Suppr超能文献

真核生物串联顺反子的偶联翻译:乙型流感病毒BM2多肽的鉴定

Eukaryotic coupled translation of tandem cistrons: identification of the influenza B virus BM2 polypeptide.

作者信息

Horvath C M, Williams M A, Lamb R A

机构信息

Department of Biochemistry, Molecular Biology and Cell Biology, Northwestern University, Evanston, IL 60208-3500.

出版信息

EMBO J. 1990 Aug;9(8):2639-47. doi: 10.1002/j.1460-2075.1990.tb07446.x.

Abstract

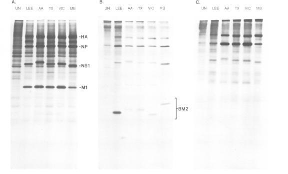
Previous nucleotide sequence analysis of RNA segment 7 of influenza B virus indicated that, in addition to the reading frame encoding the 248 amino acid M1 protein, there is a second overlapping reading frame (BM2ORF) of 585 nucleotides that has the coding capacity for 195 amino acids. To search for a polypeptide product derived from BM2ORF, a genetically engineered beta-galactosidase-BM2ORF fusion protein was expressed in Escherichia coli and a polyclonal rabbit antiserum was raised to the purified fusion protein. This antiserum was used to identify a polypeptide, designated BM2 protein (Mr approximately equal to 12,000), that is synthesized in influenza B virus-infected cells. To understand the mechanism by which the BM2 protein is generated from influenza B virus RNA segment 7, a mutational analysis of the cloned DNA was performed and the altered DNAs were expressed in eukaryotic cells. The expression patterns of the M1 and BM2 proteins from the altered DNAs indicate that the BM2 protein initiation codon overlaps with the termination codon of the M1 protein in an overlapping translational stop-start pentanucleotide, TAATG, and that the expression of the BM2 protein requires 5'-adjacent termination of M1 synthesis. Our data suggest that a termination-reinitiation scheme is used in translation of a bicistronic mRNA derived from influenza B virus RNA segment 7, and this strategy has some analogy to prokaryotic coupled stop-start translation of tandem cistrons.

摘要

先前对乙型流感病毒RNA片段7的核苷酸序列分析表明,除了编码248个氨基酸的M1蛋白的阅读框外,还有一个585个核苷酸的第二个重叠阅读框(BM2ORF),其编码能力为195个氨基酸。为了寻找源自BM2ORF的多肽产物,在大肠杆菌中表达了一种基因工程β-半乳糖苷酶-BM2ORF融合蛋白,并针对纯化的融合蛋白制备了兔多克隆抗血清。该抗血清用于鉴定在乙型流感病毒感染细胞中合成的一种多肽,命名为BM2蛋白(分子量约为12,000)。为了了解从乙型流感病毒RNA片段7产生BM2蛋白的机制,对克隆的DNA进行了突变分析,并在真核细胞中表达了改变后的DNA。来自改变后DNA的M1和BM2蛋白的表达模式表明,BM2蛋白起始密码子与M1蛋白的终止密码子在一个重叠的翻译终止-起始五核苷酸TAATG中重叠,并且BM2蛋白的表达需要M1合成在5'端相邻终止。我们的数据表明,一种终止-重新起始机制用于翻译源自乙型流感病毒RNA片段7的双顺反子mRNA,并且这种策略与原核生物串联顺反子的偶联终止-起始翻译有一些相似之处。

https://cdn.ncbi.nlm.nih.gov/pmc/blobs/fb73/552297/62b441c493e8/emboj00235-0278-a.jpg

文献AI研究员

20分钟写一篇综述,助力文献阅读效率提升50倍。

立即体验

用中文搜PubMed

大模型驱动的PubMed中文搜索引擎

马上搜索

文档翻译

学术文献翻译模型,支持多种主流文档格式。

立即体验