• 文献检索
  • 文档翻译
  • 深度研究
  • 学术资讯
  • Suppr Zotero 插件Zotero 插件
  • 邀请有礼
  • 套餐&价格
  • 历史记录
应用&插件
Suppr Zotero 插件Zotero 插件浏览器插件Mac 客户端Windows 客户端微信小程序
定价
高级版会员购买积分包购买API积分包
服务
文献检索文档翻译深度研究API 文档MCP 服务
关于我们
关于 Suppr公司介绍联系我们用户协议隐私条款
关注我们

Suppr 超能文献

核心技术专利:CN118964589B侵权必究
粤ICP备2023148730 号-1Suppr @ 2026

文献检索

告别复杂PubMed语法,用中文像聊天一样搜索,搜遍4000万医学文献。AI智能推荐,让科研检索更轻松。

立即免费搜索

文件翻译

保留排版,准确专业,支持PDF/Word/PPT等文件格式,支持 12+语言互译。

免费翻译文档

深度研究

AI帮你快速写综述,25分钟生成高质量综述,智能提取关键信息,辅助科研写作。

立即免费体验

2 型糖尿病患者动脉粥样硬化斑块中的局部非酯化脂肪酸与炎症相关。

Local non-esterified fatty acids correlate with inflammation in atheroma plaques of patients with type 2 diabetes.

机构信息

Vascular Pathology and Experimental Nephrology Laboratory, Fundación Jiménez Díaz/Autonoma University/IRSIN, Madrid, Spain.

出版信息

Diabetes. 2010 Jun;59(6):1292-301. doi: 10.2337/db09-0848. Epub 2010 Mar 3.

DOI:10.2337/db09-0848
PMID:20200316
原文链接:https://pmc.ncbi.nlm.nih.gov/articles/PMC2874689/
Abstract

OBJECTIVE

Atherosclerosis is prevalent in diabetic patients, but there is little information on the localization of nonesterified fatty acids (NEFAs) within the plaque and their relationship with inflammation. We sought to characterize the NEFA composition and location in human diabetic atheroma plaques by metabolomic analysis and imaging and to address their relationship with inflammation activity.

RESEARCH DESIGN AND METHODS

Time-of-flight secondary ion mass spectrometry (TOF-SIMS) was used for metabolomic analysis imaging of frozen carotid atheroma plaques. Carotid endarterectomy specimens were used for conventional immunohistochemistry, laser-capture microdissection quantitative PCR, and in situ Southwestern hybridization. Biological actions of linoleic acid were studied in cultured vascular smooth muscle cells (VSMCs).

RESULTS

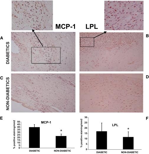
TOF-SIMS imaging evidenced a significant increase in the quantity of several NEFA in diabetic versus nondiabetic atheroma plaques. Higher levels of NEFA were also found in diabetic sera. The presence of LPL mRNA in NEFA-rich areas of the atheroma plaque, as well as the lack of correlation between serum and plaque NEFA, suggests a local origin for plaque NEFA. The pattern of distribution of plaque NEFA is similar to that of MCP-1, LPL, and activated NF-kappaB. Diabetic endarterectomy specimens showed higher numbers of infiltrating macrophages and T-lymphocytes-a finding that associated with higher NEFA levels. Finally, linoleic acid activates NF-kappaB and upregulates NF-kappaB-mediated LPL and MCP-1 expression in cultured VSMC.

DISCUSSION

There is an increased presence of NEFA in diabetic plaque neointima. NEFA levels are higher in diabetic atheroma plaques than in nondiabetic subjects. We hypothesize that NEFA may be produced locally and contribute to local inflammation.

摘要

目的

糖尿病患者中动脉粥样硬化较为常见,但有关斑块内非酯化脂肪酸(NEFA)的定位及其与炎症的关系的信息较少。我们试图通过代谢组学分析和成像来描述人糖尿病动脉粥样硬化斑块中 NEFA 的组成和定位,并探讨其与炎症活动的关系。

研究设计和方法

采用飞行时间二次离子质谱(TOF-SIMS)对冷冻颈动脉粥样硬化斑块进行代谢组学分析成像。使用颈动脉内膜切除术标本进行常规免疫组织化学、激光捕获显微切割定量 PCR 和原位西南杂交。在培养的血管平滑肌细胞(VSMCs)中研究亚油酸的生物学作用。

