• 文献检索
  • 文档翻译
  • 深度研究
  • 学术资讯
  • Suppr Zotero 插件Zotero 插件
  • 邀请有礼
  • 套餐&价格
  • 历史记录
应用&插件
Suppr Zotero 插件Zotero 插件浏览器插件Mac 客户端Windows 客户端微信小程序
定价
高级版会员购买积分包购买API积分包
服务
文献检索文档翻译深度研究API 文档MCP 服务
关于我们
关于 Suppr公司介绍联系我们用户协议隐私条款
关注我们

Suppr 超能文献

核心技术专利:CN118964589B侵权必究
粤ICP备2023148730 号-1Suppr @ 2026

文献检索

告别复杂PubMed语法,用中文像聊天一样搜索,搜遍4000万医学文献。AI智能推荐,让科研检索更轻松。

立即免费搜索

文件翻译

保留排版,准确专业,支持PDF/Word/PPT等文件格式,支持 12+语言互译。

免费翻译文档

深度研究

AI帮你快速写综述,25分钟生成高质量综述,智能提取关键信息,辅助科研写作。

立即免费体验

放射治疗后给予亚麻籽饮食可提高小鼠的生存率并减轻放射性肺损伤。

Dietary flaxseed administered post thoracic radiation treatment improves survival and mitigates radiation-induced pneumonopathy in mice.

机构信息

Department of Medicine, Pulmonary Allergy and Critical Care Division, University of Pennsylvania Medical Center, Philadelphia, PA 19104, USA.

出版信息

BMC Cancer. 2011 Jun 24;11:269. doi: 10.1186/1471-2407-11-269.

DOI:10.1186/1471-2407-11-269
PMID:21702963
原文链接:https://pmc.ncbi.nlm.nih.gov/articles/PMC3146937/
Abstract

BACKGROUND

Flaxseed (FS) is a dietary supplement known for its antioxidant and anti-inflammatory properties. Radiation exposure of lung tissues occurs either when given therapeutically to treat intrathoracic malignancies or incidentally, such as in the case of exposure from inhaled radioisotopes released after the detonation of a radiological dispersion devise (RDD). Such exposure is associated with pulmonary inflammation, oxidative tissue damage and irreversible lung fibrosis. We previously reported that dietary FS prevents pneumonopathy in a rodent model of thoracic X-ray radiation therapy (XRT). However, flaxseed's therapeutic usefulness in mitigating radiation effects post-exposure has never been evaluated.

METHODS

We evaluated the effects of a 10%FS or isocaloric control diet given to mice (C57/BL6) in 2 separate experiments (n = 15-25 mice/group) on 0, 2, 4, 6 weeks post a single dose 13.5 Gy thoracic XRT and compared it to an established radiation-protective diet given preventively, starting at 3 weeks prior to XRT. Lungs were evaluated four months post-XRT for blood oxygenation levels, inflammation and fibrosis.

RESULTS

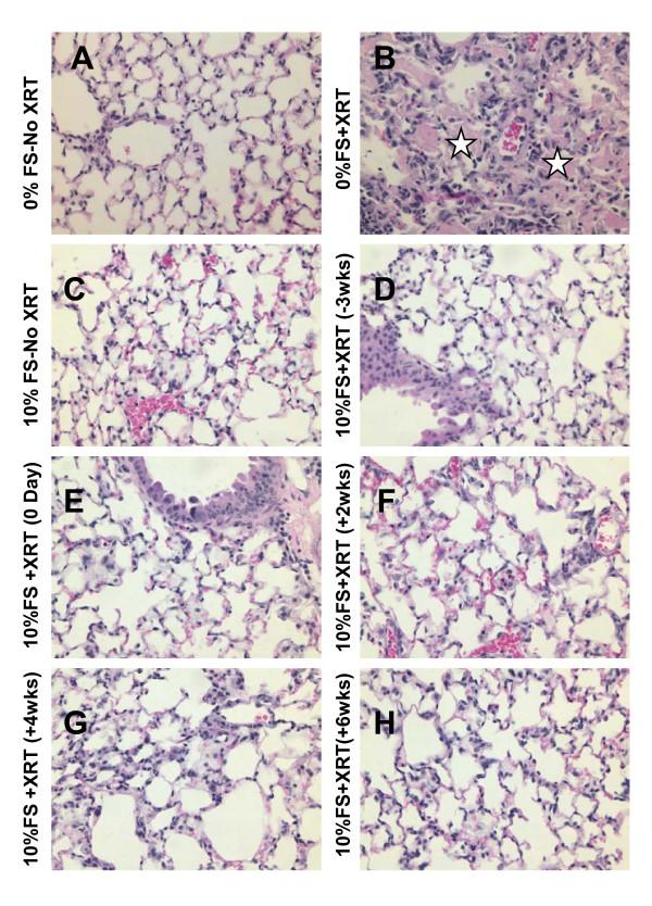
Irradiated mice fed a 0%FS diet had a 4-month survival rate of 40% as compared to 70-88% survival in irradiated FS-fed mouse groups. Additionally, all irradiated FS-fed mice had decreased fibrosis compared to those fed 0%FS. Lung OH-Proline content ranged from 96.5 ± 7.1 to 110.2 ± 7.7 μg/ml (Mean ± SEM) in all irradiated FS-fed mouse groups, as compared to 138 ± 10.8 μg/ml for mice on 0%FS. Concomitantly, bronchoalveolar lavage (BAL) protein and weight loss associated with radiation cachexia was significantly decreased in all FS-fed groups. Inflammatory cell influx to lungs also decreased significantly except when FS diet was delayed by 4 and 6 weeks post XRT. All FS-fed mice (irradiated or not), maintained a higher blood oxygenation level as compared to mice on 0%FS. Similarly, multiplex cytokine analysis in the BAL fluid revealed a significant decrease of specific inflammatory cytokines in FS-fed mice.

