Suppr超能文献

皮质类固醇治疗嗜酸性粒细胞增多性血管淋巴样增生的长期随访:传统疗法仍与时俱进。

A Long-Term Follow-Up of Angiolymphoid Hyperplasia with Eosinophilia Treated by Corticosteroids: When a Traditional Therapy is Still Up-to-Date.

作者信息

Lembo Serena, Balato Anna, Cirillo Teresa, Balato Nicola

机构信息

Department of Dermatology, University of Naples Federico II, Naples, Italy.

出版信息

Case Rep Dermatol. 2011 Mar 5;3(1):64-7. doi: 10.1159/000323182.

Abstract

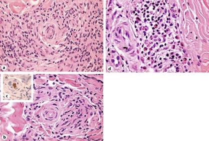
Angiolymphoid hyperplasia with eosinophilia (ALHE) is a rare and idiopathic vascular disorder. It is characterized by red to brown papules or nodules dislocated in the dermis or subcutaneous tissue. These lesions are typically localized on the head and neck, particularly around the ear as singular or multiple nodules. Although ALHE is a benign disease, lesions are often persistent and difficult to eradicate. ALHE can occur in all races, but it is reported more frequently in Asians. Young to middle-aged women are more commonly affected. The histological examination corresponds to a florid vascular proliferation with atypical endothelial cells surrounded by a lymphocytic and eosinophilic infiltrate. We describe the case of a 67-year-old Caucasian man with a nodular lesion in the right postauricular region for 3 years. The histological examination was consistent with ALHE. Monthly intralesional corticosteroid injections were performed for 6 months, and complete remission was achieved. After 10 years of follow-up, the patient is free of recurrence.

摘要

嗜酸性粒细胞增多性血管淋巴样增生(ALHE)是一种罕见的特发性血管疾病。其特征为位于真皮或皮下组织的红色至棕色丘疹或结节。这些病变通常位于头颈部,尤其是耳部周围,表现为单个或多个结节。尽管ALHE是一种良性疾病,但病变往往持续存在且难以根除。ALHE可发生于所有种族,但在亚洲人中报告更为频繁。年轻至中年女性更易受累。组织学检查显示为一种活跃的血管增生,伴有非典型内皮细胞,周围有淋巴细胞和嗜酸性粒细胞浸润。我们描述了一例67岁的白种男性病例,其右耳后区域出现结节性病变3年。组织学检查与ALHE相符。每月进行一次皮损内注射皮质类固醇,持续6个月,实现了完全缓解。经过10年的随访,患者无复发。

https://cdn.ncbi.nlm.nih.gov/pmc/blobs/8c10/3073756/b596e0c4924a/cde0003-0064-f01.jpg

文献检索

告别复杂PubMed语法,用中文像聊天一样搜索,搜遍4000万医学文献。AI智能推荐,让科研检索更轻松。

立即免费搜索

文件翻译

保留排版,准确专业,支持PDF/Word/PPT等文件格式,支持 12+语言互译。

免费翻译文档

深度研究

AI帮你快速写综述,25分钟生成高质量综述,智能提取关键信息,辅助科研写作。

立即免费体验