Pathology Unit, Istituto Nazionale Tumori Fondazione G, Pascale, via Mariano Semmola, 80131, Naples, Italy.
J Transl Med. 2012 May 14;10:91. doi: 10.1186/1479-5876-10-91.
The process of malignant transformation, progression and metastasis of melanoma is not completely understood. Recently, the microarray technology has been used to survey transcriptional differences that might provide insight into the metastatic process, but the validation of changing gene expression during metastatic transition period is poorly investigated. A large body of literature has been produced on the role of the HOX genes network in tumour evolution, suggesting the involvement of HOX genes in several types of human cancers. Deregulated paralogous group 13 HOX genes expression has been detected in melanoma, cervical cancer and odonthogenic tumors. Among these, Hox C13 is also involved in the expression control of the human keratin genes hHa5 and hHa2, and recently it was identified as a member of human DNA replication complexes.
In this study, to investigate HOX C13 expression in melanoma progression, we have compared its expression pattern between naevi, primary melanoma and metastasis. In addition HOXC13 profile pattern of expression has been evaluated in melanoma cell lines.
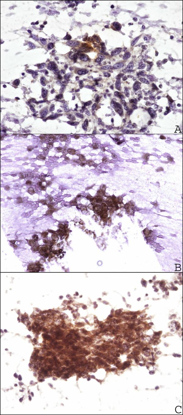
Our results show the strong and progressive HOX C13 overexpression in metastatic melanoma tissues and cytological samples compared to nevi and primary melanoma tissues and cells.
The data presentated in the paper suggest a possible role of HOX C13 in metastatic melanoma switch.
黑色素瘤的恶性转化、进展和转移过程尚未完全阐明。最近,微阵列技术已被用于检测转录差异,这可能有助于深入了解转移过程,但对转移过渡期间基因表达变化的验证研究甚少。大量文献已经探讨了 HOX 基因网络在肿瘤进化中的作用,表明 HOX 基因参与了多种类型的人类癌症。已经在黑色素瘤、宫颈癌和牙源性肿瘤中检测到 HOX 基因家族的失调表达。其中,HOXC13 也参与了人类角蛋白基因 hHa5 和 hHa2 的表达调控,最近被鉴定为人类 DNA 复制复合物的成员。
在本研究中,为了研究 HOX C13 在黑色素瘤进展中的表达模式,我们比较了痣、原发性黑色素瘤和转移瘤之间的表达模式。此外,还评估了 HOXC13 在黑色素瘤细胞系中的表达模式。
与痣和原发性黑色素瘤组织和细胞相比,我们的结果显示转移性黑色素瘤组织和细胞学样本中 HOX C13 的表达呈强烈且逐渐增强。
本文提出的资料表明 HOX C13 可能在转移性黑色素瘤的发生中发挥作用。