CONCLUSIONS

Dietary FS given post-XRT mitigates radiation effects by decreasing pulmonary fibrosis, inflammation, cytokine secretion and lung damage while enhancing mouse survival. Dietary supplementation of FS may be a useful adjuvant treatment mitigating adverse effects of radiation in individuals exposed to inhaled radioisotopes or incidental radiation.

摘要

背景

亚麻籽(FS)是一种膳食补充剂,以其抗氧化和抗炎特性而闻名。肺组织的辐射暴露要么是在治疗胸腔恶性肿瘤时给予治疗,要么是在吸入放射性同位素释放后意外暴露,例如在放射性分散装置(RDD)爆炸后。这种暴露与肺部炎症、氧化组织损伤和不可逆的肺纤维化有关。我们之前报道过,饮食中的 FS 可预防胸部 X 射线放射治疗(XRT)的啮齿动物模型中的肺炎。然而,亚麻籽在暴露后减轻辐射影响的治疗用途从未得到过评估。

方法

我们在两项独立的实验中(每组 n = 15-25 只小鼠)评估了 10%FS 或等热量对照饮食对接受单次 13.5 Gy 胸部 XRT 后 0、2、4、6 周的小鼠的影响,并将其与预防性给予的既定辐射防护饮食进行了比较,该饮食在 XRT 前 3 周开始给予。在 XRT 后四个月评估肺的血氧水平、炎症和纤维化。

结果

喂食 0%FS 饮食的辐照小鼠的 4 个月存活率为 40%,而喂食 FS 的辐照小鼠组的存活率为 70-88%。此外,与喂食 0%FS 的小鼠相比,所有喂食 FS 的辐照小鼠的纤维化程度都有所降低。所有辐照的 FS 喂养小鼠的肺 OH-脯氨酸含量范围为 96.5 ± 7.1 至 110.2 ± 7.7 μg/ml(平均值 ± SEM),而喂食 0%FS 的小鼠为 138 ± 10.8 μg/ml。同时,所有 FS 喂养组的支气管肺泡灌洗液(BAL)蛋白和与辐射恶病质相关的体重减轻均显著减少。除了 FS 饮食在 XRT 后 4 周和 6 周延迟时,肺部炎症细胞浸润也显著减少。所有喂食 FS 的小鼠(辐照或未辐照)的血氧水平均高于喂食 0%FS 的小鼠。同样,BAL 液中的多重细胞因子分析显示,喂食 FS 的小鼠的特定炎症细胞因子显著减少。

