• 文献检索
  • 文档翻译
  • 深度研究
  • 学术资讯
  • Suppr Zotero 插件Zotero 插件
  • 邀请有礼
  • 套餐&价格
  • 历史记录
应用&插件
Suppr Zotero 插件Zotero 插件浏览器插件Mac 客户端Windows 客户端微信小程序
定价
高级版会员购买积分包购买API积分包
服务
文献检索文档翻译深度研究API 文档MCP 服务
关于我们
关于 Suppr公司介绍联系我们用户协议隐私条款
关注我们

Suppr 超能文献

核心技术专利:CN118964589B侵权必究
粤ICP备2023148730 号-1Suppr @ 2026

文献检索

告别复杂PubMed语法,用中文像聊天一样搜索,搜遍4000万医学文献。AI智能推荐,让科研检索更轻松。

立即免费搜索

文件翻译

保留排版,准确专业,支持PDF/Word/PPT等文件格式,支持 12+语言互译。

免费翻译文档

深度研究

AI帮你快速写综述,25分钟生成高质量综述,智能提取关键信息,辅助科研写作。

立即免费体验

非小细胞肺癌的输尿管转移

Metastatic ureteral involvement of non-small cell lung cancer.

作者信息

Kodama Koichi, Imao Tetsuya, Komatsu Kazuto

机构信息

Department of Urology, Toyama City Hospital, 2-1 Imaizumihokubu-cho, Toyama 939-8511, Japan.

出版信息

Case Rep Med. 2011;2011:394326. doi: 10.1155/2011/394326. Epub 2011 Mar 30.

DOI:10.1155/2011/394326
PMID:21541230
原文链接:https://pmc.ncbi.nlm.nih.gov/articles/PMC3085393/
Abstract

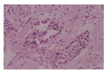
Metastases from a variety of malignant tumors can involve the ureters, but ureteral involvement by lung cancer is extremely rare and usually described at autopsy. We report a rare case of a 76-year-old man who presented with a three-month history of right flank dullness and was noted to have a nonhomogeneous retroperitoneal mass with hydronephrosis of the right kidney on computed tomography of the abdomen. Computed tomography of the thorax showed a nodule in the lower lobe, measuring 3 × 2 cm, in the right lung. After excluding the presence of other primary tumors and metastases, we reached a final diagnosis of solitary retroperitoneal metastasis of adenocarcinoma of the lung. Although rare, in patients of non-small cell lung cancer, presence of hydronephrosis should alert the physician to the possibility of metastasis.

摘要

多种恶性肿瘤的转移灶可累及输尿管,但肺癌累及输尿管极为罕见,通常在尸检时才被描述。我们报告一例罕见病例,一名76岁男性,有三个月的右侧腰部钝痛病史,腹部计算机断层扫描显示有一个不均匀的腹膜后肿块,右肾积水。胸部计算机断层扫描显示右肺下叶有一个3×2厘米的结节。在排除其他原发性肿瘤和转移灶后,我们最终诊断为肺腺癌孤立性腹膜后转移。虽然罕见,但在非小细胞肺癌患者中,出现肾积水应提醒医生注意转移的可能性。

https://cdn.ncbi.nlm.nih.gov/pmc/blobs/7ec8/3085393/8b28db8b1528/CRIM2011-394326.004.jpg
https://cdn.ncbi.nlm.nih.gov/pmc/blobs/7ec8/3085393/866e8d7d3f1b/CRIM2011-394326.001.jpg
https://cdn.ncbi.nlm.nih.gov/pmc/blobs/7ec8/3085393/821552b39800/CRIM2011-394326.002.jpg
https://cdn.ncbi.nlm.nih.gov/pmc/blobs/7ec8/3085393/9cff28d6bb88/CRIM2011-394326.003.jpg
https://cdn.ncbi.nlm.nih.gov/pmc/blobs/7ec8/3085393/8b28db8b1528/CRIM2011-394326.004.jpg
https://cdn.ncbi.nlm.nih.gov/pmc/blobs/7ec8/3085393/866e8d7d3f1b/CRIM2011-394326.001.jpg
https://cdn.ncbi.nlm.nih.gov/pmc/blobs/7ec8/3085393/821552b39800/CRIM2011-394326.002.jpg
https://cdn.ncbi.nlm.nih.gov/pmc/blobs/7ec8/3085393/9cff28d6bb88/CRIM2011-394326.003.jpg
https://cdn.ncbi.nlm.nih.gov/pmc/blobs/7ec8/3085393/8b28db8b1528/CRIM2011-394326.004.jpg

