• 文献检索
  • 文档翻译
  • 深度研究
  • 学术资讯
  • Suppr Zotero 插件Zotero 插件
  • 邀请有礼
  • 套餐&价格
  • 历史记录
应用&插件
Suppr Zotero 插件Zotero 插件浏览器插件Mac 客户端Windows 客户端微信小程序
定价
高级版会员购买积分包购买API积分包
服务
文献检索文档翻译深度研究API 文档MCP 服务
关于我们
关于 Suppr公司介绍联系我们用户协议隐私条款
关注我们

Suppr 超能文献

核心技术专利:CN118964589B侵权必究
粤ICP备2023148730 号-1Suppr @ 2026

文献检索

告别复杂PubMed语法,用中文像聊天一样搜索,搜遍4000万医学文献。AI智能推荐,让科研检索更轻松。

立即免费搜索

文件翻译

保留排版,准确专业,支持PDF/Word/PPT等文件格式,支持 12+语言互译。

免费翻译文档

深度研究

AI帮你快速写综述,25分钟生成高质量综述,智能提取关键信息,辅助科研写作。

立即免费体验

神经型布鲁氏菌病的不常见表现:单发颅内肿块病变酷似脑瘤:由马耳他布鲁氏菌引起的脑炎 1 例。

Unusual presentation of neurobrucellosis: a solitary intracranial mass lesion mimicking a cerebral tumor : a case of encephalitis caused by Brucella melitensis.

机构信息

Department of Infectious Diseases, Faculty of Medicine, University of Gaziantep, Gaziantep, Turkey.

出版信息

J Infect Chemother. 2012 Oct;18(5):767-70. doi: 10.1007/s10156-011-0365-4. Epub 2012 Jan 11.

DOI:10.1007/s10156-011-0365-4
PMID:22231602
原文链接:https://pmc.ncbi.nlm.nih.gov/articles/PMC3491191/
Abstract

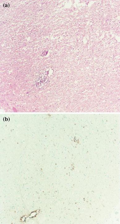
Among the diverse presentations of neurobrucellosis, solitary intracranial mass lesions are extremely rare. To the best of our knowledge, we describe here the second case of neurobrucellosis mimicking a cerebral tumor caused by Brucella melitensis. The mass lesion was clinically and radiologically indistinguishable from a brain tumor. The diagnosis was established by isolating Brucella melitensis in a blood culture and a positive Wright's agglutination test on the cerebrospinal fluid at 1:320 titers. Paraffin sections of the cerebral mass showed nongranulomatous encephalitis. We suggest that patients with an isolated intraparenchymal mass lesion with nongranulomatous encephalitis should also be studied for brucellosis in endemic areas.

摘要

在神经布鲁氏菌病的多种表现中,孤立性颅内肿块病变极为罕见。据我们所知,我们在这里描述了第二个由布鲁氏菌引起的神经布鲁氏菌病模拟脑瘤的病例。该肿块病变在临床和影像学上与脑瘤无法区分。通过在血液培养中分离出布鲁氏菌melitensis 以及脑脊液中的 Wright 凝集试验滴度为 1:320 阳性,确诊了该诊断。脑肿块的石蜡切片显示非化脓性脑炎。我们建议,在布鲁氏菌病流行地区,对于伴有非化脓性脑炎的孤立性脑实质肿块病变患者,也应进行布鲁氏菌病研究。

https://cdn.ncbi.nlm.nih.gov/pmc/blobs/7d0d/3491191/1a9198d70b05/10156_2011_365_Fig2_HTML.jpg
https://cdn.ncbi.nlm.nih.gov/pmc/blobs/7d0d/3491191/34b8244439f2/10156_2011_365_Fig1_HTML.jpg
https://cdn.ncbi.nlm.nih.gov/pmc/blobs/7d0d/3491191/1a9198d70b05/10156_2011_365_Fig2_HTML.jpg
https://cdn.ncbi.nlm.nih.gov/pmc/blobs/7d0d/3491191/34b8244439f2/10156_2011_365_Fig1_HTML.jpg
https://cdn.ncbi.nlm.nih.gov/pmc/blobs/7d0d/3491191/1a9198d70b05/10156_2011_365_Fig2_HTML.jpg