结论

XRT 后给予饮食 FS 通过减少肺纤维化、炎症、细胞因子分泌和肺损伤来减轻辐射影响,同时提高小鼠的存活率。FS 的饮食补充可能是一种有用的辅助治疗方法,可以减轻吸入放射性同位素或意外辐射暴露个体的辐射的不良影响。

https://cdn.ncbi.nlm.nih.gov/pmc/blobs/f985/3146937/7f22eb93817b/1471-2407-11-269-9.jpg
https://cdn.ncbi.nlm.nih.gov/pmc/blobs/f985/3146937/24903f15f6b5/1471-2407-11-269-1.jpg
https://cdn.ncbi.nlm.nih.gov/pmc/blobs/f985/3146937/0279817f45ee/1471-2407-11-269-2.jpg
https://cdn.ncbi.nlm.nih.gov/pmc/blobs/f985/3146937/b5599d9cb0c0/1471-2407-11-269-3.jpg
https://cdn.ncbi.nlm.nih.gov/pmc/blobs/f985/3146937/81f2256d6d79/1471-2407-11-269-4.jpg
https://cdn.ncbi.nlm.nih.gov/pmc/blobs/f985/3146937/c2721f250702/1471-2407-11-269-5.jpg
https://cdn.ncbi.nlm.nih.gov/pmc/blobs/f985/3146937/b7473df22875/1471-2407-11-269-6.jpg
https://cdn.ncbi.nlm.nih.gov/pmc/blobs/f985/3146937/6764766a11d5/1471-2407-11-269-7.jpg
https://cdn.ncbi.nlm.nih.gov/pmc/blobs/f985/3146937/cfe2eb9e649e/1471-2407-11-269-8.jpg
https://cdn.ncbi.nlm.nih.gov/pmc/blobs/f985/3146937/7f22eb93817b/1471-2407-11-269-9.jpg
https://cdn.ncbi.nlm.nih.gov/pmc/blobs/f985/3146937/24903f15f6b5/1471-2407-11-269-1.jpg
https://cdn.ncbi.nlm.nih.gov/pmc/blobs/f985/3146937/0279817f45ee/1471-2407-11-269-2.jpg
https://cdn.ncbi.nlm.nih.gov/pmc/blobs/f985/3146937/b5599d9cb0c0/1471-2407-11-269-3.jpg
https://cdn.ncbi.nlm.nih.gov/pmc/blobs/f985/3146937/81f2256d6d79/1471-2407-11-269-4.jpg
https://cdn.ncbi.nlm.nih.gov/pmc/blobs/f985/3146937/c2721f250702/1471-2407-11-269-5.jpg
https://cdn.ncbi.nlm.nih.gov/pmc/blobs/f985/3146937/b7473df22875/1471-2407-11-269-6.jpg
https://cdn.ncbi.nlm.nih.gov/pmc/blobs/f985/3146937/6764766a11d5/1471-2407-11-269-7.jpg
https://cdn.ncbi.nlm.nih.gov/pmc/blobs/f985/3146937/cfe2eb9e649e/1471-2407-11-269-8.jpg
https://cdn.ncbi.nlm.nih.gov/pmc/blobs/f985/3146937/7f22eb93817b/1471-2407-11-269-9.jpg

