• 文献检索
  • 文档翻译
  • 深度研究
  • 学术资讯
  • Suppr Zotero 插件Zotero 插件
  • 邀请有礼
  • 套餐&价格
  • 历史记录
应用&插件
Suppr Zotero 插件Zotero 插件浏览器插件Mac 客户端Windows 客户端微信小程序
定价
高级版会员购买积分包购买API积分包
服务
文献检索文档翻译深度研究API 文档MCP 服务
关于我们
关于 Suppr公司介绍联系我们用户协议隐私条款
关注我们

Suppr 超能文献

核心技术专利:CN118964589B侵权必究
粤ICP备2023148730 号-1Suppr @ 2026

文献检索

告别复杂PubMed语法,用中文像聊天一样搜索,搜遍4000万医学文献。AI智能推荐,让科研检索更轻松。

立即免费搜索

文件翻译

保留排版,准确专业,支持PDF/Word/PPT等文件格式,支持 12+语言互译。

免费翻译文档

深度研究

AI帮你快速写综述,25分钟生成高质量综述,智能提取关键信息,辅助科研写作。

立即免费体验

胰腺腺鳞癌:一例报告

Adenosquamous carcinoma of the pancreas: a case report.

作者信息

Skafida Evangelia, Grammatoglou Xanthippi, Glava Chryssoula, Zissis Dimitrios, Paschalidis Nikolaos, Katsamagkou Eleftheria, Firfiris Nikolaos, Vasilakaki Thivi

机构信息

Department of Pathology, "Tzaneion" General Hospital of Piraeus, Zanni & Afentouli 1, Piraeus-Greece.

出版信息

Cases J. 2010 Feb 1;3:41. doi: 10.1186/1757-1626-3-41.

DOI:10.1186/1757-1626-3-41
PMID:20205828
原文链接:https://pmc.ncbi.nlm.nih.gov/articles/PMC2825199/
Abstract

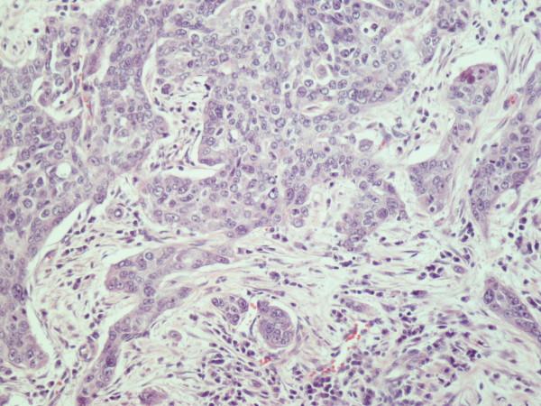
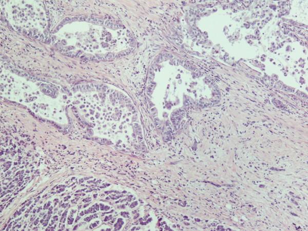
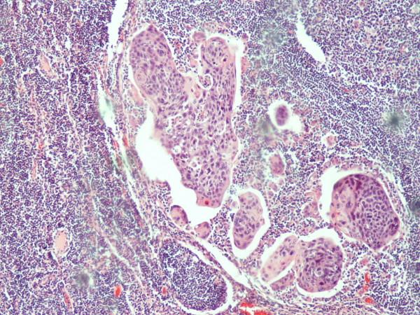
Adenosquamous carcinoma of the pancreas is a rare variant of pancreatic exocrine carcinoma. We report a case of 70 year old man who came to our hospital with abdominal pain, anorexia and jaundice. Imaging of the abdomen showed a mass in the region of the head of the pancreas. Histological evaluation of the pancreatic tumor showed an adenosquamous carcinoma which was extensively infiltrative with perineural invasion, involvement of peripancreatic lymph nodes and all the thickness of the duodenum wall. The tumor exhibited a biphasic malignant growth identified as well to moderate differentiated adenocarcinoma and well to poorly differentiated squamous cell carcinoma.

摘要

胰腺腺鳞癌是胰腺外分泌癌的一种罕见变异型。我们报告一例70岁男性患者,因腹痛、厌食和黄疸前来我院就诊。腹部影像学检查显示胰腺头部区域有一个肿块。胰腺肿瘤的组织学评估显示为腺鳞癌,具有广泛浸润性,伴有神经周围侵犯、胰周淋巴结受累以及十二指肠壁全层受累。肿瘤呈现出双相恶性生长,表现为中分化腺癌和高分化至低分化鳞状细胞癌。

