• 文献检索
  • 文档翻译
  • 深度研究
  • 学术资讯
  • Suppr Zotero 插件Zotero 插件
  • 邀请有礼
  • 套餐&价格
  • 历史记录
应用&插件
Suppr Zotero 插件Zotero 插件浏览器插件Mac 客户端Windows 客户端微信小程序
定价
高级版会员购买积分包购买API积分包
服务
文献检索文档翻译深度研究API 文档MCP 服务
关于我们
关于 Suppr公司介绍联系我们用户协议隐私条款
关注我们

Suppr 超能文献

核心技术专利:CN118964589B侵权必究
粤ICP备2023148730 号-1Suppr @ 2026

文献检索

告别复杂PubMed语法,用中文像聊天一样搜索,搜遍4000万医学文献。AI智能推荐,让科研检索更轻松。

立即免费搜索

文件翻译

保留排版,准确专业,支持PDF/Word/PPT等文件格式,支持 12+语言互译。

免费翻译文档

深度研究

AI帮你快速写综述,25分钟生成高质量综述,智能提取关键信息,辅助科研写作。

立即免费体验

声门上区原发性黏液样脂肪肉瘤

Primary myxoid liposarcoma of the supraglottic larynx.

作者信息

Gleinser David M, Font Jean Paul, Clement Cecilia G, Mohammed Basim S, Underbrink Michael P

机构信息

University of Texas Medical Branch, Department of Otolaryngology, Galveston, TX, USA;

出版信息

Rare Tumors. 2010 Sep 30;2(3):e41. doi: 10.4081/rt.2010.e41.

DOI:10.4081/rt.2010.e41
PMID:21139957
原文链接:https://pmc.ncbi.nlm.nih.gov/articles/PMC2994524/
Abstract

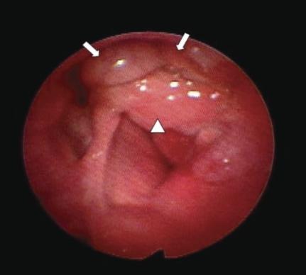
Sarcomas are a rare occurrence accounting for roughly 1% of all cancer cases reported. Of these, 9-18% will be identified as liposarcoma. Overall, only 4-9% of all liposarcomas occur in the head and neck region. As such, it is a rare event to see a primary liposarcoma of the aerodigestive tract. These tumors are typically misdiagnosed secondary to their indolent, asymptomatic course and similarities in appearance to other benign lesions. An understanding of these lesions will help clinicians appropriately manage their patients. We present a case of a 60-year male with a primary supraglottic myxoid liposarcoma, and provide relevant information about liposarcomas.

摘要

肉瘤较为罕见,约占所有报告癌症病例的1%。其中,9% - 18%将被确诊为脂肪肉瘤。总体而言,所有脂肪肉瘤中仅有4% - 9%发生于头颈部区域。因此,发生于气消化道的原发性脂肪肉瘤实属罕见。这些肿瘤通常因生长缓慢、无症状以及外观与其他良性病变相似而被误诊。了解这些病变将有助于临床医生对患者进行恰当的治疗。我们报告一例60岁男性原发性声门上黏液样脂肪肉瘤病例,并提供有关脂肪肉瘤的相关信息。

https://cdn.ncbi.nlm.nih.gov/pmc/blobs/a65a/2994524/cffbb0473f7f/rt-2010-3-e41-g003.jpg
https://cdn.ncbi.nlm.nih.gov/pmc/blobs/a65a/2994524/9451da6216b9/rt-2010-3-e41-g001.jpg
https://cdn.ncbi.nlm.nih.gov/pmc/blobs/a65a/2994524/e13736cf2ec4/rt-2010-3-e41-g002.jpg
https://cdn.ncbi.nlm.nih.gov/pmc/blobs/a65a/2994524/cffbb0473f7f/rt-2010-3-e41-g003.jpg
https://cdn.ncbi.nlm.nih.gov/pmc/blobs/a65a/2994524/9451da6216b9/rt-2010-3-e41-g001.jpg
https://cdn.ncbi.nlm.nih.gov/pmc/blobs/a65a/2994524/e13736cf2ec4/rt-2010-3-e41-g002.jpg
https://cdn.ncbi.nlm.nih.gov/pmc/blobs/a65a/2994524/cffbb0473f7f/rt-2010-3-e41-g003.jpg