相似文献

1
Dietary flaxseed administered post thoracic radiation treatment improves survival and mitigates radiation-induced pneumonopathy in mice.放射治疗后给予亚麻籽饮食可提高小鼠的生存率并减轻放射性肺损伤。
BMC Cancer. 2011 Jun 24;11:269. doi: 10.1186/1471-2407-11-269.
2
Radiation mitigating properties of the lignan component in flaxseed.亚麻籽中木脂素成分的辐射缓解特性。
BMC Cancer. 2013 Apr 4;13:179. doi: 10.1186/1471-2407-13-179.
3
Dietary flaxseed prevents radiation-induced oxidative lung damage, inflammation and fibrosis in a mouse model of thoracic radiation injury.在胸部放射性损伤小鼠模型中,膳食亚麻籽可预防辐射诱导的肺部氧化损伤、炎症和纤维化。
Cancer Biol Ther. 2009 Jan;8(1):47-53. doi: 10.4161/cbt.8.1.7092. Epub 2009 Jan 1.
4
Radioprotective role in lung of the flaxseed lignan complex enriched in the phenolic secoisolariciresinol diglucoside (SDG).富含酚类开环异落叶松脂二葡萄糖苷(SDG)的亚麻籽木脂素复合物对肺的放射防护作用。
Radiat Res. 2012 Dec;178(6):568-80. doi: 10.1667/RR2980.1. Epub 2012 Oct 29.
5
Dietary flaxseed modulates the miRNA profile in irradiated and non-irradiated murine lungs: a novel mechanism of tissue radioprotection by flaxseed.膳食亚麻籽调节辐射和非辐射的小鼠肺部中的 miRNA 谱:亚麻籽对组织辐射防护的新机制。
Cancer Biol Ther. 2014 Jul;15(7):930-7. doi: 10.4161/cbt.28905. Epub 2014 Apr 22.
6
Dietary flaxseed supplementation ameliorates inflammation and oxidative tissue damage in experimental models of acute lung injury in mice.在小鼠急性肺损伤实验模型中,膳食补充亚麻籽可改善炎症和氧化组织损伤。
J Nutr. 2006 Jun;136(6):1545-51. doi: 10.1093/jn/136.6.1545.
7
Systemic polyethylene glycol-modified (PEGylated) superoxide dismutase and catalase mixture attenuates radiation pulmonary fibrosis in the C57/bl6 mouse.全身性聚乙二醇修饰(聚乙二醇化)超氧化物歧化酶和过氧化氢酶混合物减轻C57/bl6小鼠的放射性肺纤维化。
Radiother Oncol. 2006 Nov;81(2):196-205. doi: 10.1016/j.radonc.2006.09.013. Epub 2006 Oct 27.
8
Isoflavone-mediated radioprotection involves regulation of early endothelial cell death and inflammatory signaling in Radiation-Induced lung injury.异黄酮介导的放射防护涉及调节辐射诱导肺损伤中早期内皮细胞死亡和炎症信号。
Int J Radiat Biol. 2020 Feb;96(2):245-256. doi: 10.1080/09553002.2020.1683642. Epub 2019 Nov 4.
9
Dietary flaxseed enhances antioxidant defenses and is protective in a mouse model of lung ischemia-reperfusion injury.膳食亚麻籽可增强抗氧化防御能力,并对小鼠肺缺血再灌注损伤模型具有保护作用。
Am J Physiol Lung Cell Mol Physiol. 2008 Feb;294(2):L255-65. doi: 10.1152/ajplung.00138.2007. Epub 2007 Dec 14.
10
Dietary curcumin increases antioxidant defenses in lung, ameliorates radiation-induced pulmonary fibrosis, and improves survival in mice.膳食姜黄素增加肺部抗氧化防御能力,改善辐射诱导的肺纤维化,并提高小鼠的存活率。
Radiat Res. 2010 May;173(5):590-601. doi: 10.1667/RR1522.1.

引用本文的文献

1
Anti-Cancer Properties of Flaxseed Proteome.亚麻籽蛋白质组的抗癌特性
Proteomes. 2023 Nov 16;11(4):37. doi: 10.3390/proteomes11040037.
2
Evaluation of Biomedical Applications for Linseed Extract: Antimicrobial, Antioxidant, Anti-Diabetic, and Anti-Inflammatory Activities In Vitro.亚麻籽提取物的生物医学应用评估:体外抗菌、抗氧化、抗糖尿病和抗炎活性
J Funct Biomater. 2023 May 28;14(6):300. doi: 10.3390/jfb14060300.
3
Polyphenols as Potential Protectors against Radiation-Induced Adverse Effects in Patients with Thoracic Cancer.