相似文献

1
Unusual presentation of neurobrucellosis: a solitary intracranial mass lesion mimicking a cerebral tumor : a case of encephalitis caused by Brucella melitensis.神经型布鲁氏菌病的不常见表现:单发颅内肿块病变酷似脑瘤:由马耳他布鲁氏菌引起的脑炎 1 例。
J Infect Chemother. 2012 Oct;18(5):767-70. doi: 10.1007/s10156-011-0365-4. Epub 2012 Jan 11.
2
Neurobrucellosis mimicking cerebral tumor: case report and literature review.
Clin Neurol Neurosurg. 2006 Jun;108(4):404-6. doi: 10.1016/j.clineuro.2004.12.015.
3
Subacute transverse myelitis as a clinical presentation of neurobrucellosis.亚急性横贯性脊髓炎作为神经型布鲁氏菌病的一种临床表现。
J Infect Dev Ctries. 2021 Sep 30;15(9):1359-1363. doi: 10.3855/jidc.14753.
4
Multiple cranial nerve involvement caused by Brucella melitensis.布鲁氏菌引起的多组颅神经受累
South Med J. 2009 Aug;102(8):855-7. doi: 10.1097/SMJ.0b013e3181ac0628.
5
A rare case of seronegative neurobrucellosis.一例罕见的血清阴性神经型布鲁氏菌病病例。
Ann Saudi Med. 2010 Sep-Oct;30(5):412-4. doi: 10.4103/0256-4947.67084.
6
Case Report: Brucellosis Mimicking Tuberculous Meningitis in a Child.病例报告:儿童布鲁氏菌病酷似结核性脑膜炎。
Am J Trop Med Hyg. 2024 Aug 13;111(4):853-855. doi: 10.4269/ajtmh.23-0715. Print 2024 Oct 2.
7
Cerebral infarct due to meningovascular neurobrucellosis: a case report.脑梗死源于脑膜血管型神经型布鲁菌病:病例报告。
Int J Infect Dis. 2010 Sep;14 Suppl 3:e202-4. doi: 10.1016/j.ijid.2009.07.012. Epub 2009 Nov 14.
8
[A Case Report on Subarachnoid Hemorrhage Secondary to Neurobrucellosis in a Patient with Cerebral Aneurysm].[1例脑动脉瘤患者继发神经型布鲁氏菌病致蛛网膜下腔出血的病例报告]
Mikrobiyol Bul. 2023 Jul;57(3):481-489. doi: 10.5578/mb.20239940.
9
Case Report: Neurobrucellosis Presenting as Malignancy.病例报告:表现为恶性肿瘤的神经型布氏杆菌病。
Am J Trop Med Hyg. 2024 Jun 11;111(2):312-316. doi: 10.4269/ajtmh.23-0684. Print 2024 Aug 7.
10
Evaluation of clinical, diagnostic features and therapeutic outcome of neurobrucellosis: a case series and review of literature.神经型布氏杆菌病的临床、诊断特征和治疗结果评估:病例系列及文献复习。
Int J Neurosci. 2022 Nov;132(11):1080-1090. doi: 10.1080/00207454.2020.1860969. Epub 2021 Jan 4.

引用本文的文献

1
Neurobrucellosis Presenting as a Conglomerate Space-Occupying Lesion.表现为团块样占位性病变的神经型布鲁氏菌病
Ann Indian Acad Neurol. 2025 Jan 1;28(1):140-142. doi: 10.4103/aian.aian_641_24. Epub 2025 Jan 29.
2
Case Report: Neurobrucellosis Presenting as Malignancy.病例报告:表现为恶性肿瘤的神经型布氏杆菌病。
Am J Trop Med Hyg. 2024 Jun 11;111(2):312-316. doi: 10.4269/ajtmh.23-0684. Print 2024 Aug 7.
3
Recurrent Neurobrucellosis in a Feral Swine Hunter.一名野猪猎人的复发性神经型布鲁氏菌病

