Department of Pharmacology, Faculty of Medicine, Tehran University of Medical Sciences, Tehran, Iran.
Int J Nanomedicine. 2011;6:855-62. doi: 10.2147/IJN.S17065. Epub 2011 Apr 27.
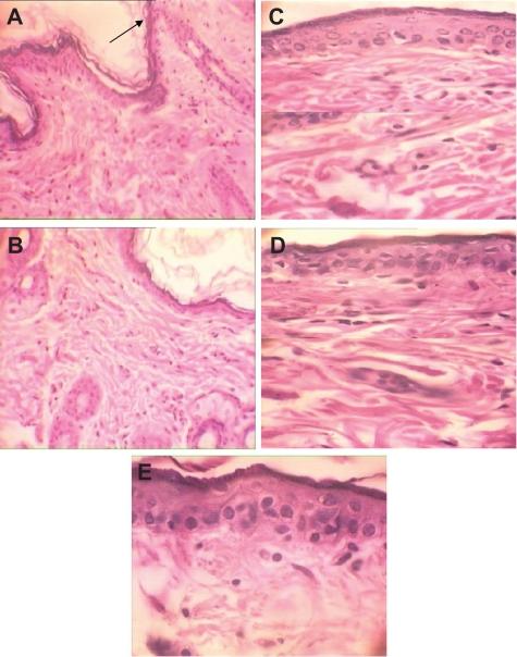
Silver has been used as an antimicrobial agent for a long time in different forms, but silver nanoparticles (nanosilver) have recently been recognized as potent antimicrobial agents. Although nanosilver is finding diverse medical applications such as silver-based dressings and silver-coated medical devices, its dermal and systemic toxicity via dermal use has not yet been identified. In this study, we analyzed the potential toxicity of colloidal nanosilver in acute and subchronic guinea pigs. Before toxicity assessments, the size of colloidal nanosilver was recorded in sizes <100 nm by X-ray diffraction and transmission electron microscopy. For toxicological assessments, male guinea pigs weighing 350 to 400 g were exposed to two different concentrations of nanosilver (1000 and 10,000 μg/mL) in an acute study and three concentrations of nanosilver (100, 1000, and 10,000 μg/mL) in a subchronic study. Toxic responses were assessed by clinical and histopathologic parameters. In all experimental animals the sites of exposure were scored for any type of dermal toxicity and compared with negative control and positive control groups. In autopsy studies during the acute test, no significant changes in organ weight or major macroscopic changes were detected, but dose-dependent histopathologic abnormalities were seen in skin, liver, and spleen of all test groups. In addition, experimental animals subjected to subchronic tests showed greater tissue abnormalities than the subjects of acute tests. It seems that colloidal nanosilver has the potential to provide target organ toxicities in a dose- and time-dependent manner.
银在不同形式下作为一种抗菌剂已经使用了很长时间,但纳米银(nanosilver)最近已被认为是一种有效的抗菌剂。虽然纳米银在基于银的敷料和银涂层医疗器械等方面有多种医疗应用,但它通过皮肤使用的皮肤和全身毒性尚未确定。在这项研究中,我们分析了胶体纳米银在急性和亚慢性豚鼠中的潜在毒性。在毒性评估之前,通过 X 射线衍射和透射电子显微镜记录胶体纳米银的尺寸<100nm。在毒性评估中,体重为 350 至 400g 的雄性豚鼠在急性研究中暴露于两种不同浓度的纳米银(1000 和 10000μg/ml),在亚慢性研究中暴露于三种浓度的纳米银(100、1000 和 10000μg/ml)。通过临床和组织病理学参数评估毒性反应。在所有实验动物中,暴露部位均按任何类型的皮肤毒性进行评分,并与阴性对照和阳性对照组进行比较。在急性试验的尸检研究中,未发现器官重量或主要宏观变化的显著变化,但所有试验组的皮肤、肝脏和脾脏均出现剂量依赖性组织病理学异常。此外,接受亚慢性试验的实验动物比急性试验的动物表现出更大的组织异常。似乎胶体纳米银具有以剂量和时间依赖方式提供靶器官毒性的潜力。