• 文献检索
  • 文档翻译
  • 深度研究
  • 学术资讯
  • Suppr Zotero 插件Zotero 插件
  • 邀请有礼
  • 套餐&价格
  • 历史记录
应用&插件
Suppr Zotero 插件Zotero 插件浏览器插件Mac 客户端Windows 客户端微信小程序
定价
高级版会员购买积分包购买API积分包
服务
文献检索文档翻译深度研究API 文档MCP 服务
关于我们
关于 Suppr公司介绍联系我们用户协议隐私条款
关注我们

Suppr 超能文献

核心技术专利:CN118964589B侵权必究
粤ICP备2023148730 号-1Suppr @ 2026

文献检索

告别复杂PubMed语法,用中文像聊天一样搜索,搜遍4000万医学文献。AI智能推荐,让科研检索更轻松。

立即免费搜索

文件翻译

保留排版,准确专业,支持PDF/Word/PPT等文件格式,支持 12+语言互译。

免费翻译文档

深度研究

AI帮你快速写综述,25分钟生成高质量综述,智能提取关键信息,辅助科研写作。

立即免费体验

一种新的自动系统,用于识别一致的采样位置,以进行组织多普勒和二尖瓣血流多普勒 E、E' 和 E/E' 的测量。

A new automated system to identify a consistent sampling position to make tissue Doppler and transmitral Doppler measurements of E, E' and E/E'.

机构信息

Department of Bioengineering, Imperial College of Science, Technology, and Medicine, London SW7 2AZ, United Kingdom.

出版信息

Int J Cardiol. 2012 Mar 22;155(3):394-9. doi: 10.1016/j.ijcard.2010.10.048. Epub 2010 Nov 20.

DOI:10.1016/j.ijcard.2010.10.048
PMID:21093935
原文链接:https://pmc.ncbi.nlm.nih.gov/articles/PMC3314963/
Abstract

BACKGROUND

Transmitral pulse wave (PW) Doppler and annular tissue Doppler velocity measurements provide valuable diagnostic and prognostic information. However, they depend on an echocardiographer manually selecting positions to make the measurements. This is time-consuming and open to variability, especially by less experienced operators. We present a new, automated method to select consistent Doppler velocity sites to measure blood flow and muscle function.

METHODS

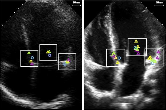
Our automated algorithm combines speckle tracking and colour flow mapping to locate the septal and lateral mitral valve annuli (to measure peak early diastolic velocity, E') and the mitral valve inflow (to measure peak inflow velocity, E). We also automate peak velocity measurements from resulting PW Doppler traces. The algorithm-selected locations and time taken to identify them were compared against a panel of echo specialists - the current "gold standard".

RESULTS

The algorithm identified positions to measure Doppler velocities within 3.6 ± 2.2mm (mitral inflow), 3.2 ± 1.8mm (septal annulus) and 3.8 ± 1.5mm (lateral annulus) of the consensus of 3 specialists. This was less than the average 4mm fidelity with which the specialists could themselves identify the points. The automated algorithm could potentially reduce the time taken to make these measurements by 60 ± 15%.

CONCLUSIONS

Our automated algorithm identified sampling positions for measurement of mitral flow, septal and lateral tissue velocities as reliably as specialists. It provides a rapid, easy method for new specialists and potentially non-specialists to make automated measurements of key cardiac physiological indices. This could help support decision-making, without introducing delay and extend availability of echocardiography to more patients.