本文引用的文献

1
Neurobrucellosis with transient ischemic attack, vasculopathic changes, intracerebral granulomas and basal ganglia infarction: a case report.伴有短暂性脑缺血发作、血管病变、脑内肉芽肿和基底节梗死的神经型布鲁氏菌病:一例报告
J Med Case Rep. 2010 Oct 25;4:340. doi: 10.1186/1752-1947-4-340.
2
Lumbar epidural abscess caused by brucella species: report of two cases.布鲁氏菌属引起的腰椎硬膜外脓肿:两例报告
Neurocirugia (Astur). 2009 Apr;20(2):159-62. doi: 10.1016/s1130-1473(09)70183-6.
3
Neurobrucellosis mimicking cerebral tumor: case report and literature review.
Cureus. 2023 May 23;15(5):e39383. doi: 10.7759/cureus.39383. eCollection 2023 May.
4
Central Nervous System Brucellosis Granuloma and White Matter Disease in Immunocompromised Patient.免疫功能低下患者的中枢神经系统布鲁氏菌病肉芽肿和白质疾病
Emerg Infect Dis. 2017 Jun;23(6):978-981. doi: 10.3201/eid2306.161173.
5
Occupational Neurobrucellosis Mimicking a Brain Tumor: A Case Report and Review of the Literature.酷似脑肿瘤的职业性神经型布鲁氏菌病:一例报告及文献复习
Case Rep Infect Dis. 2017;2017:1434051. doi: 10.1155/2017/1434051. Epub 2017 Feb 16.
6
Treatment Efficacy and Risk Factors of Neurobrucellosis.神经型布鲁氏菌病的治疗效果及危险因素
Med Sci Monit. 2016 Mar 28;22:1005-12. doi: 10.12659/msm.897947.
7
Imaging mimics of primary malignant tumors of the central nervous system (CNS).中枢神经系统(CNS)原发性恶性肿瘤的影像学表现。
Curr Oncol Rep. 2014;16(8):399. doi: 10.1007/s11912-014-0399-8.
Clin Neurol Neurosurg. 2006 Jun;108(4):404-6. doi: 10.1016/j.clineuro.2004.12.015.
4
Diagnostic MR imaging features of craniocerebral Aspergillosis of sino-nasal origin in immunocompetent patients.免疫功能正常患者鼻窦源性颅脑曲霉菌病的诊断性磁共振成像特征
Acta Neurochir (Wien). 2006 Feb;148(2):155-66; discussion 166. doi: 10.1007/s00701-005-0659-3. Epub 2005 Nov 9.
5
Human neurobrucellosis with intracerebral granuloma caused by a marine mammal Brucella spp.由海洋哺乳动物布鲁氏菌属引起的伴有脑内肉芽肿的人类神经型布鲁氏菌病
Emerg Infect Dis. 2003 Apr;9(4):485-8. doi: 10.3201/eid0904.020576.
6
Incidence and control of brucellosis in the Near East region.近东地区布鲁氏菌病的发病率与防控
Vet Microbiol. 2002 Dec 20;90(1-4):81-110. doi: 10.1016/s0378-1135(02)00248-1.
7
Focal cerebral involvement by neurobrucellosis: pathological and MRI findings.神经型布鲁氏菌病的局灶性脑受累:病理及磁共振成像表现
Eur J Radiol. 2002 Jul;43(1):28-30. doi: 10.1016/s0720-048x(01)00390-4.
8
Viral encephalitis: familiar infections and emerging pathogens.病毒性脑炎:常见感染与新出现的病原体
Lancet. 2002 Feb 9;359(9305):507-13. doi: 10.1016/S0140-6736(02)07681-X.
9
Brucellar spinal epidural abscess of cervical location: report of four cases.颈椎部位布鲁氏菌性脊柱硬膜外脓肿:4例报告
Eur Neurol. 2001;45(4):249-53. doi: 10.1159/000052137.
10
Central nervous system brucellosis: presentation, diagnosis and treatment.中枢神经系统布鲁氏菌病:临床表现、诊断与治疗
J Infect. 1998 May;36(3):297-301. doi: 10.1016/s0163-4453(98)94279-7.