结果

TOF-SIMS 成像表明,与非糖尿病动脉粥样硬化斑块相比,糖尿病动脉粥样硬化斑块中几种 NEFA 的数量显著增加。糖尿病患者的血清中也发现了更高水平的 NEFA。动脉粥样硬化斑块中富含 NEFA 的区域存在 LPL mRNA,以及血清和斑块 NEFA 之间缺乏相关性,提示斑块 NEFA 具有局部来源。斑块 NEFA 的分布模式与 MCP-1、LPL 和激活的 NF-kappaB 相似。糖尿病内膜切除术标本显示浸润的巨噬细胞和 T 淋巴细胞数量增加,这与更高的 NEFA 水平有关。最后,亚油酸激活 NF-kappaB,并上调培养的 VSMC 中 NF-kappaB 介导的 LPL 和 MCP-1 表达。

讨论

糖尿病斑块新生内膜中存在更多的 NEFA。糖尿病动脉粥样硬化斑块中的 NEFA 水平高于非糖尿病患者。我们假设 NEFA 可能在局部产生,并有助于局部炎症。

https://cdn.ncbi.nlm.nih.gov/pmc/blobs/fc07/2874689/c5c4eca45da9/zdb0061061240007.jpg
https://cdn.ncbi.nlm.nih.gov/pmc/blobs/fc07/2874689/4389084c8719/zdb0061061240001.jpg
https://cdn.ncbi.nlm.nih.gov/pmc/blobs/fc07/2874689/61f36856723c/zdb0061061240002.jpg
https://cdn.ncbi.nlm.nih.gov/pmc/blobs/fc07/2874689/d771e0e0c92a/zdb0061061240003.jpg
https://cdn.ncbi.nlm.nih.gov/pmc/blobs/fc07/2874689/0abda30abf49/zdb0061061240004.jpg
https://cdn.ncbi.nlm.nih.gov/pmc/blobs/fc07/2874689/0da736375611/zdb0061061240005.jpg
https://cdn.ncbi.nlm.nih.gov/pmc/blobs/fc07/2874689/c0a17e3d61b1/zdb0061061240006.jpg
https://cdn.ncbi.nlm.nih.gov/pmc/blobs/fc07/2874689/c5c4eca45da9/zdb0061061240007.jpg
https://cdn.ncbi.nlm.nih.gov/pmc/blobs/fc07/2874689/4389084c8719/zdb0061061240001.jpg
https://cdn.ncbi.nlm.nih.gov/pmc/blobs/fc07/2874689/61f36856723c/zdb0061061240002.jpg
https://cdn.ncbi.nlm.nih.gov/pmc/blobs/fc07/2874689/d771e0e0c92a/zdb0061061240003.jpg
https://cdn.ncbi.nlm.nih.gov/pmc/blobs/fc07/2874689/0abda30abf49/zdb0061061240004.jpg
https://cdn.ncbi.nlm.nih.gov/pmc/blobs/fc07/2874689/0da736375611/zdb0061061240005.jpg
https://cdn.ncbi.nlm.nih.gov/pmc/blobs/fc07/2874689/c0a17e3d61b1/zdb0061061240006.jpg
https://cdn.ncbi.nlm.nih.gov/pmc/blobs/fc07/2874689/c5c4eca45da9/zdb0061061240007.jpg

