• 文献检索
  • 文档翻译
  • 深度研究
  • 学术资讯
  • Suppr Zotero 插件Zotero 插件
  • 邀请有礼
  • 套餐&价格
  • 历史记录
应用&插件
Suppr Zotero 插件Zotero 插件浏览器插件Mac 客户端Windows 客户端微信小程序
定价
高级版会员购买积分包购买API积分包
服务
文献检索文档翻译深度研究API 文档MCP 服务
关于我们
关于 Suppr公司介绍联系我们用户协议隐私条款
关注我们

Suppr 超能文献

核心技术专利:CN118964589B侵权必究
粤ICP备2023148730 号-1Suppr @ 2026

文献检索

告别复杂PubMed语法,用中文像聊天一样搜索,搜遍4000万医学文献。AI智能推荐,让科研检索更轻松。

立即免费搜索

文件翻译

保留排版,准确专业,支持PDF/Word/PPT等文件格式,支持 12+语言互译。

免费翻译文档

深度研究

AI帮你快速写综述,25分钟生成高质量综述,智能提取关键信息,辅助科研写作。

立即免费体验

应用一种简单的三染法检测动脉粥样硬化斑块中的微钙化:颈动脉内膜切除术包埋环氧组织的研究。

Detecting microcalcifications in atherosclerotic plaques by a simple trichromic staining method for epoxy embedded carotid endarterectomies.

机构信息

Laboratory of Electron Microscopy Pietro M. Motta, Department of Human Anatomic, Histologic, Forensic and Locomotor Apparatus Sciences, Sapienza University of Rome, via Alfonso Borelli 50, Rome, Italy.

出版信息

Eur J Histochem. 2010 Jul 14;54(3):e33. doi: 10.4081/ejh.2010.e33.

DOI:10.4081/ejh.2010.e33
PMID:20819772
原文链接:https://pmc.ncbi.nlm.nih.gov/articles/PMC3167311/
Abstract

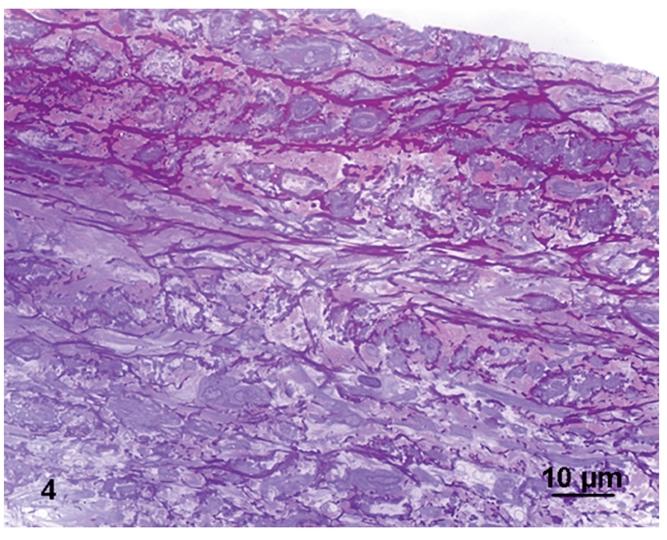
Atherosclerotic plaques have a high probability of undergoing rapid progression to stenosis, becoming responsible of acute coronary syndrome or stroke. Microcalcifications may act as enhancers of atherosclerotic plaque vulnerability. Considering that calcifications with a diameter smaller than 10 mm in paraffin embedded tissue are rather difficult to detect, our aim was to analyze microcalcifications on semithin sections from epoxy resin embedded samples of carotid endarterectomies using an original trichromic stain (methylene blue--azur B--basic fuchsine--alizarin red). We have compared samples stained either with our method, methylene blue-azur B alone or with Von Kossa staining, and methylene blue-azur B -basic fuchsine alone or with Von Kossa staining. Our method resulted to be simple and fast (ca. 2 min), it gives a sharp general contrast for all structures and allows to easy identify collagen and elastin. In addition, gray-green colour associated to intracellular lipid droplets evidences foam cells, which are particularly abundant in endarterectomies samples. Mast cells and their metachromatic granules are also well recognized. Calcifications over 0,5 mm are clearly recognizable. In conclusion, microcalcifications are clearly distinguished from the extracellular matrix in spite of their reduced dimensions. Methylene blue--azur B--basic fuchsine--alizarin red method is easy to use, reproducible, and is particularly suitable for the identification of microcalcifications in the morphological analysis of atherosclerotic plaques.

