• 文献检索
  • 文档翻译
  • 深度研究
  • 学术资讯
  • Suppr Zotero 插件Zotero 插件
  • 邀请有礼
  • 套餐&价格
  • 历史记录
应用&插件
Suppr Zotero 插件Zotero 插件浏览器插件Mac 客户端Windows 客户端微信小程序
定价
高级版会员购买积分包购买API积分包
服务
文献检索文档翻译深度研究API 文档MCP 服务
关于我们
关于 Suppr公司介绍联系我们用户协议隐私条款
关注我们

Suppr 超能文献

核心技术专利:CN118964589B侵权必究
粤ICP备2023148730 号-1Suppr @ 2026

文献检索

告别复杂PubMed语法,用中文像聊天一样搜索,搜遍4000万医学文献。AI智能推荐,让科研检索更轻松。

立即免费搜索

文件翻译

保留排版,准确专业,支持PDF/Word/PPT等文件格式,支持 12+语言互译。

免费翻译文档

深度研究

AI帮你快速写综述,25分钟生成高质量综述,智能提取关键信息,辅助科研写作。

立即免费体验

涉及胃肠胰神经内分泌肿瘤:773 例临床病理评估。

Neuroendocrine tumors involving the gastroenteropancreatic tract: a clinicopathological evaluation of 773 cases.

机构信息

Consultoria em Patologia, Botucatu, SP, Brazil.

出版信息

Clinics (Sao Paulo). 2011;66(10):1671-5. doi: 10.1590/s1807-59322011001000002.

DOI:10.1590/s1807-59322011001000002
PMID:22012036
原文链接:https://pmc.ncbi.nlm.nih.gov/articles/PMC3180148/
Abstract

OBJECTIVE

Description of some of the clinical pathological characteristics of neuroendocrine tumors of the gastroenteropancreatic tract in Brazilian patients.

INTRODUCTION

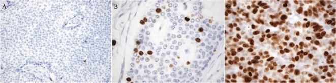
Neuroendocrine tumors arise in many organs and share common pathological features. In 2010, the World Health Organization published a new classification for neuroendocrine tumors using a three-tiered system that applies the terms neuroendocrine tumor Grade 1, neuroendocrine tumor Grade 2, and neuroendocrine carcinoma. The tumor grades are based on their mitotic rate and the Ki-67 index. In Brazil, information on neuroendocrine tumors of gastroenteropancreatic tract is scarce.

METHODS

This study investigated clinicopathological features of 773 Brazilian gastroenteropancreatic neuroendocrine tumor cases from all the geographic regions of Brazil. All of the cases emerged from the files of a single institution (a large pathology reference laboratory) between 1997 and 2009. In addition, the gastroenteropancreatic neuroendocrine tumors were graded according to the new 2010 World Health Organization classification.

RESULTS

Overall there were a higher number of neuroendocrine tumors in female over male. The lower ages were seen in patients with appendiceal tumors. The most common anatomic location involved was stomach followed by small and large intestines. All cases involving the appendix were of grade 1 and 92.1% of the neuroendocrine tumors of the esophagus were neuroendocrine carcinomas (grade 3).

CONCLUSIONS

In this series, the proportion of NET cases in the total number of surgical pathology cases at our institution over the past 12 years is increasing.

摘要

目的

描述巴西患者胃肠胰神经内分泌肿瘤的一些临床病理特征。

简介

神经内分泌肿瘤发生于许多器官,具有共同的病理特征。2010 年,世界卫生组织(WHO)发布了一种新的分级系统,采用三级分类法,适用于神经内分泌肿瘤 Grade 1、神经内分泌肿瘤 Grade 2 和神经内分泌癌。肿瘤分级基于其有丝分裂率和 Ki-67 指数。在巴西,有关胃肠胰神经内分泌肿瘤的信息很少。

方法

本研究调查了来自巴西所有地理区域的 773 例巴西胃肠胰神经内分泌肿瘤病例的临床病理特征。所有病例均来自于 1997 年至 2009 年期间的一个机构(一个大型病理学参考实验室)的档案。此外,根据新的 2010 年世界卫生组织分类对胃肠胰神经内分泌肿瘤进行分级。

