• 文献检索
  • 文档翻译
  • 深度研究
  • 学术资讯
  • Suppr Zotero 插件Zotero 插件
  • 邀请有礼
  • 套餐&价格
  • 历史记录
应用&插件
Suppr Zotero 插件Zotero 插件浏览器插件Mac 客户端Windows 客户端微信小程序
定价
高级版会员购买积分包购买API积分包
服务
文献检索文档翻译深度研究API 文档MCP 服务
关于我们
关于 Suppr公司介绍联系我们用户协议隐私条款
关注我们

Suppr 超能文献

核心技术专利:CN118964589B侵权必究
粤ICP备2023148730 号-1Suppr @ 2026

文献检索

告别复杂PubMed语法,用中文像聊天一样搜索,搜遍4000万医学文献。AI智能推荐,让科研检索更轻松。

立即免费搜索

文件翻译

保留排版,准确专业,支持PDF/Word/PPT等文件格式,支持 12+语言互译。

免费翻译文档

深度研究

AI帮你快速写综述,25分钟生成高质量综述,智能提取关键信息,辅助科研写作。

立即免费体验

一例罕见的微小肺泡腺瘤与肺癌共存病例报告及文献复习

An unusual case of a microscopic alveolar adenoma coexisting with lung carcinoma: a case report and review of the literature.

作者信息

Bhavsar Tapan, Uppal Guldeep, Travaline John M, Gaughan Colleen, Huang Yajue, Khurana Jasvir S

机构信息

Department of Pathology and Laboratory Medicine, Temple University Hospital, Philadelphia, PA, USA.

出版信息

J Med Case Rep. 2011 May 18;5:187. doi: 10.1186/1752-1947-5-187.

DOI:10.1186/1752-1947-5-187
PMID:21592362
原文链接:https://pmc.ncbi.nlm.nih.gov/articles/PMC3113997/
Abstract

INTRODUCTION

Alveolar adenomas are extremely rare, benign, primary lung tumors of unknown histogenesis that are characterized by proliferative type II alveolar epithelium and septal mesenchyma. Mostly incidental, they are clinically important as they can imitate benign primary and secondary malignant tumors and at times are difficult to differentiate from early-stage lung cancer. We describe the case of a 59-year-old man with an incidental microscopic alveolar adenoma coexisting with poorly differentiated lung carcinoma.

CASE PRESENTATION

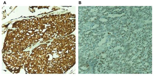
A 59-year-old Caucasian man with a medical history of smoking and chronic obstructive pulmonary disease was incidentally found to have a right upper lobe mass while undergoing a computed tomographic chest scan as part of a chronic obstructive pulmonary disease clinical trial. Our patient underwent a right upper lobectomy after a bronchoscopic biopsy of the mass revealed the mass to be a carcinoma. A pathological examination revealed an incidental, small, 0.2 cm, well circumscribed lesion on the staple line margin of the lobectomy in addition to the carcinoma. Histopathological and immunohistochemical examinations revealed the lesion to be an alveolar adenoma.

CONCLUSIONS

We report the rare presentation of a microscopic alveolar adenoma coexisting with lung carcinoma. Alveolar adenoma is an entirely benign incidental neoplasm that can be precisely diagnosed using immunohistochemical analysis in addition to its unique histopathological characteristics.

摘要

引言

肺泡腺瘤极为罕见,是一种组织发生不明的良性原发性肺肿瘤,其特征为增殖性II型肺泡上皮和间隔间充质。多数为偶然发现,临床上具有重要意义,因为它们可模仿良性原发性和继发性恶性肿瘤,有时难以与早期肺癌区分。我们描述了一例59岁男性病例,其偶然发现的微小肺泡腺瘤与低分化肺癌并存。

病例介绍

一名59岁有吸烟史和慢性阻塞性肺疾病病史的白种男性,在作为慢性阻塞性肺疾病临床试验一部分进行胸部计算机断层扫描时,偶然发现右上叶有一肿块。在对该肿块进行支气管镜活检显示为癌后,我们的患者接受了右上叶切除术。病理检查显示,除了癌之外,在叶切除术吻合钉切缘处偶然发现一个小的、0.2 cm、边界清晰的病变。组织病理学和免疫组织化学检查显示该病变为肺泡腺瘤。