相似文献

1
Local non-esterified fatty acids correlate with inflammation in atheroma plaques of patients with type 2 diabetes.2 型糖尿病患者动脉粥样硬化斑块中的局部非酯化脂肪酸与炎症相关。
Diabetes. 2010 Jun;59(6):1292-301. doi: 10.2337/db09-0848. Epub 2010 Mar 3.
2
Effects of coronary artery disease and percutaneous intervention on the cardiac metabolism of nonesterified fatty acids and insulin: Implications of diabetes mellitus.冠状动脉疾病和经皮介入治疗对非酯化脂肪酸和胰岛素心脏代谢的影响:糖尿病的意义。
J Intern Med. 2009 Jun;265(6):689-97. doi: 10.1111/j.1365-2796.2009.02072.x. Epub 2009 Feb 16.
3
Abnormal glucose tolerance and non-esterified fatty acids (NEFAs) as predictors of non-alcoholic steatohepatitis (NASH): which Ash that ignites the NASH.异常糖耐量和非酯化脂肪酸(NEFAs)作为非酒精性脂肪性肝炎(NASH)的预测指标:究竟是哪颗“火星”点燃了NASH?
J Clin Gastroenterol. 2007 Jan;41(1):118-9. doi: 10.1097/01.mcg.0000212651.05656.5b.
4
[Markers of vascular inflammation in diabetes mellitus type 2 with hypertension and albuminuria].[2型糖尿病合并高血压和蛋白尿患者的血管炎症标志物]
Nefrologia. 2004;24(1):67-9.
5
Genotype-dependent impairment of hemoglobin clearance increases oxidative and inflammatory response in human diabetic atherosclerosis.基因型依赖性血红蛋白清除障碍增加人类糖尿病动脉粥样硬化中的氧化和炎症反应。
Arterioscler Thromb Vasc Biol. 2012 Nov;32(11):2769-75. doi: 10.1161/ATVBAHA.112.252122. Epub 2012 Sep 13.
6
Serum nonesterified fatty acids are related with carotid atherosclerotic plaque in nonobese nonhypertensive Japanese type 2 diabetic patients.血清非酯化脂肪酸与非肥胖、非高血压的日本2型糖尿病患者的颈动脉粥样硬化斑块有关。
Diabetes Care. 2001 Aug;24(8):1505-7. doi: 10.2337/diacare.24.8.1505.
7
Vascular risks and complications in diabetes mellitus: the role of helicobacter pylori infection.糖尿病中的血管风险与并发症:幽门螺杆菌感染的作用
J Stroke Cerebrovasc Dis. 2008 Mar-Apr;17(2):86-94. doi: 10.1016/j.jstrokecerebrovasdis.2007.10.006.
8
Simultaneously quantitative measurement of comprehensive profiles of esterified and non-esterified fatty acid in plasma of type 2 diabetic patients.同时定量测量2型糖尿病患者血浆中酯化脂肪酸和非酯化脂肪酸的综合概况。
Chem Phys Lipids. 2007 Dec;150(2):204-16. doi: 10.1016/j.chemphyslip.2007.08.002. Epub 2007 Aug 17.
9
Carotid atherosclerosis mediated by visceral adiposity and adipocytokines in type 2 diabetic subjects.2型糖尿病患者中内脏脂肪和脂肪细胞因子介导的颈动脉粥样硬化。
Diabetes Res Clin Pract. 2009 Aug;85(2):171-8. doi: 10.1016/j.diabres.2009.04.021. Epub 2009 May 30.
10
Glucose turnover and intima media thickness of internal carotid artery in type 2 diabetes offspring.2型糖尿病患者后代的葡萄糖周转率及颈内动脉内膜中层厚度
Eur J Clin Invest. 2008 Apr;38(4):227-37. doi: 10.1111/j.1365-2362.2008.01932.x.

引用本文的文献

1
Research progress on the relationship between free fatty acid profile and type 2 diabetes complicated by coronary heart disease.游离脂肪酸谱与2型糖尿病合并冠心病关系的研究进展
Front Endocrinol (Lausanne). 2024 Dec 6;15:1503704. doi: 10.3389/fendo.2024.1503704. eCollection 2024.
2
Omics Science and Social Aspects in Detecting Biomarkers for Diagnosis, Risk Prediction, and Outcomes of Carotid Stenosis.检测颈动脉狭窄诊断、风险预测和结果的生物标志物的组学科学与社会方面。
Biomolecules. 2024 Aug 8;14(8):972. doi: 10.3390/biom14080972.
3
Genipin-activating PPARγ impedes CCR2-mediated macrophage infiltration into postoperative liver to suppress recurrence of hepatocellular carcinoma.

