Suppr超能文献

Application of radiographic images in diagnosis and treatment of deep neck infections with necrotizing fasciitis: a case report.

作者信息

Kim Young-Joo, Kim Ju-Dong, Ryu Hye-In, Cho Yeon-Hee, Kong Jun-Ha, Ohe Joo-Young, Kwon Yong-Dae, Choi Byung-Joon, Kim Gyu-Tae

机构信息

Department of Oral and Maxillofacial Surgery, Dental School, Kyung Hee University, Seoul, Korea.

出版信息

Imaging Sci Dent. 2011 Dec;41(4):189-93. doi: 10.5624/isd.2011.41.4.189. Epub 2011 Dec 19.

Abstract

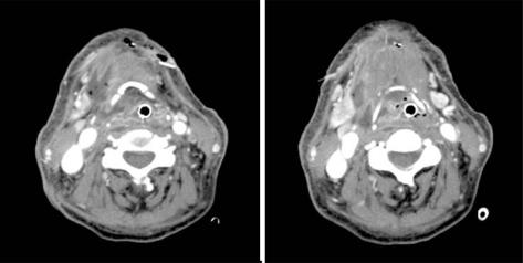
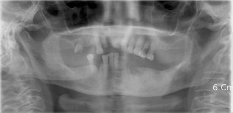
The advent and wide use of antibiotics have decreased the incidence of deep neck infection. When a deep neck infection does occur, however, it can be the cause of significant morbidity and death, resulting in airway obstruction, mediastinitis, pericarditis, epidural abscesses, and major vessel erosion. In our clinic, a patient with diffuse chronic osteomyelitis of mandible and fascial space abscess and necrotic fasciitis due to odontogenic infection at the time of first visit came. We successfully treated the patient by early diagnosis using contrast-enhanced CT and follow up dressing through the appropriate use of radiographic images.

摘要
https://cdn.ncbi.nlm.nih.gov/pmc/blobs/7d3b/3251794/cc32e0913911/isd-41-189-g001.jpg

文献AI研究员

20分钟写一篇综述,助力文献阅读效率提升50倍。

立即体验

用中文搜PubMed

大模型驱动的PubMed中文搜索引擎

马上搜索

文档翻译

学术文献翻译模型,支持多种主流文档格式。

立即体验