Suppr超能文献

黄根高粱通过 Jak2/STAT 通路诱导乳腺癌异种移植中的细胞周期停滞,并抑制肿瘤生长和转移。

Hwanggeumchal sorghum induces cell cycle arrest, and suppresses tumor growth and metastasis through Jak2/STAT pathways in breast cancer xenografts.

机构信息

Department of Pathology, School of Medicine, and Institute of Biomedical Science and Technology, Konkuk University Glocal Campus, Seoul, South Korea.

出版信息

PLoS One. 2012;7(7):e40531. doi: 10.1371/journal.pone.0040531. Epub 2012 Jul 6.

Abstract

BACKGROUND

Cancer is one of the highly virulent diseases known to humankind with a high mortality rate. Breast cancer is the most common cancer in women worldwide. Sorghum is a principal cereal food in many parts of the world, and is critical in folk medicine of Asia and Africa. In the present study, we analyzed the effects of HSE in metastatic breast cancer.

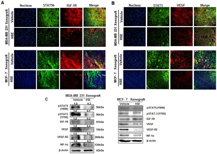
METHODOLOGY/PRINCIPAL FINDINGS: Preliminary studies conducted on MDA-MB 231 and MCF-7 xenograft models showed tumor growth suppression by HSE. Western blotting studies conducted both in vivo and in vitro to check the effect of HSE in Jak/STAT pathways. Anti-metastatic effects of HSE were confirmed using both MDA-MB 231 and MCF-7 metastatic animal models. These studies showed that HSE can modulate Jak/STAT pathways, and it hindered the STAT5b/IGF-1R and STAT3/VEGF pathways not only by down-regulating the expression of these signal molecules and but also by preventing their phosphorylation. The expression of angiogenic factors like VEGF, VEGF-R2 and cell cycle regulators like cyclin D, cyclin E, and pRb were found down-regulated by HSE. In addition, it also targets Brk, p53, and HIF-1α for anti-cancer effects. HSE induced G1 phase arrest and migration inhibition in MDA-MB 231 cells. The metastasis of breast cancer to the lungs also found blocked by HSE in the metastatic animal model.

CONCLUSIONS/SIGNIFICANCE: Usage of HS as a dietary supplement is an inexpensive natural cancer therapy, without any side effects. We strongly recommend the use of HS as an edible therapeutic agent as it possesses tumor suppression, migration inhibition, and anti-metastatic effects on breast cancer.

摘要

背景

癌症是人类已知的高致命性疾病之一,死亡率很高。乳腺癌是全球女性最常见的癌症。高粱是世界上许多地区的主要粮食作物,在亚洲和非洲的民间医学中具有重要地位。在本研究中,我们分析了 HSE 在转移性乳腺癌中的作用。

方法/主要发现:对 MDA-MB 231 和 MCF-7 异种移植模型进行的初步研究表明,HSE 可抑制肿瘤生长。在体内和体外进行的 Western blot 研究检查了 HSE 在 Jak/STAT 途径中的作用。使用 MDA-MB 231 和 MCF-7 转移性动物模型证实了 HSE 的抗转移作用。这些研究表明,HSE 可以调节 Jak/STAT 途径,不仅通过下调这些信号分子的表达,而且通过阻止它们的磷酸化来阻碍 STAT5b/IGF-1R 和 STAT3/VEGF 途径。血管生成因子如 VEGF、VEGF-R2 和细胞周期调节剂如 cyclin D、cyclin E 和 pRb 的表达也被发现下调。此外,它还针对 Brk、p53 和 HIF-1α 发挥抗癌作用。HSE 诱导 MDA-MB 231 细胞 G1 期停滞和迁移抑制。在转移性动物模型中,HSE 还阻断了乳腺癌向肺部的转移。

结论/意义:将 HS 用作膳食补充剂是一种廉价的天然癌症疗法,没有任何副作用。我们强烈建议将 HS 用作可食用的治疗剂,因为它具有抑制肿瘤、抑制迁移和抗乳腺癌转移的作用。

https://cdn.ncbi.nlm.nih.gov/pmc/blobs/d0c3/3391253/77676794adf9/pone.0040531.g001.jpg

文献AI研究员

20分钟写一篇综述,助力文献阅读效率提升50倍。

立即体验

用中文搜PubMed

大模型驱动的PubMed中文搜索引擎

马上搜索

文档翻译

学术文献翻译模型,支持多种主流文档格式。

立即体验