Suppr超能文献

原发性心包间皮瘤:一例患者报告及文献综述

Primary Pericardial Mesothelioma: Report of a Patient and Literature Review.

作者信息

Nilsson Ase, Rasmuson Torgny

机构信息

Department of Radiation Sciences, Oncology, Umeå University, Umeå, Sweden.

出版信息

Case Rep Oncol. 2009 Jul 29;2(2):125-132. doi: 10.1159/000228894.

Abstract

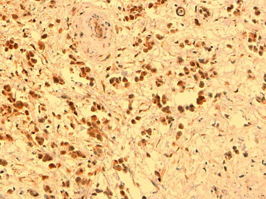
Primary mesothelioma of the pericardium is a rare tumor and carries a dismal prognosis. This case report presents a 38-year-old man who suffered from recurrent pericardial fluid. Initial symptoms were unspecific, with dry cough and progressing fatigue. Pericardiocentesis was performed, but analyses for malignant cells and tuberculosis were negative. After recurrence a pericardiectomy was planned. At operation, partial resection of tumor tissue surrounding the heart was performed. Histopathologic examination including immunohistochemical staining for calretinin showed a biphasic mesothelioma. During the postoperative period the patient's condition ameliorated, but symptoms recurred and the patient died 3 months after diagnosis and 15 months after the first symptoms. At autopsy, the pericardium was transformed by the tumor that also expanded into the mediastinum and had set metastases to the liver. A review of 29 cases presented in the recent literature indicates a higher incidence of malignant pericardial mesothelioma among men than women. Median age was 46 (range, 19-76) years. In pleural mesotheliomas, exposure to asbestos is a known risk factor. However, in primary pericardial mesotheliomas the evidence for asbestos as an etiologic factor seems to be less convincing (3 exposed among 14 cases). Symptoms are often unspecific and cytologic examination of pericardial fluid is seldom conclusive (malignant cells demonstrated in 4/17 cases). Partial resection of the tumor can give a period of symptom reduction. Only a few patients have been treated with chemotherapy. Median survival of patients with pericardial mesotheliomas is approximately 6 months.

摘要

原发性心包间皮瘤是一种罕见肿瘤,预后很差。本病例报告介绍了一名38岁男性,他患有复发性心包积液。初始症状不具特异性,有干咳和进行性疲劳。进行了心包穿刺术,但恶性细胞和结核分析均为阴性。复发后计划进行心包切除术。手术时,对心脏周围的肿瘤组织进行了部分切除。组织病理学检查包括钙视网膜蛋白免疫组化染色显示为双相性间皮瘤。术后患者病情有所改善,但症状复发,患者在诊断后3个月及出现首发症状后15个月死亡。尸检时,心包被肿瘤侵犯,肿瘤还扩展至纵隔并已转移至肝脏。对近期文献报道的29例病例的回顾表明,恶性心包间皮瘤男性发病率高于女性。中位年龄为46岁(范围19 - 76岁)。在胸膜间皮瘤中,接触石棉是已知的危险因素。然而,在原发性心包间皮瘤中,石棉作为病因的证据似乎不那么令人信服(14例中有3例接触过石棉)。症状往往不具特异性,心包积液的细胞学检查很少能确诊(17例中有4例发现恶性细胞)。肿瘤部分切除可使症状缓解一段时间。只有少数患者接受了化疗。心包间皮瘤患者的中位生存期约为6个月。

https://cdn.ncbi.nlm.nih.gov/pmc/blobs/0f19/2918860/e241c5e6058b/cro0002-0125-f01.jpg

相似文献

1
Primary Pericardial Mesothelioma: Report of a Patient and Literature Review.
Case Rep Oncol. 2009 Jul 29;2(2):125-132. doi: 10.1159/000228894.
3
Primary malignant mesothelioma of the pericardium.
Cardiovasc Pathol. 2011 Mar-Apr;20(2):107-9. doi: 10.1016/j.carpath.2010.01.005. Epub 2010 Feb 8.
8
9
Surgical treatment of a primary malignant pericardial mesothelioma: case report.
Acta Chir Belg. 2022 Feb;122(1):48-50. doi: 10.1080/00015458.2020.1736869. Epub 2020 Mar 18.
10
Post-irradiation pericardial malignant mesothelioma with deletion of p16: a case report.
Cancer Biol Med. 2018 Feb;15(1):97-102. doi: 10.20892/j.issn.2095-3941.2017.0169.

引用本文的文献

1
Heart-breaking tumours: a case series of malignant pericardial effusion.
Eur Heart J Case Rep. 2025 Jan 18;9(3):ytaf009. doi: 10.1093/ehjcr/ytaf009. eCollection 2025 Mar.
2
Pericardial mesothelioma mimicking mediastinal lymphoma and systemic rheumatic disease: a case report.
Front Oncol. 2025 Jan 17;14:1481373. doi: 10.3389/fonc.2024.1481373. eCollection 2024.
3
Long-term survival from multidisciplinary treatment of primary malignant pericardial mesothelioma: A case report.
Int J Surg Case Rep. 2024 Dec;125:110615. doi: 10.1016/j.ijscr.2024.110615. Epub 2024 Nov 15.
4
A peculiar presentation of tamponade: pericardial mesothelioma.
J Surg Case Rep. 2024 May 6;2024(5):rjae279. doi: 10.1093/jscr/rjae279. eCollection 2024 May.
7
Multiple serous membrane effusion caused by primary pericardial mesothelioma.
Radiol Case Rep. 2023 Jun 16;18(9):2903-2906. doi: 10.1016/j.radcr.2023.06.013. eCollection 2023 Sep.
8
Clinical Response of Primary Malignant Pericardial Mesothelioma with Peritoneal Dissemination to Nivolumab.
Intern Med. 2024 Feb 15;63(4):513-519. doi: 10.2169/internalmedicine.1707-23. Epub 2023 Jun 28.
9
Primary malignant pericardial mesothelioma with difficult antemortem diagnosis: A case report.
World J Clin Cases. 2022 Nov 26;10(33):12380-12387. doi: 10.12998/wjcc.v10.i33.12380.

本文引用的文献

1
Pericardial malignant mesothelioma: a latent complication of radiotherapy?
Eur J Cardiothorac Surg. 2008 Apr;33(4):745-7. doi: 10.1016/j.ejcts.2007.12.024. Epub 2008 Feb 14.
2
Primary pericardial mesothelioma.
Lung Cancer. 2008 May;60(2):291-3. doi: 10.1016/j.lungcan.2007.08.029. Epub 2007 Oct 23.
4
Primary pericardial mesothelioma: a rare cardiac malignancy.
Intern Med J. 2007 Aug;37(8):576-7. doi: 10.1111/j.1445-5994.2007.01409.x.
5
Intracavitary mass as the initial manifestation of primary pericardial mesothelioma: a case report.
Angiology. 2007 Apr-May;58(2):255-8. doi: 10.1177/0003319707300379.
9
A case of primary malignant pericardial mesothelioma.
Can J Cardiol. 2005 Feb;21(2):185-7.
10
Peripheral lymphadenopathy as the initial manifestation of pericardial mesothelioma: a case report.
Int J Surg Pathol. 2004 Oct;12(4):403-5. doi: 10.1177/106689690401200415.

文献AI研究员

20分钟写一篇综述,助力文献阅读效率提升50倍。

立即体验

用中文搜PubMed

大模型驱动的PubMed中文搜索引擎

马上搜索

文档翻译

学术文献翻译模型,支持多种主流文档格式。

立即体验