Suppr超能文献

未在未经抗逆转录病毒治疗的 HIV-1 感染者和 HIV-1/HCV 合并感染者以及献血者的外周血单个核细胞中检测到 XMRV。

Absence of XMRV in peripheral blood mononuclear cells of ARV-treatment naïve HIV-1 infected and HIV-1/HCV coinfected individuals and blood donors.

机构信息

Section of Retrovirology, Department of Pediatrics, Baylor College of Medicine, Houston, Texas, USA.

出版信息

PLoS One. 2012;7(2):e31398. doi: 10.1371/journal.pone.0031398. Epub 2012 Feb 13.

Abstract

BACKGROUND

Xenotropic murine leukemia virus-related virus (XMRV) has been found in the prostatic tissue of prostate cancer patients and in the blood of chronic fatigue syndrome patients. However, numerous studies have found little to no trace of XMRV in different human cohorts. Based on evidence suggesting common transmission routes between XMRV and HIV-1, HIV-1 infected individuals may represent a high-risk group for XMRV infection and spread.

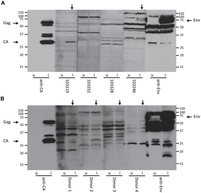
METHODOLOGY/PRINCIPAL FINDINGS: DNA was isolated from the peripheral blood mononuclear cells (PBMCs) of 179 HIV-1 infected treatment naïve patients, 86 of which were coinfected with HCV, and 54 healthy blood donors. DNA was screened for XMRV provirus with two sensitive, published PCR assays targeting XMRV gag and env and one sensitive, published nested PCR assay targeting env. Detection of XMRV was confirmed by DNA sequencing. One of the 179 HIV-1 infected patients tested positive for gag by non-nested PCR whereas the two other assays did not detect XMRV in any specimen. All healthy blood donors were negative for XMRV proviral sequences. Sera from 23 HIV-1 infected patients (15 HCV(+)) and 12 healthy donors were screened for the presence of XMRV-reactive antibodies by Western blot. Thirteen sera (57%) from HIV-1(+) patients and 6 sera (50%) from healthy donors showed reactivity to XMRV-infected cell lysate.

CONCLUSIONS/SIGNIFICANCE: The virtual absence of XMRV in PBMCs suggests that XMRV is not associated with HIV-1 infected or HIV-1/HCV coinfected patients, or blood donors. Although we noted isolated incidents of serum reactivity to XMRV, we are unable to verify the antibodies as XMRV specific.

摘要

背景

嗜性鼠白血病病毒相关病毒(XMRV)已在前列腺癌患者的前列腺组织和慢性疲劳综合征患者的血液中发现。然而,许多研究发现,不同人群中几乎没有 XMRV 的踪迹。基于 XMRV 和 HIV-1 之间存在共同传播途径的证据,HIV-1 感染者可能代表 XMRV 感染和传播的高风险群体。

方法/主要发现:从 179 名未经治疗的 HIV-1 感染的初治患者、86 名同时感染 HCV 的患者和 54 名健康献血者的外周血单个核细胞(PBMCs)中分离出 DNA。使用两种针对 XMRV gag 和 env 的已发表的敏感 PCR 检测法以及一种针对 env 的已发表的敏感嵌套 PCR 检测法对 XMRV 前病毒进行筛查。通过 DNA 测序确认 XMRV 的检测。在 179 名 HIV-1 感染的患者中,有 1 名患者通过非嵌套 PCR 检测 gag 呈阳性,而其他两种检测法在任何标本中均未检测到 XMRV。所有健康献血者均为 XMRV 前病毒序列阴性。通过 Western blot 筛查 23 名 HIV-1 感染患者(15 名 HCV(+))和 12 名健康供体的血清中是否存在 XMRV 反应性抗体。13 份(57%)HIV-1(+)患者血清和 6 份(50%)健康供体血清对 XMRV 感染细胞裂解物有反应性。

结论/意义:PBMCs 中几乎不存在 XMRV 表明 XMRV 与 HIV-1 感染或 HIV-1/HCV 合并感染的患者或献血者无关。虽然我们注意到血清对 XMRV 有孤立的反应,但我们无法验证这些抗体是否为 XMRV 特异性。

https://cdn.ncbi.nlm.nih.gov/pmc/blobs/22d9/3278456/8d66b55a6434/pone.0031398.g001.jpg