本文引用的文献

1
Fatty acid binding receptors and their physiological role in type 2 diabetes.脂肪酸结合受体及其在2型糖尿病中的生理作用。
Arch Pharm (Weinheim). 2008 Dec;341(12):753-61. doi: 10.1002/ardp.200800096.
2
Insulin resistance and obesity in childhood.儿童期的胰岛素抵抗与肥胖
Eur J Endocrinol. 2008 Dec;159 Suppl 1:S67-74. doi: 10.1530/EJE-08-0245. Epub 2008 Sep 19.
3
Saturated fatty acids inhibit hepatic insulin action by modulating insulin receptor expression and post-receptor signalling.饱和脂肪酸通过调节胰岛素受体表达和受体后信号传导来抑制肝脏胰岛素作用。
栀子苷激活 PPARγ 抑制 CCR2 介导的巨噬细胞浸润术后肝脏以抑制肝癌复发。
Int J Biol Sci. 2023 Oct 16;19(16):5257-5274. doi: 10.7150/ijbs.87327. eCollection 2023.
4
Machine learning approaches for biomarker discovery to predict large-artery atherosclerosis.用于预测大动脉粥样硬化的生物标志物发现的机器学习方法。
Sci Rep. 2023 Sep 13;13(1):15139. doi: 10.1038/s41598-023-42338-0.
5
Meta-Inflammation and De Novo Lipogenesis Markers Are Involved in Metabolic Associated Fatty Liver Disease Progression in BTBR ob/ob Mice.代谢相关脂肪性肝病在 BTBR ob/ob 小鼠中的进展与元炎症和从头脂肪生成标志物有关。
Int J Mol Sci. 2022 Apr 2;23(7):3965. doi: 10.3390/ijms23073965.
6
Serum Nonesterified Fatty Acids and Incident Stroke: The CHS.血清非酯化脂肪酸与卒中事件:CHS 研究。
J Am Heart Assoc. 2021 Nov 16;10(22):e022725. doi: 10.1161/JAHA.121.022725. Epub 2021 Nov 10.
7
The iterative lipid impact on inflammation in atherosclerosis.动脉粥样硬化中脂质对炎症的反复影响。
Curr Opin Lipidol. 2021 Oct 1;32(5):286-292. doi: 10.1097/MOL.0000000000000779.
8
Untargeted metabolomic analysis of coronary artery disease patients with diastolic dysfunction show disturbed oxidative pathway.针对舒张功能障碍的冠心病患者进行的非靶向代谢组学分析显示氧化途径紊乱。
Metabolomics. 2019 Jun 24;15(7):98. doi: 10.1007/s11306-019-1559-5.
9
Metabolomics study in severe extracranial carotid artery stenosis.重度颅外颈动脉狭窄的代谢组学研究
BMC Neurol. 2019 Jun 24;19(1):138. doi: 10.1186/s12883-019-1371-x.
10
Lipidomic insight into cardiovascular diseases.脂质组学与心血管疾病研究进展
Biochem Biophys Res Commun. 2018 Oct 7;504(3):590-595. doi: 10.1016/j.bbrc.2018.04.106. Epub 2018 Apr 19.
J Biochem. 2008 Nov;144(5):599-607. doi: 10.1093/jb/mvn105. Epub 2008 Aug 19.
4
Insulin resistance: a proinflammatory state mediated by lipid-induced signaling dysfunction and involved in atherosclerotic plaque instability.胰岛素抵抗:一种由脂质诱导的信号功能障碍介导且参与动脉粥样硬化斑块不稳定的促炎状态。
Mediators Inflamm. 2008;2008:767623. doi: 10.1155/2008/767623.
5
Induction of proinflammatory cytokines by long-chain saturated fatty acids in human macrophages.长链饱和脂肪酸在人巨噬细胞中诱导促炎细胞因子的产生。
Atherosclerosis. 2009 Feb;202(2):382-93. doi: 10.1016/j.atherosclerosis.2008.05.033. Epub 2008 May 28.
6
High-fat diets cause insulin resistance despite an increase in muscle mitochondria.尽管肌肉线粒体有所增加,但高脂饮食仍会导致胰岛素抵抗。
Proc Natl Acad Sci U S A. 2008 Jun 3;105(22):7815-20. doi: 10.1073/pnas.0802057105. Epub 2008 May 28.
7
Links between enhanced fatty acid flux, protein kinase C and NFkappaB activation, and apoB-lipoprotein production in the fructose-fed hamster model of insulin resistance.在果糖喂养的胰岛素抵抗仓鼠模型中,增强的脂肪酸通量、蛋白激酶C和核因子κB激活以及载脂蛋白B-脂蛋白产生之间的联系。
Biochem Biophys Res Commun. 2008 May 23;370(1):134-9. doi: 10.1016/j.bbrc.2008.03.044. Epub 2008 Mar 19.
8
Advanced glycation: a novel outlook on atherosclerosis.晚期糖基化:动脉粥样硬化的新视角。
Curr Pharm Des. 2007;13(36):3681-7. doi: 10.2174/138161207783018608.
9
Hepatic NF-kappa B essential modulator deficiency prevents obesity-induced insulin resistance but synergizes with high-fat feeding in tumorigenesis.肝脏核因子κB必需调节因子缺乏可预防肥胖诱导的胰岛素抵抗,但在肿瘤发生中与高脂喂养协同作用。
Proc Natl Acad Sci U S A. 2008 Jan 29;105(4):1297-302. doi: 10.1073/pnas.0707849104. Epub 2008 Jan 23.
10
PPARgamma-dependent and -independent effects of rosiglitazone on lipotoxic human pancreatic islets.罗格列酮对脂毒性人胰岛的过氧化物酶体增殖物激活受体γ依赖性和非依赖性作用。
Biochem Biophys Res Commun. 2008 Feb 22;366(4):1096-101. doi: 10.1016/j.bbrc.2007.12.088. Epub 2007 Dec 26.