https://cdn.ncbi.nlm.nih.gov/pmc/blobs/8712/2825199/3d2f9f02fd72/1757-1626-3-41-7.jpg
https://cdn.ncbi.nlm.nih.gov/pmc/blobs/8712/2825199/6b68fbec36ab/1757-1626-3-41-1.jpg
https://cdn.ncbi.nlm.nih.gov/pmc/blobs/8712/2825199/bea7b137d86b/1757-1626-3-41-2.jpg
https://cdn.ncbi.nlm.nih.gov/pmc/blobs/8712/2825199/667925c0d983/1757-1626-3-41-3.jpg
https://cdn.ncbi.nlm.nih.gov/pmc/blobs/8712/2825199/1b6f89a2dc62/1757-1626-3-41-4.jpg
https://cdn.ncbi.nlm.nih.gov/pmc/blobs/8712/2825199/34fda64a206d/1757-1626-3-41-5.jpg
https://cdn.ncbi.nlm.nih.gov/pmc/blobs/8712/2825199/5c02b7e85981/1757-1626-3-41-6.jpg
https://cdn.ncbi.nlm.nih.gov/pmc/blobs/8712/2825199/3d2f9f02fd72/1757-1626-3-41-7.jpg
https://cdn.ncbi.nlm.nih.gov/pmc/blobs/8712/2825199/6b68fbec36ab/1757-1626-3-41-1.jpg
https://cdn.ncbi.nlm.nih.gov/pmc/blobs/8712/2825199/bea7b137d86b/1757-1626-3-41-2.jpg
https://cdn.ncbi.nlm.nih.gov/pmc/blobs/8712/2825199/667925c0d983/1757-1626-3-41-3.jpg
https://cdn.ncbi.nlm.nih.gov/pmc/blobs/8712/2825199/1b6f89a2dc62/1757-1626-3-41-4.jpg
https://cdn.ncbi.nlm.nih.gov/pmc/blobs/8712/2825199/34fda64a206d/1757-1626-3-41-5.jpg
https://cdn.ncbi.nlm.nih.gov/pmc/blobs/8712/2825199/5c02b7e85981/1757-1626-3-41-6.jpg
https://cdn.ncbi.nlm.nih.gov/pmc/blobs/8712/2825199/3d2f9f02fd72/1757-1626-3-41-7.jpg

相似文献

1
Adenosquamous carcinoma of the pancreas: a case report.胰腺腺鳞癌:一例报告
Cases J. 2010 Feb 1;3:41. doi: 10.1186/1757-1626-3-41.
2
Adenosquamous carcinoma of the pancreas with an acantholytic pattern together with osteoclast-like and pleomorphic giant cells.胰腺腺鳞癌,具有棘层松解模式,伴有破骨细胞样和多形性巨细胞。
J Clin Pathol. 2005 Sep;58(9):987-90. doi: 10.1136/jcp.2004.025221.
3
Adenosquamous Carcinoma and Pure Squamous Cell Carcinoma of the Pancreas: Report of two Cases.胰腺腺鳞癌和纯鳞状细胞癌:两例报告
Case Rep Gastroenterol. 2010 Sep 18;4(3):369-373. doi: 10.1159/000320675.
4
Primary adenosquamous cell carcinoma of the pancreas: a case report with a review of the Korean literature.胰腺原发性涎腺细胞癌:一例病例报告并复习韩国文献。
Korean J Intern Med. 2011 Sep;26(3):348-51. doi: 10.3904/kjim.2011.26.3.348. Epub 2011 Sep 13.
5
Adenosquamous carcinoma of the pancreas with clear cell and rhabdoid components. A case report.胰腺腺鳞癌伴透明细胞和横纹肌样成分。病例报告。
JOP. 2007 May 9;8(3):330-4.
6
A primary gastric Adenosquamous carcinoma: Case report.原发性胃腺鳞癌:病例报告
Int J Surg Case Rep. 2023 May;106:108101. doi: 10.1016/j.ijscr.2023.108101. Epub 2023 Apr 7.
7
Primary adenosquamous cell carcinoma of the pancreas: the use of endoscopic ultrasound guided - fine needle aspiration to establish a definitive cytologic diagnosis.胰腺原发性腺鳞癌:应用内镜超声引导下细针穿刺建立明确的细胞学诊断
Rev Gastroenterol Peru. 2017 Oct-Dec;37(4):370-373.
8
[A clinical series of 80 patients with adenosquamous carcinoma of pancreas].[80例胰腺腺鳞癌患者的临床系列研究]
Zhonghua Wai Ke Za Zhi. 2014 Sep;52(9):658-61.
9
Adenosquamous Carcinoma of the Pancreas in a Patient with BRCA2 Mutation: A Case Report.一名携带BRCA2基因突变患者的胰腺腺鳞癌:病例报告
Case Rep Pancreat Cancer. 2015 Nov 1;1(1):22-25. doi: 10.1089/crpc.2015.29003.vye. eCollection 2015.
10
Adenosquamous carcinoma of the pancreas: two case reports and review of the literature.胰腺的腺鳞癌:两例病例报告及文献复习。
J Med Case Rep. 2022 Oct 30;16(1):395. doi: 10.1186/s13256-022-03610-5.