相似文献

1
Metastatic ureteral involvement of non-small cell lung cancer.非小细胞肺癌的输尿管转移
Case Rep Med. 2011;2011:394326. doi: 10.1155/2011/394326. Epub 2011 Mar 30.
2
Folliculotropic Cutaneous Metastases and Lymphangitis Carcinomatosa: When Cutaneous Metastases of Breast Carcinoma Are Mistaken for Cutaneous Infections.毛囊性皮肤转移瘤和癌性淋巴管炎:乳腺癌皮肤转移被误诊为皮肤感染时的情况。
Acta Dermatovenerol Croat. 2016 Jun;24(2):154-7.
3
Ureteral Metastasis Secondary to Prostate Cancer: A Case Report.前列腺癌继发输尿管转移:一例报告
Urol Case Rep. 2015 Dec 29;5:4-5. doi: 10.1016/j.eucr.2015.10.009. eCollection 2016 Mar.
4
Ureteral metastasis of non-small-cell lung cancer: a case report.非小细胞肺癌输尿管转移:一例报告
Onco Targets Ther. 2019 Jan 15;12:619-623. doi: 10.2147/OTT.S189334. eCollection 2019.
5
A Double Metachronous Ureter Metastasis following Curative Resection of Rectal Cancer.直肠癌根治性切除术后发生双原发异时性输尿管转移。
Case Rep Gastroenterol. 2021 Apr 29;15(1):450-455. doi: 10.1159/000512424. eCollection 2021 Jan-Apr.
6
[Three cases of small intrapulmonary lymph nodes coincidental with primary lung cancer].三例肺内小淋巴结与原发性肺癌并存
Nihon Kokyuki Gakkai Zasshi. 2001 Jun;39(6):434-7.
7
Gastric cancer recognized by metastasis to the ureter.因转移至输尿管而被发现的胃癌。
Gastric Cancer. 2000 Sep 29;3(2):102-105. doi: 10.1007/pl00011693.
8
Thyroid metastasis from small cell lung carcinoma: a case report and review of the literature.小细胞肺癌甲状腺转移:一例报告并文献复习
J Med Case Rep. 2015 Oct 7;9:231. doi: 10.1186/s13256-015-0707-4.
9
Primary mucinous cystadenocarcinoma of the renal pelvis misdiagnosed as ureteropelvic junction stenosis with renal pelvis stone: a case report and literature review.肾盂原发性黏液性囊腺癌误诊为肾盂输尿管连接部狭窄伴肾盂结石:1例报告并文献复习
World J Surg Oncol. 2015 Nov 26;13:324. doi: 10.1186/s12957-015-0739-7.
10
Hemorrhagic small intestine cancer with solitary pulmonary metastasis initially presented as suspected primary lung cancer: an autopsy report.伴有孤立性肺转移的出血性小肠癌最初表现为疑似原发性肺癌:一份尸检报告。
Osaka City Med J. 2007 Dec;53(2):109-16.

引用本文的文献

1
Spontaneous Rupture of the Renal Pelvis Due to Extrinsic Obstruction by Metastatic Retroperitoneal Lymphadenopathy.转移性腹膜后淋巴结病致外在压迫引起肾盂自发性破裂
Cureus. 2022 Mar 9;14(3):e22986. doi: 10.7759/cureus.22986. eCollection 2022 Mar.
2
Ureteral metastasis from pulmonary adenocarcinoma: A case report and literature review.肺腺癌输尿管转移:病例报告及文献复习。
Thorac Cancer. 2021 Dec;12(23):3277-3280. doi: 10.1111/1759-7714.14172. Epub 2021 Oct 20.
3
Retroperitoneal Metastasis, with Marked Fibrosis, of Lung Adenocarcinoma after Afatinib Treatment: An Autopsy Case Report.

本文引用的文献

1
METASTATIC GROWTHS IN THE URETER: A REPORT OF THREE CASES AND A BRIEF REVIEW OF THE LITERATURE.输尿管转移性肿瘤:三例报告及文献简要综述
Can Med Assoc J. 1931 Sep;25(3):265-70.
2
Metastatic tumors of the ureter.输尿管转移性肿瘤。
J Urol. 1948 Mar;59(3):312-25. doi: 10.1016/S0022-5347(17)69379-0.
3
Distribution of distant metastases from newly diagnosed non-small cell lung cancer.新诊断非小细胞肺癌远处转移的分布情况
阿法替尼治疗后肺腺癌伴显著纤维化的腹膜后转移:尸检病例报告。
Intern Med. 2020 Nov 15;59(22):2915-2919. doi: 10.2169/internalmedicine.4869-20. Epub 2020 Jul 28.
4
Ureteral metastasis of non-small-cell lung cancer: a case report.非小细胞肺癌输尿管转移:一例报告
Onco Targets Ther. 2019 Jan 15;12:619-623. doi: 10.2147/OTT.S189334. eCollection 2019.
5
Rare Metastatic Sites of a Lung Adenocarcinoma.肺腺癌的罕见转移部位
Cureus. 2018 Jun 17;10(6):e2819. doi: 10.7759/cureus.2819.
6
An ALK translocation positive carcinoma of the lung presenting as uremia due to bilateral renal obstruction.一例因双侧肾梗阻导致尿毒症表现的ALK易位阳性肺癌。
Can Urol Assoc J. 2013 Jul-Aug;7(7-8):E490-4. doi: 10.5489/cuaj.172.
Ann Thorac Surg. 1996 Jul;62(1):246-50. doi: 10.1016/0003-4975(96)00220-2.
4
Metastatic disease of the ureter: patterns of tumoral spread and radiologic findings.输尿管转移性疾病:肿瘤扩散模式及影像学表现
Abdom Imaging. 1993;18(1):88-94. doi: 10.1007/BF00201710.
5
Computed tomography of ureteral obstruction.输尿管梗阻的计算机断层扫描
AJR Am J Roentgenol. 1982 Jun;138(6):1107-13. doi: 10.2214/ajr.138.6.1107.
6
Retroperitoneal fibrosis associated with malignant disease.与恶性疾病相关的腹膜后纤维化
Br J Cancer. 1973 Nov;28(5):453-8. doi: 10.1038/bjc.1973.171.
7
Non-small cell lung cancer. Part I: Biology, diagnosis, and staging.非小细胞肺癌。第一部分:生物学、诊断与分期。
Curr Probl Cancer. 1991 Mar-Apr;15(2):61-104. doi: 10.1016/0147-0272(91)90014-2.
8
Retroperitoneal fibrosis secondary to metastatic neoplasm.转移性肿瘤继发腹膜后纤维化。
Urology. 1977 Feb;9(2):191-4. doi: 10.1016/0090-4295(77)90198-4.
9
Secondary tumors of ureter.输尿管继发性肿瘤
Urology. 1979 Oct;14(4):341-3. doi: 10.1016/0090-4295(79)90075-x.