Suppr超能文献

感染涎泪腺炎病毒(一种大鼠冠状病毒)的小鼠的呼吸道感染

Respiratory infection in mice with sialodacryoadenitis virus, a coronavirus of rats.

作者信息

Bhatt P N, Jacoby R O, Jonas A M

出版信息

Infect Immun. 1977 Dec;18(3):823-7. doi: 10.1128/iai.18.3.823-827.1977.

Abstract

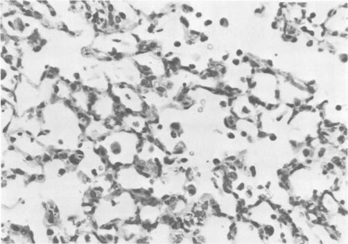
Sialodacryoadenitis virus (SDAV), a coronavirus of rats, evoked both serum neutralization and complement fixation antibody responses when inoculated intranasally in mice. Weanling gnotobiotic CD-1 mice inoculated intranasally with 10(3.0) mean tissue culture infective doses of SDAV remained asymptomatic. Virus was recovered from the nasopharynx, trachea, and lung from day 2 to day 7. Viral antigen was readily detected by indirect immunofluorescence in the lung but rarely in the nasopharynx. Infected mice developed interstitial pneumonia. Susceptible mice contact exposed to experimentally infected mice developed antibody to SDAV. Epizootiological studies indicated that retired breeder mice can have complement-fixing antibody to SDAV and mouse hepatitis virus (MHV) in the absence of MHV infection. These studies show that SDAV is infectious for mice and can be a pathogen for the respiratory system. Thus, SDAV infection of mice may be responsible for spurious seroconversions to MHV.

摘要

涎泪腺炎病毒(SDAV)是一种大鼠冠状病毒,经鼻内接种小鼠后可引发血清中和抗体及补体结合抗体反应。用10(3.0)平均组织培养感染剂量的SDAV经鼻内接种断奶无菌CD-1小鼠后,小鼠无症状。在第2天至第7天从鼻咽、气管和肺中可分离到病毒。通过间接免疫荧光法在肺中很容易检测到病毒抗原,但在鼻咽中很少检测到。受感染小鼠发生间质性肺炎。与实验感染小鼠接触的易感小鼠产生了针对SDAV的抗体。流行病学研究表明,种鼠在没有感染小鼠肝炎病毒(MHV)的情况下可能具有针对SDAV和MHV的补体结合抗体。这些研究表明,SDAV对小鼠具有传染性,可能是呼吸系统的病原体。因此,小鼠感染SDAV可能是导致假阳性MHV血清转化的原因。

https://cdn.ncbi.nlm.nih.gov/pmc/blobs/02eb/421307/d6019a349af4/iai00216-0264-a.jpg

文献检索

告别复杂PubMed语法,用中文像聊天一样搜索,搜遍4000万医学文献。AI智能推荐,让科研检索更轻松。

立即免费搜索

文件翻译

保留排版,准确专业,支持PDF/Word/PPT等文件格式,支持 12+语言互译。

免费翻译文档

深度研究

AI帮你快速写综述,25分钟生成高质量综述,智能提取关键信息,辅助科研写作。

立即免费体验