Suppr超能文献

喂食缺碘、碘充足或碘过量饮食的大鼠中的多溴联苯中毒

Polybrominated biphenyl toxicosis in rats fed an iodine-deficient, iodine-adequate, or iodine-excess diet.

作者信息

Sleight S D, Mangkoewidjojo S, Akoso B T, Sanger V L

出版信息

Environ Health Perspect. 1978 Apr;23:341-6. doi: 10.1289/ehp.7823341.

Abstract

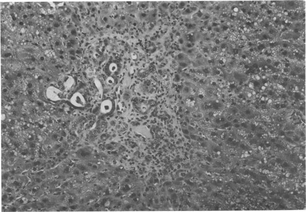
Young male Sprague-Dawley rats were fed 0, 1, 10, or 100 ppm of polybrominated biphenyls (PBB) in iodine-deficient, iodine-adequate (0.2 ppm), or iodine-excess (1000 ppm) diets. Six rats in each of the 12 groups were killed at 30 days and the remaining six in each group at 60 days. Growth rates were similar in all rats fed diets containing 0, 1, or 10 ppm PBB but were slower from 30 to 60 days in rats given 100 ppm PBB. Results of routine hematologic examinations and urinalyses were essentially normal. Although liver weights were substantially increased by PBB, the smallest increases were in rats fed an iodine-deficient diet. Thyroid weights were increased by iodine deficiency and by 10 and 100 ppm PBB. Electropherograms of serum proteins, serum lipoproteins, and LDH isozymes at 60 days from rats given PBB indicated hepatic alterations, but changes were least dramatic in rats fed an iodine-deficient diet plus PBB and most severe in rats fed iodine-excess diets plus PBB. Hepatic lesions were basically similar to those previously described except that bile duct proliferation was seen at 60 days only in rats fed an iodine-deficient diet and 100 ppm PBB. Histologic changes in thyroid glands were associated with iodine deficiency and with PBB. The iodine-excess diet plus 100 ppm PBB induced squamous metaplasia of respiratory bronchiolar epithelium. These results indicate interrelationships between PBB and iodine which may affect the toxicosis caused by PBB.

摘要

将年轻的雄性斯普拉格-道利大鼠分别喂食含0、1、10或100 ppm多溴联苯(PBB)的缺碘、碘充足(0.2 ppm)或碘过量(1000 ppm)日粮。12个组每组6只大鼠在30天时处死6只,其余6只在60天时处死。喂食含0、1或10 ppm PBB日粮的所有大鼠生长速率相似,但喂食100 ppm PBB的大鼠在30至60天期间生长较慢。常规血液学检查和尿液分析结果基本正常。虽然PBB使肝脏重量显著增加,但在喂食缺碘日粮的大鼠中增加最小。缺碘以及10和100 ppm PBB可使甲状腺重量增加。给PBB的大鼠在60天时血清蛋白、血清脂蛋白和乳酸脱氢酶同工酶的电泳图谱表明肝脏有改变,但在喂食缺碘日粮加PBB的大鼠中变化最不明显,而在喂食碘过量日粮加PBB的大鼠中变化最严重。肝脏病变基本与先前描述的相似,只是仅在喂食缺碘日粮和100 ppm PBB的大鼠在60天时出现胆管增生。甲状腺的组织学变化与缺碘和PBB有关。碘过量日粮加100 ppm PBB可诱导呼吸性细支气管上皮鳞状化生。这些结果表明PBB与碘之间的相互关系可能会影响由PBB引起的中毒。

https://cdn.ncbi.nlm.nih.gov/pmc/blobs/3a2a/1637452/45e840dc5291/envhper00480-0323-a.jpg

文献检索

告别复杂PubMed语法,用中文像聊天一样搜索,搜遍4000万医学文献。AI智能推荐,让科研检索更轻松。

立即免费搜索

文件翻译

保留排版,准确专业,支持PDF/Word/PPT等文件格式,支持 12+语言互译。

免费翻译文档

深度研究

AI帮你快速写综述,25分钟生成高质量综述,智能提取关键信息,辅助科研写作。

立即免费体验