• 文献检索
  • 文档翻译
  • 深度研究
  • 学术资讯
  • Suppr Zotero 插件Zotero 插件
  • 邀请有礼
  • 套餐&价格
  • 历史记录
应用&插件
Suppr Zotero 插件Zotero 插件浏览器插件Mac 客户端Windows 客户端微信小程序
定价
高级版会员购买积分包购买API积分包
服务
文献检索文档翻译深度研究API 文档MCP 服务
关于我们
关于 Suppr公司介绍联系我们用户协议隐私条款
关注我们

Suppr 超能文献

核心技术专利:CN118964589B侵权必究
粤ICP备2023148730 号-1Suppr @ 2026

文献检索

告别复杂PubMed语法,用中文像聊天一样搜索,搜遍4000万医学文献。AI智能推荐,让科研检索更轻松。

立即免费搜索

文件翻译

保留排版,准确专业,支持PDF/Word/PPT等文件格式,支持 12+语言互译。

免费翻译文档

深度研究

AI帮你快速写综述,25分钟生成高质量综述,智能提取关键信息,辅助科研写作。

立即免费体验

肾炎性肌纤维母细胞瘤误诊为肾细胞癌。

Inflammatory myofibroblastic tumor of the kidney misdiagnosed as renal cell carcinoma.

机构信息

Department of Urology, Chonnam National University Medical School, Dong-gu, Gwangju, Korea.

出版信息

J Korean Med Sci. 2010 Feb;25(2):330-2. doi: 10.3346/jkms.2010.25.2.330. Epub 2009 Jan 26.

DOI:10.3346/jkms.2010.25.2.330
PMID:20119595
原文链接:https://pmc.ncbi.nlm.nih.gov/articles/PMC2811309/
Abstract

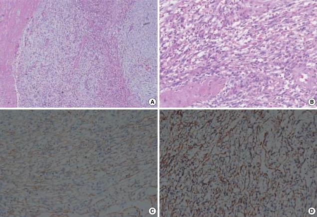
The inflammatory myofibroblastic tumor (IMT), also knowns as inflammatory pseuduotumor, is a soft tissue lesion of unknown etiology. In the urogenital tract, IMT mainly affects the urinary bladder or prostate, but rarely the kidney. It has been considered as a nonneoplastic reactive inflammatory lesion, but nowadays, it is regarded as a neoplasm due to its high recurrence rate and metastasis. We describe a case of a 61-yr-old woman that had originally been misdiagnosed as renal cell carcinoma, which was pathologically revealed to be an IMT.

摘要

炎症性肌纤维母细胞瘤(IMT),又称炎性假瘤,是一种病因不明的软组织病变。在泌尿生殖道,IMT 主要累及膀胱或前列腺,但肾脏受累罕见。过去认为它是一种非肿瘤性反应性炎症病变,但由于其高复发率和转移率,现在被认为是一种肿瘤。我们描述了 1 例 61 岁女性患者,最初误诊为肾细胞癌,病理证实为 IMT。

https://cdn.ncbi.nlm.nih.gov/pmc/blobs/9970/2811309/daa90c2b2ae1/jkms-25-330-g003.jpg
https://cdn.ncbi.nlm.nih.gov/pmc/blobs/9970/2811309/caee8b363909/jkms-25-330-g001.jpg
https://cdn.ncbi.nlm.nih.gov/pmc/blobs/9970/2811309/88e82cc94c2a/jkms-25-330-g002.jpg
https://cdn.ncbi.nlm.nih.gov/pmc/blobs/9970/2811309/daa90c2b2ae1/jkms-25-330-g003.jpg
https://cdn.ncbi.nlm.nih.gov/pmc/blobs/9970/2811309/caee8b363909/jkms-25-330-g001.jpg
https://cdn.ncbi.nlm.nih.gov/pmc/blobs/9970/2811309/88e82cc94c2a/jkms-25-330-g002.jpg
https://cdn.ncbi.nlm.nih.gov/pmc/blobs/9970/2811309/daa90c2b2ae1/jkms-25-330-g003.jpg

相似文献

1
Inflammatory myofibroblastic tumor of the kidney misdiagnosed as renal cell carcinoma.肾炎性肌纤维母细胞瘤误诊为肾细胞癌。
J Korean Med Sci. 2010 Feb;25(2):330-2. doi: 10.3346/jkms.2010.25.2.330. Epub 2009 Jan 26.
2
Inflammatory myofibroblastic tumor of the perirenal soft tissue misdiagnosed as renal cell carcinoma.被误诊为肾细胞癌的肾周软组织炎性肌纤维母细胞瘤。
Pathol Res Pract. 2007;203(6):461-5. doi: 10.1016/j.prp.2007.02.002. Epub 2007 Apr 23.
3
Inflammatory myofibroblastic tumor of the kidney.肾脏炎性肌纤维母细胞瘤
J Urol. 2013 Jun;189(6):2310-1. doi: 10.1016/j.juro.2013.03.036. Epub 2013 Mar 15.
4
Inflammatory myofibroblastic tumor of the kidney in a child: report of a case.儿童肾炎性肌纤维母细胞瘤:一例报告
Surg Today. 2006;36(8):710-3. doi: 10.1007/s00595-006-3225-6.
5
Inflammatory myofibroblastic tumor of the liver following renal transplantation.肝移植后炎性肌纤维母细胞瘤。
Ren Fail. 2012;34(6):789-91. doi: 10.3109/0886022X.2012.673446.
6
Spontaneous resolution of inflammatory myofibroblastic tumor of the kidney.肾炎性肌纤维母细胞瘤的自发消退
Can J Urol. 2014 Dec;21(6):7582-5.
7
Inflammatory myofibroblastic tumor: report of a rare case in kidney.炎性肌纤维母细胞瘤:1例罕见的肾脏病例报告
Iran J Kidney Dis. 2014 Jul;8(4):333-5.
8
Inflammatory Myofibroblastic Tumor of the Kidney and Bilateral Lung Nodules in a Child Mimicking Wilms Tumor With Lung Metastases.儿童肾炎性肌纤维母细胞瘤及双侧肺结节,酷似伴肺转移的肾母细胞瘤
J Pediatr Hematol Oncol. 2015 Aug;37(6):e390-3. doi: 10.1097/MPH.0000000000000353.
9
Renal inflammatory myofibroblastic tumor: a rare tumor indistinguishable from renal cell carcinoma—report of two cases.肾炎性肌纤维母细胞瘤:一种与肾细胞癌难以鉴别的罕见肿瘤——附两例报告
Acta Radiol. 2007 Dec;48(10):1143-6. doi: 10.1080/02841850701627173.
10
[Updates on inflammatory myofibroblastic tumor of head and neck region].
Zhonghua Bing Li Xue Za Zhi. 2013 Oct;42(10):712-4.