结果

总体而言,女性的神经内分泌肿瘤数量多于男性。阑尾肿瘤患者的年龄较小。最常见的解剖部位是胃,其次是小肠和大肠。所有涉及阑尾的病例均为 Grade 1,92.1%的食管神经内分泌肿瘤为神经内分泌癌(Grade 3)。

结论

在本系列中,过去 12 年来,我们机构外科病理学病例总数中 NET 病例的比例正在增加。

https://cdn.ncbi.nlm.nih.gov/pmc/blobs/34b3/3180148/40bfe22d15a5/cln-66-10-1671-g002.jpg
https://cdn.ncbi.nlm.nih.gov/pmc/blobs/34b3/3180148/698cabd88e77/cln-66-10-1671-g001.jpg
https://cdn.ncbi.nlm.nih.gov/pmc/blobs/34b3/3180148/40bfe22d15a5/cln-66-10-1671-g002.jpg
https://cdn.ncbi.nlm.nih.gov/pmc/blobs/34b3/3180148/698cabd88e77/cln-66-10-1671-g001.jpg
https://cdn.ncbi.nlm.nih.gov/pmc/blobs/34b3/3180148/40bfe22d15a5/cln-66-10-1671-g002.jpg

相似文献

1
Neuroendocrine tumors involving the gastroenteropancreatic tract: a clinicopathological evaluation of 773 cases.涉及胃肠胰神经内分泌肿瘤:773 例临床病理评估。
Clinics (Sao Paulo). 2011;66(10):1671-5. doi: 10.1590/s1807-59322011001000002.
2
Gastroenteropancreatic Well-Differentiated Grade 3 Neuroendocrine Tumors: Review and Position Statement.胃肠胰高分化3级神经内分泌肿瘤:综述与立场声明
Oncologist. 2016 Oct;21(10):1191-1199. doi: 10.1634/theoncologist.2015-0476. Epub 2016 Jul 8.
3
Neuroendocrine Tumor Heterogeneity Adds Uncertainty to the World Health Organization 2010 Classification: Real-World Data from the Spanish Tumor Registry (R-GETNE).神经内分泌肿瘤异质性给 2010 年世界卫生组织分类带来不确定性:来自西班牙肿瘤登记处(R-GETNE)的真实世界数据。
Oncologist. 2018 Apr;23(4):422-432. doi: 10.1634/theoncologist.2017-0364. Epub 2018 Jan 12.
4
Clinicopathological features and prognosis of gastroenteropancreatic neuroendocrine neoplasms in a Chinese population: a large, retrospective single-centre study.中国人群胃肠胰神经内分泌肿瘤的临床病理特征及预后:一项大型回顾性单中心研究
BMC Endocr Disord. 2017 Jul 13;17(1):39. doi: 10.1186/s12902-017-0190-6.
5
Gastroenteropancreatic Neuroendocrine Tumors with Liver Metastases in Korea: A Clinicopathological Analysis of 72 Cases in a Single Institute.韩国伴有肝转移的胃肠胰神经内分泌肿瘤:单机构72例临床病理分析
Cancer Res Treat. 2015 Oct;47(4):738-46. doi: 10.4143/crt.2014.224. Epub 2015 Feb 16.
6
Re-evaluation of cases with gastroenteropancreatic neuroendocrine tumors between 2004 and 2012 according to the 2010 criteria.根据2010年标准对2004年至2012年间的胃肠胰神经内分泌肿瘤病例进行重新评估。
Hepatogastroenterology. 2013 Oct;60(127):1665-72.
7
Comparison of WHO 2000 and WHO 2010 classifications of gastroenteropancreatic neuroendocrine tumors.世界卫生组织2000年与2010年胃肠胰神经内分泌肿瘤分类的比较。
Turk J Gastroenterol. 2014 Feb;25(1):81-7. doi: 10.5152/tjg.2014.6579.
8
[Clinicopathologic characteristics of 127 cases of gastroenteropancreatic neuroendocrine tumors (GEP-NETs) studied in an oncology hospital].[肿瘤医院127例胃肠胰神经内分泌肿瘤(GEP-NETs)的临床病理特征]
Rev Gastroenterol Mex. 2012 Oct-Dec;77(4):174-80. doi: 10.1016/j.rgmx.2012.08.003. Epub 2012 Nov 9.
9
Comparison of World Health Organization 2000/2004 and World Health Organization 2010 classifications for gastrointestinal and pancreatic neuroendocrine tumors.世界卫生组织2000/2004年与世界卫生组织2010年胃肠道和胰腺神经内分泌肿瘤分类的比较。
Ann Diagn Pathol. 2015 Apr;19(2):81-7. doi: 10.1016/j.anndiagpath.2015.01.001. Epub 2015 Jan 9.
10
Clinicopathologic characteristics and prognosis of gastroenteropancreatic neuroendocrine neoplasms: a multicenter study in South China.胃肠胰神经内分泌肿瘤的临床病理特征与预后:一项中国南方的多中心研究
Chin J Cancer. 2017 Jun 21;36(1):51. doi: 10.1186/s40880-017-0218-3.