摘要

背景

二尖瓣血流多谱勒(PW)和环组织多谱勒速度测量提供了有价值的诊断和预后信息。然而,它们依赖于心超医师手动选择位置进行测量。这既耗时又容易产生变异性,尤其是对于经验不足的操作人员来说。我们提出了一种新的自动方法,用于选择一致的多谱勒速度位置来测量血流和肌肉功能。

方法

我们的自动算法结合了斑点追踪和彩色血流图,以定位隔瓣和侧瓣二尖瓣环(测量早期舒张峰值速度 E')和二尖瓣流入(测量峰值流入速度 E)。我们还自动测量 PW 多谱勒迹线的峰值速度。将算法选择的位置和识别这些位置所需的时间与一组超声专家进行了比较,这是目前的“黄金标准”。

结果

该算法在 3.6±2.2mm(二尖瓣流入)、3.2±1.8mm(隔瓣环)和 3.8±1.5mm(侧瓣环)的范围内确定了测量多谱勒速度的位置,这比专家们自己能够识别这些点的平均 4mm 精度要小。该自动算法有可能将完成这些测量的时间减少 60±15%。

结论

我们的自动算法识别出了测量二尖瓣血流、间隔和侧瓣组织速度的采样位置,与专家一样可靠。它为新专家和潜在的非专家提供了一种快速、简便的方法,用于自动测量关键的心脏生理指标。这有助于支持决策,而不会引入延迟,并使更多的患者能够获得超声心动图检查。

https://cdn.ncbi.nlm.nih.gov/pmc/blobs/54a7/3314963/b1e7598f6c25/gr9.jpg
https://cdn.ncbi.nlm.nih.gov/pmc/blobs/54a7/3314963/7d561bdbf710/gr1.jpg
https://cdn.ncbi.nlm.nih.gov/pmc/blobs/54a7/3314963/f1761861c119/gr2.jpg
https://cdn.ncbi.nlm.nih.gov/pmc/blobs/54a7/3314963/89f96a35c16b/gr3.jpg
https://cdn.ncbi.nlm.nih.gov/pmc/blobs/54a7/3314963/de953f36f03d/gr4.jpg
https://cdn.ncbi.nlm.nih.gov/pmc/blobs/54a7/3314963/3d1e7f1180aa/gr5.jpg
https://cdn.ncbi.nlm.nih.gov/pmc/blobs/54a7/3314963/3dc72cccb1d0/gr6.jpg
https://cdn.ncbi.nlm.nih.gov/pmc/blobs/54a7/3314963/89856d3aba02/gr7.jpg
https://cdn.ncbi.nlm.nih.gov/pmc/blobs/54a7/3314963/eacc26cd4e02/gr8.jpg
https://cdn.ncbi.nlm.nih.gov/pmc/blobs/54a7/3314963/b1e7598f6c25/gr9.jpg
https://cdn.ncbi.nlm.nih.gov/pmc/blobs/54a7/3314963/7d561bdbf710/gr1.jpg
https://cdn.ncbi.nlm.nih.gov/pmc/blobs/54a7/3314963/f1761861c119/gr2.jpg
https://cdn.ncbi.nlm.nih.gov/pmc/blobs/54a7/3314963/89f96a35c16b/gr3.jpg
https://cdn.ncbi.nlm.nih.gov/pmc/blobs/54a7/3314963/de953f36f03d/gr4.jpg
https://cdn.ncbi.nlm.nih.gov/pmc/blobs/54a7/3314963/3d1e7f1180aa/gr5.jpg
https://cdn.ncbi.nlm.nih.gov/pmc/blobs/54a7/3314963/3dc72cccb1d0/gr6.jpg
https://cdn.ncbi.nlm.nih.gov/pmc/blobs/54a7/3314963/89856d3aba02/gr7.jpg
https://cdn.ncbi.nlm.nih.gov/pmc/blobs/54a7/3314963/eacc26cd4e02/gr8.jpg
https://cdn.ncbi.nlm.nih.gov/pmc/blobs/54a7/3314963/b1e7598f6c25/gr9.jpg

