Suppr超能文献

干细胞因子/c-kit信号通路成分在糖尿病性纤维血管性视网膜前膜中的表达

Expression of stem cell factor/c-kit signaling pathway components in diabetic fibrovascular epiretinal membranes.

作者信息

Abu El-Asrar Ahmed M, Struyf Sofie, Opdenakker Ghislain, Van Damme Jo, Geboes Karel

机构信息

Department of Ophthalmology, College of Medicine, King Saud University, Riyadh, Saudi Arabia.

出版信息

Mol Vis. 2010 Jun 15;16:1098-107.

Abstract

PURPOSE

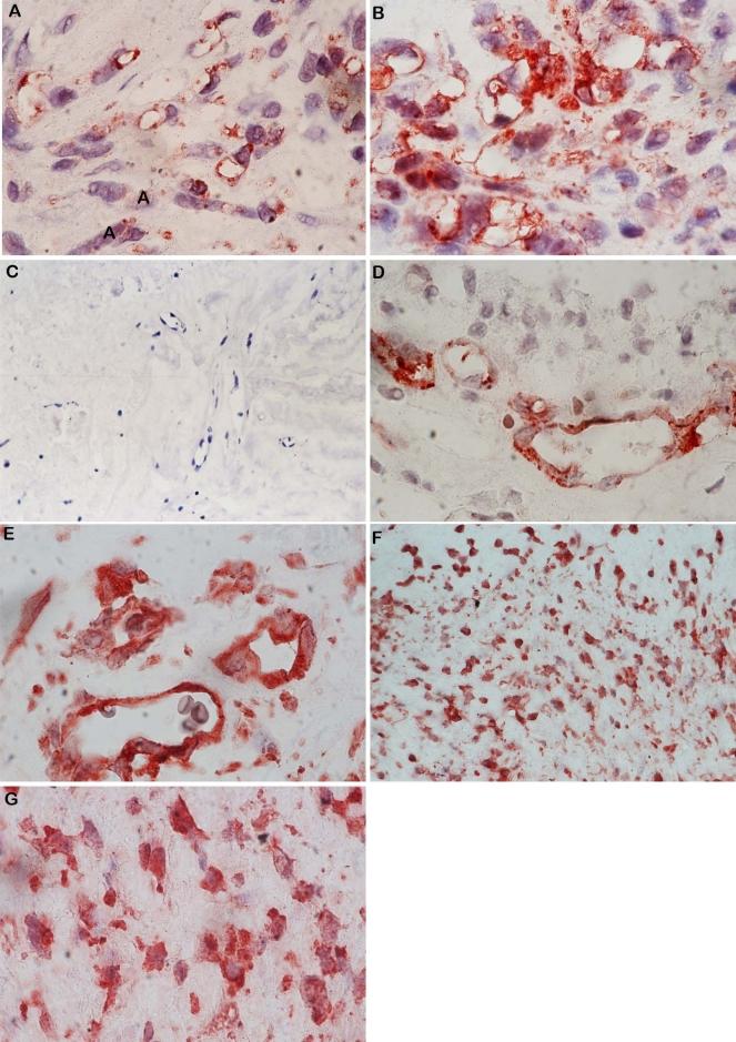
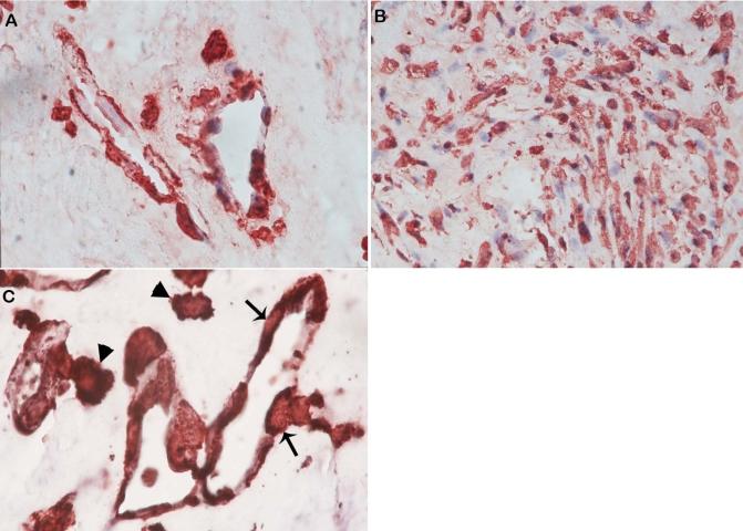
Stem cell factor (SCF)/c-kit signaling promotes recruitment of endothelial progenitor cells and contributes to ischemia-induced new vessel formation. We investigated the expression of the components of this pathway, including c-kit, SCF, granulocyte colony-stimulating factor (G-CSF), endothelial nitric oxide synthase (eNOS), and the chemokine receptor CXCR4, in proliferative diabetic retinopathy (PDR) epiretinal membranes.