摘要

动脉粥样硬化斑块极有可能迅速进展为狭窄,导致急性冠脉综合征或中风。微钙化可能会增强动脉粥样硬化斑块的脆弱性。考虑到石蜡包埋组织中直径小于 10mm 的钙化较难检测到,我们的目的是使用一种原始的三色染色法(亚甲蓝-天青 B-碱性品红-茜素红)分析颈动脉内膜切除术环氧包埋样本的半薄切片上的微钙化。我们比较了用我们的方法、亚甲蓝-天青 B 单独或与 Von Kossa 染色、亚甲蓝-天青 B-碱性品红单独或与 Von Kossa 染色染色的样本。我们的方法简单快捷(约 2 分钟),可以为所有结构提供鲜明的整体对比度,并易于识别胶原和弹性蛋白。此外,与细胞内脂质滴相关的灰绿色颜色表明泡沫细胞,泡沫细胞在内膜切除术样本中特别丰富。肥大细胞及其异染颗粒也能很好地识别。超过 0.5mm 的钙化可以清晰识别。总之,尽管微钙化的尺寸较小,但与细胞外基质仍能清晰区分。亚甲蓝-天青 B-碱性品红-茜素红方法易于使用、可重复,特别适用于动脉粥样硬化斑块形态分析中微钙化的鉴定。

https://cdn.ncbi.nlm.nih.gov/pmc/blobs/edbe/3167311/4c399069cb7a/ejh-2010-3-e33-g009.jpg
https://cdn.ncbi.nlm.nih.gov/pmc/blobs/edbe/3167311/f08e75130d8b/ejh-2010-3-e33-g001.jpg
https://cdn.ncbi.nlm.nih.gov/pmc/blobs/edbe/3167311/ffdcd990c937/ejh-2010-3-e33-g002.jpg
https://cdn.ncbi.nlm.nih.gov/pmc/blobs/edbe/3167311/90fe38d81f1d/ejh-2010-3-e33-g003.jpg
https://cdn.ncbi.nlm.nih.gov/pmc/blobs/edbe/3167311/a9241d7775fa/ejh-2010-3-e33-g004.jpg
https://cdn.ncbi.nlm.nih.gov/pmc/blobs/edbe/3167311/c557455d8811/ejh-2010-3-e33-g005.jpg
https://cdn.ncbi.nlm.nih.gov/pmc/blobs/edbe/3167311/08e96f0fdef2/ejh-2010-3-e33-g006.jpg
https://cdn.ncbi.nlm.nih.gov/pmc/blobs/edbe/3167311/dfa610986fc7/ejh-2010-3-e33-g007.jpg
https://cdn.ncbi.nlm.nih.gov/pmc/blobs/edbe/3167311/9903e23020a9/ejh-2010-3-e33-g008.jpg
https://cdn.ncbi.nlm.nih.gov/pmc/blobs/edbe/3167311/4c399069cb7a/ejh-2010-3-e33-g009.jpg
https://cdn.ncbi.nlm.nih.gov/pmc/blobs/edbe/3167311/f08e75130d8b/ejh-2010-3-e33-g001.jpg
https://cdn.ncbi.nlm.nih.gov/pmc/blobs/edbe/3167311/ffdcd990c937/ejh-2010-3-e33-g002.jpg
https://cdn.ncbi.nlm.nih.gov/pmc/blobs/edbe/3167311/90fe38d81f1d/ejh-2010-3-e33-g003.jpg
https://cdn.ncbi.nlm.nih.gov/pmc/blobs/edbe/3167311/a9241d7775fa/ejh-2010-3-e33-g004.jpg
https://cdn.ncbi.nlm.nih.gov/pmc/blobs/edbe/3167311/c557455d8811/ejh-2010-3-e33-g005.jpg
https://cdn.ncbi.nlm.nih.gov/pmc/blobs/edbe/3167311/08e96f0fdef2/ejh-2010-3-e33-g006.jpg
https://cdn.ncbi.nlm.nih.gov/pmc/blobs/edbe/3167311/dfa610986fc7/ejh-2010-3-e33-g007.jpg
https://cdn.ncbi.nlm.nih.gov/pmc/blobs/edbe/3167311/9903e23020a9/ejh-2010-3-e33-g008.jpg
https://cdn.ncbi.nlm.nih.gov/pmc/blobs/edbe/3167311/4c399069cb7a/ejh-2010-3-e33-g009.jpg