相似文献

1
A new automated system to identify a consistent sampling position to make tissue Doppler and transmitral Doppler measurements of E, E' and E/E'.一种新的自动系统,用于识别一致的采样位置,以进行组织多普勒和二尖瓣血流多普勒 E、E' 和 E/E' 的测量。
Int J Cardiol. 2012 Mar 22;155(3):394-9. doi: 10.1016/j.ijcard.2010.10.048. Epub 2010 Nov 20.
2
Mitral annular velocity measurement with cardiac magnetic resonance imaging using a novel annular tracking algorithm: Validation against echocardiography.使用新型瓣环追踪算法通过心脏磁共振成像测量二尖瓣环速度:与超声心动图的对比验证
Magn Reson Imaging. 2019 Jan;55:72-80. doi: 10.1016/j.mri.2018.08.018. Epub 2018 Aug 31.
3
Assessment of left ventricular diastolic function with Doppler tissue imaging: effects of preload and place of measurements.应用多普勒组织成像评估左心室舒张功能:前负荷及测量部位的影响
Int J Cardiovasc Imaging. 2002 Jun;18(3):155-60. doi: 10.1023/a:1014697208218.
4
Left ventricular diastolic function assessment using time differences between mitral annular velocities and transmitral inflow velocities in patients with heart failure.心力衰竭患者中利用二尖瓣环速度与经二尖瓣血流速度的时间差评估左心室舒张功能
Heart Lung Circ. 2015 Mar;24(3):257-63. doi: 10.1016/j.hlc.2014.09.010. Epub 2014 Oct 1.
5
Tissue Doppler imaging adds incremental value in predicting exercise capacity in patients with congestive heart failure.组织多普勒成像在预测充血性心力衰竭患者的运动能力方面具有额外价值。
Heart Vessels. 2007 Jul;22(4):237-44. doi: 10.1007/s00380-006-0961-x. Epub 2007 Jul 20.
6
Prognostic implications of tissue Doppler in patients with dilated cardiomyopathy.组织多普勒对扩张型心肌病患者的预后影响
Rev Port Cardiol. 2006 Sep;25(9):781-93.
7
Accuracy of measuring mitral annular velocity by 2D speckle tracking imaging.二维斑点追踪成像测量二尖瓣环速度的准确性。
J Cardiol. 2009 Apr;53(2):188-95. doi: 10.1016/j.jjcc.2008.10.009. Epub 2008 Dec 23.
8
Automated 4D flow cardiac MRI pipeline to derive peak mitral inflow diastolic velocities using short-axis cine stack: two centre validation study against echocardiographic pulse-wave doppler.使用短轴电影堆栈自动生成 4D 流心脏 MRI 管道以获得峰值二尖瓣流入舒张速度:与超声心动图脉冲波多普勒的双中心验证研究。
BMC Cardiovasc Disord. 2023 Jan 16;23(1):24. doi: 10.1186/s12872-023-03052-x.
9
Peak early diastolic mitral annulus velocity by tissue Doppler imaging for the assessment of left ventricular relaxation in subjects with mitral annulus calcification.利用组织多普勒成像测量舒张早期二尖瓣环峰值速度以评估二尖瓣环钙化患者的左心室舒张功能
Eur Heart J Cardiovasc Imaging. 2016 Jul;17(7):804-11. doi: 10.1093/ehjci/jev219. Epub 2015 Sep 20.
10
Assessment of left ventricular function using mitral annular velocities in patients with congestive heart failure with or without the presence of significant mitral regurgitation.在伴有或不伴有显著二尖瓣反流的充血性心力衰竭患者中,使用二尖瓣环速度评估左心室功能。
J Am Soc Echocardiogr. 2003 Mar;16(3):240-5. doi: 10.1067/mje.2003.52.

引用本文的文献

1
Asporin, an extracellular matrix protein, is a beneficial regulator of cardiac remodeling.骨粘连蛋白(Aspr)是细胞外基质蛋白,是心脏重构的有益调节剂。
Matrix Biol. 2022 Jun;110:40-59. doi: 10.1016/j.matbio.2022.04.005. Epub 2022 Apr 22.
2
Extraction of Peak Velocity Profiles from Doppler Echocardiography Using Image Processing.利用图像处理从多普勒超声心动图中提取峰值速度剖面
Bioengineering (Basel). 2019 Jul 26;6(3):64. doi: 10.3390/bioengineering6030064.
3
Open-source, vendor-independent, automated multi-beat tissue Doppler echocardiography analysis.