相似文献

2
Prevalence of xenotropic murine leukemia virus-related virus infection in different risk populations in Spain.
AIDS Res Hum Retroviruses. 2012 Sep;28(9):1089-94. doi: 10.1089/AID.2011.0149. Epub 2012 Feb 21.
4
Lack of the detection of XMRV or polytropic MLV-related sequences in blood cells from HIV-1-infected patients in Spain.
J Acquir Immune Defic Syndr. 2012 Feb 1;59(2):101-4. doi: 10.1097/QAI.0b013e318238b596.
7
No evidence of XMRV infection in immunocompromised patients and HIV-positive individuals from Germany.
Infection. 2012 Apr;40(2):181-4. doi: 10.1007/s15010-012-0249-2. Epub 2012 Feb 21.
8
Absence of xenotropic murine leukemia virus-related virus in blood donors in China.
Transfusion. 2012 Feb;52(2):326-31. doi: 10.1111/j.1537-2995.2011.03267.x. Epub 2011 Aug 19.
9
No detection of XMRV in blood samples and tissue sections from prostate cancer patients in Northern Europe.
PLoS One. 2011;6(10):e25592. doi: 10.1371/journal.pone.0025592. Epub 2011 Oct 12.
10
Seroprevalence of xenotropic murine leukemia virus-related virus in normal and retrovirus-infected blood donors.
Transfusion. 2012 Feb;52(2):307-16. doi: 10.1111/j.1537-2995.2011.03395.x. Epub 2011 Oct 24.

引用本文的文献

1
The saga of XMRV: a virus that infects human cells but is not a human virus.
Emerg Microbes Infect. 2014 Apr;3(4):e. doi: 10.1038/emi.2014.25. Epub 2014 Apr 9.
2
No biological evidence of XMRV infection in cervical smears from HIV/ HPV positive and negative Kenyan women.
PLoS One. 2012;7(10):e47208. doi: 10.1371/journal.pone.0047208. Epub 2012 Oct 8.
3
Recombinant origin, contamination, and de-discovery of XMRV.
Curr Opin Virol. 2012 Aug;2(4):499-507. doi: 10.1016/j.coviro.2012.06.009. Epub 2012 Jul 19.
4
Emerging infectious agents and the nation's blood supply: responding to potential threats in the 21st century.
Transfusion. 2013 Feb;53(2):438-54. doi: 10.1111/j.1537-2995.2012.03742.x. Epub 2012 Jun 13.

本文引用的文献

1
Seroprevalence of xenotropic murine leukemia virus-related virus in normal and retrovirus-infected blood donors.
Transfusion. 2012 Feb;52(2):307-16. doi: 10.1111/j.1537-2995.2011.03395.x. Epub 2011 Oct 24.
3
PCR master mixes harbour murine DNA sequences. Caveat emptor!
PLoS One. 2011;6(5):e19953. doi: 10.1371/journal.pone.0019953. Epub 2011 May 25.
4
Recombinant origin of the retrovirus XMRV.
Science. 2011 Jul 1;333(6038):97-101. doi: 10.1126/science.1205292. Epub 2011 May 31.
5
No association of xenotropic murine leukemia virus-related viruses with prostate cancer.
PLoS One. 2011 May 4;6(5):e19065. doi: 10.1371/journal.pone.0019065.
6
Absence of XMRV retrovirus and other murine leukemia virus-related viruses in patients with chronic fatigue syndrome.
J Virol. 2011 Jul;85(14):7195-202. doi: 10.1128/JVI.00693-11. Epub 2011 May 4.
7
No evidence of XMRV or related retroviruses in a London HIV-1-positive patient cohort.
PLoS One. 2011 Mar 23;6(3):e18096. doi: 10.1371/journal.pone.0018096.
8
No evidence of XMRV in prostate cancer cohorts in the Midwestern United States.
Retrovirology. 2011 Mar 29;8:23. doi: 10.1186/1742-4690-8-23.

文献AI研究员

20分钟写一篇综述,助力文献阅读效率提升50倍。

立即体验

用中文搜PubMed

大模型驱动的PubMed中文搜索引擎

马上搜索

文档翻译

学术文献翻译模型,支持多种主流文档格式。

立即体验