相似文献

1
Primary myxoid liposarcoma of the supraglottic larynx.声门上区原发性黏液样脂肪肉瘤
Rare Tumors. 2010 Sep 30;2(3):e41. doi: 10.4081/rt.2010.e41.
2
Liposarcomas in young patients: a study of 82 cases occurring in patients younger than 22 years of age.年轻患者的脂肪肉瘤:一项针对82例发生于22岁以下患者的研究。
Am J Surg Pathol. 2009 May;33(5):645-58. doi: 10.1097/PAS.0b013e3181963c9c.
3
Liposarcoma of the larynx. Case report and literature review.喉脂肪肉瘤。病例报告及文献综述。
Arch Otolaryngol Head Neck Surg. 1986 Dec;112(12):1289-92. doi: 10.1001/archotol.1986.03780120053010.
4
Rare case of metastatic liposarcoma to the thyroid gland and a review of the literature of metastatic sarcomas to the thyroid.罕见的脂肪肉瘤转移至甲状腺病例及对甲状腺转移肉瘤文献的回顾。
Head Neck. 2021 Mar;43(3):E20-E26. doi: 10.1002/hed.26552. Epub 2020 Nov 21.
5
A clinicopathologic comparison of malignant fibrous histiocytoma and liposarcoma.恶性纤维组织细胞瘤与脂肪肉瘤的临床病理比较
Instr Course Lect. 1989;38:407-17.
6
Dedifferentiated liposarcoma. Clinicopathologic analysis of 32 cases suggesting a better prognostic subgroup among pleomorphic sarcomas.去分化脂肪肉瘤。32例临床病理分析提示多形性肉瘤中存在预后较好的亚组。
Am J Surg Pathol. 1994 Dec;18(12):1213-23. doi: 10.1097/00000478-199412000-00004.
7
Lipomatous tumors.脂肪瘤性肿瘤
Monogr Pathol. 1996;38:207-39.
8
Well-Differentiated/Dedifferentiated Liposarcoma Arising in the Upper Aerodigestive Tract: 8 Cases Mimicking Non-adipocytic Lesions.好/去分化脂肪肉瘤发生于上呼吸消化道:8 例模拟非脂肪细胞性病变。
Head Neck Pathol. 2020 Dec;14(4):974-981. doi: 10.1007/s12105-020-01171-x. Epub 2020 May 14.
9
Soft tissue liposarcoma: histological subtypes, MRI and CT findings.软组织脂肪肉瘤:组织学亚型、MRI及CT表现
Radiol Med. 2002 Sep;104(3):140-9.
10
Liposarcomas of the mediastinum and thorax: a clinicopathologic and molecular cytogenetic study of 24 cases, emphasizing unusual and diverse histologic features.纵隔和胸腔的脂肪肉瘤:24 例临床病理和分子细胞遗传学研究,强调了不同寻常和多样化的组织学特征。
Am J Surg Pathol. 2012 Sep;36(9):1395-403. doi: 10.1097/PAS.0b013e3182562bc1.

引用本文的文献

1
Management of an Atypical Lipomatous Tumor/Well-Differentiated Liposarcoma of the Left Laterocervical Region: Report of a Rare Case.左侧颈外侧区非典型脂肪瘤性肿瘤/高分化脂肪肉瘤的治疗:1例罕见病例报告
Maedica (Bucur). 2024 Mar;19(1):191-194. doi: 10.26574/maedica.2024.19.1.191.
2
A rare case of retropharyngeal liposarcoma: a rare location of a rare diagnosis.一例罕见的咽后脂肪肉瘤:罕见诊断的罕见部位。
J Surg Case Rep. 2023 Mar 7;2023(3):rjad106. doi: 10.1093/jscr/rjad106. eCollection 2023 Mar.
3
Liposarcoma of Larynx-A Case Report and Updated Review of Literature.