本文引用的文献

1
Optimization of Doppler velocity echocardiographic measurements using an automatic contour detection method.使用自动轮廓检测方法优化多普勒速度超声心动图测量
Annu Int Conf IEEE Eng Med Biol Soc. 2009;2009:2264-7. doi: 10.1109/IEMBS.2009.5334968.
2
Tissue Doppler E/E' ratio is a powerful predictor of primary cardiac events in a hypertensive population: an ASCOT substudy.组织多普勒 E/E' 比值是高血压人群主要心脏事件的有力预测指标:ASCOT 亚研究。
Eur Heart J. 2010 Mar;31(6):747-52. doi: 10.1093/eurheartj/ehp498. Epub 2009 Nov 26.
3
A generalized speckle tracking algorithm for ultrasonic strain imaging using dynamic programming.
开源、独立于供应商的自动多搏组织多普勒超声心动图分析
Int J Cardiovasc Imaging. 2017 Aug;33(8):1135-1148. doi: 10.1007/s10554-017-1092-4. Epub 2017 Feb 20.
4
Automated speckle tracking algorithm to aid on-axis imaging in echocardiography.用于辅助超声心动图轴上成像的自动散斑跟踪算法。
J Med Imaging (Bellingham). 2014 Oct;1(3):037001. doi: 10.1117/1.JMI.1.3.037001. Epub 2014 Nov 25.
一种基于动态规划的超声应变成像的广义散斑跟踪算法。
Ultrasound Med Biol. 2009 Nov;35(11):1863-79. doi: 10.1016/j.ultrasmedbio.2009.05.016. Epub 2009 Aug 13.
4
Ethical authorship and publishing.道德作者身份与出版
Int J Cardiol. 2009 Jan 9;131(2):149-50. doi: 10.1016/j.ijcard.2008.11.048. Epub 2008 Nov 28.
5
Automatic mitral valve inflow measurements from Doppler echocardiography.经多普勒超声心动图自动测量二尖瓣血流。
Med Image Comput Comput Assist Interv. 2008;11(Pt 1):983-90. doi: 10.1007/978-3-540-85988-8_117.
6
A parallelizable real-time motion tracking algorithm with applications to ultrasonic strain imaging.一种可并行化的实时运动跟踪算法及其在超声应变成像中的应用。
Phys Med Biol. 2007 Jul 7;52(13):3773-90. doi: 10.1088/0031-9155/52/13/008. Epub 2007 May 29.
7
Automated tracking of the mitral valve annulus motion in apical echocardiographic images using multidimensional dynamic programming.使用多维动态规划自动跟踪心尖超声心动图图像中的二尖瓣环运动。
Ultrasound Med Biol. 2007 Sep;33(9):1389-99. doi: 10.1016/j.ultrasmedbio.2007.03.007. Epub 2007 May 21.
8
Doppler echocardiography flow-velocity image analysis for patients with atrial fibrillation.心房颤动患者的多普勒超声心动图血流速度图像分析
Ultrasound Med Biol. 2005 Aug;31(8):1031-40. doi: 10.1016/j.ultrasmedbio.2005.04.016.
9
Which echocardiographic Doppler left ventricular diastolic function measurements are most feasible in the clinical echocardiographic laboratory?在临床超声心动图实验室中,哪些超声心动图多普勒左心室舒张功能测量方法最可行?
Am J Cardiol. 2004 Oct 15;94(8):1099-101. doi: 10.1016/j.amjcard.2004.06.080.
10
Automated analysis of Doppler ultrasound velocity flow diagrams.多普勒超声速度血流图的自动分析。
IEEE Trans Med Imaging. 2001 Dec;20(12):1422-5. doi: 10.1109/42.974936.