• 文献检索
  • 文档翻译
  • 深度研究
  • 学术资讯
  • Suppr Zotero 插件Zotero 插件
  • 邀请有礼
  • 套餐&价格
  • 历史记录
应用&插件
Suppr Zotero 插件Zotero 插件浏览器插件Mac 客户端Windows 客户端微信小程序
定价
高级版会员购买积分包购买API积分包
服务
文献检索文档翻译深度研究API 文档MCP 服务
关于我们
关于 Suppr公司介绍联系我们用户协议隐私条款
关注我们

Suppr 超能文献

核心技术专利:CN118964589B侵权必究
粤ICP备2023148730 号-1Suppr @ 2026

文献检索

告别复杂PubMed语法,用中文像聊天一样搜索,搜遍4000万医学文献。AI智能推荐,让科研检索更轻松。

立即免费搜索

文件翻译

保留排版,准确专业,支持PDF/Word/PPT等文件格式,支持 12+语言互译。

免费翻译文档

深度研究

AI帮你快速写综述,25分钟生成高质量综述,智能提取关键信息,辅助科研写作。

立即免费体验

患者存在 PDGFRB 基因重排,同时患有急性髓系白血病和 T 淋巴母细胞淋巴瘤。

Concurrent acute myeloid leukemia and T lymphoblastic lymphoma in a patient with rearranged PDGFRB genes.

机构信息

School of Medicine, Chang Gung University, Taoyuan, Taiwan.

出版信息

Diagn Pathol. 2012 Feb 22;7:19. doi: 10.1186/1746-1596-7-19.

DOI:10.1186/1746-1596-7-19
PMID:22356850
原文链接:https://pmc.ncbi.nlm.nih.gov/articles/PMC3307482/
Abstract

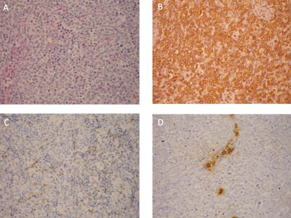
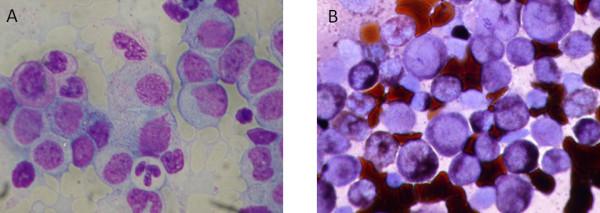
Concurrent hematologic malignancies are relatively rare. We encountered a case of concurrent acute myeloid leukemia (AML) and T lymphoblastic lymphoma. The bone marrow chromosome analysis showed the karyotype 46, XY, t(5;12)(q33;p13), which indicated presence of PDGFRB gene translocations. Therefore, this disease belongs to the new WHO category of myeloid and lymphoid neoplasms with abnormalities in PDGFRA, PDGFRB and FGFR1 genes. Although such genetic mutations are prone to multi-lineage differentiation, the present case is in fact the first report of concurrent AML and T lymphoblastic lymphoma involving PDGFRB mutations. The patient was treated with cytarabine and daunomycin in combination with high dose dexamethasone. Allogeneic stem cell transplantation was performed after successful remission induction for both entities. The patient eventually died of chronic graft-versus-host-disease related infection. Based on such an experience, we suggest the decision of stem cell transplantation should be weighed carefully against the risks, especially when tyrosine kinase inhibitors are safe and potentially effective in dealing with such entities.

摘要

同时性血液系统恶性肿瘤较为罕见。我们遇到了一例同时性急性髓系白血病(AML)和 T 淋巴母细胞淋巴瘤。骨髓染色体分析显示核型为 46,XY,t(5;12)(q33;p13),提示存在 PDGFRB 基因易位。因此,该疾病属于新的 WHO 分类中的伴有 PDGFRA、PDGFRB 和 FGFR1 基因异常的髓系和淋巴系肿瘤。尽管这种基因突变容易导致多谱系分化,但本例实际上是首例同时性 AML 和 T 淋巴母细胞淋巴瘤合并 PDGFRB 突变的报告。该患者接受了阿糖胞苷和柔红霉素联合大剂量地塞米松治疗。在两个实体成功诱导缓解后进行了异基因造血干细胞移植。患者最终死于慢性移植物抗宿主病相关感染。基于这一经验,我们建议在权衡干细胞移植的决策时应仔细考虑风险,特别是当酪氨酸激酶抑制剂在处理此类实体瘤时安全且具有潜在疗效时。

https://cdn.ncbi.nlm.nih.gov/pmc/blobs/9eed/3307482/6b98e2ea3538/1746-1596-7-19-2.jpg
https://cdn.ncbi.nlm.nih.gov/pmc/blobs/9eed/3307482/bed265ed355a/1746-1596-7-19-1.jpg
https://cdn.ncbi.nlm.nih.gov/pmc/blobs/9eed/3307482/6b98e2ea3538/1746-1596-7-19-2.jpg
https://cdn.ncbi.nlm.nih.gov/pmc/blobs/9eed/3307482/bed265ed355a/1746-1596-7-19-1.jpg
https://cdn.ncbi.nlm.nih.gov/pmc/blobs/9eed/3307482/6b98e2ea3538/1746-1596-7-19-2.jpg