本文引用的文献

1
Liposarcoma of the head and neck: The University of Texas M. D. Anderson Cancer Center experience.头颈部脂肪肉瘤:德克萨斯大学MD安德森癌症中心的经验。
Head Neck. 2009 Jan;31(1):28-36. doi: 10.1002/hed.20923.
2
Liposarcoma of the tongue: case report and review of the literature.舌部脂肪肉瘤:病例报告及文献综述
Ear Nose Throat J. 2006 Nov;85(11):749-51.
3
Liposarcoma of the tongue: case report and review of the literature.舌部脂肪肉瘤:病例报告及文献复习
喉脂肪肉瘤——病例报告及文献综述更新
Indian J Otolaryngol Head Neck Surg. 2022 Dec;74(Suppl 3):4918-4926. doi: 10.1007/s12070-021-02466-3. Epub 2021 Feb 25.
4
A Case of Dedifferentiated Laryngeal Liposarcoma With Metachronous Transformation Into a Neoplasm With Myxofibrosarcomatous Elements.一例去分化型喉脂肪肉瘤异时性转变为具有黏液纤维肉瘤成分肿瘤的病例。
Cureus. 2022 Oct 31;14(10):e30901. doi: 10.7759/cureus.30901. eCollection 2022 Oct.
5
A well-differentiated liposarcoma of the prevertebral space: a case report.一例椎前间隙高分化脂肪肉瘤:病例报告
Transl Cancer Res. 2021 Jul;10(7):3600-3604. doi: 10.21037/tcr-21-143.
Head Face Med. 2006 Jul 26;2:21. doi: 10.1186/1746-160X-2-21.
4
Primary liposarcoma of esophagus: a case report.食管原发性脂肪肉瘤:一例报告
World J Gastroenterol. 2006 Feb 21;12(7):1149-52. doi: 10.3748/wjg.v12.i7.1149.
5
Liposarcoma. A clinical and pathological study of 53 cases.脂肪肉瘤。53例临床与病理研究。
Cancer. 1960 Sep-Oct;13:932-50. doi: 10.1002/1097-0142(196009/10)13:5<932::aid-cncr2820130512>3.0.co;2-s.
6
Liposarcoma of the oral and salivary gland region: a clinicopathologic study of 18 cases with emphasis on specific sites, morphologic subtypes, and clinical outcome.口腔及涎腺区域脂肪肉瘤:18例临床病理研究,重点关注特定部位、形态学亚型及临床结局
Mod Pathol. 2002 Oct;15(10):1020-31. doi: 10.1097/01.MP.0000027625.79334.F5.
7
Endoscopic resection of esophageal liposarcoma.食管脂肪肉瘤的内镜切除术
J Thorac Cardiovasc Surg. 1998 Aug;116(2):365-7. doi: 10.1016/s0022-5223(98)70144-8.
8
Prognostic factors for local control of sarcomas of the soft tissues managed by radiation and surgery.放疗和手术治疗软组织肉瘤局部控制的预后因素
Semin Oncol. 1997 Oct;24(5):540-6.
9
Head and neck liposarcoma.头颈部脂肪肉瘤
Cancer. 1995 Sep 15;76(6):1051-8. doi: 10.1002/1097-0142(19950915)76:6<1051::aid-cncr2820760620>3.0.co;2-4.
10
Liposarcoma: a study of 55 cases with a reassessment of its classification.脂肪肉瘤:55例病例研究及分类重新评估
Am J Surg Pathol. 1979 Dec;3(6):507-23. doi: 10.1097/00000478-197912000-00004.