• 文献检索
  • 文档翻译
  • 深度研究
  • 学术资讯
  • Suppr Zotero 插件Zotero 插件
  • 邀请有礼
  • 套餐&价格
  • 历史记录
应用&插件
Suppr Zotero 插件Zotero 插件浏览器插件Mac 客户端Windows 客户端微信小程序
定价
高级版会员购买积分包购买API积分包
服务
文献检索文档翻译深度研究API 文档MCP 服务
关于我们
关于 Suppr公司介绍联系我们用户协议隐私条款
关注我们

Suppr 超能文献

核心技术专利:CN118964589B侵权必究
粤ICP备2023148730 号-1Suppr @ 2026

文献检索

告别复杂PubMed语法,用中文像聊天一样搜索,搜遍4000万医学文献。AI智能推荐,让科研检索更轻松。

立即免费搜索

文件翻译

保留排版,准确专业,支持PDF/Word/PPT等文件格式,支持 12+语言互译。

免费翻译文档

深度研究

AI帮你快速写综述,25分钟生成高质量综述,智能提取关键信息,辅助科研写作。

立即免费体验

SIVQ的自动向量选择与并行计算集成MATLAB™:支持大规模和高通量图像分析研究的创新方法。

Automated vector selection of SIVQ and parallel computing integration MATLAB™: Innovations supporting large-scale and high-throughput image analysis studies.

作者信息

Cheng Jerome, Hipp Jason, Monaco James, Lucas David R, Madabhushi Anant, Balis Ulysses J

机构信息

Department of Pathology, University of Michigan Health System, M4233A Medical Science I, 1301 Catherine, Ann Arbor, Michigan 48109-0602.

出版信息

J Pathol Inform. 2011;2:37. doi: 10.4103/2153-3539.83752. Epub 2011 Aug 13.

DOI:10.4103/2153-3539.83752
PMID:21886893
原文链接:https://pmc.ncbi.nlm.nih.gov/articles/PMC3162746/
Abstract

INTRODUCTION

Spatially invariant vector quantization (SIVQ) is a texture and color-based image matching algorithm that queries the image space through the use of ring vectors. In prior studies, the selection of one or more optimal vectors for a particular feature of interest required a manual process, with the user initially stochastically selecting candidate vectors and subsequently testing them upon other regions of the image to verify the vector's sensitivity and specificity properties (typically by reviewing a resultant heat map). In carrying out the prior efforts, the SIVQ algorithm was noted to exhibit highly scalable computational properties, where each region of analysis can take place independently of others, making a compelling case for the exploration of its deployment on high-throughput computing platforms, with the hypothesis that such an exercise will result in performance gains that scale linearly with increasing processor count.

METHODS

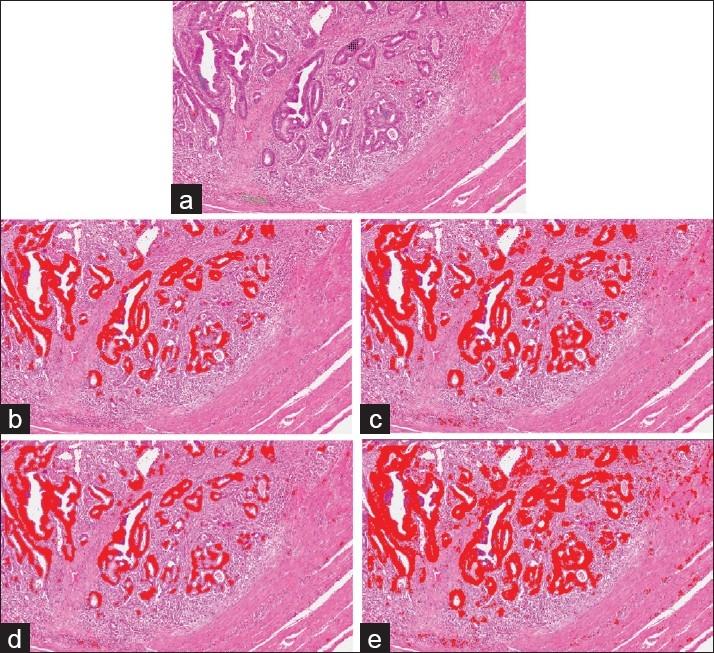
An automated process was developed for the selection of optimal ring vectors to serve as the predicate matching operator in defining histopathological features of interest. Briefly, candidate vectors were generated from every possible coordinate origin within a user-defined vector selection area (VSA) and subsequently compared against user-identified positive and negative "ground truth" regions on the same image. Each vector from the VSA was assessed for its goodness-of-fit to both the positive and negative areas via the use of the receiver operating characteristic (ROC) transfer function, with each assessment resulting in an associated area-under-the-curve (AUC) figure of merit.