结论

我们报告了微小肺泡腺瘤与肺癌并存的罕见表现。肺泡腺瘤是一种完全良性的偶然肿瘤,除了其独特的组织病理学特征外,还可通过免疫组织化学分析进行精确诊断。

https://cdn.ncbi.nlm.nih.gov/pmc/blobs/b838/3113997/e7cb54cc64f9/1752-1947-5-187-2.jpg
https://cdn.ncbi.nlm.nih.gov/pmc/blobs/b838/3113997/3aa16649f6b7/1752-1947-5-187-1.jpg
https://cdn.ncbi.nlm.nih.gov/pmc/blobs/b838/3113997/e7cb54cc64f9/1752-1947-5-187-2.jpg
https://cdn.ncbi.nlm.nih.gov/pmc/blobs/b838/3113997/3aa16649f6b7/1752-1947-5-187-1.jpg
https://cdn.ncbi.nlm.nih.gov/pmc/blobs/b838/3113997/e7cb54cc64f9/1752-1947-5-187-2.jpg

相似文献

1
An unusual case of a microscopic alveolar adenoma coexisting with lung carcinoma: a case report and review of the literature.一例罕见的微小肺泡腺瘤与肺癌共存病例报告及文献复习
J Med Case Rep. 2011 May 18;5:187. doi: 10.1186/1752-1947-5-187.
2
Alveolar Adenoma: A Rare Benign Tumour of the Lung with A Challenging Diagnosis.肺泡腺瘤:一种罕见的肺部良性肿瘤,其诊断具有挑战性。
Turk Patoloji Derg. 2022;38(2):158-161. doi: 10.5146/tjpath.2021.01547.
3
Coexistence of lung alveolar adenoma with cerebral arteriovenous malformations: A case report and literature review.肺泡腺瘤与脑动静脉畸形并存:一例报告及文献复习
Oncol Lett. 2015 Jul;10(1):250-254. doi: 10.3892/ol.2015.3225. Epub 2015 May 19.
4
[Alveolar adenoma -- a rare lung tumour].[肺泡腺瘤——一种罕见的肺肿瘤]
Srp Arh Celok Lek. 2007 Jul-Aug;135(7-8):461-4. doi: 10.2298/sarh0708461s.
5
Alveolar adenoma with poor imaging: a case report.影像学表现不佳的肺泡腺瘤:一例报告
J Int Med Res. 2020 Mar;48(3):300060519885269. doi: 10.1177/0300060519885269. Epub 2019 Nov 10.
6
Alveolar adenoma with a single cyst: A case report.伴有单个囊肿的肺泡腺瘤:一例报告。
Med Int (Lond). 2024 Feb 16;4(2):16. doi: 10.3892/mi.2024.140. eCollection 2024 Mar-Apr.
7
Alveolar adenoma combined with multifocal cysts: case report and literature review.肺泡腺瘤合并多灶性囊肿:病例报告及文献复习
J Int Med Res. 2013 Jun;41(3):895-906. doi: 10.1177/0300060513477304. Epub 2013 May 7.
8
[Alveolar adenoma--a rare pulmonary mass: case report and review of the literature].[肺泡腺瘤——一种罕见的肺部肿块:病例报告及文献复习]
Zentralbl Chir. 2009 Sep;134(5):478-80. doi: 10.1055/s-0028-1098763. Epub 2009 Sep 15.
9
Alveolar adenoma of the lung: a clinicopathological description of a case of this very unusual tumour.肺腺泡腺瘤:一例极为罕见肿瘤的临床病理描述
J Clin Pathol. 2005 Nov;58(11):1211-4. doi: 10.1136/jcp.2004.020800.
10
Alveolar adenoma and coexisting atypical adenomatous hyperplasia: a case report and literature review.肺泡性腺瘤并共存不典型腺瘤性增生:病例报告及文献复习。
Pathologica. 2022 Aug;114(4):326-331. doi: 10.32074/1591-951X-755.