引用本文的文献

1
Analysis of clinicopathological characteristics and prognosis of appendiceal neuroendocrine tumors: a retrospective cohort study based on the SEER database.阑尾神经内分泌肿瘤的临床病理特征及预后分析:一项基于监测、流行病学和最终结果(SEER)数据库的回顾性队列研究
Transl Cancer Res. 2025 Aug 31;14(8):4804-4821. doi: 10.21037/tcr-2025-239. Epub 2025 Aug 26.
2
Comparison of clinicopathological features and survival analysis between esophageal neuroendocrine carcinoma and esophageal squamous cell carcinoma based on the SEER database, alongside nomogram analysis for esophageal neuroendocrine carcinoma.基于监测、流行病学和最终结果(SEER)数据库对食管神经内分泌癌和食管鳞状细胞癌的临床病理特征进行比较及生存分析,并对食管神经内分泌癌进行列线图分析。
J Gastrointest Oncol. 2023 Dec 31;14(6):2309-2323. doi: 10.21037/jgo-23-905. Epub 2023 Dec 22.
3

本文引用的文献

1
Squamous cell carcinoma and neuroendocrine carcinoma colliding in the esophagus.食管中同时出现的鳞状细胞癌和神经内分泌癌。
Clinics (Sao Paulo). 2010;65(1):114-7. doi: 10.1590/S1807-59322010000100018.
2
Gastroenteropancreatic neuroendocrine tumors: 10-year experience in a single center.胃肠胰神经内分泌肿瘤:单中心 10 年经验。
Med Oncol. 2010 Dec;27(4):1050-6. doi: 10.1007/s12032-009-9332-7. Epub 2009 Nov 3.
3
Neuroendocrine tumors: a registry of 1,000 patients.神经内分泌肿瘤:1000例患者的登记研究
Neuroendocrine tumour of the lesser omentum.小网膜神经内分泌肿瘤。
BMJ Case Rep. 2023 Dec 20;16(12):e258366. doi: 10.1136/bcr-2023-258366.
4
Clinicopathologic profile of gastroenteropancreatic neuroendocrine neoplasms in a referral center of South India.印度南部一家转诊中心的胃肠胰神经内分泌肿瘤的临床病理特征
Int J Clin Exp Pathol. 2022 May 15;15(5):225-232. eCollection 2022.
5
Clinical characteristics, prognostic factors, and survival trends in esophageal neuroendocrine carcinomas: A population-based study.食管神经内分泌癌的临床特征、预后因素和生存趋势:一项基于人群的研究。
Cancer Med. 2022 Dec;11(24):4935-4945. doi: 10.1002/cam4.4829. Epub 2022 May 21.
6
Large-Cell Esophageal Neuroendocrine Tumor Leading to Hepatorenal Syndrome.导致肝肾综合征的大细胞型食管神经内分泌肿瘤
Cureus. 2022 Apr 1;14(4):e23720. doi: 10.7759/cureus.23720. eCollection 2022 Apr.
7
Neuroendocrine Tumors: Clinical, Histological and Immunohistochemical Perspectives and Case Report-Mature Teratoma in a 16-Year-Old Girl.神经内分泌肿瘤:临床、组织学和免疫组织化学视角及病例报告——一名16岁女孩的成熟畸胎瘤
Pathophysiology. 2021 Aug 27;28(3):373-386. doi: 10.3390/pathophysiology28030025.