相似文献

1
Detecting microcalcifications in atherosclerotic plaques by a simple trichromic staining method for epoxy embedded carotid endarterectomies.应用一种简单的三染法检测动脉粥样硬化斑块中的微钙化:颈动脉内膜切除术包埋环氧组织的研究。
Eur J Histochem. 2010 Jul 14;54(3):e33. doi: 10.4081/ejh.2010.e33.
2
A polychromatic staining method for epoxy embedded tissue: a new combination of methylene blue and basic fuchsine for light microscopy.一种用于环氧树脂包埋组织的多色染色方法:亚甲蓝和碱性品红用于光学显微镜的新组合
Biotech Histochem. 2005 Sep-Dec;80(5-6):207-10. doi: 10.1080/10520290600560897.
3
An adaptation of Twort's method for polychromatic staining of epoxy-embedded semithin sections.一种改良的 Twort 法用于环氧树脂包埋半薄切片的多色染色。
Histochem Cell Biol. 2020 Feb;153(2):121-127. doi: 10.1007/s00418-019-01836-x. Epub 2019 Dec 17.
4
[Staining of semithin Durcupan sections].[半薄Durcupan切片染色]
Cesk Patol. 1980 Aug;16(3):158-61.
5
Superficial and multiple calcifications and ulceration associate with intraplaque hemorrhage in the carotid atherosclerotic plaque.颈动脉粥样硬化斑块内斑块出血与表面及多发钙化和溃疡相关。
Eur Radiol. 2018 Dec;28(12):4968-4977. doi: 10.1007/s00330-018-5535-7. Epub 2018 Jun 6.
6
Mallory's phloxine B-methylene blue-azure II stain emphasizes elastin and collagen bundles in epoxy embedded lung.马洛里氏焰红B-亚甲蓝-天青II染色可突出环氧树脂包埋肺组织中的弹性蛋白和胶原纤维束。
Stain Technol. 1988 May;63(3):165-70. doi: 10.3109/10520298809107178.
7
Handling and staining epoxy resin sections for light microscopy.用于光学显微镜检查的环氧树脂切片的处理与染色
J Microsc. 1975 Jan;103(1):121-6. doi: 10.1111/j.1365-2818.1975.tb04543.x.
8
Polychromatic staining of epoxy semithin sections: a new and simple method.环氧树脂半薄切片的多色染色:一种新的简便方法。
Histochemistry. 1994 Jan;101(1):51-5. doi: 10.1007/BF00315831.
9
A simple, one-step polychromatic staining method for epoxy-embedded semithin tissue sections.一种用于环氧树脂包埋半薄组织切片的简单、一步多色染色方法。
Microscopy (Oxf). 2018 Dec 1;67(6):331-344. doi: 10.1093/jmicro/dfy037.
10
Matrix vesicles in the fibrous cap of atherosclerotic plaque: possible contribution to plaque rupture.动脉粥样硬化斑块纤维帽中的基质小泡:对斑块破裂的可能作用。
J Cell Mol Med. 2008 Oct;12(5B):2073-82. doi: 10.1111/j.1582-4934.2008.00230.x. Epub 2008 Jan 11.

引用本文的文献

1
Artificial plasticenta: how polystyrene nanoplastics affect cultured human trophoblast cells.人工胎盘:聚苯乙烯纳米塑料如何影响培养的人滋养层细胞。
Front Cell Dev Biol. 2025 Feb 24;13:1539600. doi: 10.3389/fcell.2025.1539600. eCollection 2025.
2
Enhancing Lettuce () Productivity: Foliar Sprayed Fe-Alg-CaCO MPs as Fertilizers for Aquaponics Cultivation.提高生菜()产量:叶面喷施铁-藻-碳酸钙微塑料作为水培种植的肥料 。 需注意,原文括号里“()”内容缺失,翻译时按原文呈现,可能影响完整理解。
Plants (Basel). 2024 Dec 5;13(23):3416. doi: 10.3390/plants13233416.
3
High WTAP expression level as a promising biomarker for poor prognosis in colorectal cancer: a pilot study.