引用本文的文献

1
Alveolar adenoma with a single cyst: A case report.伴有单个囊肿的肺泡腺瘤:一例报告。
Med Int (Lond). 2024 Feb 16;4(2):16. doi: 10.3892/mi.2024.140. eCollection 2024 Mar-Apr.
2
Enlarging pulmonary cyst: a rare form of alveolar adenoma.肺大囊性腺瘤:一种罕见的肺泡性腺瘤形式。
J Cardiothorac Surg. 2023 Oct 31;18(1):303. doi: 10.1186/s13019-023-02409-9.
3
Alveolar Adenoma With CD34 Diffusely Positive Stromal Cells: A Rare Case Report and Literature Review.肺泡腺瘤伴 CD34 弥漫阳性间质细胞:罕见病例报告及文献复习。

本文引用的文献

1
A small alveolar adenoma resected by thoracoscopic surgery.
Ann Thorac Surg. 2009 Mar;87(3):956-7. doi: 10.1016/j.athoracsur.2008.07.078.
2
Alveolar adenoma of the lung. Immunohistochemical and flow cytometric characteristics of two new cases and a review of the literature.肺腺泡腺瘤。两例新病例的免疫组织化学和流式细胞术特征及文献复习
APMIS. 2007 Dec;115(12):1443-9. doi: 10.1111/j.1600-0463.2007.00762.x.
3
Alveolar adenoma: an unusual lung tumor.肺泡腺瘤:一种罕见的肺部肿瘤。
J Investig Med High Impact Case Rep. 2023 Jan-Dec;11:23247096231181959. doi: 10.1177/23247096231181959.
4
Alveolar adenoma and coexisting atypical adenomatous hyperplasia: a case report and literature review.肺泡性腺瘤并共存不典型腺瘤性增生:病例报告及文献复习。
Pathologica. 2022 Aug;114(4):326-331. doi: 10.32074/1591-951X-755.
5
Malignant transformation of alveolar adenoma to papillary adenocarcinoma: a case report.肺泡腺瘤恶变至乳头状腺癌:一例报告
J Thorac Dis. 2016 May;8(5):E358-61. doi: 10.21037/jtd.2016.03.37.
6
Coexistence of lung alveolar adenoma with cerebral arteriovenous malformations: A case report and literature review.肺泡腺瘤与脑动静脉畸形并存:一例报告及文献复习
Oncol Lett. 2015 Jul;10(1):250-254. doi: 10.3892/ol.2015.3225. Epub 2015 May 19.
7
CD34 Expression in the Stromal Cells of Alveolar Adenoma.肺泡腺瘤基质细胞中的CD34表达
Case Rep Med. 2012;2012:913517. doi: 10.1155/2012/913517. Epub 2012 Oct 16.
Interact Cardiovasc Thorac Surg. 2003 Sep;2(3):345-7. doi: 10.1016/S1569-9293(03)00067-7.
4
The new World Health Organization classification of lung tumours.世界卫生组织肺癌新分类
Eur Respir J. 2001 Dec;18(6):1059-68. doi: 10.1183/09031936.01.00275301.
5
[Alveolar adenoma: a rare peripheral pulmonary tumor].肺泡腺瘤:一种罕见的肺外周肿瘤
Ann Pathol. 1999 Sep;19(4):325-8.
6
Alveolar adenoma: a histochemical, immunohistochemical, and ultrastructural analysis of 17 cases.
Hum Pathol. 1999 Feb;30(2):158-67. doi: 10.1016/s0046-8177(99)90270-8.
7
Pulmonary nodule caused by an alveolar adenoma of the lung.由肺的肺泡腺瘤引起的肺结节。
Virchows Arch. 1997 Feb;430(2):181-4. doi: 10.1007/BF01008040.
8
Alveolar adenoma of the lung: further characterization of this uncommon tumour.肺腺泡腺瘤:这种罕见肿瘤的进一步特征描述
Virchows Arch. 1996 Oct;429(2-3):101-8. doi: 10.1007/BF00192432.
9
[Alveolar adenoma of the lung. Immunohistochemical characterization of type II pneumocytes].
Pathologe. 1996 Mar;17(2):150-3. doi: 10.1007/s002920050149.
10
Method for analysis of cellular DNA content of paraffin-embedded pathological material using flow cytometry.使用流式细胞术分析石蜡包埋病理材料细胞DNA含量的方法。
J Histochem Cytochem. 1983 Nov;31(11):1333-5. doi: 10.1177/31.11.6619538.