Suppr超能文献

早期显微手术治疗脊髓血管母细胞瘤可改善von Hippel-Lindau病患者的预后。

Early microsurgical treatment for spinal hemangioblastomas improves outcome in patients with von Hippel-Lindau disease.

作者信息

Harati Ali, Satopää Jarno, Mahler Lydia, Billon-Grand Romain, Elsharkawy Ahmed, Niemelä Mika, Hernesniemi Juha

机构信息

Department of Neurosurgical, Helsinki University Central Hospital (HUCH), Helsinki, Finland.

出版信息

Surg Neurol Int. 2012;3:6. doi: 10.4103/2152-7806.92170. Epub 2012 Jan 21.

Abstract

BACKGROUND

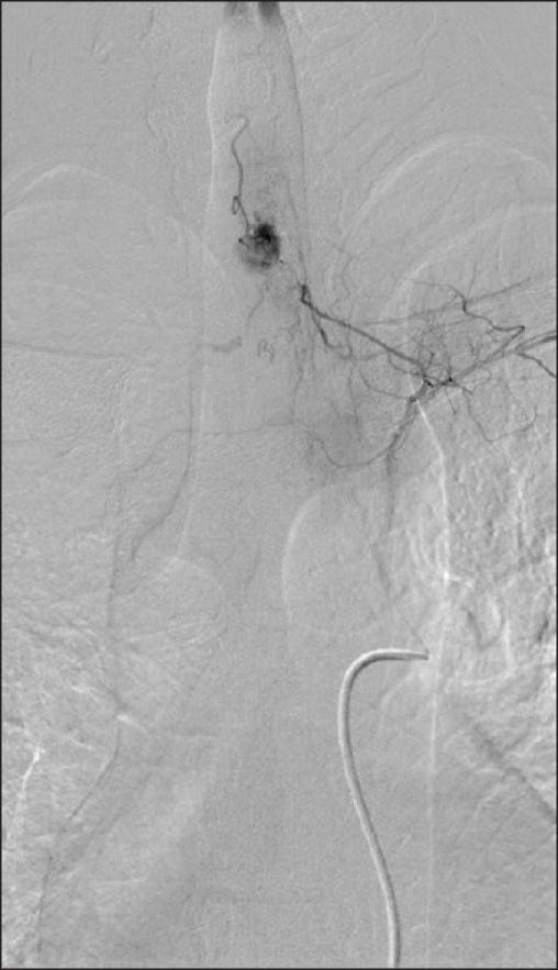
Spinal hemangioblastomas (HB) are rare, histologically benign, highly vascularized tumors often associated with von Hippel-Lindau (VHL) disease. The aim of the current study is to demonstrate the benefit of early surgical resection of large spinal HBs in selected asymptomatic patients with VHL.

METHODS

Seventeen patients underwent microsurgical resection of 20 spinal HBs at the Department of Neurosurgery at Helsinki University Central Hospital (HUCH). Thirteen tumors were in the cervical spine, five in thoracic and one patient had two lumbar lesions. MRI tumor showed an associated syrinx in 16 patients (94%). Tumor volume ranged from 27 to 2730 mm(3). Out of 17 patients, 11 (65%) tested positive for VHL in mutation analysis. Five of these patients with tumors ranging from 55 to 720 mm(3) were treated prophylactically.

RESULTS

Complete tumor resection was performed in 16 patients (94%) who were followed up for a median of 57 months (range 2-165 months). No patient had neurological decline on long-term follow-up. Among the patients with VHL, five patients with preoperative sensorimotor deficits showed improvement of their symptoms but never regained full function. One patient who presented with tetraplegia remained the same. Otherwise, all five patients with prophylactic surgery remained neurologically intact.

CONCLUSION

Although documented growth on serial MRIs and the need for pathological diagnosis have been suggested as indications for surgery in otherwise asymptomatic patients, our series showed that a potentially larger group of asymptomatic patients with spinal HB associated with VHL would benefit from microsurgical resection. Long-term results of the surgical management of spinal HB are generally favorable. Our results suggest staging and early treatment for spinal HB larger than 55 mm(3), especially in patients with VHL. Small spinal HBs may be followed up.

摘要

背景

脊髓血管母细胞瘤(HB)较为罕见,组织学上为良性,血管高度丰富,常与冯·希佩尔-林道(VHL)病相关。本研究的目的是证明在选定的无症状VHL患者中早期手术切除大型脊髓HB的益处。

方法

17例患者在赫尔辛基大学中心医院(HUCH)神经外科接受了20例脊髓HB的显微手术切除。13个肿瘤位于颈椎,5个位于胸椎,1例患者有2个腰椎病变。MRI检查显示16例患者(94%)伴有脊髓空洞症。肿瘤体积为27至2730立方毫米。在17例患者中,11例(65%)在突变分析中VHL检测呈阳性。其中5例肿瘤体积为55至720立方毫米的患者接受了预防性治疗。

结果

16例患者(94%)实现了肿瘤全切,中位随访时间为57个月(范围2至165个月)。长期随访中无患者出现神经功能减退。在VHL患者中,5例术前有感觉运动功能障碍的患者症状有所改善,但从未恢复到完全功能。1例四肢瘫患者病情无变化。此外,所有5例接受预防性手术的患者神经功能均保持完好。

结论

尽管连续MRI显示肿瘤生长以及需要病理诊断被认为是无症状患者手术的指征,但我们的系列研究表明,潜在更大群体的无症状脊髓HB合并VHL患者将从显微手术切除中获益。脊髓HB手术治疗的长期结果总体良好。我们的结果表明,对于体积大于55立方毫米的脊髓HB应进行分期和早期治疗,尤其是VHL患者。小型脊髓HB可进行随访。

https://cdn.ncbi.nlm.nih.gov/pmc/blobs/2925/3279991/5c3a071d2a13/SNI-3-6-g004.jpg

文献检索

告别复杂PubMed语法,用中文像聊天一样搜索,搜遍4000万医学文献。AI智能推荐,让科研检索更轻松。

立即免费搜索

文件翻译

保留排版,准确专业,支持PDF/Word/PPT等文件格式,支持 12+语言互译。

免费翻译文档

深度研究

AI帮你快速写综述,25分钟生成高质量综述,智能提取关键信息,辅助科研写作。

立即免费体验