相似文献

1
Concurrent acute myeloid leukemia and T lymphoblastic lymphoma in a patient with rearranged PDGFRB genes.患者存在 PDGFRB 基因重排,同时患有急性髓系白血病和 T 淋巴母细胞淋巴瘤。
Diagn Pathol. 2012 Feb 22;7:19. doi: 10.1186/1746-1596-7-19.
2
PDGFRB-rearranged T-lymphoblastic leukemia/lymphoma occurring with myeloid neoplasms: the missing link supporting a stem cell origin.伴有髓系肿瘤的血小板衍生生长因子受体β重排的T淋巴母细胞白血病/淋巴瘤:支持干细胞起源的缺失环节
Haematologica. 2014 Sep;99(9):e148-51. doi: 10.3324/haematol.2014.105452. Epub 2014 Jun 20.
3
Sustained Response to Imatinib in a Pediatric Patient with Concurrent Myeloproliferative Disease and Lymphoblastic Lymphoma Associated with a CCDC88C-PDGFRB Fusion Gene.儿童患者同时患有骨髓增生性疾病和淋巴母细胞淋巴瘤,伴有 CCDC88C-PDGFRB 融合基因,对伊马替尼持续反应。
Acta Haematol. 2019;141(2):119-127. doi: 10.1159/000495687. Epub 2019 Feb 6.
4
Liposomal daunorubicin, fludarabine, and cytarabine (FLAD) as bridge therapy to stem cell transplant in relapsed and refractory acute leukemia.脂质体柔红霉素、氟达拉滨和阿糖胞苷(FLAD)作为桥接治疗在复发和难治性急性白血病中进行干细胞移植。
Ann Hematol. 2014 Dec;93(12):2011-8. doi: 10.1007/s00277-014-2143-8. Epub 2014 Jul 4.
5
Myeloid/Lymphoid Neoplasms Associated With Eosinophilia and Rearrangements of PDGFRA, PDGFRB, or FGFR1 or With PCM1-JAK2.伴嗜酸性粒细胞增多和 PDGFRA、PDGFRB 或 FGFR1 重排或伴 PCM1-JAK2 的髓系/淋系肿瘤
Am J Clin Pathol. 2021 Feb 4;155(2):160-178. doi: 10.1093/ajcp/aqaa208.
6
A syndrome of lymphoblastic lymphoma, eosinophilia, and myeloid hyperplasia/malignancy associated with t(8;13)(p11;q11): description of a distinctive clinicopathologic entity.一种与t(8;13)(p11;q11)相关的淋巴母细胞淋巴瘤、嗜酸性粒细胞增多症和髓系增生/恶性肿瘤综合征:一种独特临床病理实体的描述
Blood. 1995 Apr 1;85(7):1881-7.
7
[Acute leukemia in adults].[成人急性白血病]
Pathologe. 2015 Sep;36(5):503-17; quiz 518-9. doi: 10.1007/s00292-015-0087-y.
8
The role of peripheral blood stem cells as rescue after myeloablative therapy.外周血干细胞在清髓性治疗后作为救援手段的作用。
Bone Marrow Transplant. 1989 Jan;4 Suppl 1:212-4.
9
The incidence, genetic characteristics, and prognosis of leukemia with concurrent pathogenic fusion genes: a series of 25 cases from a large cohort of leukemia patients.伴有融合基因的白血病的发病情况、遗传学特征和预后:来自一大群白血病患者的 25 例系列病例。
Cancer Gene Ther. 2020 Feb;27(1-2):89-97. doi: 10.1038/s41417-019-0147-1. Epub 2019 Oct 23.
10
Donor buffy-coat infusion and chemotherapy for leukemia in relapse after marrow transplantation.供体白细胞层输注与化疗用于骨髓移植后复发的白血病
Haematologica. 1995 Jul-Aug;80(4):338-40.

引用本文的文献

1
Acute myelomonocytic leukemia and T-lymphoblastic lymphoma as simultaneous bilineage hematologic malignancy treated with decitabine: A case report.急性粒单核细胞白血病和T淋巴细胞母细胞淋巴瘤作为同时发生的双谱系血液系统恶性肿瘤接受地西他滨治疗:一例报告
World J Clin Cases. 2023 Jul 26;11(21):5129-5135. doi: 10.12998/wjcc.v11.i21.5129.
2
Acute myeloid leukemia with T lymphoblastic lymphoma: a case report and literature review.急性髓系白血病伴 T 淋巴母细胞淋巴瘤:病例报告及文献复习。
J Int Med Res. 2021 May;49(5):3000605211016138. doi: 10.1177/03000605211016138.
3
Case report; meta-synchronous triple malignancy in primary diagnosed CML patient.