METHODS

Membranes from eight patients with active PDR and 12 patients with inactive PDR were studied by immunohistochemistry.

RESULTS

Blood vessels expressed c-kit, SCF, G-CSF, eNOS, and CXCR4 in 18, 15, 19, 20, and 20 out of 20 membranes, respectively. Significant correlations were detected between the number of blood vessels expressing CD34 and the number of blood vessels expressing SCF (r=0.463; p=0.04), G-CSF (r=0.87; p<0.001), eNOS (r=0.864; p<0.001), and CXCR4 (r=0.864; p<0.001). Stromal cells expressed c-kit, SCF, eNOS, and CXCR4 in 19, 15, 20, and 20 membranes, respectively. The numbers of blood vessels expressing CD34 (p=0.005), c-kit (p=0.03), G-CSF (p=0.007), eNOS (p=0.001), and CXCR4 (p=0.018) and stromal cells expressing c-kit (p=0.013), SCF (p<0.001), eNOS (p=0.048), and CXCR4 (p=0.003) were significantly higher in active membranes than in inactive membranes.

CONCLUSIONS

SCF/c-kit signaling might contribute to neovascularization in PDR.

摘要

目的

干细胞因子(SCF)/c-kit信号传导促进内皮祖细胞的募集,并有助于缺血诱导的新血管形成。我们研究了该信号通路相关成分,包括c-kit、SCF、粒细胞集落刺激因子(G-CSF)、内皮型一氧化氮合酶(eNOS)以及趋化因子受体CXCR4在增殖性糖尿病视网膜病变(PDR)视网膜前膜中的表达情况。

方法

采用免疫组织化学方法对8例活动期PDR患者和12例非活动期PDR患者的视网膜前膜进行研究。

结果

在20个视网膜前膜中,血管分别在18个、15个、19个、20个和20个膜中表达c-kit、SCF、G-CSF、eNOS和CXCR4。表达CD34的血管数量与表达SCF(r = 0.463;p = 0.04)、G-CSF(r = 0.87;p < 0.001)、eNOS(r = 0.864;p < 0.001)和CXCR4(r = 0.864;p < 0.001)的血管数量之间存在显著相关性。基质细胞分别在19个、15个、20个和20个膜中表达c-kit、SCF、eNOS和CXCR4。活动期视网膜前膜中表达CD34(p = 0.005)、c-kit(p = 0.03)、G-CSF(p = 0.007)、eNOS(p = 0.001)和CXCR4(p = 0.018)的血管数量以及表达c-kit(p = 0.013)、SCF(p < 0.001)、eNOS(p = 0.048)和CXCR4(p = 0.003)的基质细胞数量显著高于非活动期视网膜前膜。

结论

SCF/c-kit信号传导可能在PDR的新生血管形成中发挥作用。

https://cdn.ncbi.nlm.nih.gov/pmc/blobs/9f67/2893050/bf9f004be939/mv-v16-1098-f1.jpg

文献AI研究员

20分钟写一篇综述,助力文献阅读效率提升50倍。

立即体验

用中文搜PubMed

大模型驱动的PubMed中文搜索引擎

马上搜索

文档翻译

学术文献翻译模型,支持多种主流文档格式。

立即体验