RESULTS

Use of the above-mentioned automated vector selection process was demonstrated in two cases of use: First, to identify malignant colonic epithelium, and second, to identify soft tissue sarcoma. For both examples, a very satisfactory optimized vector was identified, as defined by the AUC metric. Finally, as an additional effort directed towards attaining high-throughput capability for the SIVQ algorithm, we demonstrated the successful incorporation of it with the MATrix LABoratory (MATLAB™) application interface.

CONCLUSION

The SIVQ algorithm is suitable for automated vector selection settings and high throughput computation.

摘要

引言

空间不变矢量量化(SIVQ)是一种基于纹理和颜色的图像匹配算法,它通过使用环形矢量来查询图像空间。在先前的研究中,为特定感兴趣特征选择一个或多个最优矢量需要手动过程,用户最初随机选择候选矢量,随后在图像的其他区域对其进行测试,以验证矢量的敏感性和特异性属性(通常通过查看生成的热图)。在进行先前的工作时,人们注意到SIVQ算法具有高度可扩展的计算属性,其中每个分析区域都可以独立于其他区域进行,这使得探索其在高通量计算平台上的部署成为一个有吸引力的案例,假设这样的操作将带来与处理器数量增加成线性比例的性能提升。

方法

开发了一种自动过程,用于选择最优环形矢量,以作为定义感兴趣的组织病理学特征的谓词匹配算子。简而言之,候选矢量从用户定义的矢量选择区域(VSA)内的每个可能坐标原点生成,随后与同一图像上用户确定的正、负“真值”区域进行比较。通过使用接收器操作特征(ROC)传递函数,对VSA中的每个矢量与正、负区域的拟合优度进行评估,每次评估都会产生一个相关的曲线下面积(AUC)品质因数。

结果

在两个应用案例中展示了上述自动矢量选择过程的使用:第一,识别恶性结肠上皮;第二,识别软组织肉瘤。对于这两个例子,如AUC指标所定义的,都确定了一个非常令人满意的优化矢量。最后,作为为SIVQ算法实现高通量能力的额外努力,我们展示了它与MATrix LABoratory(MATLAB™)应用接口的成功整合。

结论

SIVQ算法适用于自动矢量选择设置和高通量计算。

https://cdn.ncbi.nlm.nih.gov/pmc/blobs/36c4/3162746/42823950cef8/JPI-2-37-g006.jpg
https://cdn.ncbi.nlm.nih.gov/pmc/blobs/36c4/3162746/aa906c68b4ee/JPI-2-37-g001.jpg
https://cdn.ncbi.nlm.nih.gov/pmc/blobs/36c4/3162746/5a3851ca8b83/JPI-2-37-g002.jpg
https://cdn.ncbi.nlm.nih.gov/pmc/blobs/36c4/3162746/2e173e0eed4d/JPI-2-37-g003.jpg
https://cdn.ncbi.nlm.nih.gov/pmc/blobs/36c4/3162746/7e738bdb16aa/JPI-2-37-g004.jpg
https://cdn.ncbi.nlm.nih.gov/pmc/blobs/36c4/3162746/7344cc77936a/JPI-2-37-g005.jpg
https://cdn.ncbi.nlm.nih.gov/pmc/blobs/36c4/3162746/42823950cef8/JPI-2-37-g006.jpg
https://cdn.ncbi.nlm.nih.gov/pmc/blobs/36c4/3162746/aa906c68b4ee/JPI-2-37-g001.jpg
https://cdn.ncbi.nlm.nih.gov/pmc/blobs/36c4/3162746/5a3851ca8b83/JPI-2-37-g002.jpg
https://cdn.ncbi.nlm.nih.gov/pmc/blobs/36c4/3162746/2e173e0eed4d/JPI-2-37-g003.jpg
https://cdn.ncbi.nlm.nih.gov/pmc/blobs/36c4/3162746/7e738bdb16aa/JPI-2-37-g004.jpg
https://cdn.ncbi.nlm.nih.gov/pmc/blobs/36c4/3162746/7344cc77936a/JPI-2-37-g005.jpg
https://cdn.ncbi.nlm.nih.gov/pmc/blobs/36c4/3162746/42823950cef8/JPI-2-37-g006.jpg