8
Histopathological landscape of rare oesophageal neoplasms.罕见食管肿瘤的组织病理学特征。
World J Gastroenterol. 2020 Jul 21;26(27):3865-3888. doi: 10.3748/wjg.v26.i27.3865.
9
Colorectal neuroendocrine tumors: A case series.结直肠神经内分泌肿瘤:病例系列
Int J Surg Case Rep. 2020;72:411-417. doi: 10.1016/j.ijscr.2020.06.030. Epub 2020 Jun 12.
10
What is New in the 2019 World Health Organization (WHO) Classification of Tumors of the Digestive System: Review of Selected Updates on Neuroendocrine Neoplasms, Appendiceal Tumors, and Molecular Testing.2019 年世界卫生组织(WHO)消化系统肿瘤分类有哪些新变化:神经内分泌肿瘤、阑尾肿瘤和分子检测的部分更新介绍。
Arch Pathol Lab Med. 2021 Jun 1;145(6):664-677. doi: 10.5858/arpa.2019-0665-RA.
Rev Assoc Med Bras (1992). 2008 Jul-Aug;54(4):305-7. doi: 10.1590/s0104-42302008000400014.
4
Acinar cell carcinoma of the pancreas: is the absence of neuroendocrine component related to a more malignant behavior?胰腺腺泡细胞癌:神经内分泌成分的缺失是否与更具恶性的行为相关?
Hepatogastroenterology. 2008 Mar-Apr;55(82-83):708-10.
5
Gastroenteropancreatic neuroendocrine tumours.胃肠胰神经内分泌肿瘤
Lancet Oncol. 2008 Jan;9(1):61-72. doi: 10.1016/S1470-2045(07)70410-2.
6
Diagnostic value of CDX-2 and TTF-1 expressions in separating metastatic neuroendocrine neoplasms of unknown origin.CDX-2和TTF-1表达在鉴别不明原发灶转移性神经内分泌肿瘤中的诊断价值
Appl Immunohistochem Mol Morphol. 2007 Dec;15(4):407-14. doi: 10.1097/01.pai.0000210416.53493.0f.
7
TNM staging of midgut and hindgut (neuro) endocrine tumors: a consensus proposal including a grading system.中肠和后肠(神经)内分泌肿瘤的TNM分期:一项包含分级系统的共识提议。
Virchows Arch. 2007 Oct;451(4):757-62. doi: 10.1007/s00428-007-0452-1. Epub 2007 Aug 3.
8
Siegfried oberndorfer and the evolution of carcinoid disease.西格弗里德·奥伯多弗与类癌疾病的演变
Arch Surg. 2007 Feb;142(2):187-97. doi: 10.1001/archsurg.142.2.187.
9
Prognostic value of immunohistochemistry in gastric neuroendocrine (carcinoid) tumors.免疫组织化学在胃神经内分泌(类癌)肿瘤中的预后价值
Eur J Gastroenterol Hepatol. 2007 Jan;19(1):21-8. doi: 10.1097/01.meg.0000250582.30737.bd.
10
TNM staging of foregut (neuro)endocrine tumors: a consensus proposal including a grading system.前肠(神经)内分泌肿瘤的TNM分期:一项包括分级系统的共识提议。
Virchows Arch. 2006 Oct;449(4):395-401. doi: 10.1007/s00428-006-0250-1. Epub 2006 Sep 12.