引用本文的文献

1
Primary follicular dendritic cell sarcoma of the kidney - a case report of a rare tumor with emphasis on diagnostic pitfalls.肾脏原始滤泡树突状细胞肉瘤——一种罕见肿瘤的病例报告,重点介绍诊断陷阱。
Diagn Pathol. 2024 Jan 31;19(1):24. doi: 10.1186/s13000-024-01444-x.
2
Linc01133 promotes proliferation and metastasis of human renal cell carcinoma through sponging miR-760.Linc01133 通过海绵吸附 miR-760 促进人肾细胞癌的增殖和转移。
Cell Cycle. 2022 Jul;21(14):1502-1511. doi: 10.1080/15384101.2022.2054250. Epub 2022 Apr 21.
3
Kidney inflammatory myofibroblastic tumor masquerading as metastatic malignancy: A case report and literature review.

本文引用的文献

1
Primary renal inflammatory myofibroblastic tumor.原发性肾炎性肌纤维母细胞瘤
Urol Int. 2006;76(1):94-6. doi: 10.1159/000089745.
2
Inflammatory myofibroblastic tumor associated with renal cell carcinoma.与肾细胞癌相关的炎性肌成纤维细胞瘤。
Urology. 2005 Oct;66(4):880. doi: 10.1016/j.urology.2005.03.065.
3
Follicular dendritic reticulum cell tumor mimicking inflammatory pseudotumor of the spleen.模仿脾脏炎性假瘤的滤泡树突状网状细胞瘤
伪装成转移性恶性肿瘤的肾脏炎性肌纤维母细胞瘤:一例报告及文献复习
World J Clin Cases. 2019 Dec 26;7(24):4366-4376. doi: 10.12998/wjcc.v7.i24.4366.
4
Renal Inflammatory Myofibroblastic Tumor: A Case Report and Comprehensive Review of Literature.肾炎性肌纤维母细胞瘤:一例报告并文献综述
World J Oncol. 2011 Apr;2(2):85-88. doi: 10.4021/wjon287w. Epub 2011 Apr 9.
5
Inflammatory pseudotumor of kidney: a challenging diagnostic entity.肾脏炎性假瘤:一种具有挑战性的诊断实体。
Int Braz J Urol. 2018 Jan-Feb;44(1):196-198. doi: 10.1590/S1677-5538.IBJU.2017.0063.
6
Plasma cell granuloma of the urinary bladder: A pseudotumor - A clinical dilemma.膀胱浆细胞性肉芽肿:一种假性肿瘤——临床难题。
Urol Ann. 2014 Oct;6(4):387-90. doi: 10.4103/0974-7796.141011.
7
Inflammatory myofibroblastic tumor of the kidney with viral hepatitis B and trauma: A case report.伴有乙型病毒性肝炎和外伤的肾炎性肌纤维母细胞瘤:一例报告
Oncol Lett. 2013 Dec;6(6):1741-1743. doi: 10.3892/ol.2013.1598. Epub 2013 Oct 1.
8
Inflammatory pseudotumor of the kidney: a case report.肾炎性假瘤:一例报告
J Med Case Rep. 2011 Aug 24;5:411. doi: 10.1186/1752-1947-5-411.
Pathol Oncol Res. 2004;10(1):57-60. doi: 10.1007/BF02893411. Epub 2004 Mar 18.
4
Inflammatory myofibroblastic tumors of the kidney: a clinicopathologic and immunohistochemical study of 12 cases.肾脏炎性肌纤维母细胞瘤:12例临床病理及免疫组化研究
Am J Surg Pathol. 2003 May;27(5):658-66. doi: 10.1097/00000478-200305000-00009.
5
Progression of inflammatory myofibroblastic tumor (inflammatory pseudotumor) of soft tissue into sarcoma after several recurrences.
Hum Pathol. 1996 Oct;27(10):1095-8. doi: 10.1016/s0046-8177(96)90291-9.
6
Extrapulmonary inflammatory myofibroblastic tumor (inflammatory pseudotumor). A clinicopathologic and immunohistochemical study of 84 cases.肺外炎性肌纤维母细胞瘤(炎性假瘤)。84例临床病理及免疫组化研究。
Am J Surg Pathol. 1995 Aug;19(8):859-72. doi: 10.1097/00000478-199508000-00001.
7
Frequent presence of the Epstein-Barr virus in inflammatory pseudotumor.爱泼斯坦-巴尔病毒在炎性假瘤中频繁出现。
Hum Pathol. 1995 Oct;26(10):1093-8. doi: 10.1016/0046-8177(95)90271-6.