9
Spontaneous splenic rupture as first manifestation of acute myeloid leukemia: case report and review of literature.自发性脾破裂作为急性髓系白血病的首发表现:病例报告及文献复习
J Clin Oncol. 2011 Jul 1;29(19):e576-8. doi: 10.1200/JCO.2011.34.6114. Epub 2011 Apr 18.
10
Pathologic rupture of the spleen as the initial manifestation in acute lymphoblastic leukemia.脾病理性破裂作为急性淋巴细胞白血病的首发表现
Haematologica. 1998 Aug;83(8):760-1.

引用本文的文献

1
Spontaneous splenic rupture during induction therapy in acute myeloid leukemia: An unusual case.急性髓系白血病诱导治疗期间自发性脾破裂:1例罕见病例
Radiol Case Rep. 2021 Sep 1;16(11):3406-3409. doi: 10.1016/j.radcr.2021.07.087. eCollection 2021 Nov.
2
Spontaneous splenic rupture in an acute leukemia patient with splenic tuberculosis: A case report.一名急性白血病合并脾结核患者的自发性脾破裂:病例报告
Mol Clin Oncol. 2017 Feb;6(2):209-213. doi: 10.3892/mco.2016.1120. Epub 2016 Dec 28.
3
Spontaneous splenic rupture during induction chemotherapy for acute myeloid leukemia.

本文引用的文献

1
Pathological splenic rupture: a rare complication of chronic myelomonocytic leukemia.病理性脾破裂:慢性粒单核细胞白血病的一种罕见并发症。
Am J Hematol. 2007 May;82(5):405-8. doi: 10.1002/ajh.20812.
2
FLAG-IDA in the treatment of refractory/relapsed acute myeloid leukemia: single-center experience.FLAG-IDA方案治疗难治性/复发性急性髓系白血病:单中心经验
Ann Hematol. 2003 Apr;82(4):231-5. doi: 10.1007/s00277-003-0624-2. Epub 2003 Mar 15.
3
Acute myeloid leukemia presenting as splenic rupture.以脾破裂为表现的急性髓系白血病
急性髓系白血病诱导化疗期间自发性脾破裂
Leuk Lymphoma. 2014 Jan;55(1):209-12. doi: 10.3109/10428194.2013.796060. Epub 2013 Jun 5.
4
613 cases of splenic rupture without risk factors or previously diagnosed disease: a systematic review.613 例无风险因素或既往诊断疾病的脾破裂病例:系统评价。
BMC Emerg Med. 2012 Aug 14;12:11. doi: 10.1186/1471-227X-12-11.
J Assoc Physicians India. 2002 Nov;50:1435-7.
4
Splenic rupture in children with hematologic malignancies.
Cancer. 2000 Jan 15;88(2):480-90.
5
Pathologic rupture of the spleen as the initial manifestation in acute lymphoblastic leukemia.脾病理性破裂作为急性淋巴细胞白血病的首发表现
Haematologica. 1998 Aug;83(8):760-1.
6
Pathologic rupture of the spleen in hematologic malignancies: two additional cases.血液系统恶性肿瘤中脾脏的病理性破裂:另外两例病例
Ann Hematol. 1996 Dec;73(6):297-302. doi: 10.1007/s002770050245.
7
Spontaneous splenic rupture in acute myeloid leukemia: sonographic follow-up study.
Bildgebung. 1994 Mar;61(1):37-9.
8
Splenic rupture in acute megakaryoblastic leukemia.急性巨核细胞白血病中的脾破裂
Jpn J Med. 1987 May;26(2):234-6. doi: 10.2169/internalmedicine1962.26.234.