引用本文的文献

1
Successful pancreatectomy after conversion-intended chemotherapy using gemcitabine and nab-paclitaxel for unresectable adenosquamous carcinoma of the pancreas: a case report.使用吉西他滨和纳米白蛋白结合型紫杉醇进行旨在转化的化疗后成功实施胰腺切除术治疗不可切除的胰腺腺鳞癌:一例报告
Surg Case Rep. 2024 Aug 16;10(1):189. doi: 10.1186/s40792-024-01989-5.
2
Two rare cancers of the exocrine pancreas: to treat or not to treat like ductal adenocarcinoma?胰腺外分泌部的两种罕见癌症:是否应像导管腺癌一样进行治疗?
J Cancer Metastasis Treat. 2023;9. doi: 10.20517/2394-4722.2022.106. Epub 2023 Mar 7.
3
Pancreatic Adenosquamous Carcinoma: A Rare Pathological Subtype of Pancreatic Cancer.

本文引用的文献

1
Adenosquamous carcinoma of the pancreas: a single-institution experience comparing resection and palliative care.胰腺腺鳞癌:单机构关于手术切除与姑息治疗比较的经验
J Am Coll Surg. 2008 Sep;207(3):368-70. doi: 10.1016/j.jamcollsurg.2008.03.027. Epub 2008 May 15.
2
Adenosquamous carcinoma of the pancreas.胰腺腺鳞癌。
Digestion. 2005;72(2-3):104-8. doi: 10.1159/000088364. Epub 2005 Sep 16.
3
Adenosquamous carcinoma of the pancreas with an acantholytic pattern together with osteoclast-like and pleomorphic giant cells.
胰腺腺鳞癌:一种罕见的胰腺癌病理亚型。
J Clin Med. 2022 Dec 14;11(24):7401. doi: 10.3390/jcm11247401.
4
Characteristics and outcomes of adenosquamous carcinoma of the pancreas.胰腺腺鳞癌的特征与转归
Gastrointest Cancer Res. 2013 May;6(3):75-9.
5
Adenosquamous versus adenocarcinoma of the pancreas: a population-based outcomes analysis.胰腺的腺鳞癌与腺癌:基于人群的结局分析。
J Gastrointest Surg. 2011 Jan;15(1):165-74. doi: 10.1007/s11605-010-1378-5. Epub 2010 Nov 17.
胰腺腺鳞癌,具有棘层松解模式,伴有破骨细胞样和多形性巨细胞。
J Clin Pathol. 2005 Sep;58(9):987-90. doi: 10.1136/jcp.2004.025221.
4
Adenosquamous carcinoma of the pancreas: preoperative diagnosis and molecular alterations.胰腺腺鳞癌:术前诊断与分子改变
J Gastroenterol. 2003;38(12):1171-5. doi: 10.1007/s00535-003-1226-4.
5
Adenosquamous carcinoma of the pancreas: cytologic features in 14 cases.胰腺腺鳞癌:14例的细胞学特征
Cancer. 2003 Dec 25;99(6):372-8. doi: 10.1002/cncr.11855.
6
Adenosquamous carcinoma of the pancreas: successful treatment with extended radical surgery, intraoperative radiation therapy, and locoregional chemotherapy.胰腺腺鳞癌:扩大根治性手术、术中放射治疗及局部区域化疗的成功治疗
Int J Pancreatol. 2001;29(1):53-8. doi: 10.1385/IJGC:29:1:53.
7
Adenosquamous carcinoma of the pancreas: a clinicopathologic series of 25 cases.胰腺腺鳞癌:25例临床病理系列研究
Mod Pathol. 2001 May;14(5):443-51. doi: 10.1038/modpathol.3880332.
8
Adenosquamous carcinoma of the pancreas: report of two cases.
Abdom Imaging. 2000 Jul-Aug;25(4):420-3. doi: 10.1007/s002610000059.
9
Cd44: a marker of squamous differentiation in adenosquamous neoplasms.CD44:腺鳞肿瘤中鳞状分化的标志物。
Arch Pathol Lab Med. 2000 Feb;124(2):212-5. doi: 10.5858/2000-124-0212-C.
10
AGA technical review on the epidemiology, diagnosis, and treatment of pancreatic ductal adenocarcinoma. American Gastroenterological Association.美国胃肠病学会关于胰腺导管腺癌的流行病学、诊断和治疗的技术审查。美国胃肠病学会。
Gastroenterology. 1999 Dec;117(6):1464-84. doi: 10.1016/s0016-5085(99)70298-2.