本文引用的文献

1
Semi-thin sections of epoxy resin-embedded mouse embryos in morphological analysis of whole mount in situ RNA hybridization.用于全胚胎原位RNA杂交形态学分析的环氧树脂包埋小鼠胚胎半薄切片。
J Microsc. 2008 Dec;232(3):504-7. doi: 10.1111/j.1365-2818.2008.02148.x.
2
Micro-CT based analysis of a new paradigm for vulnerable plaque rupture: cellular microcalcifications in fibrous caps.基于微计算机断层扫描的易损斑块破裂新范式分析:纤维帽中的细胞微钙化
Mol Cell Biomech. 2008 Mar;5(1):37-47.
3
Critical cap thickness and rupture in symptomatic carotid plaques: the oxford plaque study.
WTAP高表达水平作为结直肠癌预后不良的一种有前景的生物标志物:一项初步研究。
Eur J Histochem. 2024 Dec 16;68(4):4145. doi: 10.4081/ejh.2024.4145.
4
A Different Exosome Secretion Pattern Characterizes Patient-Derived Colorectal Cancer Multicellular Spheroids and Their Mouse Xenografts.不同的外泌体分泌模式是患者来源的结直肠癌多细胞球体及其小鼠异种移植瘤的特征。
Biology (Basel). 2022 Sep 29;11(10):1427. doi: 10.3390/biology11101427.
5
3D-Arterial analysis software and CEUS in the assessment of severity and vulnerability of carotid atherosclerotic plaque: a comparison with CTA and histopathology.3D 动脉分析软件和 CEUS 在评估颈动脉粥样硬化斑块的严重程度和易损性方面:与 CTA 和组织病理学的比较。
Radiol Med. 2022 Nov;127(11):1254-1269. doi: 10.1007/s11547-022-01551-z. Epub 2022 Sep 17.
6
Matrix Gla Protein Levels Are Associated With Arterial Stiffness and Incident Heart Failure With Preserved Ejection Fraction.基质 Gla 蛋白水平与动脉僵硬度和射血分数保留的心力衰竭事件相关。
Arterioscler Thromb Vasc Biol. 2022 Feb;42(2):e61-e73. doi: 10.1161/ATVBAHA.121.316664. Epub 2021 Nov 23.
7
The Ultrastructural Analysis of Human Colorectal Cancer Stem Cell-Derived Spheroids and Their Mouse Xenograft Shows That the Same Cells Types Have Different Ratios.人结直肠癌干细胞来源的球体及其小鼠异种移植的超微结构分析表明,相同细胞类型具有不同比例。
Biology (Basel). 2021 Sep 17;10(9):929. doi: 10.3390/biology10090929.
8
Biocompatibility and Antibiofilm Properties of Calcium Silicate-Based Cements: An In Vitro Evaluation and Report of Two Clinical Cases.硅酸钙基骨水泥的生物相容性和抗生物膜特性:体外评估及两例临床病例报告
Biology (Basel). 2021 May 26;10(6):470. doi: 10.3390/biology10060470.
9
Nonlinear optical microscopy is a novel tool for the analysis of cutaneous alterations in pseudoxanthoma elasticum.非线性光学显微镜是一种分析弹性假黄瘤皮肤改变的新工具。
Lasers Med Sci. 2020 Oct;35(8):1821-1830. doi: 10.1007/s10103-020-03027-w. Epub 2020 May 6.
10
A simple, one-step polychromatic staining method for epoxy-embedded semithin tissue sections.一种用于环氧树脂包埋半薄组织切片的简单、一步多色染色方法。
Microscopy (Oxf). 2018 Dec 1;67(6):331-344. doi: 10.1093/jmicro/dfy037.
有症状颈动脉斑块的临界帽厚度与破裂:牛津斑块研究
Stroke. 2008 Jun;39(6):1722-9. doi: 10.1161/STROKEAHA.107.507988. Epub 2008 Apr 10.
4
Influence of microcalcifications on vulnerable plaque mechanics using FSI modeling.使用流固耦合建模研究微钙化对易损斑块力学的影响。
J Biomech. 2008;41(5):1111-8. doi: 10.1016/j.jbiomech.2007.11.029. Epub 2008 Feb 7.
5
Early calcifications in human coronary arteries as determined with a proton microprobe.用质子微探针测定的人类冠状动脉早期钙化。
Anal Chem. 2008 Jan 1;80(1):55-61. doi: 10.1021/ac0706628. Epub 2007 Nov 21.
6
A hypothesis for vulnerable plaque rupture due to stress-induced debonding around cellular microcalcifications in thin fibrous caps.关于薄纤维帽中细胞微钙化周围应力诱导脱粘导致易损斑块破裂的假说。
Proc Natl Acad Sci U S A. 2006 Oct 3;103(40):14678-83. doi: 10.1073/pnas.0606310103. Epub 2006 Sep 26.
7
A polychromatic staining method for epoxy embedded tissue: a new combination of methylene blue and basic fuchsine for light microscopy.一种用于环氧树脂包埋组织的多色染色方法:亚甲蓝和碱性品红用于光学显微镜的新组合
Biotech Histochem. 2005 Sep-Dec;80(5-6):207-10. doi: 10.1080/10520290600560897.
8
Immunohistochemical staining of epoxy resin sections of peripheral nerve.周围神经环氧树脂切片的免疫组织化学染色
Appl Immunohistochem Mol Morphol. 2005 Sep;13(3):292-4. doi: 10.1097/01.pai.0000140016.83608.ed.
9
A critical appraisal of the performance, reporting, and interpretation of studies comparing carotid plaque imaging with histology.对比较颈动脉斑块成像与组织学的研究的性能、报告及解读的批判性评价。
Stroke. 2005 May;36(5):1091-7. doi: 10.1161/01.STR.0000160749.61763.95. Epub 2005 Mar 17.
10
Reproducibility of histological assessment of carotid plaque: implications for studies of carotid imaging.颈动脉斑块组织学评估的可重复性:对颈动脉成像研究的影响
Cerebrovasc Dis. 2004;18(2):117-23. doi: 10.1159/000079259. Epub 2004 Jun 22.