Suppr超能文献

三种止血剂对动物模型早期骨愈合的影响。

The effect of three hemostatic agents on early bone healing in an animal model.

作者信息

Armstrong Jonathan K, Han Bo, Kuwahara Kenrick, Yang Zhi, Magyar Clara E, Dry Sarah M, Atti Elisa, Tetradis Sotirios, Fisher Timothy C

机构信息

Department of Diagnostic and Surgical Sciences, UCLA School of Dentistry, Los Angeles, CA 90095 USA.

出版信息

BMC Surg. 2010 Dec 17;10:37. doi: 10.1186/1471-2482-10-37.

Abstract

BACKGROUND

Resorbable bone hemostasis materials, oxidized regenerated cellulose (ORC) and microfibrillar collagen (MFC), remain at the site of application for up to 8 weeks and may impair osteogenesis. Our experimental study compared the effect of a water-soluble alkylene oxide copolymer (AOC) to ORC and MFC versus no hemostatic material on early bone healing.

METHODS

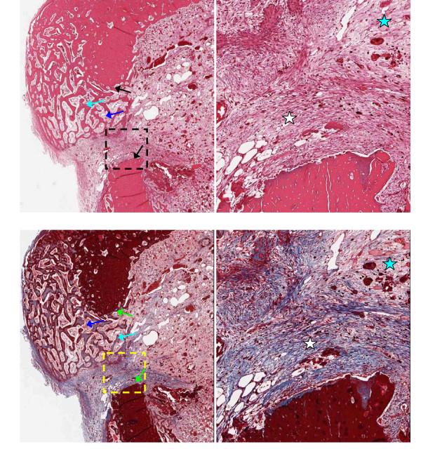
Two circular 2.7 mm non-critical defects were made in each tibia of 12 rabbits. Sufficient AOC, ORC or MFC was applied to achieve hemostasis, and effectiveness recorded. An autologous blood clot was applied to control defects. Rabbits were sacrificed at 17 days, tibiae excised and fixed. Bone healing was quantitatively measured by micro-computed tomography (micro-CT) expressed as fractional bone volume, and qualitatively assessed by histological examination of decalcified sections.

RESULTS

Hemostasis was immediate after application of MFC and AOC, after 1-2 minutes with ORC, and >5 minutes for control. At 17 days post-surgery, micro-CT analysis showed near-complete healing in control and AOC groups, partial healing in the ORC group and minimal healing in the MFC group. Fractional bone volume was 8 fold greater in the control and AOC groups than in the MFC group (0.42 ± 0.06, 0.40 ± 0.03 vs 0.05 ± 0.01, P < 0.001) and over 1.5-fold greater than in the ORC group (0.25 ± 0.03, P < 0.05). By histology, MFC remained at the application site with minimal healing at the defect margins and early fibrotic tissue within the defect. ORC-treated defects showed partial healing but with early fibrotic tissue in the marrow space. Conversely, control and AOC-treated defects demonstrated newly formed woven bone rich in cellular activity with no evidence of AOC remaining at the application site.

CONCLUSIONS

Early healing appeared to be impaired by the presence of MFC and impeded by the presence of ORC. In contrast, AOC did not inhibit bone healing and suggest that AOC may be a better bone hemostatic material for procedures where bony fusion is critical and immediate hemostasis required.

摘要

背景

可吸收性骨止血材料,氧化再生纤维素(ORC)和微纤维胶原(MFC),会在应用部位留存长达8周,可能会损害骨生成。我们的实验研究比较了水溶性环氧烷共聚物(AOC)与ORC和MFC以及不使用止血材料对早期骨愈合的影响。

方法

在12只兔子的每只胫骨上制造两个直径2.7毫米的非关键性缺损。应用足够的AOC、ORC或MFC以实现止血,并记录有效性。将自体血凝块应用于对照缺损处。在17天时处死兔子,切除胫骨并固定。通过微计算机断层扫描(micro-CT)定量测量骨愈合情况,以骨体积分数表示,并通过对脱钙切片进行组织学检查进行定性评估。

结果

应用MFC和AOC后立即实现止血,应用ORC后1 - 2分钟实现止血,对照则超过5分钟。术后17天,micro-CT分析显示对照组和AOC组接近完全愈合,ORC组部分愈合,MFC组愈合极少。对照组和AOC组的骨体积分数比MFC组高8倍(0.42±0.06,0.40±0.03对0.05±0.01,P<0.001),比ORC组高1.5倍以上(0.25±0.03,P<0.05)。组织学检查显示,MFC留存于应用部位,缺损边缘愈合极少,缺损内有早期纤维化组织。ORC处理的缺损显示部分愈合,但骨髓腔内有早期纤维化组织。相反,对照组和AOC处理的缺损显示有富含细胞活性的新形成的编织骨,且在应用部位没有AOC残留的迹象。

结论

MFC的存在似乎会损害早期愈合,ORC的存在会阻碍早期愈合。相比之下,AOC不会抑制骨愈合,这表明对于骨融合至关重要且需要立即止血的手术,AOC可能是一种更好的骨止血材料。

https://cdn.ncbi.nlm.nih.gov/pmc/blobs/358a/3009953/0b99295d11ee/1471-2482-10-37-1.jpg

文献检索

告别复杂PubMed语法,用中文像聊天一样搜索,搜遍4000万医学文献。AI智能推荐,让科研检索更轻松。

立即免费搜索

文件翻译

保留排版,准确专业,支持PDF/Word/PPT等文件格式,支持 12+语言互译。

免费翻译文档

深度研究

AI帮你快速写综述,25分钟生成高质量综述,智能提取关键信息,辅助科研写作。

立即免费体验