本文引用的文献

1
The two faces of myeloproliferative neoplasms: Molecular events underlying lymphoid transformation.骨髓增殖性肿瘤的两面性:淋巴细胞转化的分子事件。
Leuk Res. 2011 Oct;35(10):1279-85. doi: 10.1016/j.leukres.2011.05.037. Epub 2011 Jul 1.
2
Response of ETV6-FLT3-positive myeloid/lymphoid neoplasm with eosinophilia to inhibitors of FMS-like tyrosine kinase 3.伴嗜酸性粒细胞增多的 ETV6-FLT3 阳性髓系/淋系肿瘤对 FMS 样酪氨酸激酶 3 抑制剂的反应。
Blood. 2011 Aug 25;118(8):2239-42. doi: 10.1182/blood-2011-03-343426. Epub 2011 Jun 24.
3
Durable remission after treatment with very low doses of imatinib for FIP1L1-PDGFRα-positive chronic eosinophilic leukaemia.
病例报告;初诊慢性粒细胞白血病患者发生异时性三重恶性肿瘤
Am J Blood Res. 2020 Apr 15;10(2):22-25. eCollection 2020.
4
Analyses and treatment of simultaneous bi-lineage malignancies of myeloid leukemia and lymphoma: Two case reports and a literature review.髓系白血病和淋巴瘤同时双谱系恶性肿瘤的分析与治疗:两例病例报告及文献综述
Oncol Lett. 2018 Nov;16(5):6624-6632. doi: 10.3892/ol.2018.9447. Epub 2018 Sep 18.
5
[The study of 4 cases of myeloid neoplasm with t (5;12) (q33;p13) and the literatures review].[4例伴t(5;12)(q33;p13)的髓系肿瘤病例研究及文献复习]
Zhonghua Xue Ye Xue Za Zhi. 2016 Apr;37(4):302-7. doi: 10.3760/cma.j.issn.0253-2727.2016.04.011.
6
PDGFRB-rearranged T-lymphoblastic leukemia/lymphoma occurring with myeloid neoplasms: the missing link supporting a stem cell origin.伴有髓系肿瘤的血小板衍生生长因子受体β重排的T淋巴母细胞白血病/淋巴瘤:支持干细胞起源的缺失环节
Haematologica. 2014 Sep;99(9):e148-51. doi: 10.3324/haematol.2014.105452. Epub 2014 Jun 20.
7
Coexistent hairy cell leukaemia and hepatosplenic T-cell lymphoma: a case report.共存的毛细胞白血病和肝脾 T 细胞淋巴瘤:一例报告。
Diagn Pathol. 2014 Mar 12;9:58. doi: 10.1186/1746-1596-9-58.
8
A case of enteropathy-associated T-cell lymphoma (type I) arising in stomach without refractory celiac disease.胃原发性肠病相关 T 细胞淋巴瘤(I 型),无难治性乳糜泻。
Diagn Pathol. 2012 Dec 7;7:172. doi: 10.1186/1746-1596-7-172.
使用极低剂量伊马替尼治疗FIP1L1-PDGFRα阳性慢性嗜酸性粒细胞白血病后的持久缓解。
Cancer Chemother Pharmacol. 2011 Apr;67(4):967-9. doi: 10.1007/s00280-011-1582-3. Epub 2011 Feb 17.
4
Novel imatinib-sensitive PDGFRA-activating point mutations in hypereosinophilic syndrome induce growth factor independence and leukemia-like disease.新型伊马替尼敏感的血小板衍生生长因子受体 A 激活点突变导致嗜酸性粒细胞增多综合征中的生长因子独立性和类白血病疾病。
Blood. 2011 Mar 10;117(10):2935-43. doi: 10.1182/blood-2010-05-286757. Epub 2011 Jan 11.
5
Myeloid neoplasm with prominent eosinophilia and PDGFRA rearrangement treated with imatinib mesylate.伴显著嗜酸性粒细胞增多和 PDGFRA 重排的髓系肿瘤,用甲磺酸伊马替尼治疗。
Pediatr Blood Cancer. 2010 Oct;55(4):730-2. doi: 10.1002/pbc.22655.
6
What is the optimal treatment for biphenotypic acute leukemia?双表型急性白血病的最佳治疗方法是什么?
Haematologica. 2009 Dec;94(12):1778-80; author reply 1780. doi: 10.3324/haematol.2009.014829.
7
[Study on the clinical characteristics of adult biphenotypic acute leukaemia].[成人双表型急性白血病临床特征研究]
Zhonghua Xue Ye Xue Za Zhi. 2009 Jan;30(1):18-21.
8
The 2008 revision of the World Health Organization (WHO) classification of myeloid neoplasms and acute leukemia: rationale and important changes.世界卫生组织(WHO)髓系肿瘤和急性白血病分类的2008年修订版:基本原理及重要变化
Blood. 2009 Jul 30;114(5):937-51. doi: 10.1182/blood-2009-03-209262. Epub 2009 Apr 8.
9
Biphenotypic acute leukemia treated with acute myeloid leukemia regimens: a case series.
J Natl Med Assoc. 2009 Mar;101(3):270-2. doi: 10.1016/s0027-9684(15)30857-9.
10
Sustained response to low-dose imatinib mesylate in a patient with chronic myelomonocytic leukemia with t(5;12)(q33;p13).
Acta Haematol. 2008;119(1):57-9. doi: 10.1159/000115966. Epub 2008 Feb 12.