本文引用的文献

1
Two strategies for the development of mitochondrion-targeted small molecule radiation damage mitigators.两种靶向线粒体小分子辐射损伤保护剂的研发策略。
Int J Radiat Oncol Biol Phys. 2011 Jul 1;80(3):860-8. doi: 10.1016/j.ijrobp.2011.01.059. Epub 2011 Apr 13.
2
The cardiovascular effects of flaxseed and its omega-3 fatty acid, alpha-linolenic acid.亚麻籽及其 ω-3 脂肪酸 α-亚麻酸对心血管的影响。
Can J Cardiol. 2010 Nov;26(9):489-96. doi: 10.1016/s0828-282x(10)70455-4.
3
Dietary curcumin increases antioxidant defenses in lung, ameliorates radiation-induced pulmonary fibrosis, and improves survival in mice.
多酚作为胸段癌患者辐射诱导不良反应的潜在保护剂。
Cancers (Basel). 2023 Apr 22;15(9):2412. doi: 10.3390/cancers15092412.
4
Inter-agency perspective: Translating advances in biomarker discovery and medical countermeasures development between terrestrial and space radiation environments.跨机构视角:转化地球和空间辐射环境中生物标志物发现和医疗对策发展方面的进展。
Life Sci Space Res (Amst). 2022 Nov;35:9-19. doi: 10.1016/j.lssr.2022.06.004. Epub 2022 Jun 14.
5
Synthetic Secoisolariciresinol Diglucoside Attenuates Established Pain, Oxidative Stress and Neuroinflammation in a Rodent Model of Painful Radiculopathy.合成的开环异落叶松脂素二葡萄糖苷可减轻神经根病疼痛啮齿动物模型中已确立的疼痛、氧化应激和神经炎症。
Antioxidants (Basel). 2020 Nov 30;9(12):1209. doi: 10.3390/antiox9121209.
6
The Predictive Value of MLR for Radiation Pneumonia During Radiotherapy of Thoracic Tumor Patients.MLR对胸部肿瘤患者放疗期间放射性肺炎的预测价值
Cancer Manag Res. 2020 Sep 21;12:8695-8701. doi: 10.2147/CMAR.S268964. eCollection 2020.
7
Study logistics that can impact medical countermeasure efficacy testing in mouse models of radiation injury.研究可能影响辐射损伤小鼠模型中医疗对策功效测试的后勤问题。
Int J Radiat Biol. 2021;97(sup1):S151-S167. doi: 10.1080/09553002.2020.1820599. Epub 2020 Sep 24.
8
Insights into the Role of Bioactive Food Ingredients and the Microbiome in Idiopathic Pulmonary Fibrosis.生物活性食物成分和微生物组在特发性肺纤维化中的作用研究进展。
Int J Mol Sci. 2020 Aug 22;21(17):6051. doi: 10.3390/ijms21176051.
9
Targets for protection and mitigation of radiation injury.辐射损伤防护与缓解的靶点。
Cell Mol Life Sci. 2020 Aug;77(16):3129-3159. doi: 10.1007/s00018-020-03479-x. Epub 2020 Feb 18.
10
Radiation activates myeloperoxidase (MPO) to generate active chlorine species (ACS) via a dephosphorylation mechanism - inhibitory effect of LGM2605.辐射通过去磷酸化机制激活髓过氧化物酶 (MPO) 生成活性氯物种 (ACS) - LGM2605 的抑制作用。
Biochim Biophys Acta Gen Subj. 2020 Jul;1864(7):129548. doi: 10.1016/j.bbagen.2020.129548. Epub 2020 Feb 5.
膳食姜黄素增加肺部抗氧化防御能力,改善辐射诱导的肺纤维化,并提高小鼠的存活率。
Radiat Res. 2010 May;173(5):590-601. doi: 10.1667/RR1522.1.
4
Prevention and mitigation of acute death of mice after abdominal irradiation by the antioxidant N-acetyl-cysteine (NAC).抗氧化剂 N-乙酰半胱氨酸 (NAC) 预防和减轻腹部照射后小鼠的急性死亡。
Radiat Res. 2010 May;173(5):579-89. doi: 10.1667/RR2030.1.
5
Radioprotectors and mitigators of radiation-induced normal tissue injury.辐射诱导正常组织损伤的放射防护剂和减轻剂。
Oncologist. 2010;15(4):360-71. doi: 10.1634/theoncologist.2009-S104.
6
Early and late administration of MnTE-2-PyP5+ in mitigation and treatment of radiation-induced lung damage.早期和晚期给予 MnTE-2-PyP5+ 可减轻和治疗放射性肺损伤。
Free Radic Biol Med. 2010 Apr 15;48(8):1034-43. doi: 10.1016/j.freeradbiomed.2010.01.020. Epub 2010 Jan 20.
7
Pulse-oximetry accurately predicts lung pathology and the immune response during influenza infection.脉搏血氧饱和度测定法能准确预测流感感染期间的肺部病理状况和免疫反应。
Virology. 2009 Aug 1;390(2):151-6. doi: 10.1016/j.virol.2009.05.004. Epub 2009 Jun 2.
8
Bronchoalveolar lavage findings of radiation induced lung damage in rats.大鼠放射性肺损伤的支气管肺泡灌洗结果
J Radiat Res. 2009 May;50(3):177-82. doi: 10.1269/jrr.08089. Epub 2009 Apr 18.
9
Radiation produces differential changes in cytokine profiles in radiation lung fibrosis sensitive and resistant mice.辐射在辐射性肺纤维化敏感和抗性小鼠的细胞因子谱中产生差异变化。
J Hematol Oncol. 2009 Feb 2;2:6. doi: 10.1186/1756-8722-2-6.
10
Dietary flaxseed prevents radiation-induced oxidative lung damage, inflammation and fibrosis in a mouse model of thoracic radiation injury.在胸部放射性损伤小鼠模型中,膳食亚麻籽可预防辐射诱导的肺部氧化损伤、炎症和纤维化。
Cancer Biol Ther. 2009 Jan;8(1):47-53. doi: 10.4161/cbt.8.1.7092. Epub 2009 Jan 1.