相似文献

1
Automated vector selection of SIVQ and parallel computing integration MATLAB™: Innovations supporting large-scale and high-throughput image analysis studies.SIVQ的自动向量选择与并行计算集成MATLAB™:支持大规模和高通量图像分析研究的创新方法。
J Pathol Inform. 2011;2:37. doi: 10.4103/2153-3539.83752. Epub 2011 Aug 13.
2
Spatially Invariant Vector Quantization: A pattern matching algorithm for multiple classes of image subject matter including pathology.空间不变矢量量化:一种用于包括病理学在内的多类图像主题的模式匹配算法。
J Pathol Inform. 2011 Feb 26;2:13. doi: 10.4103/2153-3539.77175.
3
Integration of architectural and cytologic driven image algorithms for prostate adenocarcinoma identification.基于架构和细胞驱动的图像算法融合用于前列腺腺癌识别。
Anal Cell Pathol (Amst). 2012;35(4):251-65. doi: 10.3233/ACP-2012-0054.
4
Optimization of complex cancer morphology detection using the SIVQ pattern recognition algorithm.利用 SIVQ 模式识别算法优化复杂癌症形态检测。
Anal Cell Pathol (Amst). 2012;35(1):41-50. doi: 10.3233/ACP-2011-0040.
5
SIVQ-aided laser capture microdissection: A tool for high-throughput expression profiling.SIVQ辅助激光捕获显微切割:一种用于高通量表达谱分析的工具。
J Pathol Inform. 2011 Mar 31;2:19. doi: 10.4103/2153-3539.78500.
6
Image microarrays derived from tissue microarrays (IMA-TMA): New resource for computer-aided diagnostic algorithm development.源自组织微阵列的图像微阵列(IMA-TMA):用于计算机辅助诊断算法开发的新资源。
J Pathol Inform. 2012;3:24. doi: 10.4103/2153-3539.98168. Epub 2012 Jul 12.
7
SIVQ-LCM protocol for the ArcturusXT instrument.适用于ArcturusXT仪器的SIVQ-LCM方案。
J Vis Exp. 2014 Jul 23(89):51662. doi: 10.3791/51662.
8
A new and fast image feature selection method for developing an optimal mammographic mass detection scheme.一种用于开发最佳乳腺钼靶肿块检测方案的新型快速图像特征选择方法。
Med Phys. 2014 Aug;41(8):081906. doi: 10.1118/1.4890080.
9
Computer-Aided Laser Dissection: A Microdissection Workflow Leveraging Image Analysis Tools.计算机辅助激光解剖:一种利用图像分析工具的显微解剖工作流程。
J Pathol Inform. 2018 Dec 11;9:45. doi: 10.4103/jpi.jpi_60_18. eCollection 2018.
10
Optimization of breast mass classification using sequential forward floating selection (SFFS) and a support vector machine (SVM) model.使用顺序前向浮动选择(SFFS)和支持向量机(SVM)模型优化乳腺肿块分类
Int J Comput Assist Radiol Surg. 2014 Nov;9(6):1005-20. doi: 10.1007/s11548-014-0992-1. Epub 2014 Mar 25.

引用本文的文献

1
Computer-Aided Laser Dissection: A Microdissection Workflow Leveraging Image Analysis Tools.计算机辅助激光解剖:一种利用图像分析工具的显微解剖工作流程。
J Pathol Inform. 2018 Dec 11;9:45. doi: 10.4103/jpi.jpi_60_18. eCollection 2018.
2
An Assessment of Imaging Informatics for Precision Medicine in Cancer.癌症精准医学中的影像信息学评估
Yearb Med Inform. 2017 Aug;26(1):110-119. doi: 10.15265/IY-2017-041. Epub 2017 Sep 11.
3
Novel genotype-phenotype associations in human cancers enabled by advanced molecular platforms and computational analysis of whole slide images.

本文引用的文献

1
SIVQ-aided laser capture microdissection: A tool for high-throughput expression profiling.SIVQ辅助激光捕获显微切割:一种用于高通量表达谱分析的工具。
J Pathol Inform. 2011 Mar 31;2:19. doi: 10.4103/2153-3539.78500.
2
Spatially Invariant Vector Quantization: A pattern matching algorithm for multiple classes of image subject matter including pathology.空间不变矢量量化:一种用于包括病理学在内的多类图像主题的模式匹配算法。
J Pathol Inform. 2011 Feb 26;2:13. doi: 10.4103/2153-3539.77175.
先进分子平台及全切片图像计算分析助力下的人类癌症新型基因型-表型关联
Lab Invest. 2015 Apr;95(4):366-76. doi: 10.1038/labinvest.2014.153. Epub 2015 Jan 19.
4
SIVQ-LCM protocol for the ArcturusXT instrument.适用于ArcturusXT仪器的SIVQ-LCM方案。
J Vis Exp. 2014 Jul 23(89):51662. doi: 10.3791/51662.
5
Semiautomated laser capture microdissection of lung adenocarcinoma cytology samples.肺腺癌细胞学样本的半自动激光捕获显微切割
Acta Cytol. 2012;56(6):622-31. doi: 10.1159/000342984. Epub 2012 Nov 24.
6
Image microarrays derived from tissue microarrays (IMA-TMA): New resource for computer-aided diagnostic algorithm development.源自组织微阵列的图像微阵列(IMA-TMA):用于计算机辅助诊断算法开发的新资源。
J Pathol Inform. 2012;3:24. doi: 10.4103/2153-3539.98168. Epub 2012 Jul 12.
7
Tryggo: Old norse for truth: The real truth about ground truth: New insights into the challenges of generating ground truth maps for WSI CAD algorithm evaluation.Tryggo:古挪威语中意为“真相”:关于地面真值的真正真相:对为全切片图像计算机辅助检测算法评估生成地面真值图所面临挑战的新见解。
J Pathol Inform. 2012;3:8. doi: 10.4103/2153-3539.93890. Epub 2012 Mar 16.